
探讨高脂膳食(HFD)对小鼠呼吸功能的影响及其线粒体机制。
将20只4周龄健康雄性C57BL/6小鼠采用简单随机分组分为两组,每组10只,分别以正常膳食(NFD)和HFD饲养16周,每两周称重1次。干预结束后,采用小动物全身容积描记仪测量小鼠呼吸参数,检测血清及膈肌组织脂质指标,将膈肌组织染色后观察膈肌组织形态、肌纤维表型和线粒体超微结构,采用实时荧光定量PCR和免疫印迹检测肌球蛋白重链(MHC)线粒体动力学相关基因和蛋白表达情况。
NFD和HFD小鼠基线体重分别为(19.17±0.59)和(19.12±0.64)g,差异无统计学意义(P=0.857)。饲养16周后,HFD组小鼠体重为(41.28±2.21)g,高于NFD组[(27.14±0.53)g,P<0.001]。HFD组小鼠吸气峰流速、潮气量和分钟通气量分别为(5.72±0.64)ml/s、(0.23±0.04)ml和(97.49±21.68)ml,均低于NFD组[分别为(7.70±1.52)ml/s、(0.31±0.07)ml和(129.99±28.87)ml](均P<0.05),增强呼吸间歇为1.16±0.07,高于NFD组(0.98±0.09,P<0.001)。HFD组小鼠膈肌甘油三酯含量为(20.43±6.36)mmol/mg,高于NFD组[(11.62±1.78)mmol/mg,P=0.003],膈肌纤维内出现脂滴沉积。HFD组小鼠膈肌MHC-Ⅰ型肌纤维占比为13.33%±2.95%,低于NFD组(19.20%±1.23%,P=0.034)。电镜下可见NFD组小鼠膈肌线粒体成行排列,结构清晰;HFD组小鼠膈肌线粒体出现肿胀、嵴断裂和空泡。HFD组小鼠膈肌线粒体融合蛋白2表达水平为0.61±0.16,低于NFD组(1.28±0.03,P<0.001);线粒体动力相关蛋白1和线粒体分裂蛋白1表达水平分别为1.18±0.06和0.91±0.11,均高于NFD组(分别为0.61±0.07和0.60±0.04,均P<0.001)。
HFD损伤小鼠呼吸功能,其机制与膈肌MHC-Ⅰ型肌纤维占比下降及线粒体动力学失衡相关。
肥胖常伴有呼吸功能下降,胸腹部和内脏脂肪过多所致的呼吸受限被认为是其主要原因[1, 2]。同时,膈肌是最重要的呼吸肌,其收缩可影响呼吸功能[3]。高脂膳食(HFD)是肥胖的主要病因,导致膈肌脂质沉积,进而损害膈肌收缩功能、介导膈肌重构,但相关机制尚未明确[4, 5, 6]。膈肌收缩依赖肌纤维,肌纤维表型与线粒体功能相关[7]。肌球蛋白重链(MHC)-Ⅰ型为氧化型肌纤维,富含线粒体,具有比MHC-Ⅱb型肌纤维更强的氧化磷酸化和抗疲劳能力[8]。线粒体动力学维持线粒体形态和功能,可协调肌纤维表型变化[9, 10]。本研究建立HFD诱导的肥胖小鼠模型,观察HFD对小鼠呼吸功能及膈肌纤维的影响,探讨线粒体功能和线粒体动力学的作用机制。
1.实验动物:4周龄SPF级C57BL/6雄性健康小鼠20只,体重为(19.15±0.60)g,购自北京维通利华公司上海分公司[许可证号:SCXK(沪)2017-0011]。于上海交通大学医学院附属瑞金医院实验动物中心进行小鼠饲养及实验,研究过程遵循国际通行的动物福利和伦理准则。
2.主要试剂和仪器:小鼠高脂饲料(含60%脂肪热能)和标准饲料(含10%脂肪热能)购自美国Research Diets公司;甘油三酯(TG)、胆固醇(TC)和脂肪酸(FA)检测试剂盒购自日本Wako株式会社;硝基四唑蓝氯化物购自美国Sigma-Aldrich公司;MHC-Ⅰ和MHC-Ⅱb型抗体购自美国Developmental Studies Hybridoma Bank公司;线粒体融合蛋白2(MFN2)抗体、线粒体动力相关蛋白1(DRP1)抗体和线粒体分裂蛋白1(FIS1)抗体购自英国Abcam公司;小动物全身容积描记仪购自上海塔望智能科技有限公司;Leica CM-1900型冰冻切片机购自德国Leica公司;JEM-1010型透射电子显微镜购自日本电子株式会社;低温高速离心机购自德国Eppendorf公司。
1.动物模型:将小鼠饲养于22~24 ℃、湿度为40%~60%的温控室,12 h昼夜切换照明,自由饮水摄食。适应性喂养1周后,按随机数字表法均分为HFD组和正常膳食组(NFD组),每组10只,分别给予高脂饲料和标准饲料。持续喂养16周,每两周称重1次。干预结束后进行呼吸功能检测,随后禁食12 h,腹腔注射1.6%戊巴比妥(60 mg/kg)麻醉后,测量小鼠体重、体长和腹围,HFD组小鼠较NFD组体重均值增加40%及以上判定为重度肥胖[11]。将小鼠处死后完整解剖双侧附睾周围脂肪及膈肌并称重,计算脂肪相对重量[双侧附睾脂肪湿重(g)/体重(g)×100%]和膈肌相对重量[膈肌湿重(g)/体重(g)×100%]。
2.呼吸功能检测:采用小动物全身容积描记仪测量小鼠呼吸参数。检测前3天,每天将小鼠置于全身容积描记仪内适应45 min;检测当天适应时长为65 min。呼吸功能指标包括:(1)一般指标:吸气时间(TI)、呼气时间(TE)和呼气峰值时间比率(Rpef)等;(2)肺容积指标:潮气量(TV);(3)传导性指标:吸气峰流速(PIF)和呼气峰流速(PEF)等;(4)气道阻力指标:呼气中期流速(EF50)和增强呼吸间歇(Penh值)[Penh值=(TE-TR)/TR×(PEF/PIF),式中TR为松弛时间,指呼气时压力下降至36%的时间];(5)通气指标:呼吸频率(fR)和分钟通气量(MV)[12]。
3.脂代谢指标检测:干预结束后经眼眶静脉丛采血1 ml,4 ℃,1 200 ×g离心15 min,取上层血清置于-80 ℃冻存待测;向膈肌组织加入无水乙醇,冰水浴下机械匀浆,1 200 ×g离心10 min,取上清液待测。检测小鼠血清和膈肌组织上清液中TG、TC和 FA浓度。
4.组织学检测:将膈肌组织嵌入黄蓍胶基质的软木塞,置入经液氮冷却的异戊烷中固定,-80 ℃冻存。采用油红O染色评估膈肌脂质沉积;以现配的烟酰胺腺嘌呤二核苷酸脱氢酶-四氮唑还原酶(NADH-TR)染色孵育液37 ℃下孵育30 min,蒸馏水清洗后以甘油封片并拍摄。采用Image J图像分析系统计算膈肌纤维横截面积和MHC-Ⅰ型肌纤维面积占比。
5.电镜观察:新鲜膈肌标本切成1 mm×1 mm×2 mm组织块,2.5%戊二醛4 ℃固定1周,1%四氧化锇固定2 h,丙酮梯度脱水,嵌入环氧树脂,超薄切片后进行醋酸铀酰和柠檬酸铅双重染色,以透射电子显微镜观察并拍摄。
6.MHC和线粒体动力学相关基因表达水平检测:采用Trizol试剂提取膈肌组织总RNA后进行实时荧光定量PCR检测,反应条件为:95 ℃预变性10 min,95 ℃变性15 s,60 ℃退火15 s,72 ℃延伸15 s,共45个循环,以甘油醛-3-磷酸脱氢酶(GAPDH)mRNA为内参,以2-△△Ct法计算目标基因的表达量,引物序列见表1。

实时荧光定量PCR检测中各基因片段扩增序列
实时荧光定量PCR检测中各基因片段扩增序列
| 片段名称 | 引物序列 | 片段(bp) |
|---|---|---|
| MHC-Ⅰ | 上游5′AAGCCTCAGCAGAGGAGTACA3′ | 79 |
| 下游5′CCTTGGATTCTCAAACGTGTC3′ | ||
| MHC-Ⅱb | 上游5′CCGAGAGGTTCACACTAAAGT3′ | 113 |
| 下游5′TCCGTGATATACAGGACAGTG3′ | ||
| MFN2 | 上游5′CAAGAAGGATAAGCGACACAT3′ | 94 |
| 下游5′CTGCTCAAAGATTCCATTGAT3′ | ||
| DRP1 | 上游5′GGATCATTCAGCATTGTAGCA3′ | 109 |
| 下游5′GGCAACCTTTTACGAAGAAGA3′ | ||
| FIS1 | 上游5′TAAAGTATGTGCGAGGGCTGT3′ | 77 |
| 下游5′CTTATCAATCAGGCGTTCCAG3′ | ||
| SERCA2 | 上游5′GAGACCAACCTGACTTTCGTC3′ | 81 |
| 下游5′GCACAGCTTCACAGAAGAGG3′ | ||
| GAPDH | 上游5′AAATGGTGAAGGTCGGTGTG3′ | 115 |
| 下游5′AGGTCAATGAAGGGGTCGTT3′ |
注:MHC为肌球蛋白重链;MFN2为线粒体融合蛋白2;DRP1为线粒体动力相关蛋白1;FIS1为线粒体分裂蛋白1;SERCA2为肌浆网Ca2+-ATP酶2;GAPDH为甘油醛-3-磷酸脱氢酶
7.蛋白印迹检测各蛋白表达:提取小鼠膈肌组织蛋白,转膜封闭后依序加入一抗(MHC-Ⅰ、MHC-Ⅱb、MFN2、DRP1和FIS1抗体)和二抗,洗膜后显影拍摄,采用Image J图像分析系统计算蛋白表达量(目标蛋白与GAPDH蛋白灰度值比值)。
采用SPSS 25.0统计软件进行数据处理和分析。分类变量以例(%)表示,组间比较采用χ²检验。膈肌纤维横截面积不服从正态分布,以M(Q1,Q3)表示,采用Mann-Whitney U秩和检验进行组间比较,其他数值变量均服从正态分布,以表示,采用独立样本t检验进行组间比较。双侧检验,以P<0.05为差异有统计学意义。
1.不同膳食小鼠基本情况比较:基线时,NFD和HFD小鼠体重分别为(19.17±0.59)和(19.12±0.64)g,差异无统计学意义(P=0.857)。饲养16周后,未发现小鼠死亡,HFD组小鼠较NFD组小鼠体重均值增加52.10%,腹围和附睾脂肪湿重分别增加26.22%和351.92%(表2)。HFD组小鼠腹部膨隆(图1A),膈肌增厚(图1B),膈肌湿重较NFD组增加71.43%,但两组小鼠膈肌相对重量差异无统计学意义(P>0.05)。见表2。

不同膳食饲养16周后小鼠生长情况比较()
不同膳食饲养16周后小鼠生长情况比较()
| 项目 | 正常膳食组(n=10) | 高脂膳食组(n=10) | t值 | P值 |
|---|---|---|---|---|
| 体重(g) | 27.14±0.53 | 41.28±2.21 | -19.69 | <0.001 |
| 体长(cm) | 9.53±0.08 | 9.64±0.13 | -2.31 | 0.033 |
| 腹围(cm) | 8.20±0.29 | 10.35±0.42 | -13.32 | <0.001 |
| 附睾脂肪湿重(g) | 0.52±0.19 | 2.35±0.64 | -8.68 | <0.001 |
| 脂肪相对重量(%) | 1.92±0.71 | 5.65±1.41 | -7.48 | <0.001 |
| 膈肌湿重(g) | 0.70±0.13 | 1.20±0.17 | -7.34 | <0.001 |
| 膈肌相对重量(%) | 2.58±0.48 | 2.90±0.41 | -1.61 | 0.124 |


2.不同膳食小鼠呼吸功能比较:饲养16周后,HFD组小鼠PIF、PEF、Rpef、TV和MV均低于NFD小鼠,EF50降低了31.33%,Penh值增加了18.37%(均P<0.05);两组小鼠TI、TE和fR差异无统计学意义(均P>0.05)(表3)。

不同膳食饲养16周后小鼠呼吸功能比较()
不同膳食饲养16周后小鼠呼吸功能比较()
| 项目 | 正常膳食组(n=10) | 高脂膳食组(n=10) | t值 | P值 |
|---|---|---|---|---|
| 吸气时间(s) | 0.07±0.00 | 0.07±0.01 | -0.37 | 0.714 |
| 呼气时间(s) | 0.08±0.01 | 0.09±0.01 | -1.20 | 0.246 |
| 吸气峰流速(ml/s) | 7.70±1.52 | 5.72±0.64 | 3.77 | 0.003 |
| 呼气峰流速(ml/s) | 7.06±1.68 | 5.25±0.63 | 3.20 | 0.008 |
| 呼气峰值时间比率 | 0.43±0.04 | 0.40±0.03 | 2.46 | 0.024 |
| 呼吸频率(次/min) | 404.21±19.95 | 392.16±24.77 | 1.20 | 0.246 |
| 潮气量(ml) | 0.31±0.07 | 0.23±0.04 | 3.35 | 0.004 |
| 分钟通气量(ml) | 129.99±28.87 | 97.49±21.68 | 2.85 | 0.011 |
| 呼气中期流速(ml/s) | 6.83±1.41 | 4.69±0.68 | 4.34 | 0.001 |
| 增强呼吸间歇 | 0.98±0.09 | 1.16±0.07 | -4.99 | <0.001 |
3.不同膳食小鼠脂代谢指标比较:饲养16周后,HFD组小鼠血清TG、TC和游离FA均高于NFD组,膈肌TG、TC和FA含量均高于NFD组(P值均<0.05)(表4)。油红O染色显示,HFD组小鼠膈肌纤维中沉积大量脂滴(图2)。

不同膳食饲养16周后小鼠脂代谢指标比较()
不同膳食饲养16周后小鼠脂代谢指标比较()
| 项目 | 正常膳食组(n=10) | 高脂膳食组(n=10) | t值 | P值 |
|---|---|---|---|---|
| 血清甘油三酯(mmol/L) | 0.52±0.15 | 1.72±0.73 | -9.02 | <0.001 |
| 血清总胆固醇(mmol/L) | 3.75±0.31 | 7.98±1.45 | -5.14 | <0.001 |
| 血清游离脂肪酸(mEq/L) | 0.86±0.22 | 1.25±0.16 | -4.52 | <0.001 |
| 膈肌甘油三酯(mmol/mg) | 11.62±1.78 | 20.43±6.36 | -4.00 | 0.003 |
| 膈肌胆固醇(mmol/mg) | 19.91±5.61 | 33.82±4.79 | -5.51 | <0.001 |
| 膈肌脂肪酸(mEq/g) | 0.26±0.03 | 0.63±0.19 | -4.24 | 0.003 |


注:Ⅰ为肌球蛋白重链-Ⅰ型肌纤维,Ⅱb为肌球蛋白重链-Ⅱb型肌纤维
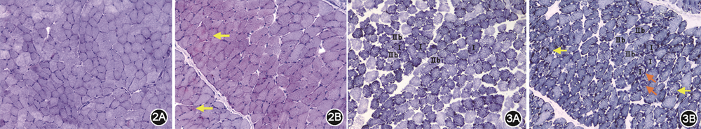
4.不同膳食小鼠膈肌组织结构及肌纤维表型比较:NADH-TR染色显示膈肌纤维蓝染,MHC-Ⅰ型肌纤维直径较小,染色较深,呈周边深、中间浅;MHC-Ⅱb型肌纤维粗大,染色较淡,浅蓝色颗粒均匀分布肌浆内。饲养16周后,光镜下NFD组小鼠膈肌纤维排列整齐,胞质着色均匀,呈有序的单一网状结构(图3A);HFD组膈肌纤维结构紊乱,染色颗粒明显增多增粗,斑片状着色,部分呈“虫蚀”样改变(图3B橙色箭头所示)且肌膜下出现破裂改变,肌纤维周围可见三角形分叶状深染(图3B黄色箭头所示)。HFD组小鼠膈肌MHC-Ⅰ型和Ⅱb型肌纤维横截面积分别为14 853(13 289,16 854)和25 118.00(19 806.75,30 153.75)μm2,均高于NFD组[分别为13 528.00(10 970.25,16 037.25)和18 216.00(15 939.50,21 579.50)μm2(Z=-2.251 和-3.982,均P<0.05)。HFD组小鼠膈肌MHC-Ⅰ型肌纤维占比为(13.33±2.95)%,低于NFD组的(19.20±1.23)%(t=3.18,P=0.034)。HFD组小鼠膈肌MHC-Ⅰ型和Ⅱb型 mRNA和蛋白表达量均低于NFD组(表5)。

不同膳食饲养16周后小鼠膈肌肌球蛋白重链mRNA和蛋白表达量()
不同膳食饲养16周后小鼠膈肌肌球蛋白重链mRNA和蛋白表达量()
| 项目 | 正常饮食组 (n=10) | 高脂饮食组 (n=10) | t值 | P值 |
|---|---|---|---|---|
| MHC-Ⅰ mRNA | 1.00 | 0.27±0.16 | 13.84 | <0.001 |
| MHC-Ⅱb mRNA | 1.00 | 0.52±0.25 | 5.81 | <0.001 |
| MHC-Ⅰ蛋白 | 0.84±0.17 | 0.33±0.15 | 5.10 | 0.001 |
| MHC-Ⅱb蛋白 | 0.81±0.08 | 0.62±0.04 | 4.11 | 0.006 |
注:MHC为肌球蛋白重链
5.不同膳食小鼠膈肌线粒体超微结构比较:饲养16周后,电镜下NFD组小鼠膈肌线粒体成行排列,呈小卵圆形,结构清晰,线粒体膜完整,线粒体嵴排列规整;肌原纤维排列整齐,肌节完整(图4A)。HFD组小鼠膈肌线粒体肿胀,大小不一,线粒体嵴断裂,部分消失甚至形成空泡(图4B黄色箭头所示);肌膜下及肌内见大量脂滴,常靠近线粒体,肌原纤维受压排列紊乱,甚至出现断裂(图4B橙色箭头所示)。


6.不同膳食小鼠膈肌线粒体动力学比较:饲养16周后,HFD组小鼠膈肌MFN2 mRNA及蛋白的表达量低于NFD组(P<0.001),DRP1和FIS1基因及蛋白的表达量高于NFD组(均P<0.001)(表6)。HFD组肌浆网Ca2+-ATP酶2(SERCA2)基因的表达量为0.65±0.13,低于NFD组(1.00)(P<0.001)。

不同膳食饲养16周后小鼠膈肌线粒体动力学相关基因mRNA和蛋白表达量()
不同膳食饲养16周后小鼠膈肌线粒体动力学相关基因mRNA和蛋白表达量()
| 项目 | 正常膳食组 (n=10) | 高脂膳食组 (n=10) | t值 | P值 |
|---|---|---|---|---|
| MFN2 mRNA | 1.00 | 0.51±0.10 | 15.75 | <0.001 |
| DRP1 mRNA | 1.00 | 1.82±0.45 | -5.72 | <0.001 |
| FIS1 mRNA | 1.00 | 1.76±0.44 | -5.42 | <0.001 |
| MFN2蛋白 | 1.28±0.03 | 0.61±0.16 | 9.09 | <0.001 |
| DRP1蛋白 | 0.61±0.07 | 1.18±0.06 | -11.88 | <0.001 |
| FIS1蛋白 | 0.60±0.04 | 0.91±0.11 | -5.82 | <0.001 |
注:MFN2为线粒体融合蛋白2;DRP1为线粒体动力相关蛋白1;FIS1为线粒体分裂蛋白1
本研究HFD组小鼠TV和MV下降,与既往研究一致[11, 12, 13, 14, 15]。肌营养不良症模型鼠或毒物致膈肌损伤,还可出现PIF降低伴Penh值升高,与膈肌病理变化一致[16, 17],本研究HFD组小鼠PIF降低25.7%,提示HFD组小鼠呼吸功能异常需考虑HFD对膈肌的损伤。
膈肌脂质沉积可致收缩功能障碍[5]。首先,脂质增加膈肌纤维内不可收缩的质量占比[2,5],表现为代偿性肥大,而单位面积产生的肌力下降[18, 19],本研究中,HFD组小鼠膈肌增厚、湿重增加、膈肌纤维大量脂滴沉积伴横截面积增大;其次,HFD抑制肌纤维分化和表型,进而影响收缩功能[19, 20],MHC-Ⅰ型肌纤维最易受此影响[7,21]。NADH-TR染色可区分肌纤维表型[22],本研究证实膈肌高表达氧化型肌纤维[23],但HFD组小鼠膈肌MHC-Ⅰ型肌纤维表达量及占比均降低。
线粒体提供肌纤维收缩能量,也是活性氧来源[24]。脂滴受活性氧诱导脂质过氧化,对线粒体产生脂毒性,影响线粒体功能[9]。既往研究提示HFD致小鼠胫骨前肌线粒体减少,氧化磷酸化显著降低[25]。NADH定位于线粒体,作为电子传递中供氢体,还原无色四唑盐(NBT)为蓝紫色,沉淀于肌纤维线粒体。MHC-Ⅰ型肌纤维富含线粒体,NADH活性强,呈深蓝色,反之MHC-Ⅱb型肌纤维呈淡蓝色。膈肌原位NADH-TR染色,可反映线粒体氧化磷酸化功能[22]。本研究HFD组小鼠膈肌纤维染色后,部分呈“虫蚀”样改变,提示肌原纤维丢失及线粒体功能紊乱;肌膜下破裂改变,亦提示线粒体异常;电镜下线粒体周围脂滴沉积、线粒体肿胀和嵴断裂,提示HFD致膈肌线粒体结构和功能障碍[22]。
线粒体不断融合与分裂的动态平衡对维持线粒体功能至关重要[9]。HFD影响线粒体动力学,加剧线粒体功能障碍[26]。MFN2介导线粒体融合,补偿受损线粒体;DRP1招募FIS1诱导线粒体分裂,HFD可调控这些蛋白表达[27]。HFD饲养16周后DRP1和FIS1表达增加而MFN2表达降低,提示膈肌线粒体动力学失衡,同时还发现SERCA2表达下降。肌纤维内Ca2+循环是维持收缩的关键,SERCA2是Ca2+循环关键酶,MFN2下降会破坏肌浆网和线粒体偶联,减少Ca2+向线粒体转移,抑制线粒体呼吸,影响收缩功能[28];DRP1增加促使SERCA2减少,而抑制线粒体分裂可改善收缩功能[29]。
综上,HFD引起膈肌脂质沉积,线粒体功能障碍和线粒体动力学失衡,出现MHC-Ⅰ型肌纤维和SERCA2表达下降,最终影响小鼠呼吸功能。改善线粒体动力学可能是治疗HFD相关呼吸异常的潜在靶点。
所有作者均声明不存在利益冲突





















