
探索经腹腔镜微波消融联合肾部分切除术治疗肾肿瘤的安全性和疗效。
回顾性分析2017年11月至2021年5月北京大学肿瘤医院65例行腹腔镜下微波消融联合肾部分切除术治疗肾肿瘤患者的临床资料。其中男46例、女19例。年龄(56.6±14.1)岁,体质指数(25.7±3.3)kg/m2;左肾肿瘤30例,右肾肿瘤35例。患者东部肿瘤协作组(ECOG)评分59例0分,6例1分;肿瘤最大径(2.3±1.0)cm(1.0~5.0 cm)。R.E.N.A.L.评分4~6分41例,7~9分23例,10~12分1例。腹腔镜下微波消融肾肿瘤后行肾部分切除术。观察手术并发症,术后应用CT或MRI定期随访评估预后。
患者手术时间(76.6±19.4)min(40~120 min)。术中中位出血量20 ml(5~50 ml)。术后中位住院时间4 d(3~6 d),并发症Clavien Ⅰ级11例(发热、恶心呕吐、腰部疼痛),无Ⅱ级及以上并发症。术后病理结果示,所有患者未见肿瘤切缘阳性,肾透明细胞癌46例[美国癌症联合委员会(AJCC)病理分期:T1a期42例,T1b期4例;世界卫生组织/国际泌尿病理学会(WHO/ISUP)病理分级:1级21例,2级23例,3级2例];1型乳头状肾细胞癌2例(均为T1a期,1级);2型乳头状肾细胞癌1例(T1b期,2级);肾嫌色细胞癌2例(均为T1a期);低度恶性潜能多房囊性肾肿瘤1例;腺癌2例(结合直肠癌术后病史,考虑转移);肾血管平滑肌脂肪瘤6例;嗜酸细胞瘤2例;乳头状腺瘤1例;良性肾囊肿1例;肾血管瘤伴钙化1例。术后中位随访24个月(1~42个月),63例患者存活,2例死亡(1例因心脏疾病,1例因直肠癌转移)。结合术后影像学复查,其他患者均未见肾肿瘤复发和转移征象。定期复查肾功能基本正常。
腹腔镜下微波消融联合肾部分切除术治疗肾肿瘤的安全性和疗效良好,术中出血少,对肾功能影响小,并发症少,且不影响术后病理诊断,为肾肿瘤提供了一种安全有效的治疗选择。
版权归中华医学会所有。
未经授权,不得转载、摘编本刊文章,不得使用本刊的版式设计。
除非特别声明,本刊刊出的所有文章不代表中华医学会和本刊编委会的观点。
随着体检意识的提高及影像技术的发展,肾肿瘤检出率明显增加,其中越来越多的早期肾癌得到诊断和治疗。既往根治性肾切除术被认为是治疗肾癌的标准术式,由于对肾功能保护的重视及手术技术的提高,保留肾单位手术已成为肾小肿瘤治疗的首选。目前,腹腔镜辅助肾部分切除术已广泛开展,远期疗效和安全性良好。近年来,肿瘤局部微创治疗如微波、射频、冷冻、高能聚焦超声等消融技术也逐渐兴起并运用于肾肿瘤的治疗[1, 2, 3]。肿瘤的消融治疗具有其独特的优势,通过消融使局部的肿瘤组织血管发生变性坏死,能量的传导使肿瘤周围的血管组织凝固形成一个反应带,阻断肿瘤血供且有利于防止肿瘤转移,而且对肾功能损伤小、恢复快、复发率低[4, 5]。北京大学肿瘤医院自2017年尝试开展经腹腔镜微波消融联合肾部分切除术治疗肾肿瘤,安全性和疗效良好,现总结报道如下。
系列病例分析。分析2017年11月至2021年5月北京大学肿瘤医院65例行腹腔镜下微波消融联合肾部分切除术治疗肾肿瘤患者的临床资料。其中男46例、女19例。年龄(56.6±14.1)岁(22~84岁);体质指数(25.7±3.3)kg/m2(18.1~34.8 kg/m2);左肾肿瘤30例,右肾肿瘤35例,其中孤立肾患者6例(既往因对侧肾肿瘤行根治性切除术)。患者体力状况东部肿瘤协作组(ECOG)评分,59例0分,6例1分。肿瘤最大径(2.3±1.0)cm(1.0~5.0 cm)。根据术前影像学检查,R.E.N.A.L.评分4~6分41例,7~9分23例,10~12分1例。根据2016版美国麻醉医师协会(ASA)分级标准对患者体质状况和手术危险性进行评估,第一级41例,第二级16例,第三级8例。患者均签署手术知情同意书。本研究符合《赫尔辛基宣言》原则及相关伦理要求。
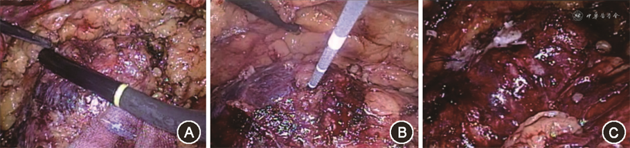
术中应用的微波发生器(南京康友公司,型号KY-2000),由电源、微波发射源、微波消融针、连接电缆、冷却系统组成;微波仪工作频率为2 450 Hz,微波发射源输出功率0~100 W,针型为1.1 cm×18.0 cm,内置水冷却循环系统,防止杆温过高[6, 7]。全身麻醉,经腹腔镜分离肾周脂肪囊,游离肾动脉以备阻断,显露肾肿物,直视或超声定位下将微波消融针穿刺入肿瘤组织内消融。根据肿瘤的大小选择单点或多点穿刺消融,设置50~80 W功率消融3~6 min,可观察到肾肿物在高温下内部水分蒸发,逐渐萎缩,质地变硬,凝固变性呈灰白色,肿瘤周围形成缺血反应带。消融结束,缓慢退出消融针,同时消融穿刺针道,防止肿瘤细胞种植。阻断肾动脉,沿消融后肿瘤环周缺血反应平面切除肿瘤,3-0和2-0倒刺线缝合切面,开放肾动脉,观察创面渗血情况决定是否缝合加固,确保创面无活动性出血(图1)。将标本置入标本袋中取出,送检病理科。


短期监测患者术后恢复情况,包括手术相关并发症如出血、感染、血尿或漏尿等,长期随访患者肿瘤复发、转移和生存等预后情况。术后第1天化验血常规、尿常规及生化全项;术后3个月门诊复查腹部增强CT/MRI、胸部CT/X线片、血常规、尿常规及生化全项;随后每3~6个月复查腹部B超/CT/MRI、胸部CT/X线片、血常规、尿常规及生化全项等。
采用SPSS 20.0统计软件分析数据。年龄、体质指数、肿瘤最大径、手术时间、术中肾动脉阻断时间符合正态分布,以表示;术中出血量、术后中位住院时间和术后疼痛视觉模拟评分(VAS)不符合正态分布,以中位数和范围表示;手术前后肾功能相关指标比较采用配对t检验。双侧检验,检验水准α=0.05。
患者均手术过程顺利,无中转开放手术。手术时间(76.6±19.4)min(40~120 min),术中肾动脉阻断时间(15.2±2.8)min(12~25 min),术中中位出血量20 ml(5~50 ml)。术后中位住院时间4 d(3~6 d)。术后中位VAS为1(0~2)分。根据术后并发症Clavien-Dindo分级系统评估,Ⅰ级11例(发热、恶心呕吐、腰部疼痛),无Ⅱ级及以上并发症;无继发出血、肾周血肿、感染、肉眼血尿或漏尿等。
术后病理提示:所有患者未见肿瘤切缘阳性,肾透明细胞癌46例(AJCC病理分期:T1a期42例,T1b期4例;WHO/ISUP病理分级:1级21例,2级23例,3级2例);1型乳头状肾细胞癌2例(均为T1a期,1级);2型乳头状肾细胞癌1例(T1b期,2级);肾嫌色细胞癌2例(均为T1a期);低度恶性潜能多房囊性肾肿瘤1例;腺癌2例(结合直肠癌术后病史,考虑转移);肾血管平滑肌脂肪瘤6例;嗜酸细胞瘤2例;乳头状腺瘤1例;良性肾囊肿1例;肾血管瘤伴钙化1例。
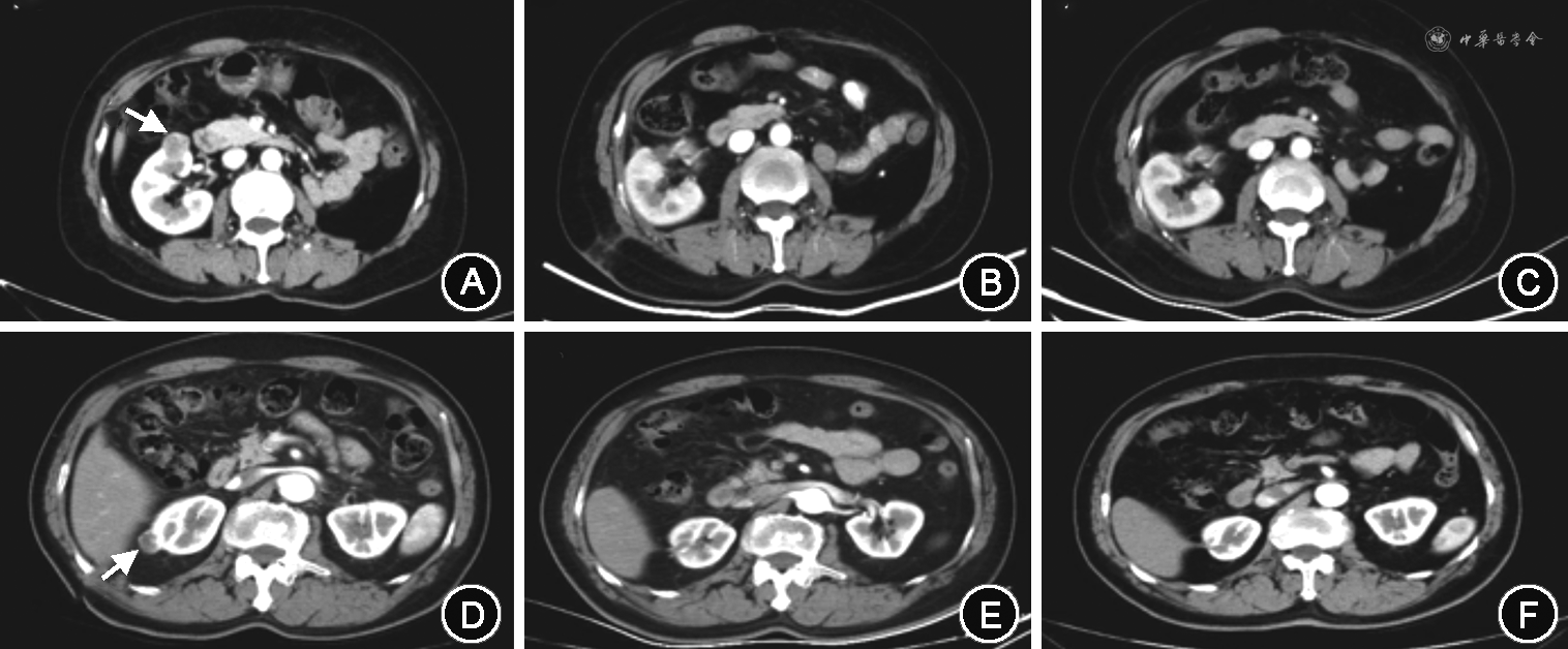
术后中位随访24个月(1~42个月),63例患者存活,2例死亡(1例因心脏疾病,1例因直肠癌转移)。结合术后影像学复查,其他患者均未见肾肿瘤复发和转移征象(图2);定期化验血常规、尿常规及生化全项,结果基本正常。比较因对侧肾肿瘤行根治性切除术后的6例孤立肾患者术前与术后3个月内的肌酐、尿素、尿酸和估算肾小球滤过率(eGFR),差异均无统计学意义(P>0.05),见表1。



6例孤立肾患者术前与术后3个月内肾功能变化
6例孤立肾患者术前与术后3个月内肾功能变化
| 例序 | 肌酐 (μmol/L) | 尿素 (mmol/L) | 尿酸 (μmol/L) | eGFR (ml/min) | ||||
|---|---|---|---|---|---|---|---|---|
| 术前 | 术后 | 术前 | 术后 | 术前 | 术后 | 术前 | 术后 | |
| 1 | 83 | 76 | 6.71 | 8.33 | 245 | 355 | 85.45 | 94.60 |
| 2 | 75 | 73 | 6.47 | 6.37 | 397 | 428 | 99.68 | 102.84 |
| 3 | 76 | 85 | 4.82 | 6.06 | 387 | 374 | 70.63 | 62.08 |
| 4 | 58 | 71 | 5.24 | 6.29 | 344 | 354 | 97.76 | 77.41 |
| 5 | 102 | 105 | 6.25 | 6.20 | 431 | 423 | 69.15 | 66.88 |
| 6 | 67 | 70 | 5.33 | 5.27 | 312 | 326 | 85.21 | 81.01 |
| t值 | 1.07 | 1.95 | 1.31 | 0.93 | ||||
| P值 | 0.33 | 0.11 | 0.25 | 0.40 | ||||
注:eGFR为估算肾小球滤过率
随着腹腔镜技术的发展以及对保留肾单位重要性的认识,经腹腔镜肾部分切除术已广泛应用于早期肾癌的治疗。在肾肿瘤治疗的国内外指南中,能量消融技术也推荐作为肿瘤局部微创治疗的选择之一[8]。微波消融是近年来兴起的一种原位肿瘤消融治疗手段。它利用高频电磁波使组织中的极性分子旋转震荡,高速运动摩擦产生热量,由于肿瘤细胞对热的耐受力比正常细胞差,在高温下组织蛋白变性凝固,导致肿瘤细胞不可逆的坏死,在靶区产生一类球形消融区[9]。此外,微波消融还可使肿瘤周围的微血管和动脉闭塞,从而形成环周的缺血反应带。本研究利用微波热能传导使局部组织血管凝固,从而肿瘤周围血供减少的特点,开展了腹腔镜下微波消融辅助肾部分切除术,经过初步的临床随访,预后良好。
经腹腔镜肾部分切除术前一般需通过阻断肾动脉减少切除肿瘤过程中的出血,但同时会导致缺血性肾损伤的风险。腹腔镜下切除缝合是一项精细、复杂、费时的操作,熟练缝合的学习曲线比较长,肾部分切除过程中创面的渗血影响手术视野会进一步延长缝合的时间。因此,如何减少创面渗血,提高切除缝合的速度,减少肾热缺血时间尤为重要。有研究报道,基于能量消融具有止血功能的特性,在肾部分切除术前首先对肾肿瘤进行消融,范围包括肿瘤以及边缘正常肾组织,然后完整切除肿瘤,手术过程顺利,总体预后良好[10, 11]。本研究首先通过微波对肿瘤组织进行消融凝固,阻断肾动脉,然后沿着环周的缺血反应带进行部分切除,切面渗血明显减少,视野清晰,提高了手术切除和缝合的效率。在不影响疗效的前提下,通过缩短腹腔镜下肾部分切除术的时间,减少肾动脉阻断时间,进而降低了因热缺血对肾的损害。
Zhu等[12]的研究纳入246例cT1a肾癌患者,比较了腹腔镜下射频消融辅助肾肿瘤切除术与腹腔镜下肾部分切除术的效果,结果显示腹腔镜下射频消融辅助肾肿瘤切除术在保留肾实质和减少局部缺血损伤方面具有独特的优势和潜力,而且预后更好。Zeltser等[13]报道了腹腔镜下射频消融辅助肾部分切除术治疗肾小肿物的中期预后,在未阻断肾动脉情况下切除32个肾肿瘤,平均失血量80 ml,平均随访31个月,未见肿瘤复发,肿瘤特异性生存率为100%。本研究回顾性分析了65例肾肿瘤行腹腔镜下微波消融辅助肾部分切除术,63例患者存活,未见其他患者肾肿瘤复发和转移征象。因此,本研究初步显示,腹腔镜下微波消融辅助肾部分切除术具有良好的肿瘤控制效果。
Huang等[14]研究报道腹腔镜下射频消融辅助肾肿瘤剜除术后的并发症包括尿漏(4.5%)、伤口感染和高血压,其中尿漏发生率高的原因可能与大部分患者消融后泌尿系统恢复能力差且未进行缝合有关。Zhao等[15]回顾总结了42例接受腹腔镜下射频消融辅助肾肿瘤剜除术后的并发症,包括术后发热(ClavienⅡ级)和尿漏(Clavien Ⅲ级),其中PADUA评分与术后长时间尿漏密切相关。本研究术后并发症发生Clavien Ⅰ级11例(包括发热、恶心呕吐、腰部疼痛),无Ⅱ级及以上并发症。本研究通过腹腔镜下微波消融辅助肾肿瘤剜除术后,进一步缝合了肾创面,术后无继发出血和尿漏等。因此,建议当肿瘤靠近肾集合系统时,剜除肿瘤后应缝合创面,降低术后尿漏发生率。此外,腹腔镜下能量消融辅助肾部分切除术在消融肿瘤的同时切除病灶,避免了单纯应用能量消融治疗可能造成的肿瘤残余和复发问题。消融后的肿瘤组织呈凝固性坏死改变,病理染色显示肿瘤细胞有坏死表现,但细胞结构与形态仍存在。因此,微波消融后切除的肿瘤,送检病理仍可以明确病理类型且可以判断肿瘤组织的边缘情况,本研究患者切缘未见阳性。
关于腹腔镜能量消融辅助肾部分切除术的研究多数纳入的是T1a 期肾癌,对于>4 cm 的肾肿瘤治疗讨论较少。随着对此术式疗效的认识加深和操作技术的成熟,适应证可进一步探讨。Chen等[16]研究报道了56例cT1b肾肿瘤行微波和射频消融辅助腹腔镜肾部分切除术的初步结果,中位随访36个月,3年肿瘤特异性和无进展生存率分别为100%和96.4%。本研究纳入5例T1b期肾肿瘤,包括4例透明细胞癌和1例 2型乳头状肾细胞癌,患者术后恢复和预后良好。此外,本研究中6例孤立肾患者,对比术前与术后1个月的肾功能指标,差异无统计学意义,且术后定期随访未见肿瘤局部复发和转移。因此,经腹腔镜消融治疗辅助肾部分切除术是一种安全、有效的保留肾单位方法,对于合适的cT1b肾肿瘤和孤立肾肿瘤患者可作为治疗选择之一,但远期预后需进一步观察。
综上所述,随着腹腔镜和能量消融技术的发展,基于腹腔镜直视下能量消融术将广泛开展应用。本研究结果初步表明,腹腔镜下微波消融联合肾部分切除术治疗肾肿瘤的安全性和疗效良好,术中出血少,对肾功能影响小,并发症少。但本研究属回顾性研究,样本量小,此术式开展的时间较短,远期疗效有待进一步观察。此外,对于体积较小、位置表浅、遗传性多发的肾肿瘤患者可以尝试进行单纯的腹腔镜下消融治疗,从而更好地保留正常肾单位。
所有作者均声明不存在利益冲突





















