
对1个常染色体显性多囊肾病(ADPKD)家系进行临床表型分析和致病基因突变检测。
本研究先证者因“左上颌骨根尖囊肿”于2017年10月10日在东莞市人民医院住院治疗。通过临床表现、影像检查和生化指标等对先证者确诊。采集家系成员及150名健康对照者外周血,通过高通量测序(NGS)法筛选先证者全外显子组突变基因;应用PCR及Sanger测序验证先证者及其家系成员候选突变基因位点,并进一步筛查健康对照者;应用ExAC、dbSNP、HGMD、1000 genomes、ClinVar、PKDB、Mutation Taster和PhyloP数据库及软件进行突变人群频率和生物信息学分析。
先证者,男,46岁,高血压,尿潜血阳性,血肌酐升高。B超及CT示双侧多囊肾伴左肾结石,多囊肝。测序显示先证者及其二弟、妹妹、女儿和侄女皆存在PKD1基因c.11017-10C>A杂合剪接突变,且150名健康对照者中均未发现该突变。c.11017-10C>A已被dbSNP、ClinVar、HGMD、PKDB和Mutation Taster数据库收录,有害性预测结果为有害,可能导致产生多囊蛋白1(polycystin1,PC1)截短蛋白。
在中国人群ADPKD家系发现PKD1致病基因突变c.11017-10C>A,拓展了该基因的突变谱。
版权归中华医学会所有。
未经授权,不得转载、摘编本刊文章,不得使用本刊的版式设计。
除非特别声明,本刊刊出的所有文章不代表中华医学会和本刊编委会的观点。
常染色体显性多囊肾病(autosomal dominant polycystic kidney disease,ADPKD)是人类最常见的单基因遗传异质性肾病,发病率为1/1 000~1/400[1, 2, 3]。ADPKD属延迟显性遗传,患者多在40岁后发病,主要表现为逐渐增多、增大的双肾多发性囊肿,约50%患者到60岁左右发展为终末期肾病(end stage renal disease,ESRD)[4, 5],需进行肾透析或肾移植治疗,ADPKD导致的ESRD占总ESRD的10%[5, 6]。ADPKD也是一种系统性疾病,高血压是常见的症状,常伴发肝囊肿、脾囊肿、颅脑动脉瘤、心脏瓣膜异常、夹层动脉瘤、腹壁病等结缔组织缺陷,严重危害人类健康[6]。ADPKD有时也可合并Caroli病和Caroli综合征[7]。传统认为ADPKD主要致病基因为PKD1(81%)和PKD2(10%~22%)[8],前者患者临床症状往往更加严重,且更早发展为ESRD[9]。国外近期发现的GANAB基因被认为是ADPKD第3种致病基因[10, 11]。PKD1基因的突变位点较多,且不断有新的致病基因突变被发现和证实,给ADPKD的诊断和遗传咨询带来了困难。本研究对1个ADPKD家系进行高通量测序(next generation sequencing,NGS),旨在找到患者的致病突变基因,明确家系的发病原因。
本研究经东莞市人民医院伦理委员会批准(编号:AF-97-04),符合《赫尔辛基宣言》原则及相关伦理要求。所有受试者均签署知情同意书。先证者(Ⅱ1),男,46岁,因“左上颌骨根尖囊肿”于2017年10月10日在本院住院治疗,临床检查发现高血压,B超及CT结果示双侧多囊肾伴左肾结石,多囊肝。自述其父亲(Ⅰ1)55岁时因多囊肾尿毒症死亡(具体不详)。先证者二弟(Ⅱ4),45岁,自述其3年前体检发现双侧多囊肾。家系图见图1。


1. 基因组DNA提取:分别采集家系成员及150名本院体检中心经超声诊断排除肾脏有任何囊肿的健康对照者外周静脉血各2 ml,乙二胺四乙酸(ethylenediaminetetraacetic acid,EDTA)抗凝。采用血液DNA提取试剂盒(天根生化科技有限公司,货号:DP348-02)提取外周血DNA,-20 ℃保存备用。对先证者及其家属进行基本情况登记:包括年龄、身高、体重、血压、生活环境等情况。对先证者进行病史采集:包括现病史、肾脏疾病史、婚育史以及其他全身系统疾病史。
2. NGS分析:委托北京诺禾致源科技股份有限公司,使用凝胶电泳和NanoDrop分光光度计测量DNA样品的浓度和纯度。取1.5 μg先证者全外显子组DNA,采用液相芯片捕获系统(Agilent SureSelectXT Human All Exon V5,16,货号:5190-6208)进行建库,在Illumina Hiseq 4000平台对DNA库进行测序,每段读长为150个碱基。将有效测序数据进行生物信息学过滤,得到高质量数据,具体测序及分析过程参照文献[12]。
3. 聚合酶链反应(polymerase chain reaction,PCR)及Sanger测序:应用在线引物设计网站Primer-BLAST(https://www.ncbi.nlm.nih.gov/tools/primer-blast/),针对NGS发现的候选突变位点设计验证引物,跨越PKD1基因第38外显子及侧翼内含子剪接区域,委托上海Invitrogen公司合成。上游引物:5′-CCTGAAGGCCCCTAAGCACCA-
3′,下游引物:5′-CAGCATCAGTCACACGCTCC-3′,产物长度为725 bp。对先证者及家系其他成员进行该突变位点的PCR扩增和测序验证。采用TransTaq HiFi DNA聚合酶(货号:AP131-01)在珠海黑马基因扩增仪Hema9600进行PCR扩增,体系为25 μl,退火温度62.7 ℃,产物送上海Invitrogen公司测序。
4. 突变人群频率和生物信息学分析:通过搜索ExAC(http://exac.broadinstitute.org)、dbSNP(https://www.ncbi.nlm.nih.gov/snp/)、HGMD(http://www.hgmd.org/)、1000 genomes(http://browser.1000genomes.org/Homo_sapiens/Info/Index)和ClinVar(https://www.ncbi.nlm.nih.gov/clinvar/)数据库,进一步在150名健康对照者中对该候选位点进行突变筛查,以统计其在群体中的发生频率,从而确认或排除多态性的可能;利用常染色体显性多囊肾数据库PKDB(http://pkdb.mayo.edu),获得文献和临床证据收录的突变信息;利用Mutation Taster(http://www.mutationtaster.org/)网站及PhyloP软件,对突变进行致病性预测与分析。
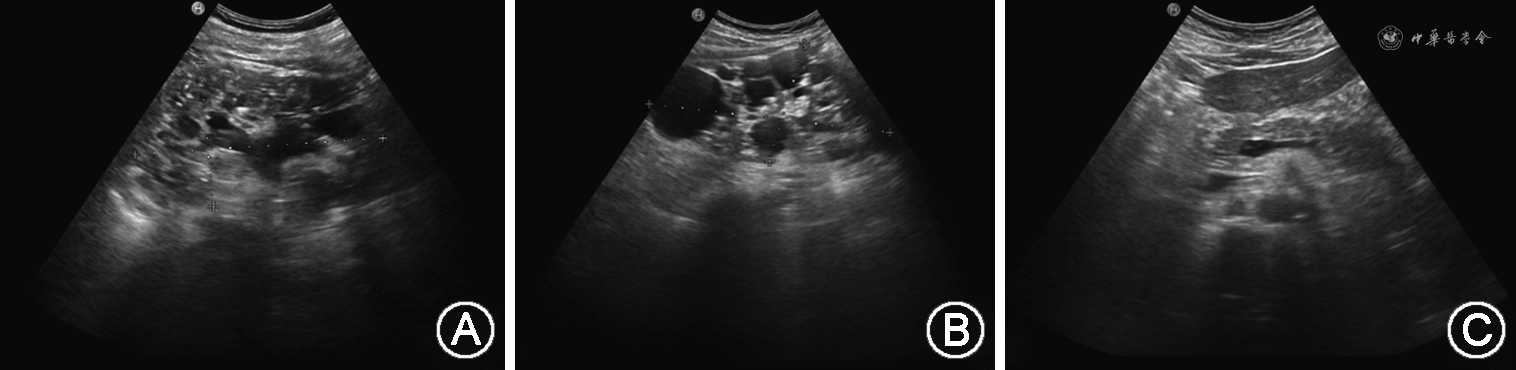
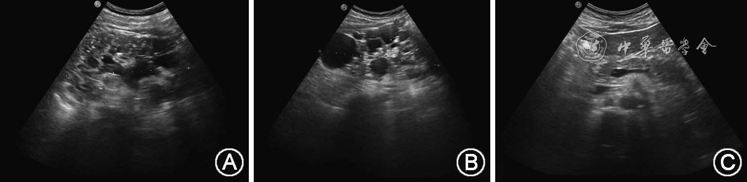
1. 先证者临床表型:先证者入院血压:170/103 mmHg(1 mmHg=0.133 kPa);24 h动态血压结果提示:(1)24 h血压平均值:139/86 mmHg;(2)白天血压均值:141/85 mmHg;(3)夜间血压平均值:135/87 mmHg;(4)夜间血压下降率:2.4%~4.3%,24 h血压呈非勺型。尿常规检测潜血阳性,血肌酐升高。B超示:双肾体积增大并异常回声,考虑成人型多囊肾并多发结石;肝囊肿。主要表现为:双肾体积增大,大小分别约130 mm×76 mm(左)、144 mm×72 mm(右);肾内充满众多大小不一的无回声区,较大分别约33 mm×22 mm(左)、48 mm×44 mm(右),囊与囊之间见少量肾实质回声;集合系统受压变形,肾盂、肾盏内见多个点状、斑状或团状强回声,左肾集合系统分离约17 mm,见图2A、B。肝脏实质回声欠均匀,肝内见数个无回声区,较大约15 mm×11 mm,边界清,内透声好,见图2C。中腹部CT示:双侧多囊肾改变伴左肾结石,肝脏多发囊肿。


2. 基因突变检测结果:NGS结果显示先证者PKD1基因存在c.11017-10C>A杂合突变,Rossetti等[3]报道这是一个剪接突变,生物信息学分析该突变会减弱38号外显子剪接受体位点上游聚嘧啶区,影响外显子的剪接。Sanger测序验证先证者及其二弟(Ⅱ4)皆存在c.11017-10C>A杂合剪接突变;此外,还检测出先证者妹妹(Ⅱ8)、女儿(Ⅲ1)和侄女(Ⅲ3)为此突变携带者,见图3。筛查150名健康体检者样本均为野生型,排除其为多态性的可能。


3. 人群频率和生物信息学分析:该突变在ExAC和1000 genomes数据库未见报道,但已被dbSNP(rs555703777)、ClinVar(RCV000992548.1)、HGMD(CS002149)、PKDB、Mutation Taster和PhyloP数据库收录,目前尚无该位点突变频率报道。ClinVar、HGMD、PKDB和Mutation Taster显示临床意义分别为致病、已知致病、极可能致病和已知致病。PKDB显示突变为剪接突变,可能产生Arg3672fs1X改变;Mutation Taster软件预测显示为剪接突变,可能影响蛋白功能,有害性评分为0.999(越靠近1越有害);PhyloP预测得分为0.354。
目前研究较多的2个ADPKD致病基因为PKD1(16p13.3)和PKD2(4q22)[13]。PKD1基因由46个外显子组成,转录后产生14 138 bp(NM_001009944)的mRNA,编码4 303个氨基酸组成的多囊蛋白1(polycystin1,PC1);PKD2基因编码多囊蛋白2(polycystin2,PC2)。由于ADPKD属延迟显性遗传,因此早期诊断十分重要。ADPKD主要依靠“家族遗传史+临床表现+影像学检查”三联法临床诊断。目前,超声诊断是国内外ADPKD临床常规首选诊断方法[14],但是当缺乏家族史或者某些数目少且囊肿局限于肾脏的病例中,难以鉴别ADPKD与单纯或获得性囊肿时,直接基因诊断非常重要。由于PKD1基因具有高度异质性,其5′端1~33号外显子区在16号染色体上有6个高度同源的假基因,给ADPKD的分子诊断带来极大困难[9]。长片段PCR、高分辨率变性液相色谱、目标区域捕获二代测序等办法可用于解决这个问题。NGS是当前诊断的重要基因检测技术[15]。
本研究采用NGS结合Sanger测序发现了1个PKD1基因杂合剪接突变导致的ADPKD家系。先证者及Ⅱ4、Ⅱ8、Ⅲ1、Ⅲ3均携带c.11017-10C>A突变,该突变于1999年由Perrichot等[16]首次报道,先证者是法国1例43岁就发展为ESED的中年女性患者。2000年Bogdanova等[17]再次报道并验证该突变在家系中表型-基因型共分离。2007年Rossetti等[3]和Garcia-Gonzalez等[18],2012年Audrézet等[8]也报道了该突变。截至目前,PKDB数据库己有超过2 000个PKD1基因突变,本研究在中国人群中再次验证了该突变。Rossetti等[3]采用反转录PCR(reverse transcription PCR,RT-PCR)技术验证了c.11017-10C>A会对PKD1基因的转录本产生影响,一方面使38号外显子跳跃的转录本表达量增加,另一方面产生了1个新的转录本(该转录本保留了38号内含子)。Rossetti等[3]还运用变性高效液相色谱(denaturing high performance liquid chromatography,DHPLC)技术,证实了上述新转录本中发生新的变异(S3673fsX3674),最终造成PC1蛋白翻译提前终止,形成只有3 672个氨基酸的截短蛋白。PC1蛋白由N端细胞外区、跨膜区(包括11次跨膜糖蛋白,行使信号传递作用)和细胞内区(几个潜在磷酸化位点及与PC2蛋白形成复合物的C端螺旋-螺旋结构域)3部分组成[19]。截短蛋白因其缺失C端6个跨膜区及螺旋-螺旋结构域,推测这可能导致PC1蛋白信号传递及胞内定位异常,且不能与PC2蛋白结合形成复合物,从而失去正常功能,进而影响后续的信号传导异常,引发一系列细胞生物学行为的改变,造成肾上皮细胞异常增生、分泌异常活跃、囊肿增大,最终导致该家系多囊性肾病的发生。
Hu等[20]对中国人群26个多囊肾病家系进行了基因诊断,检测出24个不同的PKD1基因突变,包括12个截短突变、3个剪接突变、8个错义突变、1个外显子缺失突变。其中有5例截短突变的患者已进入ESRD(41~52岁),且都患有肾性骨病。影响ADPKD预后的主要因素是疾病的基因型:PKD1突变(尤其是PKD1截短突变)的患者较PKD2突变患者进入ESRD更早[21],因此,本研究先证者及Ⅱ4(分别为46、45岁)更要谨防进入ESRD。由于ADPKD属延迟显性遗传,且尚无有效的治疗方法,该病在早期往往无临床症状,因此在ADPKD患者出现病症前及产前分子诊断显得十分重要,在高危人群(患者的直系亲属)尚无临床症状前,可明确是否为ADPKD患者[22]。除了己知的患者(先证者及Ⅱ4)外,本研究还发现了家系内3个携带该突变的潜在患者(Ⅱ8、Ⅲ1、Ⅲ3),后期随访中均告知其要及早预防并发症,保护肾功能,提高生活质量。
综上所述,本研究发现了中国患者PKD1基因c.11017-10C>A突变导致的ADPKD,丰富了人类PKD1基因突变谱,为早期发现症状前患者等提供了参考依据。
所有作者均声明不存在利益冲突





















