
探讨经支气管内单向活瓣(EBV)置入治疗支气管胸膜瘘(BPF)的有效性及安全性。
选择2017年8月至2021年12月于上海市肺科医院内镜中心治疗的行EBV置入治疗术的外周型BPF患者33例为研究对象。收集患者详细病历资料,分析患者病因、病变位置、治疗方法及操作过程、治疗有效率及术后并发症等数据,评估EBV置入术的疗效及安全性。
33例患者中,男26例,女7例;中位年龄54.7(28~86)岁。病因为胸外科术后BPF 18例(54.5%)、慢性阻塞性肺疾病合并自发性气胸6例(18.2%)、肺结核和非结核分枝杆菌感染引起自发性气胸12例(36.4%);33例病例共置入瓣膜63枚,单个病例最多使用4枚活瓣,最少使用1枚。病灶位置位于右下叶16例(48.5%),左上叶12例(36.4%);33例行EBV置入封堵治疗患者中,共有22例(66.7%)成功,患者术前的胸管留置时间为(88.5±36.6)d,EBV治疗后胸管留置的时间为(29.6±11.4)d。EBV置入后成功取出的时间为(102.2±31.3)d;经EBV治疗外周型BPF的术后随访6个月,主要并发症是活瓣分泌物附着29例(90.6%),轻度肉芽增殖13例(40.6%)。另外有中重度肉芽增殖5例(15.6%),活瓣移位或脱落1例(3.1%),出血1例(3.1%)。
本研究中EBV置入封堵治疗成功率为66.7%,经支气管镜EBV置入治疗外周型BPF术是一种效果较理想且并发症相对较轻的治疗方法。
版权归中华医学会所有。
未经授权,不得转载、摘编本刊文章,不得使用本刊的版式设计。
除非特别声明,本刊刊出的所有文章不代表中华医学会和本刊编委会的观点。
支气管胸膜瘘(bronchopleural fistula,BPF)是外伤或病理因素导致胸膜腔与支气管相互交通而出现顽固性气胸的一类病症。BPF根据发病部位可分为中央型及外周型。支气管胸膜瘘的病因众多,尽管治疗技术的改进已大大降低其发生率,但肺切除术仍然是外周型BPF形成的主要原因[1, 2];慢性阻塞性肺疾病(慢阻肺)、肺气肿及肺大疱造成的自发性气胸也较多见,且往往迁延不愈、反复发作;另外,曲霉、结核等病原体感染导致的BPF也时有发生[2, 3]。BPF的治疗由于其病因复杂,病程长,一直是临床工作中比较棘手的问题[2, 3, 4]。目前手术是治疗BPF首选的方法,但很多患者缺乏二次手术的条件或者反复发作伴随肺功能严重减退,不具备手术指征。因此,支气管镜下的封堵治疗是作为无法手术BPF患者的最佳选择[5]。
目前,通过支气管镜介入技术治疗BPF的方法有很多,包括自体血、生物胶、硬化剂、氩气刀、自制硅胶封堵器治疗等[6],但有效率均在50%左右,难以满足临床需求。支气管内单向活瓣(endobronchial one-way valve,EBV)是一种新型的支气管内封堵装置,由硅胶封闭的镍钛合金自膨胀支架及附着于其内面的硅胶单向活瓣片共同构成,单向开口,可有效消除流向肺特定区域的气流,起到封堵作用[7, 8, 9],现主要应用于肺减容术[10, 11]。该项技术于2014年正式应用于国内临床,目的是通过内科减容方法治疗慢阻肺[12]。本研究以2017年8月至2021年12月在上海市肺科医院内镜中心采用EBV置入治疗外周型BPF的患者为研究对象,回顾性分析并评估EBV置入治疗的临床效果与应用价值。
选择2017年8月至2021年12月于上海市肺科医院内镜中心治疗的行EBV置入治疗术的外周型BPF患者33例为研究对象。纳入标准:(1)胸部影像学检查及常规支气管镜检查确诊为外周型BPF;(2)行胸腔闭式引流术2周及以上未自愈;(3)无外科手术指征。排除标准:(1)一般情况较差或不能耐受全身麻醉支气管镜下治疗;(2)瘘口位置为非外周型;(3)因瘘口周围存在明显侧支通气,故不适合行EBV治疗。本研究已通过同济大学附属上海市肺科医院医学科学伦理委员会审核(K22-334),患者家属均签署了知情同意书。
1.可弯曲支气管镜:BF-1T290型支气管镜(日本Olympus公司);BF-260型支气管镜(日本Olympus公司);CLV-290SL氙气光源(日本Olympus公司);CLV-290SL图像处理站(日本Olympus公司)。
2.测漏设备:Chartis系统(瑞士 Pulmonx公司,型号:Chartis SARL);肺叶通气功能检查仪专用导管及接头(瑞士 Pulmonx公司,型号:Chartis Catheter),见图1;数字胸腔引流系统(瑞士Medela AG公司),见图2。




3.支气管活瓣释放设备:Zephyr支气管内瓣膜(瑞士Neuchatel公司,型号:ZEBV)是一种新型的支气管内瓣膜,由硅酮“鸭嘴”在常用的镍钛诺骨架上组成,支气管内活瓣输送导管(美国 Pulmonx公司,型号:EDC-TS-4.0、EDC-TS-5.5),见图3。


1.术前准备与麻醉:(1)术前准备:病情评估,所有患者术前完善血常规、肝肾功能、凝血功能、肝炎标记物、梅毒、艾滋病病毒抗体以及心电图等检查以明确患者有无手术禁忌证,完善胸部高分辨CT及肺功能检查;观察胸腔引流瓶是否通畅,是否存在漏气发生与体位改变之间的关系,并连接负压(-12~-10 cmH2O,1 cmH2O=0.098 kPa),以便在手术中准确找到漏点;(2)麻醉方式:采用全身麻醉或全凭静脉麻醉,喉罩或气管插管连接呼吸机辅助通气。部分不能接受全身麻醉的患者,可采用2%利多卡因局部咽喉部喷雾及气道内喷洒麻醉。
2.手术流程:(1)寻找漏点:通过数字引流瓶来判断漏点。首先使用球囊导管封堵支气管,在数字屏幕上的流量数值明显下降,逐步趋近于零,提示该支气管为漏气责任支气管。同时,使用Chartis系统来检测肺叶之间的侧支通气,也可以辅助寻找漏点。如果球囊远端没有侧支通气来供应气道,来自肺叶的气流会逐渐减少,连续流量的读数可判断目标瓣区是否存在侧支通气[13];如果球囊导管置入漏气责任支气管,则出现持续性负压。数字胸腔引流系统和Chartis系统同步使用,可增加漏点的检出率。测漏的顺序是从叶支气管到段、亚段支气管,每个部位重复3次,部分患者同时存在多个漏点,需要加以识别。(2)活瓣置入:在找到漏点后,先要测量责任支气管的直径,以选择合适尺寸的活瓣置入。具体步骤为:活瓣输送导管前端有一个十字状软翼,将软翼置于目标支气管内,让软翼充分张开,确保支气管直径小于长标记,但大于短标记,如不然,则换另一尺寸的输送导管再次测量或选择下一级支气管测量,见图3。使用系统提供的活瓣释放器将活瓣压缩到输送导管的远端。输送导管经支气管镜工作通道引导至目标气道。安装到位后,活瓣膨胀[9],在放置活瓣后观察胸腔闭式引流瓶,若封堵成功,则漏气量明显减少,见图4。活瓣置入的数量根据漏点的个数以及侧支通气的情况来决定,原则上尽量少地置入活瓣以达到较好的封堵效果。活瓣置入的顺序根据置入角度与尺寸由难到易的选择。


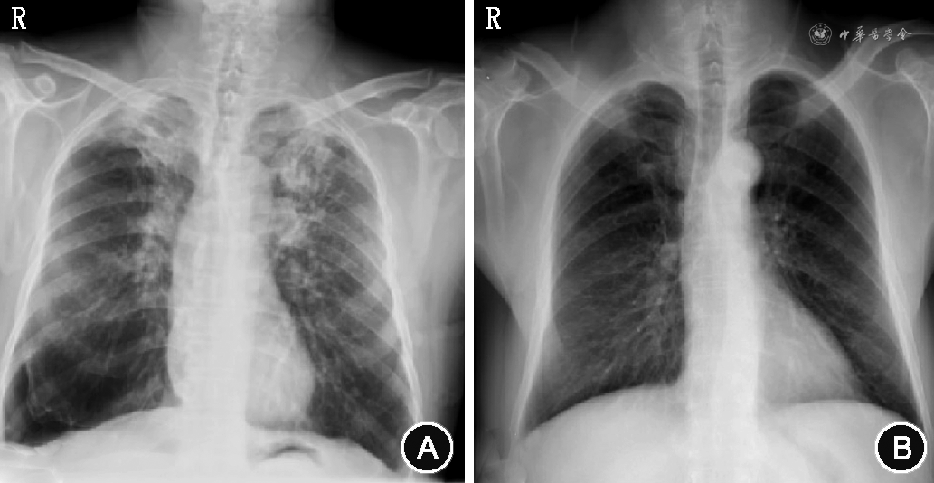
3.术后评估:术后每月复查支气管镜,观察活瓣留置情况,清理分泌物直至封堵成功。术后2周复查胸部CT评估治疗效果,如影像学提示气胸完全吸收并顺利拔管则判定封堵成功。胸管拔除后3个月可取出活瓣,见图4。
本研究共纳入33例接受EBV置入治疗的外周型BPF患者。其中男性26例,女性7例,年龄[M(Q1,Q3)]为54.7(28,86)岁。导致BPF的病因可分为术后胸膜瘘及自发性气胸两类,其中术后胸膜瘘包括肺结节术后5例(15.2%)以及感染性疾病术后10例(30.3%);自发性气胸包括慢阻肺合并自发性气胸6例(18.2%)、肺结核合并自发性气胸8例(24.2%)以及非结核分枝杆菌(non-tuberculosis mycobacterium,NTM)合并自发性气胸4例(12.1%)。
测出漏点位于右下叶有16例(48.5%),左上叶12例(36.4%),瘘口直径为3.0~8.5 mm。共置入EBV 63枚,单个病例最多使用4枚活瓣,最少使用1枚,其中4.0 mm规格EBV 38枚,5.5 mm规格EBV 25枚。
22例(66.7%)患者封堵成功,1例(3.0%)患者在术后1周内死亡,10例(30.3%)患者在行活瓣置入后未封堵成功(更换治疗方案或继续胸管引流)。治疗成功患者术前的胸管留置时间为(88.5±36.6)d,EBV治疗后胸管留置的时间为(29.6±11.4)d。EBV置入后成功取出的时间为(102.2±31.3)d。本研究EBV治疗的有效率为66.7%(22例),见图5。


32例患者术后随访6个月的并发症发生情况,活瓣分泌物附着29例(90.6%),轻度肉芽增殖13例(40.6%),中重度肉芽增殖5例(15.6%),活瓣移位或脱落1例(3.1%),出血1例(3.1%)。
BPF是指肺泡、各级支气管与胸膜腔之间相互交通而形成的瘘管,其发生率为0.5%~15%,但病死率为25%~71%,其治疗手段少、预后不佳[14, 15, 16]。BPF的传统治疗包括外科手术和支气管镜下治疗,已有报道多种内镜技术用于长期漏气的治疗,但每项技术的有效率均不高[17, 18]。且对于无法手术的顽固性气胸和液气胸,更是缺少有效的治疗手段,一直是临床上较为棘手的问题。本研究中33例行EBV置入手术患者的临床病因,按发病数量依次是术后BPF、肺结核、慢阻肺和NTM。
近年来,EBV在BPF治疗中的应用逐渐增多,Tchkonia等[19]对30例BPF患者行EBV治疗,其中28例患者得到成功治疗。本课题组前期研究显示:EBV在胸外科术后BPF中的治疗成功率达73%,表明其有效性与临床价值[20]。本研究结果显示,EBV置入术治疗外周型BPF的有效率为66.7%(22例),治疗后胸管留置的时间较术前有所改善,且症状得到有效缓解。10例未封堵成功病例,考虑可能是局部封堵后形成局部或叶间新的侧支通气,造成封堵未能起效。本研究采用经支气管镜行EBV置入治疗BPF的严重并发症发生率低,且可以取出,具有可逆性,是一项安全性较高的治疗技术。EBV治疗胸外科术后支气管胸膜瘘和自发性气胸患者更适合活瓣置入,这取决于瘘管的长度和直径,一般标准是手术残端足够长,且瘘口直径为3~8 mm。如果术前评估出漏点过多或相邻肺叶间存在侧支通气,要考虑手术后肺功能的损失,再决定是否继续行封堵术。使用数字引流瓶和Chartis系统,是一种准确有效的漏点探查方法。本课题组在临床实践中发现,数字引流瓶对漏气的判断具有更高的敏感性,数值化的显示能更直观地表明患者漏气情况。因此首选数字引流瓶作为寻找漏点的工具。Chartis 系统受气流变化影响较大,对漏气量少的支气管敏感性不高,但是对于侧支通气的判断准确性高,所以两者同步使用,可显著提高封堵的成功率。另外,本研究发现利用单向活瓣的特点,对于远端支气管消化道瘘的,可以尝试反向置入EBV进行封堵治疗。目的是防止消化液反流入气道,以提供进一步手术机会。
EBV治疗BPF对瘘口的尺寸和瘘道的长度有较高的要求;在气胸的治疗中,侧支通气的存在往往使封堵的范围从段支气管扩展到整个肺叶,对于基础肺功能不佳的患者,肺叶的损失会加重症状。另外,目前高昂的价格也限制了一部分临床应用。
本研究属于单中心回顾性研究,因此具有一定的局限性,但是初步的数据证实EBV在治疗无法手术的BPF中具有良好的效果,将来会开展前瞻性多中心研究,进一步探索出单向活瓣对BPF治疗的价值。
所有作者均声明不存在利益冲突





















