
探讨混合型肝细胞-胆管细胞癌(cHCC-CC)的病理形态特征及病理分型与预后的相关性。
收集2007年1月至2021年6月中国人民解放军南部战区总医院30例cHCC-CC患者的临床资料,依据Goodman标准及第5版世界卫生组织(WHO)消化系统肿瘤分类分别对组织形态学进行分型,并分析其与预后的关系。
30例患者中其中男28例,女2例,平均年龄50.4(31~72)岁。Goodman分型:Ⅰ型(即碰撞型肿瘤)9例,HCC与CC相邻而生,随生长碰撞融合;Ⅱ型(移行型肿瘤)21例,HCC与CC混杂生长于同一瘤体内,两者间见移行过渡。依据2019年第5版消化系统肿瘤WHO分类,cHCC-CC 25例,cHCC-CC-中间细胞癌5例。30例患者21例伴肝硬化,1例伴肝吸虫,23例乙型肝炎表面抗原(HBsAg)阳性。9例免疫组化巢蛋白(Nestin)阳性,66.7%死亡(6/9),33.3(3/9)仅存活6个月。1年复发肝切除术率3.9%,原位肝移植术50%。复发后肝叶切除术比肝移植术总体生存期长(1年复发率和生存率为8.3%和66.6%,5年生存率33.3%(3/9)。复发率虽较低,但大多数患者(8/12)在移植术后半年到2年内,因肿瘤转移等脏器并发症而死亡。
cHCC-CC术前诊断困难,确诊依赖组织病理学形态及免疫组化标记,Nestin可能是影响患者预后的因素,肝切除术为更佳的外科治疗策略。
版权归中华医学会所有。
未经授权,不得转载、摘编本刊文章,不得使用本刊的版式设计。
除非特别声明,本刊刊出的所有文章不代表中华医学会和本刊编委会的观点。
原发性肝癌从组织类型上主要分为源于肝细胞的肝细胞癌、源于肝内胆管上皮细胞的胆管细胞癌以及兼具肝细胞癌和胆管细胞癌特征的混合型肝细胞-胆管细胞癌(combined hepatocellular cholangiocarcinoma,cHCC-CC),后者占原发性肝癌的0.4%~14.2%[1]。由于cHCC-CC的临床症状、相关肿瘤标志物及影像学检查结果均不具有特征性,因此术前通过依据肿瘤标志物及影像学等无创性检查结果确诊几乎不可能。组织学形态结合免疫组化检查是唯一确诊依据。但是国内外病理专著对cHCC-CC的形态学描述和病理诊断的结构特征大多描述过于简单,更缺乏形态特异的病理图片供参考。本研究回顾性分析解放军南部战区总医院30例cHCC-CC病例,探讨了cHCC-CC的病理形态学特征、病理分型及其与预后的相关性。
1. 研究对象:收集2007年1月至2021年6月解放军南部战区总医院30例cHCC-CC患者,12例行原位肝移植术(供体来自脑死亡患者),18例行肝叶切除术或肝部分切除术。本研究为回顾性病例分析,符合赫尔辛基伦理学的要求。
2. 研究方法:(1)回顾性分析30例患者临床病历及影像学检查资料,同时调阅30例患者的常规病理切片,由两位病理高年资医师采用双盲法、独立复习病理切片并做出诊断。(2)每例选取一个组织学形态典型的蜡块,重新切片行HE染色及免疫组化标记。免疫组化检查采用Envision两步法。所有抗体包括购自中衫金桥生物技术有限公司的广谱细胞角蛋白(cytokine,CK)、波形蛋白(Vimentin)、CK7、CK19、CK8/18,肝细胞(Hepatocyte)、磷脂酰肌醇蛋白聚糖(Glypican)-3、热休克蛋白70(heat shock proteins,HSP70)和购自泉晖国际贸易有限公司的黏蛋白1(mucin,MUC-1)、CD34、甲胎蛋白(alpha fetoprotein,AFP)、癌胚抗原(carcinoembryonic antigen,CEA)、Nestin试剂。用已知阳性切片作为阳性对照,用磷酸盐缓冲液(phosphate buffered saline,PBS)代替一抗作为阴性对照。免疫组化标记阳性结果为棕黄色,无背景染色。
3. 随访:采用复习患者多次入院病历、电话随访及中国肝移植注册系统调查等方法获得患者随访资料。
1. 临床资料:30例[男28例,女2例,平均年龄50.4(31~72)岁]cHCC-CC患者中23例(23/30,76.7%)有乙型肝炎病史,伴肝硬化21例(21/30,70.0%),1例(1/30,3.3%)伴肝吸虫病;血清AFP增高22例(22/30,73.3%);肿瘤表现为肝内单发结节17例,多发结节13例。其中18例临床症状为上腹胀痛不适,伴尿黄、黄疸及消瘦等,12例因体检发现肝内结节。13例术前行肝动脉栓塞化疗。
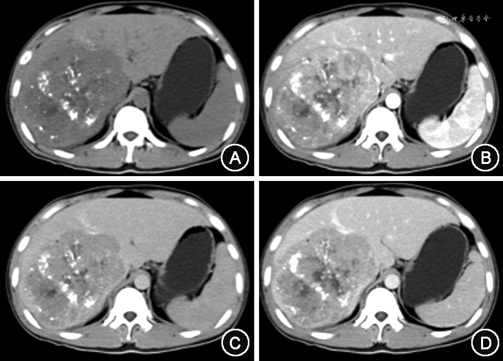
2. 影像学检查:22例行超声造影检查示肝内单发或多发高回声实性占位均提示肝细胞癌;13例行正电子发射计算机断层显像(positron emission tomography-computed tomography,PET-CT)检查,其余16例行CT检查,1例诊断为胆管细胞癌,余15例为肝细胞肝癌(图1)。


3. 病理检查:(1)大体检查:送检部分或全切肝组织,肝表面呈弥漫结节状,切面可见肝内单发、双发或多发结节,多发结节部分呈全肝内散在多发结节或表现为单个巨型结节周围多个小的卫星灶形成,切面灰白灰红,部分灰黄、灰绿伴出血坏死,以肝细胞癌成分为主者切面实性质中,以胆管细胞癌成分为主者实性质硬或质韧。(2)镜下观察:大多数典型的cHCC-CC包括肝细胞癌和胆管细胞癌两种成分,且两种成分紧密混合。肝细胞癌成分瘤细胞呈梁索状或假腺腔样型排列,梁索厚薄不一,被被覆单层内皮细胞的血窦样腔隙所分隔;部分呈假腺腔样型或腺泡状排列,腺管中央可见分泌的胆汁。瘤细胞类似于肝细胞,胞质丰富红染,核圆形、深染,核仁明显,可见瘤巨细胞及多核巨细胞,并可见Mallory透明小体及核内包涵体结构;胆管细胞癌呈腺管状、筛孔状或乳头状结构,瘤细胞为单层立方或高柱状上皮,部分呈假复层或乳头状排列,胞质丰富淡红染(较肝细胞癌胞质染色淡),核大、卵圆形,染色较肝细胞癌核淡,核仁不明显,但多形性明显,腺腔内见淡红染的黏液而非胆汁;癌灶周围富含反应性纤维间质。30例中有25例呈胆管细胞成分及肝细胞成分分别单独存在,但互相接近(即碰撞型肿瘤);其余5例表现为中间细胞癌,形态介于肝细胞癌和胆管细胞癌之间的中间细胞,细胞体积小,胞质少、略嗜碱性的细胞,核深染,可呈小梁状或腺管状排列(图2)。21例肿瘤周围肝组织伴肝硬化,呈大小结节混合型肝硬化改变,1例可见肝吸虫虫体。7例门脉内见癌栓,癌栓成分多为胆管细胞癌成分。


4. 免疫表型:肝细胞癌成分表达Hepatocyte、CK8/18和Glypican-3,部分表达AFP、CEA和CK7,2例灶性表达CK19;胆管细胞癌成分CK、CK7、CK19和MUC-1阳性,部分表达CK8/18阳性,CK7和CK19阳性强度胆管细胞癌部分显著高于肝细胞癌成分;9例表达Nestin;AB-PAS特殊染色示腺腔内黏液产生(图2)。
5. 治疗及随访:12例行原位肝移植,18例行肝切除术。原位肝移植随访时间为6~132个月。8例患者死亡(67%,8/12),1例在随访77个月后死亡,余7例存活6~18个月。5年生存率42%(5/12)。4例无瘤生存,最长生存132个月。1年复发率和生存率为50.0%和66.6%。肝切除随访时间为3~96个月。14例5~59个月死亡,5年生存率22%(4/18)。3例无瘤生存,1例带瘤生存96个月。1年复发率和生存率为3.9%和83.3%。虽然原位肝移植5年生存率比肝切除术要高,但患者均在2年内死亡,且1年内复发率比肝切除高达十几倍左右。肝移植组复发后中位生存时间为8个月,而肝切除组为20个月。本组Nestin阳性9例(30%),其中6例死亡,有3例存活时间仅6个月。
cHCC-CC是一种较为少见的肝脏恶性上皮性肿瘤,大致占原发性肝癌的0.4%~14.2%[1]。多项研究表明,cHCC-CC更多表现为肝细胞癌的临床特征[2, 3]。如(1)患者多为中、老年;(2)以男性多见;(3)常伴乙型或丙型肝炎病史;(4)多合并有肝硬化;(5)常伴血清AFP的升高;(6)早期侵犯门静脉和肝静脉,出现血道转移;(7)部分病例可伴有肝内卫星灶。本组病例与文献报道基本一致。影像学可单独或兼有肝细胞癌的“快进快出”或胆管细胞癌的“慢进慢出”强化方式,增强模式是否与肿瘤成分所占比例有关仍存在争议[4, 5]。30例影像检查可见明确的占位,多诊断为肝细胞癌,均与组织学诊断不一致。影像学检查对术前明确诊断无意义,但对发现病变具有重要的价值。
1949年Allen和Lisa[6]将cHCC-CC分为3种类型:A型(分离型):肝细胞癌与胆管细胞癌各自独立生长,分别位于肝内不同部位;B型(碰撞型):肝细胞癌与胆管细胞癌相邻而生,可相互融合;C型(混杂型):肝细胞癌和胆管细胞癌交错生长于同一瘤体内。Goodman等[7]于1985年提出了另一种分型方法,将cHCC-CC分别命名为:Ⅰ~Ⅲ型。2010版WHO消化系统肿瘤分类重新将cHCC-CC归类为4个类型,包括经典型以及具有干细胞特征亚型的3个类型(具有干细胞特征-经典型、中间细胞型和胆管细胞型)。因之前用以鉴定肿瘤干细胞特征的免疫标志物CK19、EpCAM、CD56、KIT(CD117)和CD133并不是肝细胞或肿瘤干细胞特异的,在肝细胞癌或胆管细胞癌亦可存在,因此,在更新的2019版消化系统肿瘤WHO分类中[8],不再推荐使用具有干细胞特征的cHCC-CC A亚型,直接分为cHCC-CC、cHCC-CC-Intermediate cell carcinoma和cHCC-CC-CLC 3个类型。本组30例按Goodman分型方法进行分型,Ⅰ型9例,Ⅱ型21例,由于纤维板层型肝癌本身亚洲少见,本研究中未见到Ⅲ型的cHCC-CC。根据新版WHO分类,本研究中30例病例中25例归入cHCC-CC,5例为cHCC-CC-Intermediate cell carcinoma亚型。此次变动是因为所有肿瘤类型中均可见干细胞分化特性,且该分型跟预后没有直接关系,因此予以废除[9]。
1995年Maeda等[10] 提出3种的组织学发生机制:(1)两种癌独立发生;(2)起源于肝细胞或胆管上皮细胞中的一种,随后向另一成份分化;(3)起源于一种中间类型细胞,向两种成份分别分化。肿瘤只有同时具有向肝细胞和胆管上皮细胞分化的特点,才能据此诊断cHCC-CC,而瘤体中有分泌黏液的证据,对于证实其具有胆管细胞成份至关重要。对于cHCC-CC的起源的说法大不相同[11, 12, 13]。2019年有作者[14]基于对133例cHCC-CC的外显子测序、全基因组测序和转录组测序,全面绘制了cHCC-CC的基因组图谱。结果显示cHCC-CC显著富集TP53突变,同时缺乏肝细胞癌中富集的CTNNB1突变,缺乏胆管细胞癌中富集的KRAS突变,该结果初步揭示了混合型肝癌独特的基因组特征。总的来说,cHCC-CC诊断的金标准是组织学形态,免疫组织化学并不是诊断的必要条件[13]。在临床诊断工作中有时候仅靠HE染色切片难以诊断,可进行提示肝细胞分化的Hepatocyte、Glypican-3及CK8/18等染色和显示肿瘤胆管细胞分化的CEA、Villin、CK19及MUC-1等免疫标记协助肿瘤准确分型。Nestin是近年来发现的肿瘤干细胞标志物,最早在胰腺干细胞以及血管内皮细胞等均发现Nestin有表达[15],且在多种恶性肿瘤,如胶质瘤、胰腺癌和乳腺癌中发现其高表达,但在cHCC-CC中研究鲜少。2019年有研究人员发现Nestin蛋白在混合型肝癌中的表达水平和阳性率均显著高于肝细胞癌和胆管细胞癌,且Nestin阳性表达病例在混合型肝癌中呈现显著较差的预后,认为Nestin蛋白表达可以作为混合型肝癌的诊断和预后标志物[14]。本文Nestin阳性9例(30%),随访6~96个月,其中6例死亡,在这6例中存活时间最长为16个月(仅1例),有3例存活时间仅6个月。提示其复发、转移及死亡率均比阴性者高,表明Nestin可能是cHCC-CC重要的预后因素。更有趣的是,Nestin阳性细胞绝大部分定位在肿瘤最边缘,且阳性信号聚集在胞浆的最外侧,是否说明肿瘤外侧的细胞更具有干细胞特性,可能是肿瘤侵袭的主要成分。
Kim等[3]基于2019版WHO消化系统肿瘤分类对153例cHCC-CC进行术后预后因素分析。单变量分析显示重要的预后因素是肿瘤大小>5 cm、血管侵犯、淋巴结转移、AJCC肿瘤分期和干细胞特征状态。多变量分析显示AJCC 肿瘤分期和干细胞特征状态是独立的预后因素。而新分类中3个肿瘤类型与预后无关,仅被视为简单化的组织学分类。单变量和多变量分析都显示肿瘤的干细胞特征跟预后相关,应在病理报告中指出。Nestin是一种肿瘤干细胞标记物,且既往报道及本研究皆证实在cHCC-CC中有表达,且预后较差。为此,建议cHCC-CC常规行Nestin蛋白检查。
有研究表明,cHCC-CC较肝细胞癌更具有侵袭性,门脉侵犯的发生率高。1年和3年生存率低于肝细胞癌,高于胆管细胞癌。cHCC-CC 6个月和1年复发率(分别为25.0%和33.3%)高于肝细胞癌,低于胆管细胞癌[16]。本研究结果与文献报道一致。cHCC-CC首选外科切除,分为肝叶、部分肝切除术或肝移植术式。肝移植和肝切除术(包括肝叶和部分肝切除)后cHCC-CC患者的肿瘤复发和生存率结果相似,而行肝切除的患者复发后,生存期比肝移植患者长[8]。本组12例行肝移植术式,1年复发率和生存率为8.3%和66.6%,5年生存率33.3%。复发率虽较低,但大多数患者(8/12)在移植术后半年到2年内,因肿瘤转移等脏器并发症而死亡。也进一步表明肝切除术可能是比肝移植术更好的治疗方式。
总之,cHCC-CC是肝脏少见恶性肿瘤,诊断主要靠组织学形态,免疫组化标记为辅。对于Nestin是否能作为其新的分子标记物需积累更多的病例进一步阐明。因干细胞分化跟预后相关,建议在病理报告中特别注明。
所有作者均声明不存在利益冲突





















