
探讨冠状动脉斑块周围脂肪密度指数(FAI)与血流储备分数(FFR)及斑块参数间的关系。
回顾性收集2015年5月至2019年1月东部战区总医院放射科及上海市第六人民医院放射科113例稳定型冠心病患者(共141个斑块)的资料,其中男78例,女35例,年龄40~83(63±9)岁。所有患者均接受冠状动脉CT血管成像(CCTA)和有创FFR检查。测量斑块及管腔的定量指标(如斑块长度、体积)和定性指标(如斑块性质、高危斑块)以及斑块周围的脂肪密度指数。以斑块周围是否FAI≥-70 HU,将患者和斑块分为FAI阳性组(47例,56个斑块)与FAI阴性组(66例,85个斑块)。分析比较两组间年龄、斑块长度和体积、最小管腔面积(MLA)、CCTA狭窄程度等参数,以及斑块类型、高危斑块数量和特征、心肌缺血(即FFR<0.75)的例数和斑块数。采用logistic回归模型分析心肌缺血与年龄、斑块长度、MLA、FAI等指标之间的关系。采用受试者工作特征曲线比较各指标对心肌缺血的诊断效能。
FAI阳性组最小管腔面积较FAI阴性组显著减小[(2.00±1.33)mm2比(4.13±2.41)mm2,P<0.001]。FAI阳性组心肌缺血的病例比例和血管比例高于FAI阴性组(21.3%比4.5%;23.2%比8.2%)(均P<0.05),高危斑块所占比例差异无统计学意义(21.2%比16.1%,P=0.451)。FAI对预测心肌缺血具有一定价值[曲线下面积(AUC)=0.666,P=0.021],且具有增量价值(0.915比0.951,P= 0.033)。
FAI较高者MLA更小,心肌缺血的发生率更高,同时FAI对心肌缺血具有一定的预测效能和增量价值。
根据《中国心血管健康与疾病报告2019》[1],心血管病的死亡率稳居我国居民死因的首位。中国有近1 100万冠心病患者。随着影像技术的发展,冠状动脉CT血管成像(CCTA)已成为检测冠心病的首选影像检查。近年来提出了一种新型的CCTA影像指标——脂肪密度指数(FAI)[2],该指标对检测冠状动脉周围脂肪的炎症有很高的敏感性与特异性。当冠状动脉发生炎症时,相应节段FAI会升高[3, 4]。一项大型前瞻性研究(CRISP-CT)发现,冠状动脉周围FAI较高的人其心源性死亡风险显著增高,且确定FAI阈值为-70.1 HU[5]。有研究已证实冠状动脉近端周围FAI与血流储备分数(FFR)相关[6],但目前探索斑块、FFR以及斑块周围FAI三者间关系的研究较少。本研究采用有创FFR作为评估心肌缺血的指标(FFR<0.75定义为心肌缺血),通过测量斑块参数及斑块周围FAI,探究斑块周围FAI与心肌缺血程度以及斑块定性和定量参数之间的关系。
本文为横断面研究,回顾性收集2015年5月至2019年1月在东部战区总医院放射科(51例)及上海市第六人民医院放射科(68例)进行检查的共119例稳定型冠心病患者的资料。纳入标准:(1)患者进行了CCTA检查;(2)在CCTA检查后的90 d内进行了至少1支血管的有创FFR检查。排除标准:(1)影像学资料缺失(n=1);(2)影像断层或质量差(n=4);(3)患者进行了冠状动脉旁路搭桥手术或支架植入史(n=1)。最终共纳入患者113例,男78例,女35例,年龄40~83(63±9)岁;其中东部战区总医院放射科46例,上海市第六人民医院放射科67例。以斑块周围是否FAI≥ -70 HU,将患者和斑块分为FAI阳性组(47例,56个斑块)与FAI阴性组(66例,85个斑块)。本研究已获东部战区总医院医学伦理委员会的审核(2020DZSKTZX-020),所有患者知情同意豁免。
采用128排双源CT扫描仪(德国西门子公司)、64排双源CT扫描仪(德国西门子公司)、64排CT扫描仪(德国西门子公司)进行扫描。扫描前5 min给予受检者舌下含服0.1 mg硝酸甘油(中国京卫制药有限公司)用于扩张冠状动脉。所有患者均未服用β受体阻滞剂。使用20 G导管通过肘前静脉注射对比剂(东部战区总医院:碘普罗胺,德国拜耳公司;上海市第六人民医院:碘帕醇,德国拜耳公司),注射速率为4~5 ml/s,剂量为60~65 ml;使用前瞻性心电图触发序列进行CCTA扫描,在R-R间期的30%~80%进行扫描,以0.75 mm层厚,0.5 mm重建间隔进行图像重建。其他采集参数:管电压120 kV,管电流自动调节技术、准直器宽度128 mm×0.6 mm/2.0 mm×64 mm×0.6 mm/128 mm×0.6 mm,机架转速0.25~0.28 s/转,图像重建矩阵512×512。
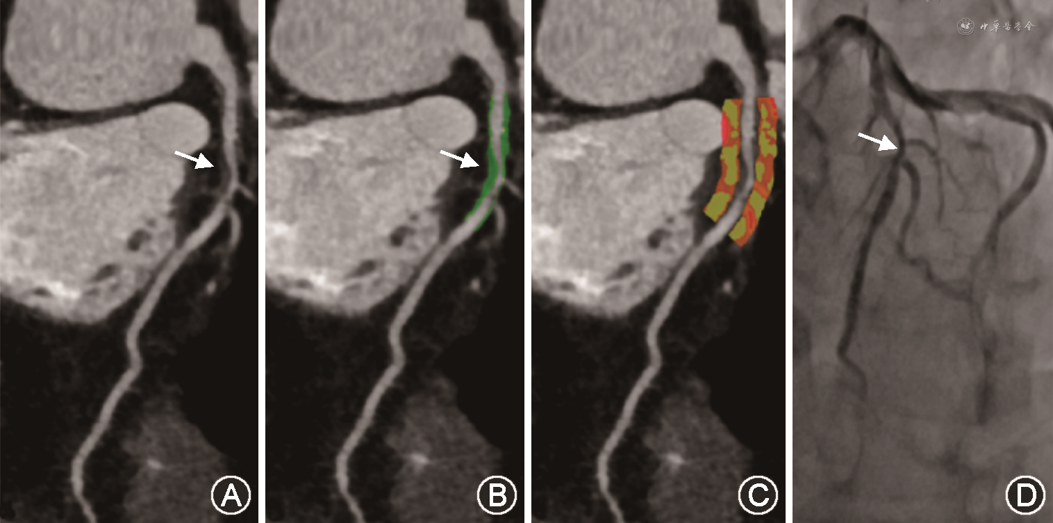
1. 斑块数据分析:将所有CCTA的数据传输至后处理工作站SyngoVia(德国西门子医疗),选择图像质量最佳的期相进行分析。使用专门的斑块分析软件Coronary Plaque Analysis 5.0(德国西门子医疗)在曲面重组图像上进行斑块定位和分析。首先,将CCTA图像导入斑块后处理软件后,自动提取冠状动脉树的中心线,操作者可对中心线进行手动调整,手动定位斑块的近端和远端,软件自动勾画出斑块,操作者可适度编辑,自动计算如下斑块指标:最小管腔面积(MLA)、狭窄程度、斑块长度、总斑块体积(TPV)(图1A、1B)。根据冠状动脉疾病报告与数据系统(CAD-RADS),将CCTA狭窄程度分为0、>0~25%、≥25%~50%、≥50%~70%、≥70%~100%、100%共6个等级[7]。


根据斑块是否有钙化将其分为3种类型:钙化斑块、非钙化斑块及混合性斑块。根据以下4个征象确定是否为高危斑块:点状钙化、正性重塑、低密度斑块以及餐巾环征[8]。点状钙化定义为在CT上表现为密度>130 HU、任意切面的最大直径<3 mm的斑块内钙化;正性重构定义为血管外直径比斑块近端和远端的平均直径大于110%;低密度斑块是指斑块的中心区域CT值<30 HU;餐巾环征指在低密度斑块周围环绕着一圈高密度环,而高密度环CT值<130 HU[8]。高危斑块定义为含有2种及以上高危斑块特征的斑块[9]。
2. 斑块周围FAI分析:通过斑块分析软件Coronary Plaque Analysis 5.0(德国西门子医疗)进行斑块周围FAI的测量。以斑块起始处至斑块远端为纵向测量距离,以血管外壁直径为径向距离,从血管外壁向外圈定周围组织作为测量的范围。调整纳入计算的组织密度范围为-190~-30 HU,随后软件自动计算出斑块血管周围的脂肪密度的平均值(图1C)[10]。所有测量由一名有经验的放射科医师进行。为了检验测量结果的一致性,在完成第一次测量2个月后,随机抽取20例患者进行第二次测量,由两名有经验的放射科医师进行。将同一名医师前后测量的结果进行读者内一致性检验,将两名医师测量的结果进行读者间一致性检验。
通过冠状动脉或静脉注射腺苷(140~180 mg·kg-1·min-1)(中国石药银湖制药有限公司)使冠状动脉最大程度充血,然后使用6-或7-F引导导管,将FFR压力导丝放置在血管段狭窄远端至少20 mm处进行FFR测量,得到有创FFR的结果(图1D)。根据《冠状动脉血流储备分数临床应用专家共识》[11],FFR<0.75的病变宜行血运重建;FFR>0.80的病变为药物治疗的指征;FFR值在0.75~0.80为灰区,术者可综合患者的临床情况及血管供血的重要性,决定是否进行血运重建。根据一些大型临床研究,如《FFR指导低危稳定型心绞痛患者延迟PCI治疗的研究(DEFER研究)》以FFR<0.75作为心肌缺血的阈值[12]。本研究将FFR<0.75定义心肌特异性缺血。
应用SPSS 25.0软件对数据进行分析。年龄、斑块长度、CCTA狭窄程度、FFR符合正态分布,以表示,采用独立样本t检验进行两组间比较;斑块体积、MLA为偏态分布,以M(Q1,Q3)表示,采用非参数检验进行两组间比较;采用率和频数描述性别、高血压、斑块性质、高危斑块和高危斑块特征等定性资料,采用χ²检验进行两组间比较。根据斑块周围FAI是否>-70.0 HU将研究对象分为FAI阳性组和FAI阴性组。将FFR<0.75定义为心肌缺血,以心肌缺血为因变量(0=正常,1=心肌缺血),采用单因素logistic回归方法分析各斑块指标与心肌缺血的关联。将单因素分析中P<0.05的指标纳入多因素回归模型中进一步分析,并绘制受试者工作特征(ROC)曲线及计算曲线下面积(AUC)。使用组内相关系数(ICC)评估读者内一致性以及读者间一致性。双侧检验,检验水准α=0.05。
113例患者中,有病变斑块141个,其中有96个(68.1%)分布于左前降支,21个(14.9%)于左回旋支,24个(17.0%)于右侧冠状动脉(表1)。

113例冠心病患者临床和影像学基线数据
113例冠心病患者临床和影像学基线数据
| 项目 | 结果 |
|---|---|
| 例数 | 113 |
| 斑块数量 | 141 |
| 年龄(岁)a | 62.8±9.0 |
| 性别(例,男/女)b | 78/35 |
| 高血压bc | 57(57.0) |
| 高血脂bc | 31(31.0) |
| 糖尿病bc | 24(24.0) |
| 吸烟bc | 35(35.0) |
| 斑块分布情况bd | |
左前降支 | 96(68.1) |
左回旋支 | 21(14.9) |
右冠状动脉 | 24(17.0) |
| CCTA狭窄程度bd | |
0% | 1(0.7) |
>0~25% | 19(13.5) |
≥25%~50% | 23(16.3) |
≥50%~70% | 49(34.8) |
≥70%~100% | 48(34.0) |
100% | 1(0.7) |
注:a;b例(%);c部分患者资料缺失,共有100例;d数据为斑块数量,括号内为斑块占总斑块数量的百分比
FAI阳性组的最小管腔面积显著小于FAI阴性组(2.00±1.33)mm2比(4.13±2.41)mm2(Z=-2.037,P<0.001)。FAI阳性组与FAI阴性组之间FFR<0.75的病例数和斑块数差异有统计学意义(10比3;13比7,均P<0.05)。CCTA狭窄程度、斑块长度、斑块体积、斑块类型、高危斑块以及高危斑块特征与FAI阴性组相比差异无统计学意义(P>0.05)(表2)。FAI测量值的读者内及读者间一致性好(读者内ICC=0.968,P<0.001;读者间ICC=0.790,P<0.001)。

FAI阳性组与FAI阴性组冠心病患者之间斑块参数的比较
FAI阳性组与FAI阴性组冠心病患者之间斑块参数的比较
| 项目 | 全部(n=141) | FAI阴性组(n=85) | FAI阳性组(n=56) | t/χ2/Z值 | P值 |
|---|---|---|---|---|---|
| 斑块长度a | 38.26±18.26 | 38.91±18.35 | 37.28±18.23 | 0.614 | 0.805 |
| 斑块体积b | 278.32(192.07,423.37) | 272.18(195.82,415.91) | 289.51(172.46,430.45) | -0.025 | 0.980 |
| MLAb | 2.77(1.84,4.56) | 3.11(2.15,5.57) | 2.66(1.24,3.82) | -2.037 | 0.042e |
| CCTA狭窄程度a | 57.64±21.59 | 53.11±23.97 | 59.59±22.51 | -1.607 | 0.110 |
| 斑块类型c | 3.957 | 0.138 | |||
| 非钙化斑块 | 57(40.4) | 33(38.8) | 24(42.9) | ||
| 混合性斑块 | 36(25.5) | 18(21.2) | 18(32.1) | ||
| 钙化板块 | 48(34.0) | 34(40.0) | 14(25.0) | ||
| 高危斑块数量c | 27(19.1) | 18(21.2) | 9(16.1) | 0.568 | 0.451 |
| 高危斑块特征c | |||||
| 正性重构 | 35(24.8) | 23(27.1) | 12(21.4) | 0.573 | 0.449 |
| 低密度斑块 | 18(12.7) | 13(15.1) | 5(9.1) | 1.228 | 0.268 |
| 点状钙化 | 53(37.6) | 33(38.4) | 20(36.4) | 0.139 | 0.709 |
| 餐巾环征 | 12(8.5) | 8(9.4) | 4(7.1) | 0.027 | 0.870 |
| FFRa | 0.83±0.09 | 0.84±0.08 | 0.82±0.01 | 1.621 | 0.059 |
| FFR<0.75cd | 13(11.5) | 3(4.5) | 10(21.3) | 5.994 | 0.014e |
| FFR<0.75斑块c | 20(14.2) | 7(8.2) | 13(23.2) | 6.223 | 0.013e |
注:a,bM(Q1,Q3),c 例(%),d数据按患者数量计算,共有113例,FAI阴性组66例,FAI阳性组47例,e结果差异具有统计学意义;FAI为脂肪密度指数;MLA为最小管腔面积;FFR为血流储备分数;CCTA为冠状动脉CT血管成像
单因素分析显示,斑块长度、斑块体积、MLA、CCTA狭窄程度以及餐巾环征与心肌缺血相关。将上述因素纳入多变量分析,结果显示斑块长度与CCTA狭窄程度是心肌缺血的危险因素(OR=1.067,P=0.006;OR=1.147,P<0.002)(表3)。

影响心肌缺血的单因素分析与多因素分析
影响心肌缺血的单因素分析与多因素分析
| 项目 | 单因素分析 | 多因素分析 | ||
|---|---|---|---|---|
| OR值(95%CI) | P值 | OR值(95%CI) | P值 | |
| 患者因素 | ||||
年龄 | 0.961(0.901~1.026) | 0.234 | - | - |
性别 | 1.011(0.289~3.534) | 0.986 | - | - |
| 斑块因素 | ||||
斑块长度 | 1.049(1.016~1.083) | 0.003a | 1.067(1.019~1.118) | 0.006 |
斑块体积 | 1.003(1.001~1.005) | 0.017a | - | - |
MLA | 0.224(0.096~0.524) | 0.001a | - | - |
管腔直径 | 0.664(0.294~1.500) | 0.325 | - | - |
CCTA狭窄程度 | 1.125(1.053~1.202) | 0.001a | 1.147(1.050~1.253) | 0.002 |
FAI | 1.055(0.983~1.132) | 0.135 | - | - |
高危斑块 | 2.664(0.784~9.061) | 0.117 | - | - |
正性重塑 | 0.950(0.242~3.736) | 0.941 | - | - |
点状钙化 | 0.938(0.286~3.072) | 0.915 | - | - |
低密度斑块 | 0.438(0.053~3.605) | 0.442 | - | - |
餐巾环征 | 5.111(1.284~20.351) | 0.021a | - | - |
注:a结果差异具有统计学意义;FAI为脂肪密度指数;MLA为最小管腔面积;FFR为血流储备分数;CCTA为冠状动脉CT血管成像
以FFR<0.75作为心肌缺血的诊断标准,将表3多变量分析中的指标(CCTA狭窄程度、斑块长度)以及FAI纳入评价,绘ROC曲线,并计算AUC。结果发现,FAI对FFR<0.75具有一定的预测效能(AUC=0.666,P=0.021),且具有增量价值(0.915比0.951,P=0.033),但差于CCTA狭窄程度与斑块长度所构建的模型(AUC=0.915,P<0.001);将FAI与CCTA狭窄程度、斑块长度联合构建模型后,模型预测效能有所提升,且差异具有统计学意义(0.915比0.951,Z=2.128,P=0.033)(表4、图2)。

各指标对冠心病患者心肌缺血的预测效能
各指标对冠心病患者心肌缺血的预测效能
| 项目 | AUC(95%CI) | P值 | 最佳阈值 | 灵敏度(%) | 特异度(%) |
|---|---|---|---|---|---|
| FAI | 0.666(0.525~0.807) | 0.021 | -69.87 | 76.92 | 65.00 |
| CCTA狭窄程度+斑块长度 | 0.915(0.856~0.973) | <0.001 | 0.12959 | 92.30 | 82.00 |
| FAI+CCTA狭窄程度+斑块长度 | 0.951(0.910~0.991) | <0.001 | 0.11986 | 100.00 | 84.00 |


注:FAI为脂肪密度指数;CCTA为冠状动脉CT血管成像
本研究探索了斑块参数、FFR以及斑块周围FAI之间的关系。本研究结果显示,斑块周围FAI与MLA以及心肌缺血之间存在一定的联系:FAI阳性组中血管管腔MLA更小,且心肌缺血发生率更高;FAI对心肌缺血具有一定的预测效能,将FAI加入模型(CCTA狭窄程度+斑块长度)后,该模型的效能有所提升,且差异具有统计学意义。
本研究结果提示斑块周围FAI与MLA、心肌缺血之间存在一定的联系,这与之前的研究结果一致[13]。MLA与心肌缺血反映了斑块阻塞血管的严重程度,而斑块周围的脂肪密度的升高则提示了炎症的发生。斑块进展与周围脂肪的密度变化在病理机制上具有相关性。首先,斑块病变容易导致周围脂肪密度升高。有研究表明,血管发生动脉粥样硬化后,会抑制血管周围的脂肪细胞成熟及脂质成分的形成[4],进而导致FAI升高。Goeller等[2]的研究还发现,随着斑块中非钙化成分比重的增多以及斑块体积的增大,冠状动脉的炎症会加重,周围脂肪密度会因细胞水肿和巨噬细胞聚集而增加。因此,随着斑块进展,斑块周围脂质成分相对减少,炎症相应加重,表现为FAI升高。另外,周围脂肪也会对斑块的进展产生一定的影响。Qi等[10]提出,脂肪组织通过分泌细胞因子可以调节动脉粥样硬化的过程。不少大型临床研究(如CRISP-CT研究、CANTONS研究)也指出,冠状动脉周围脂肪与动脉粥样硬化有着密不可分的关系。同时,冠状动脉炎症是导致心血管事件发生的危险因素,通过抑制炎症反应可有效减少心血管事件[2,14],这些发现都可以解释反映冠状动脉炎症的影像学指标FAI与MLA、FFR等参数间具有相关性。
本研究结果显示,FAI阳性组与阴性组在斑块的长度、体积、斑块类型等变量间没有显著差异,这与Goeller等的研究结果一致[15]。不同长度、体积的斑块均可发生炎症反应,且斑块炎症本身也是斑块进展的表现之一,所以斑块炎症与斑块的长度、体积等无直接相关。本研究与Goeller等研究有不同之处,即高危斑块所占比例在两组之间无明显差异。造成这种差异的原因是Goeller等的研究将责任斑块(造成心血管事件的斑块)定义为高危斑块,而本研究将具有两个或两个以上高危斑块特征(点状钙化、正性重构、餐巾环征和低密度斑块)的斑块定义为高危斑块。斑块造成心血管事件时通常会伴随炎症的发生,因此责任斑块与非责任斑块之间炎症的差异更加显著。
本研究结果显示FAI对心肌缺血有一定的预测能力,且阈值-69.87 HU与之前的研究相近[13]。当CCTA狭窄程度与斑块长度联合FAI构建模型后,模型的诊断效能有所提升,且差异具有统计学意义。该结果与Yu等[13]的研究结果相似,这些结果提示:虽然FAI不能单独成为预测心肌缺血的指标,但当与其他指标联合构建模型时可以有效提高模型预测心肌缺血的效能。本研究仅纳入了113例患者,心肌缺血阳性患者仅13例,研究结果可能存在偏倚,未来应进一步加大研究样本量。近期研究发现,基于计算流体力学算法得到的CT-FFR与有创FFR结果具有很好的一致性[16],未来还可通过CT-FFR获得大样本数据探究FAI与CT-FFR间的关系。最近也有研究发现,冠状动脉周围脂肪结合影像组学可用于诊断非钙化斑块[17],并具有良好的诊断效能。我们相信,随着进一步的研究,冠周脂肪一定能开发出更大的价值。
本研究存在以下不足:第一,本研究属于回顾性研究,患者均患有稳定性冠心病,可能存在一定的选择性偏倚;第二,本研究的数据来源于两家医院,由于所使用的检查设备为3台不同型号的CT扫描仪,且扫描方案和使用对比剂不同,两家医院FAI数据具有一定的差异,然而本研究结果并未受到这些因素的影响,提示本研究提出的模型和结论具有更好的普适性;第三,本研究仅收集了患者基线的CCTA影像,不能完全排除患者相关治疗所带来的影响。
本研究发现,FAI较高者病变血管的MLA更小,患者发生心肌缺血的几率更高,FAI对心肌缺血具有一定预测效能,同时对预测心肌缺血的复合模型也有一定的增量价值。进一步扩大样本量及前瞻性研究有助于验证本研究的结论。
所有作者均声明不存在利益冲突





















