
探讨四维CT(4 D CT)引导下联合深吸气屏气(DIBH)技术在孤立性肺结节术前定位中的应用价值。
回顾性收集宁波市第一医院2018年3月至2021年5月106例孤立性肺结节患者资料,其中男26例,女80例,年龄21~83(47.4±14.2)岁。按照定位方式不同分成对照组53例,采用平静呼吸下CT引导注射吲哚菁绿定位肺结节;试验组53例,采用4 D CT引导联合DIBH技术注射吲哚菁绿定位肺结节。比较两组患者肺结节与吲哚菁绿注射点的三维方向距离偏差,得到肺结节定位的精确度;采用计时方式比较两组患者的术前定位时间差异。
106例患者中,有46例纯磨玻璃结节,32例亚实性结节,28例实性结节;术前均成功定位,成功率100%。对照组肺结节大小为(9.1±2.3)mm;吲哚菁绿注射点与肺结节的三维方向偏差[M(Q1,Q3)]为X轴[7.0(3.7,12.6)mm]、Y轴[6.6(2.9,11.2)mm]、Z轴[3.0(2.0,6.0)mm];术前定位手术时间为(11.4±3.8)min。试验组肺结节大小为(8.9±2.1)mm;三维方向偏差为X轴[4.8(3.0,7.9)]mm、Y轴[3.8(1.3,7.5)]mm、Z轴[4.0(2.0,6.0)]mm;术前定位手术时间为(9.3±3.0)min。试验组和对照组术前定位时间以及三维方向中X、Y轴偏差差异均有统计学意义(均P<0.05),Z轴偏差差异无统计学意义(均P>0.05)。
4 D CT引导下联合DIBH技术能够提高肺结节术前定位的精确度,节省时间,具有一定的推广价值。
版权归中华医学会所有。
未经授权,不得转载、摘编本刊文章,不得使用本刊的版式设计。
除非特别声明,本刊刊出的所有文章不代表中华医学会和本刊编委会的观点。
随着低剂量螺旋CT扫描的普及,以肺结节为表现的早期肺癌被越来越多地发现[1, 2]。胸腔镜辅助外科手术切除是早期肺癌的首选治疗方法,可明显改善患者的预后[3]。然而对于外周型且位置较深的肺结节,通过手术完整切除并成功找到肺结节有一定的难度,甚至有中转开胸的可能。因此,对于此类肺结节,术前精准定位是手术成功的关键。CT引导下hookwire穿刺定位、微弹簧圈定位、注射染色剂、硬化剂、吲哚菁绿等被应用于肺结节的术前定位[4]。然而,术前CT引导下肺结节定位由于受呼吸运动的影响,可能会出现定位偏差过大,甚至定位失败[5, 6]。深吸气屏气(deep inspiration breath hold,DIBH)技术指通过患者深吸气后屏气达到减少或者消除呼吸运动,从而提高肺结节定位的精准度。由于缺乏评估呼吸运动的装置,患者每次的呼吸动度并不能保持一致,也会导致肺结节定位偏差过大等无效定位[7]。四维CT(four dimensional computed tomography,4 D CT)是呼吸门控系统的一种,可使患者的呼吸运动变得可视化,可以实时检测患者的呼吸动度,以保证每次吸气量的一致性。本研究采用4 D CT联合DIBH技术行肺结节术前定位旨在评估此定位方法的临床应用价值。
本研究为横断面研究。为减少人为因素产生误差,回顾性收集2018年3月至2021年5月宁波市第一医院胸外科同一医疗小组、同一主刀医师、同一CT进行4 D CT引导DIBH技术在肺结节术前注射吲哚菁绿定位的57例患者资料,其中因2例患者肺结节直径>2 cm、1例患者定位后要求转院治疗、1例患者肺内多发病灶并伴随淋巴结转移,最终53例患者符合纳入标准作为试验组。根据配对试验设计要求,选取同样条件下同等数目平静呼吸下CT引导注射吲哚菁绿定位的53例患者作为对照组。
纳入标准:(1)胸部CT发现肺部结节,考虑恶性可能;(2)肺内病变孤立性,边缘无粘连,直径≤2 cm;(3)患者能正常呼吸,穿刺之前经过训练吸气屏气,时间≥30 s:(4)术前评估患者心、肺功能以及血常规凝血功能等,并和患者及家属说明注意事项以及并发症,签署手术同意书。
排除标准:(1)肺部CT诊断不明确或影像学提示肺结节引起局部胸膜改变;(2)肺内多发病灶或纵膈、肺门肿大淋巴结转移可能;(3)肺结节直径>2 cm或者心肺功能差,不足以支持手术;(4)肺大泡、气胸或者支气管扩张等无需肺结节定位手术。
该研究共计入组106例患者,其中男26例,女80例,年龄21~83(47.4±14.2)岁。本研究已通过宁波市第一医院医学伦理委员会审核(2021RS090),患者知情同意豁免。
1. 仪器设备:荷兰Philips Brilliance BigBroe 16 CT;美国Varian 4 D呼吸门控系统;CYRAPA HIT三维外置定位激光灯系统;同轴套管针(美国BLN2110);注射用吲哚菁绿(25 mg/支,丹东医创药业有限责任公司)。
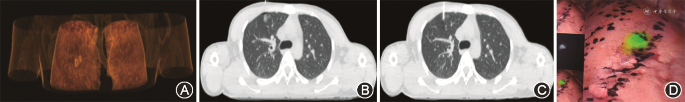
2. 定位方法:(1)术前CT引导下穿刺定位技术:患者仰卧位,采用16排CT扫描后根据磨玻璃结节位置,选择合适角度、距离以及最佳进针点(最近原则),表面消毒、铺巾,以2%利多卡因局部麻醉;再次扫描确定位置,根据吲哚菁绿使用推荐说明,缓慢注射0.05~0.15 ml吲哚菁绿;最后再次扫描确认,并观察气胸、出血等情况,嘱患者静卧休息,等待进入手术。肺结节定位时间定义为CT第一次扫描开始到最后一次扫描确认吲哚菁绿注射位置为止。(2)4 D CT联合DIBH穿刺定位技术(图1):①患者平躺采取仰卧位,双手平放两侧,联合VARIAN的4 D CT系统,在患者胸部剑突位置放置带有红外荧光点的模块,利用体表金属点判断患者呼吸运动,扫描床尾部放置红外发射器和接收红外信号的摄像机采集模块的运动装置,由专业计算机将模块运动轨迹转换为患者呼吸信号;训练患者吸气屏住,确定患者屏气范围,患者根据分屏确定前几次呼吸屏气范围,进行常规2 mm螺旋扫描;②根据CT重建图像,确定患者呼吸范围、穿刺进针点、进针深度以及倾斜角度;利用三维外置激光灯将选取进针点、进针深度以及倾斜角度在体表标记出来;③皮肤表面消毒、铺巾,以2%利多卡因局部麻醉;④取出同轴套管针,嘱患者根据显示屏内呼吸范围,吸气屏气,穿刺医师根据计划一次性进针。再次嘱患者吸气屏气,进行CT扫描病灶,确认穿刺部位统计穿刺针尖与肺结节中心三维误差,然后根据吲哚菁绿使用推荐说明书,在磨玻璃结节表面,注射浓度为0.025~2.5 mg/ml,注射量为0.05~0.15 ml(宁少勿多原则)缓慢注射吲哚菁绿;⑤术后拔掉套管针,压迫穿刺点,消毒,无菌纱布包扎;⑥进行普通CT平扫,观察是否有气胸、出血等情况,嘱患者静卧休息,等待进入手术。


采用SPSS 21.0软件进行统计学分析。采用率和频数描述性别、肺结节类型、分布和病理等定性资料。定位时间符合正态分布,以表示,采用t检验进行两组间的比较。肺结节定位在三维方向上的偏差不符合正态分布,以M(Q1,Q3)表示,采用Mann-Whitney U检验进行两组间比较。双侧检验,检验水准α=0.05。
1. 结节性质:106例肺结节患者中,纯磨玻璃结节46例(43.4%),亚实性结节32例(30.2%),实性结节28例(26.4%)。
2. 结节分布:106例肺结节患者中,分布于左上肺33例(31.1%),左下肺17例(16.0%);右上肺25例(23.6%),右中肺20例(18.9%),右下肺11(10.4%)例(表1)。

106例肺结节患者的临床资料和肺结节的形态分布特点[例(%)]
106例肺结节患者的临床资料和肺结节的形态分布特点[例(%)]
| 项目 | 数据 |
|---|---|
| 性别(例,男/女) | 26/80 |
肺磨玻璃结节类型 | |
纯磨玻璃结节 | 46(43.4) |
亚实性结节 | 32(30.2) |
实性结节 | 28(26.4) |
| 肺磨玻璃肺叶部位分布 | |
左上肺 | 33(31.1) |
左下肺 | 17(16.0) |
右上肺 | 25(23.6) |
右中肺 | 20(18.9) |
右下肺 | 11(10.4) |
| 肺磨玻璃距胸膜表面分布 | |
肺外周1/3 | 97(91.5) |
中间型1/3 | 9(8.5) |
| 肺磨玻璃结节大小(cm) | |
≤0.50 | 13(12.2) |
0.51~1.00 | 78(73.6) |
1.01~1.50 | 11(10.4) |
1.51~2.00 | 4(3.8) |
| 肺结节病理类型 | |
腺癌 | 76(71.7) |
原位癌 | 21(19.8) |
肉芽肿 | 7(6.6) |
非典型样增生 | 2(1.9) |
| 并发症 | |
轻度气胸 | 5(4.7) |
肺内出血 | 2(1.9) |
胸膜反应 | 1(0.9) |
试验组在X、Y两个维度上小于对照组[4.8(3,7.9)mm比7.0(3.7,12.6)mm,3.8(1.3,7.5)mm比6.6(2.9,11.2)mm](Z=-2.14、-2.34,均P<0.05),Z轴上差异无统计学意义(P=0.343)(表2)。试验组肺结节定位时间短于对照组[(9.3±3.0)min比(11.4±3.8)min;t=-3.32,P<0.001)]。

两组肺结节患者术前定位位移偏差和定位时间比较
两组肺结节患者术前定位位移偏差和定位时间比较
| 项目 | 试验组 (n=53) | 对照组 (n=53) | Z/t值 | P值 |
|---|---|---|---|---|
| 位移偏差(mm)a | ||||
X轴 | 4.8(3,7.9) | 7.0(3.7,12.6) | -2.14 | 0.033 |
Y轴 | 3.8(1.3,7.5) | 6.6(2.9,11.2) | -2.34 | 0.019 |
Z轴 | 4.0(2.0,6.0) | 3.0(2.0,6.0) | -0.95 | 0.343 |
| 术前定位时间(min)b | 9.3±3.0 | 11.4±3.8 | -3.32 | <0.001 |
注:试验组为四维CT(4 D CT)联合深吸气屏气(DIBH)技术引导下肺结节定位;对照组为平静呼吸下CT引导肺结节定位;X轴代表患者平躺定位横断面左右方位;Y轴代表患者轴状面头脚方位;Z轴代表患者矢状面腹背方位;aM(Q1,Q3);b
胸腔镜手术切除肺结节是治疗早期肺癌的首选治疗方式,然而手术成功的关键在于是否能够准确、快速地找到肺结节位置[8]。在临床上对于胸膜表面可视的、表浅可触及的肺结节,通常不需要进行术前定位;而位置较深、不能看到且不可触及的肺结节,常常需要在手术切除前进行肺结节定位,以保证完整切除肺结节和获得足够的切缘,为患者减少局部复发的风险[9, 10]。当前国内外肺结节术前定位方式多种多样,如仿真肺结节定位模型、电磁导航定位、99mTc-3PRGD2 SPECT/CT显像联合3 D打印模板体表定位等先进精准定位方式[11, 12, 13],但是对于大多数基层医院并不具备3 D或电磁导航设备,所以CT引导穿刺定位由于简单、准确率高被广泛应用。CT引导下hookwire穿刺定位由于其脱钩、甚至术中有无法找到定位针的可能等弊端,逐渐被CT引导下注射硬化剂、亚甲蓝、吲哚菁绿等定位方法所替代[14, 15, 16, 17]。因为注射硬化剂、亚甲蓝可能影响肺结节的病理结果,并且亚甲蓝价格昂贵,所以本研究采用CT引导下注射吲哚菁绿行术前肺结节定位。
术前CT引导下肺结节定位能否成功不仅受医师操作水平、肺结节位置的影响,而且与患者本身的呼吸运动也有很大的关系。呼吸运动的不同阶段,肺体积有相应不同程度的变化:肺下叶的移动度在深呼气和吸气相比时可以达到6~8 cm,肺上叶的移动度在深吸气和深呼吸相比时可以达到4~6 cm。因此,如何消除呼吸运动对于肺部位移的影响,是肺结节精准定位的关键。传统定位技术运用定位格栏确定定位点和角度,但是由于呼吸运动的不确定性,需要医师反复调节穿刺角度。多次的调针和重复的扫描,不仅增加了患者的定位时间,而且会增加患者不良反应风险,也会对患者造成大的辐射损伤。
本研究中采用的4 D CT引导下联合DIBH技术进行肺结节术前定位具有如下优势:第一,定位更加精准。本研究中,试验组的吲哚菁绿注射点与肺结节三维方向的偏差在X、Y两个维度上明显小于对照组[4.8(3,7.9)mm比7.0(3.7,12.6)mm,P=0.033;3.8(1.3,7.5)mm比6.6(2.9,11.2)mm,P=0.019]。Z轴方向,由于定位CT是螺旋扫描,层厚为2 mm,所以Z轴的距离统计都为层厚的整数倍,不能测量确定的距离不具有科学性。4 D CT是专门针对胸部的一种实用性工具,它能实时检测与呼吸运动相关的胸腔内器官的运动范围[18]。DIBH是一种在放疗技术上运用比较多的一种技术,大量文献报道[19, 20]DIBH在运动管理上是一种优秀技术,尤其精准定位,但是呼吸量一致性和呼吸潮量多少很难把握。4 D CT引导下联合DIBH技术是通过胸廓的起伏,实时检测呼吸运动。理论上4 D CT可使患者的每次呼吸幅度尽量保持一致,从而更加精准地定位肺结节,尤其是位于肺裂、肺下叶等活动度较大的位置的肺结节[21],进而做到肺结节精准切除,在保证足够切缘的同时保留更多的肺功能。第二,定位时间缩短。数据显示试验组肺结节定位时间明显短于对照组[(9.3±3.0)min比(11.4±3.8)min,P<0.05]。对照组肺结节定位时间长可能与4 D CT引导下联合DIBH技术可以减少因肺活动较大而反复更换胸壁表面穿刺定位点的频率有关。而试验组患者实施定位时,由于患者训练呼吸量和潮气量一致,在单次屏气就可达到预期效果,减少CT扫描次数。第三,适用范围广。位于特殊位置(如肩胛骨或者乳腺受挡部位、近膈肌或心脏大血管位置等)的肺结节,通过4 D监视下选取适应屏气范围,避开肋骨、脊椎等障碍物的进针角度也可以达到精准定位肺结节。
但此定位方法的应用也有一些不足:(1)定位后应尽快(3 h内)行手术切除以防止吲哚菁绿弥散导致的定位失败[22];(2)虽然此次研究患者定位全程良好,无过敏反应,无明显疼痛感,但是出现轻度气胸5例,肺内出血2例,胸膜反应1例。
综上所述,4 D CT引导下联合DIBH技术能够提高肺结节术前定位的精确度,节省定位时间,值得进一步推广。但是本研究为单中心小样本的研究,需要多中心大样本的临床研究进一步验证此方法定位的安全性和可行性。
所有作者均声明不存在利益冲突





















