
本文报道一例透明细胞乳头状肾细胞癌超声造影表现,在声像图上表现为快进、慢退,周边见环状高增强,内部呈不均匀高增强。其造影表现与常见的乳头状肾细胞癌和肾嫌色细胞癌典型声像图表现明显不同,但与肾透明细胞癌鉴别缺乏特异性,二者潜在差异需要更多病例的积累。
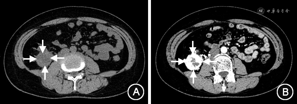
患者女,47岁,因“体检发现右肾占位4 d”于2018年3月2日入住吉林大学中日联谊医院。患者无腰痛,无血尿,一般状态可,基本生命体征正常,否认高血压、糖尿病、冠心病病史,无肿瘤家族史。入院后完善相关辅助检查,常规超声:右肾下极见一高回声团块,大小4.0 cm×3.3 cm,边界欠清晰,向肾外突出(图1A)。超声造影:肿物呈快进、慢退,周边见环状高增强,内部呈不均匀高增强(图1B)。超声提示:考虑肾恶性肿瘤。肾CT检查:平扫见右肾下极稍低密度团块影(图2A),增强扫描病灶呈明显不均匀强化(图2B),提示肾透明细胞癌。结合相关检查,临床诊断为右肾肿瘤,2018年3月13日在腹腔镜下行右肾根治性切除术。术后病理回报:右肾下极多彩样肿物一枚,间质见广泛出血、变性,提示透明细胞乳头状肾细胞癌(clear cell papillary renal cell carcinoma,CCPRCC),病理分期:Ta1,世界卫生组织/国际泌尿病理学会(WHO/ISUP)病理分级:Ⅱ级。免疫组化:细胞角蛋白7(CK7)(+),波形蛋白(Vimentin)(+),碳酸酐酶Ⅸ(CAIX)(+),高分子量角蛋白(34βE12)(+),配对盒基因8抗原(PAX-8)(弱+),细胞增殖核抗原Ki-67(1%+),白细胞分化抗原10(CD10)(-),α-甲酰基辅酶A消旋酶(P504S)(-)。患者术后随访36个月,未见复发及转移。




CCPRCC是近年来新认识的肾脏上皮源性肿瘤,在2016年被纳入WHO肾脏肿瘤分类系统中[1]。CCPRCC发病率占肾细胞癌的3%~4%,已成为继肾透明细胞癌、肾乳头状癌、肾嫌色细胞癌之后的第四常见的肾细胞癌亚型[2, 3]。CCPRCC典型的组织学表现结合免疫组化结果通常可以明确诊断。由于其临床表现迟钝,有研究认为可将CCPRCC归类为良性病变或低度恶性潜能的肿瘤[2]。
目前已发表的CCPRCC文献多与病理学相关,影像学相关文献较为少见,其中有关CCPRCC超声表现的文献更是罕见。本例CCPRCC超声造影图像表现为快进、慢退、周边环形高增强,以及内部不均匀高增强。分析其原因包括:(1)肿瘤表现为快进、慢退,可能是由于肿瘤内异常增生的血管较多,使得造影剂能更快进入肿瘤,同时静脉管腔细小或密度低以及淋巴回流网的缺乏,导致肿瘤内造影剂廓清时间慢于肾皮质。(2)肿瘤周边出现环状高增强,该征象常发生于早期、低级别肾细胞癌中,是由于肿瘤生长压迫邻近正常肾实质,病灶周边组织缺血、坏死后纤维组织沉积而形成假包膜,其内存在着丰富的小血管[4]。(3)肿瘤内部呈现为高增强,表明肿块为富血供型肿瘤,这可能是由于CCPRCC肿瘤内缺氧诱导因子(HIF)信号通路的激活导致肿瘤的高血管化[5]。(4)肿瘤表现为不均匀增强,本例病理结果显示肿瘤间质广泛出血、变性,可以解释在超声造影图像上出现的非强化区域。
临床常见的乳头状肾细胞癌和肾嫌色细胞癌超声造影主要表现为“慢进低增强”[6],与本例CCPRCC造影表现明显不同。但大多数肾透明细胞癌超声造影图像表现为“快进高增强”,部分也可表现为不均匀增强,周边呈现环状高增强[6]。本例CCPRCC的超声造影表现与肾透明细胞癌鉴别缺乏特异性,这与Tordjman等[7]的研究中CCPRCC在CT及磁共振成像(MRI)表现得出的结论一致,笔者认为二者影像学表现的潜在差异需要更大样本进一步的定量分析。
目前肾癌的主要治疗方法是采用部分或全肾切除术,如果CCPRCC在术前作出诊断,则可以采用更保守的方法来治疗这种惰性肿瘤,如消融、肾部分切除或积极监测并进行严格随访。希望通过对本例超声造影表现的报道,提高相关医师对CCPRCC的认识,进而提高该病的早期发现和早期治疗。
所有作者均声明不存在利益冲突





















