
本研究探讨脱细胞真皮基质(ADM)负载胶原蛋白结合域-血管内皮生长因子(CBD-VEGF)补片在辅助比格犬尿道伤口修复中的应用价值。
选用21只健康成年比格犬,建立尿道伤口模型,随机分为3组,分别采用不同的修复方法。CBD-VEGF补片于模型构建成功时植入。其中,空白对照组不使用修复材料;ADM组使用胶原蛋白补片覆盖修复;ADM负载CBD-VEGF补片组使用加载VEGF的胶原蛋白补片覆盖修复。术后6个月,比较3组材料植入尿道伤口模型的安全性和有效性。采用尿动力学检查、尿道血管造影和组织病理学检查评估3组尿道组织恢复情况。
与空白对照组和ADM补片组相比,ADM负载CBD-VEGF补片组未出现相关并发症或其他不良情况。尿道造影测量实验段尿道直径,空白对照组[(3.07±0.43)mm]小于ADM补片组[(3.73±0.11)mm]和ADM负载CBD-VEGF补片组[(3.64±0.32)mm](均P<0.05)。组织病理学检查HE染色显示ADM负载CBD-VEGF补片组可见较多增生血管。Masson染色显示3组胶原组织阳性面积百分比分别为34.27%±7.40%、29.08%±3.79%和28.02%±2.39%,组间差异无统计学意义(P>0.05)。使用抗vWF抗体染色显示增生的血管,3组单位面积阳染百分比分别为1.4%±0.1%,1.8%±0.1%和3.1%±0.2%,组间差异均有统计学意义(均P<0.01)。
ADM负载CBD-VEGF补片是一种良好的用于比格犬尿道手术术后覆盖伤口的生物支撑材料,为促进尿道伤口愈合提供一种可选择的方向。
尿道修复重建术是泌尿外科广泛用于修复各种先天性或获得性尿道疾病的重要外科手段,术后常见的并发症有尿道瘘、尿道狭窄、尿道憩室样扩张等[1, 2, 3]。尿道伤口愈合情况与成形的新尿道外形及功能密切相关。其与多种因素相关,严重影响术后患者的功能及生活质量。如何选择一种新的修复材料辅助伤口正常愈合并减少并发症的发生,是目前亟待解决的问题。
脱细胞真皮基质(acellular dermal matrix,ADM)经过脱细胞处理,保留了胶原蛋白的天然三维网状结构[4]。ADM具有组织相容性好、来源广泛、手术操作方便等优势,已作为移植材料用于创面、耳鼻喉头颈肿瘤术后、牙周病学、脑膜修补等多学科的修复手术中[5, 6, 7, 8]。近年来学者已经开始使用ADM作为尿道替代物修复缺损,但重建后的尿道仍出现较多并发症,尤其是修复缺损段较长的尿道时并发症更加严重。血管内皮生长因子(vascular endothelial growth factor,VEGF)作为特异性的血管内皮细胞调节因子,在促进组织愈合中有着重要的应用价值[9]。本研究拟采用ADM负载胶原蛋白结合域(collagen-binding domain,CBD)-VEGF补片修复尿道伤口,术后6个月后通过尿动力学检查、尿道血管造影、组织病理学检查评估实验犬尿道愈合修复情况和排尿功能情况,探讨CBD-VEGF修饰的ADM材料在尿道修复中的应用价值。
研究共选取21只健康成年雄性比格犬,12~15月龄,体重(11±1.2)kg,随机分为3组,空白对照组、ADM补片组、ADM负载CBD-VEGF补片组各7只。所有实验犬行阴囊前尿道切开术,切开尿道腹侧长3 cm,将尿道壁伤口缝合修复。空白对照组不用任何修复材料,ADM补片组用胶原蛋白补片,ADM负载CBD-VEGF补片组用ADM负载CBD-VEGF补片覆盖缝合尿道伤口,再逐层缝合肌肉、皮下组织、皮肤伤口。本实验方案获得首都医科大学附属北京儿童医院伦理委员会批准(批文号2016-K-6)。
异种ADM补片(烟台正海生物科技股份有限公司,4 cm×6 cm×0.3 mm,批号:国械注准20153460386)通过12KGYCo60辐照灭菌。CBD-VEGF补片由分子发育生物学重点实验室(中国科学院遗传与发育生物学研究所)制备。首先将ADM补片修剪为3.0 cm×1.0 cm×0.3 cm大小,再将30 μg CBD-VEGF溶解于0.2 ml磷酸缓冲盐溶液中,浓度为0.15 g/L,并用移液管将溶液缓慢滴入制备的ADM补片中(每平方厘米ADM补片吸水量为66.7 μl)。ADM补片中CBD-VEGF的最终剂量为10 μg/cm2。然后将被CBD-VEGF溶液浸透的ADM补片置于密封的无菌培养皿中保持在4 ℃环境直到植入[10]。
通过肌肉注射盐酸赛拉嗪0.08 ml/kg[吉林华牧动物保健品有限公司,2 ml,兽药字(2015)070011777]及咪达唑仑0.04 ml/kg(江苏恩华药业股份有限公司,2 ml/10 mg,国药准字H10980025)麻醉实验犬,以仰卧位进行手术区消毒并铺无菌巾。自尿道口插入6Fr无菌硅胶导尿管至膀胱。通过纵向阴囊前方中线切口(图1A),分离开会阴缩肌,暴露出尿道。尿道腹侧中线纵行切开3 cm(图1B),勿伤及背侧尿道,避免过多出血。然后用6-0可吸收缝线(柯惠医疗上海有限公司)行黏膜下层连续缝合关闭伤口(图1C),建立伤口模型。对照组在尿道伤口两端使用5-0丝线(上海浦东金环医疗)固定于周边组织标记位置,并逐层关闭肌肉及皮肤。ADM补片组、ADM负载CBD-VEGF补片组将相应的补片覆盖尿道伤口(图1D),用丝线将补片与周围组织间断缝合固定并标记,针距5 mm,再逐层缝合伤口。用无菌丝线将导管缝合固定于阴茎头,下腹部行膀胱造瘘术,青霉素钠(华北制药股份有限公司,160万单位,国药准字H13020655)4×104 U·kg⁻¹·d⁻¹肌肉注射,术后连续给药1周。手术后1个月,取下尿道导管,观察实验犬伤口恢复情况。


术后6个月进行尿动力检测。采用尿道压力描记(urethral pressure profile,UPP)来评估下尿路的功能。首先麻醉比格犬,仰卧位。闭合膀胱造瘘口。将6Fr尿动力测压导管插入实验犬尿道排空膀胱,测量静息状态下尿道压。2 ml/min通过侧孔通道向尿道注入生理盐水,同时按2 mm/s速度拔管,获得各部分尿道闭合压。通过导管缓慢注入造影剂[碘海醇注射液,35 mg/ml,通用电气药业(上海)有限公司]。采用螺旋CT扫描并重建膀胱尿道影像。
注射过量麻药处死比格犬,根据手术时丝线标记部位切除尿道及周围的组织,分为两部分。一半组织用4%多聚甲醛溶液固定,石蜡包埋,切片(厚度为3 μm),分别进行HE和Masson三色染色,使用Image-Pro Plus 6.0进行定量分析,计算阳性面积的百分比(阳性面积/总组织面积)。其余组织冷冻后制成5 μm切片行免疫荧光检测。血管组织免疫组化染色使用兔抗血管性血友病因子(von Willebrand factor,vWF)的多克隆抗体(ab6994,美国Abcam公司),1:400稀释,细胞核复染用4′,6-二脒基-2-苯基吲哚(DAPI)染色。使用共聚焦扫描激光显微镜(日本尼康映像有限公司)检查切片,并使用 Image-Pro Plus 6.0进行定量分析,计算抗 vWF 抗体染色的血管密度阳性面积的百分比(阳性面积/总组织面积)。
使用SPSS 20.0软件对数据进行分析,符合正态分布的计量资料采用表示,多组比较采用单因素方差分析,两两比较采用Bonferroni校正的χ²检验。双侧检验,检验水准α=0.05。
除空白对照组1只实验犬死于麻醉意外,其他均顺利成活至术后6个月。空白对照组1只尿动力检测发现尿道闭合压增高,提示尿道狭窄,解剖后发现尿道结石证实尿道狭窄的存在(图2A);1只因尿道狭窄无法插管未行检查,提示瘢痕性愈合(图2B);1只行尿道造影时发现手术部位尿道憩室形成,说明愈合不良。ADM补片组1只在术后7 d内皮肤伤口观察到了红肿,消炎处理后逐渐消退,术后1个月拔除导管后观察到了尿瘘(图2C)。其余实验犬伤口均在10 d内愈合,无伤口感染,术后1个月顺利取下尿道导管。


除空白对照组1只因尿道狭窄无法插入尿管及ADM补片组1只存在尿瘘未检查,其余实验犬均完善尿道逆行造影检查。空白对照组1只观察到尿道憩室(图3A),另外1只观察到结石充盈缺损(图3B)。ADM负载CBD-VEGF补片组实验段尿道均光滑通畅(图3C)。在造影结果上测量3 cm实验段尿道的直径,每隔1 cm测量数据,共测得4个数据,统计全部数据取平均值。尿瘘实验犬因尿道显示不完整未行直径测量。空白对照组尿道直径小于ADM补片组及ADM负载CBD-VEGF补片组(均P<0.05);在空白对照组缺失1例尿道狭窄数据的情况下,尿道直径仍比其他两组狭窄,而ADM补片组及ADM负载CBD-VEGF补片组两组间差异无统计学意义(P>0.05)(表1)。



实验犬尿道直径及尿道动力学检测结果(±s)
实验犬尿道直径及尿道动力学检测结果(±s)
| 组别 | 只数 | 尿道直径(mm) | 膀胱基础压(cmH2O) | 尿道基础压(cmH2O) | 中段尿道最大闭合压(cmH2O) |
|---|---|---|---|---|---|
| 对照组 | 5 | 3.07±0.43 | 14.80±5.40 | 28.00±11.04 | 67.60±37.24 |
| ADM补片组 | 6 | 3.73±0.11a | 12.83±5.38a | 22.33±5.89a | 39.00±11.35a |
| ADM负载CBD-VEGF补片组 | 7 | 3.64±0.32b | 11.43±6.32b | 19.71±6.60b | 43.00±7.44b |
| F值 | 7.061 | 0.496 | 1.650 | 2.963 | |
| P值 | 0.010 | 0.610 | 0.225 | 0.080 |
注:ADM为脱细胞真皮基质;CBD-VEGF为胶原蛋白结合域-血管内皮生长因子;与对照组相比,aP>0.05;与ADM补片组相比,bP>0.05;1 cmH2O=0.098 kPa
除空白对照组1只因尿道狭窄无法插入尿管、ADM补片组1只出现尿瘘未行尿动力学检查外,其余均完善了尿动力学检查。3组组间比较膀胱基础压、尿道基础压、中段尿道最大闭合压,差异均无统计学意义(均P>0.05)。空白对照组中一只尿道压力增高的实验犬解剖后发现结石合并尿道狭窄(图2A、B)。使用ADM补片的两组均未出现尿道狭窄。
肉眼观察表明,各组均无明显的上尿路扩张和肾积水。在空白对照组中观察到1例狭窄合并结石,空白对照组中无法插入尿管的实验犬术后解剖发现狭窄处直径仅约1.9 mm。在ADM补片组观察到1例尿道瘘。所使用的ADM补片均已吸收。切取实验犬手术区域3 cm长尿道并切成两部分进行组织病理学检查。
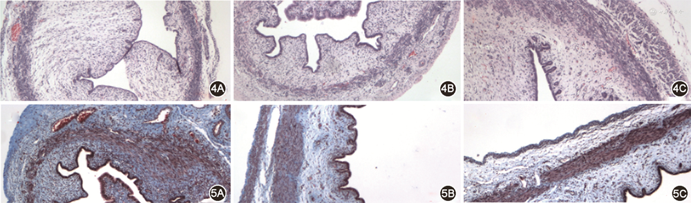
使用 HE和 Masson 三色染色处理所有切片,并使用光学显微镜观察。在所有实验犬中,术后6个月ADM生物材料被完全降解。ADM负载CBD-VEGF补片组修补的尿道组织中有较多的新生血管,数量多于其他两组(图4)。Masson三色染色显示胶原组织被染成蓝色,并广泛分布在重建尿道中(图5)。空白对照组中存在狭窄的两只实验犬胶原组织分布较多且粗大。通过 Image-Pro Plus 6.0 定量分析,3组胶原组织阳性面积百分比分别为34.27%±7.40%、29.08%±3.79%和28.02%±2.39%,组间差异无统计学意义(P>0.05)。


血管组织用兔抗vWF抗体染色呈亮红色,并使用激光扫描共聚焦显微镜评估(图6)。ADM负载CBD-VEGF补片组单位面积阳染百分比为3.1%±0.2%,明显高于ADM补片组(1.8%±0.1%,P<0.01)和空白对照组(1.4%±0.1%,P<0.01),差异均有统计学意义(均P<0.01)。


注:ADM为脱细胞真皮基质;CBD-VEGF为胶原蛋白结合域-血管内皮生长因子;vWF为血管性血友病因子;合成是指兔抗vWF抗体及细胞核的免疫荧光双重染色
使用ADM负载CBD-VEGF补片修复尿道伤口这一方法尚未在临床大量使用。本实验ADM膜是以牛皮为原料,采取碱蚀法工艺制成ADM材料,主要成分为Ⅰ型胶原蛋白,具有良好的生物相容性和去免疫原性[11]。VEGF是一种有效的血管生成信号蛋白,在组织损伤部位局部上调。由于其半衰期短和全身毒性,注射VEGF基因或蛋白不能增加VEGF水平[12],所以需要一有效的递药系统使得生长因子靶向作用到受损部位。多项研究证明,VEGF可有效地结合到胶原蛋白结合域上形成CBD-VEGF,减少胶原沉积和疤痕形成,促进血管生成和功能恢复[13, 14]。本实验通过将胶原蛋白结合域融合到天然VEGF因子的N-末端来构建CBD-VEGF,再用CBD-VEGF修饰ADM支架,这种融合蛋白可以实现VEGF从胶原蛋白的受控释放,有助于血管化和组织再生[15, 16]。
尿道狭窄、尿道瘘、尿道憩室均是常见的并发症[17, 18],本实验中,空白对照组3只、ADM补片组1只均存在并发症,而ADM负载CBD-VEGF补片组未出现并发症。这恰好证明了ADM的使用可以防止并发症的发生。3组尿道组织术后胶原沉积情况虽差异无统计学意义,但可以说明使用了ADM补片及ADM负载CBD-VEGF补片并未增加胶原组织的沉积。ADM补片组及ADM负载CBD-VEGF补片组使用ADM膜修复后血管密度均高于空白对照组,ADM负载CBD-VEGF补片组中血管密度又明显高于其他两组,该结果证明了CBD-VEGF可以促进尿道组织血管的生成,使修复尿道附近有足够的血管将促进其他组织的再生,维持细胞外基质代谢的平衡,并有助于新尿道形态的重塑。相反,血管生成不足会导致组织再生不良,瘢痕形成,组织挛缩和新尿道形成狭窄。这与空白对照组存在尿道狭窄,而其他两组没有尿道狭窄的结果相吻合。
本实验存在一定局限性:(1)比格犬尿道解剖结构与人类存在差异;(2)得到实验犬自主排尿尿动力学数据极为困难;(3)样本量少。今后将继续扩大样本量,并且增加个体动物术前及术后的自身对照。且可以尝试暂不行膀胱造瘘,观察动物的排尿情况。
综上,通过本研究,发现ADM负载CBD-VEGF补片在尿道伤口模型中可加固新尿道周围组织,减少尿道狭窄,提高血管密度,促进组织修复并维持尿道功能,有良好的组织相容性,且不会造成胶原组织过度沉积,可作为一种良好的用于尿道手术术后覆盖伤口的生物支撑手段,对于今后治疗各类尿道疾病促进伤口愈合方面提供一种可选择的方向。
所有作者均声明不存在利益冲突





















