
探讨10 μm级耳科专用CT与多层螺旋CT(MSCT)颞骨成像方案优化的试验对比情况。
前瞻性收集10个成人头颅标本(20侧颞骨),于2020年10至11月分别采用4组不同成像条件进行10 μm级耳科专用CT(90 kV、120 mAs;90 kV、140 mAs;100 kV、120 mAs;100 kV、140 mAs)和MSCT(120 kV、220 mAs;120 kV、310 mAs;140 kV、160 mAs;140 kV、220 mAs)扫描。应用5等级评分对图像质量进行主观评分并测量图像的对比噪声比(CNR)。应用热释光剂量片测量不同成像条件下的组织器官吸收剂量,并计算有效剂量。定义质量因数(FOM)为CNR均值的平方与有效剂量的比值。采用χ²检验分析比较不同扫描参数组的主观评分差异,采用配对t检验分析比较不同扫描参数组图像CNR的差异。分析比较两种设备推荐参数组合的图像质量、辐射剂量及FOM。
对于10 μm级耳科专用CT,100 kV条件下,140 mAs组图像CNR优于120 mAs组(11.27±1.85比10.26±1.38,P<0.001),两组图像主观评分的差异无统计学意义[5.00(4.00,5.00)比5.00(4.25,5.00),P=0.264]。对于MSCT,120 kV条件下,310 mAs组主观评分及CNR均优于220 mAs[4.00(3.00,4.00)比3.00(3.00,3.00),P=0.002;5.24±0.62比4.60±0.62,P<0.001]。根据图像质量-辐射剂量最优化原则,10 μm级耳科专用CT和MSCT的成像参数组合分别推荐100 kV、120 mAs和120 kV、310 mAs。10 μm级耳科专用CT图像主观评分和CNR均优于MSCT[5.00(4.25,5.00)比4.00(3.00,4.00),10.26±1.38比5.48±0.22,P<0.001],有效剂量是MSCT的1/3(82.99 μSv比252.56 μSv),FOM是MSCT的11.16倍(1 268.44 mSv-1比113.71 mSv-1)。
新研制的10 μm级耳科专用CT的颞骨图像质量显著优于MSCT,有效剂量低于MSCT,具有更精准、更安全的应用潜力。
版权归中华医学会所有。
未经授权,不得转载、摘编本刊文章,不得使用本刊的版式设计。
除非特别声明,本刊刊出的所有文章不代表中华医学会和本刊编委会的观点。
颞骨CT对耳硬化症、发育异常、骨折、炎症等病变具有重要的诊断价值[1, 2, 3, 4, 5, 6]。颞骨结构以骨质、气腔等为主,具有位置深在、结构微小、形态复杂的解剖特点,解剖结构显示及病变检出对图像空间分辨力要求高。因此,在颞骨CT技术发展过程中,提升空间分辨力及对微小结构的显示能力一直是该领域的研究重点[7, 8, 9, 10, 11, 12, 13, 14]。基于线阵探测器的多层螺旋CT(MSCT)是目前临床检查的主流设备。近年,基于平板探测器的锥形束CT(CBCT)在颞骨成像中的研究逐渐增多,有望获得更高的空间分辨力和更低的辐射剂量[15, 16, 17, 18, 19, 20]。2020年,一款自主研制的10 μm级耳科专用CT(Ultra3D-SE超高分辨率CT扫描仪U-HRCT)设备为临床颞骨检查提供了新工具[21]。但其成像方案及辐射剂量研究尚未见报道。本研究采用前瞻性设计,通过实验研究,综合评估U-HRCT和MSCT不同成像条件下的图像质量及辐射剂量,确定符合图像质量-辐射剂量最优化原则的成像参数,并进行对照研究,评估U-HRCT与MSCT在图像质量和辐射剂量方面的差异。
前瞻性收集成人头颅标本10个(20侧颞骨)(由黄河科技学院提供),冷藏袋保存(-8 ℃~-5 ℃),未经解冻或其他处理,所有标本外观无明显异常,临床病史资料不详,图像中无明确颞骨区域骨质破坏。本研究已获首都医科大学附属北京友谊医院医学伦理委员会的审核(2018-P2-210-02)。ATOM头颈部剂量测定体模(美国计算成像参考系统有限公司):模体由组织器官等效材料构成,可模拟人体头颈部组织对X射线的衰减,模体内部呈栅格状,可放置热释光剂量片(TLD)。
采用自主研制颞骨专用U-HRCT扫描仪(北京朗视仪器股份有限公司)进行扫描[21],X射线发生器焦点尺寸为0.27 mm×0.29 mm,额定管电压60~100 kV,探测器单元尺寸为0.074 8 mm×0.074 8 mm,覆盖探测器表面的X射线照射野≤127 mm×77 mm。分别设置4个参数组合:90 kV、120 mAs,90 kV、140 mAs,100 kV、120 mAs,100 kV、140 mAs。128排MSCT(荷兰飞利浦公司),X射线发生器焦点尺寸为0.6 mm×0.7 mm,探测器Z轴方向尺寸0.625 mm,准直宽度为20 mm×0.625 mm,螺距为0.246。分别设置4个扫描参数组合:120 kV、220 mAs,120 kV、310 mAs,140 kV、160 mAs,140 kV、220 mAs。分别采用U-HRCT和MSCT对所有实验标本的颞骨部位进行不同参数的扫描。U-HRCT扫描采用小视野高清轴扫模式,对双侧颞骨分别进行成像;图像重建视野65 mm×65 mm,矩阵650×650,层厚和层间距均为0.1 mm。MSCT扫描方式为全视野螺旋扫描,对双侧颞骨同时成像;分别对单侧颞骨进行小视野重建,重建视野65 mm×65 mm,矩阵512×512,层厚0.67 mm,层间距0.33 mm。
使用RadiAnt DICOM Viewer 2020.2软件(Medixant公司)对所有图像进行处理及分析。对8组不同设备和参数组合采集的图像进行主观评价和客观指标测量。由2名影像医师对整体图像质量进行5等级评分,1分:图像噪声很大,解剖结构边缘不清,不可用于诊断;2分:图像噪声大,解剖结构边缘尚可辨认,勉强可用于诊断;3分:图像噪声大,解剖结构边缘可辨认,可用于诊断;4分:图像有一定噪声,解剖结构边缘锐利,可满足诊断;5分:图像噪声不明显,解剖结构边缘锐利,可很好满足诊断。采用单幅图像法测量对比噪声比(CNR)。在外侧半规管最饱满层面,手动勾画外侧半规管旁骨质感兴趣区(ROI),测量得到平均信号强度为S骨质,标准差为SD骨质。在大脑区域选取大小为100 mm2的类圆形ROI,测量得到平均信号强度为S脑区,标准差为SD脑区。根据公式:,计算CNR[22]。根据主观、客观结果确定U-HRCT和MSCT颞骨成像图像最优的参数组合。定义“质量因数(FOM)”(单位:mSv-1)为CNR均值的平方与有效剂量E(单位:mSv)的比值,用于综合评价成像系统的图像质量与辐射剂量[23]。
使用TLD测量不同扫描参数下的组织器官吸收剂量。U-HRCT和MSCT对ATOM头颈部模体的扫描基线均为听眦线,Z轴方向扫描长度均为37 mm;U-HRCT扫描模式为小视野高清轴扫模式,扫描野为65 mm×65 mm,MSCT扫描模式为全视野螺旋扫描,扫描野为200 mm×200 mm。将TLD放置于ATOM头颈部模体的21处解剖点上[20,24],每个点放置3个TLD。每次扫描前,对TLD芯片进行退火处理。使用BR2000D型剂量读出器(北京博创特公司)测量每个芯片的剂量,取平均值作为每个解剖点的吸收剂量值DT(单位:μGy)。
X射线的辐射权重因子WR为1。各受照射组织器官在全身所占的比例设为n(%)(表1)。按照文献[25, 26]介绍的方法,根据公式:,计算等效剂量HT(单位:μSv),然后按照国际放射防护委员会2007年[27]更新的组织权重因子WT,根据公式:,计算有效剂量E。

头颈部受照射组织在全身组织中所占的百分比及相对应的TLD序号
头颈部受照射组织在全身组织中所占的百分比及相对应的TLD序号
| 受照组织及部位 | U-HRCT(%) | MSCT(%) | TLD序号 |
|---|---|---|---|
| 骨髓 | |||
下颌骨 | 0.7 | 0.7 | 13、16、17 |
颅骨 | 1.3 | 1.3 | 1~3 |
颈椎 | 1.7 | 1.7 | 14 |
| 甲状腺 | 100.0 | 100.0 | 20 |
| 食道 | 7.0 | 7.0 | 21 |
| 皮肤 | 2.0 | 2.0 | 8~10、15 |
| 骨表面 | |||
下颌骨 | 0.7 | 0.7 | 13、16、17 |
颅骨 | 1.3 | 1.3 | 1~3 |
颈椎 | 1.7 | 1.7 | 14 |
| 唾液腺 | |||
腮腺 | 50.0 | 100.0 | 11、12 |
颌下腺 | 50.0 | 100.0 | 18、19 |
| 大脑 | 20.0 | 40.0 | 4、5 |
| 其余组织 | |||
淋巴结 | 2.5 | 5.0 | 11~14、16~19、21 |
肌肉 | 2.5 | 5.0 | 11~14、16~19、21 |
| 胸腔外呼吸道 | 50.0 | 100.0 | 6、7、11~14、16~19、21 |
| 口腔黏膜 | 50.0 | 100.0 | 11~13、16~19 |
注:U-HRCT为10 μm级耳科专用CT;MSCT为多层螺旋CT;TLD为热释光剂量片
应用SPSS 26.0软件对数据进行分析。主观评分符合偏态分布,以M(Q1,Q3)表示,采用秩和检验进行组间比较,采用加权Kappa检验进行一致性检验,依据Kappa值判断一致性,0.81~1:几乎完全一致;0.61~0.80:具有高度一致性;0.41~0.60:具有中等一致性;0.21~0.40:具有一般一致性;0.0~0.20:具有极低的一致性。CNR符合正态分布,以表示,采用配对t检验进行组间比较。双侧检验,检验水准α=0.05。
两名影像医师对U-HRCT和MSCT图像质量的主观评分具有高度一致性(3组/8组)或中等一致(5组/8组)。
针对U-HRCT,相同mAs条件下,100 kV组的图像主观评分及CNR明显优于90 kV组[5.00(4.25,5.00)比4.00(4.00,5.00),P=0.007;10.26±1.38比9.26±1.54,P<0.001](表2),颞骨成像的管电压条件推荐选择100 kV;100 kV条件下,140 mAs组图像CNR优于120 mAs组(11.27±1.85比10.26±1.38,P<0.001),两组图像主观评分的差异无统计学意义[5.00(4.00,5.00)比5.00(4.25,5.00),P=0.264](表2)。综合主客观评价结果,U-HRCT在100 kV、120 mAs和100 kV、140 mAs组合时可获得更高的图像质量。

U-HRCT不同参数组合的颞骨图像质量比较(n=20)
U-HRCT不同参数组合的颞骨图像质量比较(n=20)
| 成像条件 | 主观评分a | CNRb |
|---|---|---|
| 相同mAs、不同kV | ||
90 kV、120 mAs | 4.00(4.00,5.00) | 9.26±1.54 |
100 kV、120 mAs | 5.00(4.25,5.00) | 10.26±1.38 |
| χ2/t值 | 10.067 | 5.741 |
| P值 | 0.007 | <0.001 |
| 相同kV、不同mAs | ||
100 kV、120 mAs | 5.00(4.25,5.00) | 10.26±1.38 |
100 kV、140 mAs | 5.00(4.00,5.00) | 11.27±1.85 |
| χ2/t值 | 2.667 | 5.474 |
| P值 | 0.264 | <0.001 |
注:U-HRCT为10 μm级耳科专用CT;CNR为对比噪声比;aM(Q1,Q3);b
针对MSCT,相同mAs条件下,140 kV组图像CNR值优于120 kV组[5.24±0.62比4.47±0.58,P<0.001],但两组图像主观评分的差异无统计学意义[3.00(3.00,4.00)比3.00(3.00,3.00),P=1.710](表3);120 kV条件下,310 mAs组主观评分及CNR均优于220 mAs[4.00(3.00,4.00)比3.00(3.00,3.00);5.24±0.62比4.60±0.62](均P<0.05)(表3);但不同kV、mAs组合下,120 kV、310 mAs组的主观评分优于140 kV、220 mAs组[4.00(3.00,4.00)比3.00(3.00,4.00),P=0.028],两组CNR值差异无统计学意义(5.48±0.220比5.24±0.62,P=0.067)(表3)。因此,综合主客观评价结果,MSCT在120 kV、310 mAs和140 kV、220 mAs组合时可获得较好的图像质量。

MSCT不同参数组合的颞骨图像质量比较(n=20)
MSCT不同参数组合的颞骨图像质量比较(n=20)
| 成像条件 | 主观评分a | CNRb |
|---|---|---|
| 相同mAs、不同kV | ||
120 kV、220 mAs | 3.00(3.00,3.00) | 4.47±0.58 |
140 kV、220 mAs | 3.00(3.00,4.00) | 5.24±0.62 |
| χ2/t值 | 1.710 | -6.109 |
| P值 | 0.425 | <0.001 |
| 相同kV、不同mAs | ||
120 kV、220 mAs | 3.00(3.00,3.00) | 4.60±0.62 |
120 kV、310 mAs | 4.00(3.00,4.00) | 5.24±0.62 |
| χ2/t值 | 12.527 | -5.341 |
| P值 | 0.002 | <0.001 |
| 不同kV、不同mAs | ||
120 kV、310 mAs | 4.00(3.00,4.00) | 5.48±0.22 |
140 kV、220 mAs | 3.00(3.00,4.00) | 5.24±0.62 |
| χ2/t值 | 9.135 | 1.944 |
| P值 | 0.028 | 0.067 |
注:MSCT为多层螺旋CT;CNR为对比噪声比;aM(Q1,Q3);b
U-HRCT在100 kV、120 mAs和100 kV、140 mAs时,有效剂量分别为82.99 μSv和98.11 μSv(表4);两组条件有效剂量差值15 μSv,差异较小。综合考虑图像质量与辐射剂量,在100 kV、120 mAs和100 kV、140 mAs两组条件都能满足诊断情况下,推荐U-HRCT最优成像参数组合为辐射剂量较低的100 kV、120 mAs。

U-HRCT、MSCT不同成像条件的有效剂量(E)(μSv)
U-HRCT、MSCT不同成像条件的有效剂量(E)(μSv)
| 成像条件 | 骨髓 | 甲状腺 | 食道 | 皮肤 | 骨表面 | 唾液腺 | 大脑 | 其余组织 | E |
|---|---|---|---|---|---|---|---|---|---|
| U-HRCT | |||||||||
100 kV、120 mAs | 10.73 | 5.99 | 0.44 | 0.96 | 10.73 | 5.81 | 10.25 | 38.07 | 82.99 |
100 kV、140 mAs | 12.63 | 6.63 | 0.53 | 1.02 | 12.63 | 7.17 | 11.97 | 45.54 | 98.11 |
| MSCT | |||||||||
120 kV、310 mAs | 26.64 | 26.41 | 2.01 | 2.92 | 26.64 | 44.69 | 60.71 | 62.54 | 252.56 |
140 kV、220 mAs | 32.97 | 25.83 | 1.93 | 3.34 | 32.97 | 44.87 | 72.63 | 65.81 | 280.35 |
注:U-HRCT为10 μm级耳科专用CT;MSCT为多层螺旋CT;E为有效剂量
MSCT在120 kV、310 mAs和140 kV、220 mAs时,有效剂量分别为252.56 μSv和280.35 μSv(表4),分别是U-HRCT成像条件100 kV、120 mAs下有效剂量的3.04倍和3.38倍;两组成像条件有效剂量相差28 μSv。综合考虑图像质量与辐射剂量,推荐MSCT最优成像参数组合选择辐射剂量较低的120 kV、310 mAs。
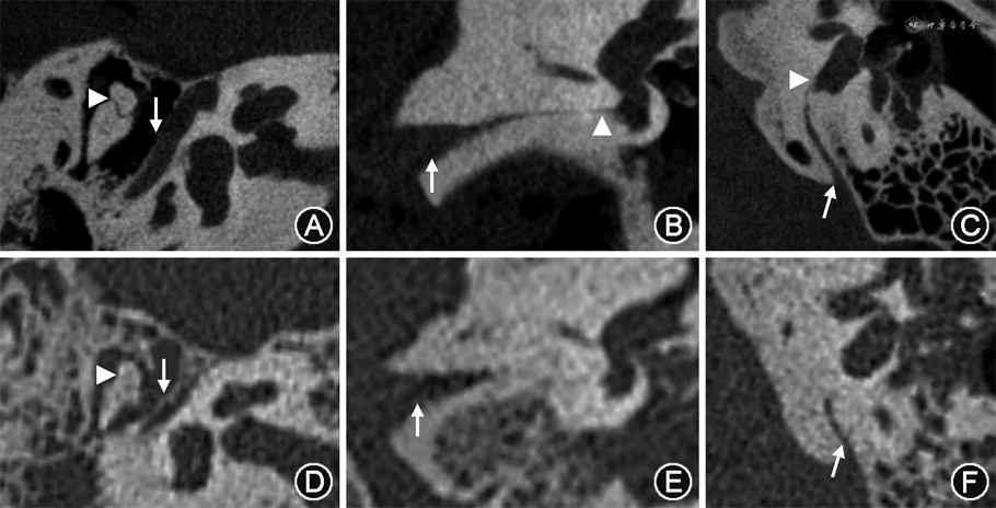
对比U-HRCT(100 kV、120 mAs组)和MSCT(120 kV、310 mAs组)的颞骨图像可以看出,U-HRCT整体图像质量明显优于MSCT(图1);U-HRCT对锤砧关节(图1A)、面神经管骨壁(图1A)、耳蜗导水管内口(图1B)、前庭导水管内口(图1C)等精细结构显示清晰。


U-HRCT图像主观评分和CNR均优于MSCT[5.00(4.25,5.00)比4.00(3.00,4.00),10.26±1.38比5.48±0.22,P<0.001](表5),有效剂量是后者的1/3(82.99 μSv比252.56 μSv),FOM是后者的11.16倍(1 268.44 mSv-1比113.71 mSv-1)。

成像设备U-HRCT与MSCT推荐参数组合之间的颞骨图像质量比较(n=20)
成像设备U-HRCT与MSCT推荐参数组合之间的颞骨图像质量比较(n=20)
| 成像设备 | U-HRCT (100 kV、120 mAs) | MSCT (120 kV、310 mAs) | χ2/t值 | P值 |
|---|---|---|---|---|
| 主观评分a | 5.00(4.25,5.00) | 4.00(3.00,4.00) | 22.619 | <0.001 |
| CNRb | 10.26±1.38 | 5.48±0.22 | 18.844 | <0.001 |
注:U-HRCT为10 μm级耳科专用CT;MSCT为多层螺旋CT;CNR为噪声比;aM(Q1,Q3);b
X射线成像的条件选择通常遵循图像质量-辐射剂量最优化原则,即在图像质量达到优质情况下选择相对低的剂量。首先,本文通过对U-HRCT不同成像条件下图像质量的主观评价及客观指标评价,确定了U-HRCT图像质量达到优质的2组成像参数100 kV、120 mAs和100 kV、140 mAs。然后,测量并计算两组成像条件下的有效剂量,结果均<0.1 mSv,剂量较低。在两组图像都能满足诊断情况下,根据剂量最低原则推荐U-HRCT最优成像参数为100 kV、120 mAs组。但是在实践过程中,若临床对图像质量要求高,或受检者头颅较大,可考虑选择100 kV、140 mAs参数组。因U-HRCT采用了小焦点X射线发生器(0.27 mm×0.29 mm),100 kV、140 mAs扫描条件已达到发生器的最高功率,故无法进行更高辐射条件的测试。但同时平板探测器动态范围小,接收的X射线光通量比较低,导致组织对比分辨力差,因此更适用于提高空间分辨力。
本文对MSCT的成像参数选择依然采用了图像质量-辐射剂量最优化原则,即根据主观评分和CNR测量确定了图像质量达到优质的2组成像参数120 kV、310 mAs和140 kV、220 mAs,并根据辐射剂量比较确定120 kV、310 mAs为推荐参数组。该研究结果与文献报道的MSCT最优成像参数组合基本吻合[28, 29]。
在本研究中,U-HRCT与MSCT两种设备的对照原则为依据临床实效进行比较,即选择两种设备符合临床应用的图像质量-辐射剂量最优化原则的参数组合进行比较,这与传统方法存在不同。在传统方法中,通常是相同辐射剂量时比较图像质量或获得相同图像质量的情况下比较辐射剂量。本文采用临床实效为依据进行对照研究的主要原因有两方面:一是无论MSCT选择什么扫描条件,都无法达到与U-HRCT的图像质量对等;二是本文采用组织器官吸收剂量测量方法操作过程复杂、耗时,在选择两种设备相同的辐射剂量条件时存在困难。因此,本文首先分别确定了U-HRCT和MSCT的最优成像参数组,然后再比较两种设备在最优成像参数组合时的图像质量和辐射剂量。根据对比,U-HRCT图像CNR是MSCT图像CNR的2倍,而MSCT有效剂量是U-HRCT的3倍。综合比较两种设备的图像质量和辐射剂量,U-HRCT质量因数FOM是MSCT所获得FOM的11.16倍。结果显示,U-HRCT不仅在图像质量上具有巨大的应用价值,而且辐射剂量更低。理论上,U-HRCT的X射线源与受检体距离更近、获得的体素尺寸更小,不利于辐射剂量降低。而在本研究实测中,U-HRCT的单次扫描辐射剂量更低,笔者认为有两方面的原因:一是U-HRCT采用的扫描条件(100 kV、120 mAs)远远低于MSCT的扫描条件(120 kV、310mAs),低kV和低mAs产生的辐射剂量更低;二是U-HRCT采用了局部视野扫描,单次扫描的有效视野为65 mm×65 mm,而MSCT扫描的有效视野>200 mm×200 mm,小视野降低了辐射剂量。
本团队研发的U-HRCT已进入产品转化阶段。一旦该技术成果应用于临床实践中,不仅为我国耳科疾病研究提供了最先进的影像实验手段,而且,随着该设备在临床的推广应用,将为患者提供更精准、更安全的检查手段,将极大推动耳病诊疗的发展,造福广大耳科疾病患者。
感谢清华大学工程物理系贾淑梅博士对实验方案的指导,感谢首都医科大学附属北京同仁医院放射科刘云福老师、马文涛老师对实验实施的指导与协助,感谢北京朗视仪器股份有限公司的吴宏新、张文宇、张康平老师对实验方案设计及操作的指导,感谢北京市职业病防治研究院医用辐射防护研究室刘澜涛老师对实验数据分析的指导与帮助
所有作者均声明不存在利益冲突





















