
对比CT引导经脏器路径和非经脏器路径粗针穿刺活检诊断胰腺占位性病变的安全性及诊断效能。
回顾性分析2019年1月至2022年1月郑州大学第一附属医院367例接受CT引导经皮穿刺活检的胰腺占位患者的临床资料,其中男211例,女156例,年龄18~87(60.7±11.8)岁。以术中是否经脏器分为经脏器路径组(142例)和非经脏器路径组(225例)。记录2组患者影像资料、病理结果、穿刺过程和并发症等,对比分析2组取材成功率、一次性诊断率、准确率、灵敏度、特异度、假阴性率及并发症发生率。
2组患者基线资料差异无统计学意义(均P>0.05)。经脏器路径组有患者28例经肝、57例经胃、24例经小肠、33例经结肠。2组取材成功率均为100%,2组一次性诊断成功率差异无统计学意义[86.6%(123/142)比87.1%(196/225),P=0.892];经脏器路径组和非经脏器路径组的诊断准确率、灵敏度和假阴性率差异均无统计学意义[92.3%(131/142)比92.0%(207/225)、91.8%(123/134)比90.0%(190/211)和8.2%(11/134)比10.0%(21/211),均P>0.05]。2组特异度均为100%。2组常见并发症为胰淀粉酶升高和血肿,经脏器路径组和非经脏器路径组并发症发生率差异无统计学意义[10.6%(15/142)比12.4%(28/225),P=0.585]。经脏器路径组有5例患者出现胰淀粉酶升高、10例患者出现局部血肿,均经保守治疗好转;非经脏器路径组有11例患者出现胰淀粉酶升高、17例患者局部血肿,1例因出血接受手术治疗,剩余均经保守治疗好转。
CT引导经皮经腹腔脏器进行胰腺占位性病变粗针穿刺活检与非经腹腔脏器路径具有相同的诊断效能和安全性。
版权归中华医学会所有。
未经授权,不得转载、摘编本刊文章,不得使用本刊的版式设计。
除非特别声明,本刊刊出的所有文章不代表中华医学会和本刊编委会的观点。
胰腺癌恶性程度高、发展快,早期多无症状,使得很多胰腺癌患者在确诊时失去外科根治性手术机会,不得不接受放疗、化疗等综合治疗。因此如何获得足够标本进行病理诊断显得尤为重要。近年来,超声、CT、MRI引导下经皮穿刺活检或超声内镜引导穿刺活检发展迅速,为胰腺癌患者提供了微创、快捷及快速的标本获取、病理诊断的方法[1, 2, 3, 4, 5]。其中CT引导具有较高的空间分辨率、再现性以及不受气体、深度的影响,因此CT引导是临床中最常用的引导方式[6]。目前临床中用于胰腺穿刺活检的多为20~25 G细针,所获得的标本多为细胞学,对神经内分泌肿瘤、淋巴瘤等诊断存在不确定性[7, 8]。随着肿瘤个体化治疗的发展,需要更多的标本进行分子病理检测以为患者提供更多的用药指导。粗针活检较细针活检所获得标本更多,不仅能满足病理免疫组化检测,还可满足基因检测,因此粗针活检更适用于临床。但胰腺解剖位置特殊,毗邻腹腔干、肠系膜上血管、脾脏血管等重要血管,且被肠道、胃、肝脏等重要脏器遮挡,部分患者需经腹腔脏器进行胰腺占位穿刺活检。为进一步证实CT引导经皮经腹腔脏器进行胰腺占位粗针活检的安全性,本研究收集了367例行CT引导经皮胰腺占位穿刺活检的临床资料进行分析,以期为临床提供更多的参考。
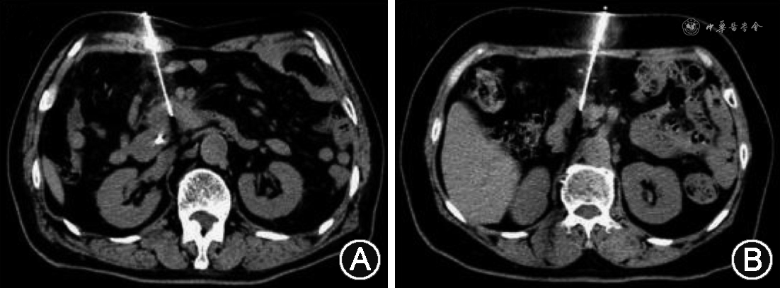
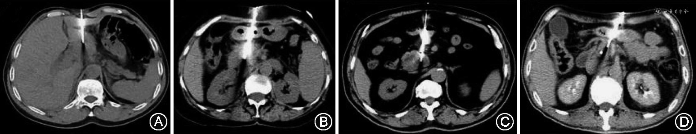
回顾性分析郑州大学第一附属医院2019年1月至2022年1月接受CT引导下经皮穿刺活检胰腺占位患者的临床资料。(1)纳入标准:①术前影像显示胰腺占位病变,需要明确病理诊断;②影像考虑恶性病变,需要进行放疗、化疗等抗肿瘤治疗;③影像学无法明确诊断;④穿刺活检后接受手术治疗、抗肿瘤治疗或随访期间明确诊断;⑤经皮穿刺活检后检查、检验资料完整。(2)排除标准:①各种方式均无法明确诊断;②无随访结果;③活检后检查、检验资料不完整。根据纳入标准、排除标准,采用连续纳入方法共纳入367例患者,其中男211例,女156例,年龄18~87(60.7±11.8)岁。根据术中是否经腹腔脏器分为经脏器路径(图1)组[142例,其中男84例,女58例,年龄18~86(60.6±12.6)岁]和非经脏器路径(图2)组[225例,其中男127例,女98例,年龄21~87(60.7±11.3)岁]。经脏器路径组中有28例(7.6%)经肝、57例(15.5%)经胃、24例(6.5%)经小肠、33例(9.0%)经结肠。本研究通过郑州大学第一附属医院伦理委员会许可(2022-KY-597),患者知情同意豁免。




1.手术要求:所有手术均由本科室同一名高级职称(主任医师)带领具有5年以上手术经验的中级职称医师完成,均在局部麻醉下完成。
2.仪器设备:16层螺旋CT(Discovery CT590RT型,美国GE公司;brilliance型,荷兰飞利浦公司),18 G软组织穿刺活检针(美国Argon公司),17 G同轴穿刺针(美国Argon公司),18 G BioPince™ 全自动活检针(美国Argon公司)。
3. 术前准备:(1)所有患者需术前1个月内行腹部增强CT或者增强MRI,有明确的胰腺占位性病变;(2)完善心电图、凝血功能、肝功能、血常规和传染病项目等检查、检验;(3)术前12 h禁食水,应用奥曲肽(0.1 mg,每8 h皮下注射)或生长抑素(3 mg,持续12 h静脉注射);(4)对可能经过肠道患者清洁肠道;(5)签署知情同意书;(6)建立静脉通路,连接心电监护。
1. 路径选择:术中根据病变位置选取体位,CT扫描(必要时行增强扫描),结合术前增强CT或MRI确定穿刺路径,应用2%利多卡因进行局部浸润麻醉。根据术中CT扫描图像设计穿刺路径,若有非经脏器路径则选择非经脏器路径;若穿刺路径被脏器遮挡,无法避开时则选择经脏器路径。常用的经脏器路径包括经肝脏、胃、小肠和结肠。
2. 进针方法:所有操作均在CT引导下采用“分步进针”方法进针。非经脏器路径可采用“迂回”进针、钝针分离或水分离等技术避开脏器。经脏器路径:第一步进针穿刺至腹膜,确定进针方向;第二步穿刺至危险脏器边缘再次确定进针方向;第三步穿刺拟要经过脏器;第四步穿刺靶病变。进行操作时,避免反复多次地穿过脏器,例如在进行调整进针方向时,避免退至经过脏器外;在进行切割活检时,要确定同轴穿过肠管或胃壁,避免活检枪切割肠壁或胃壁。
3. 取材方法:包括针吸活检(fine needle aspiration biopsy,FNAB)和切割活检(core needle biopsy,CNB)。根据病变大小、取材方向上有无血管以及穿刺路径上有无血管、胃肠道等脏器遮挡选择FNAB或CNB。FNAB所用器械为18 G软组织穿刺活检针,针尖为“三叉型”。FNAB取材方法:20 ml注射器连接穿刺针进行负压旋转提插(负压旋切抽吸),取材深度为0.5~2.0 cm。CNB所用器械为17 G同轴联合18 G全自动活检枪。CNB取材方法:沿17 G同轴引入18 G全自动切割活检针,不同方向取材2~4次,取材深度为0.5~1.3 cm。
4. 标本固定及术后处理:以肉眼看到组织条为取材满意。标本应用10%甲醛溶液固定。术后持续给予生长抑素或奥曲肽48 h、禁食水24 h、静脉营养支持。监测生命体征,观察有无腹痛、腹胀、呕血或黑便等不适。
1. 评价指标:(1)取材成功率定义为获取到足以进行组织病理学分析的组织样本。(2)一次性诊断成功为经首次活检获得明确的病理结果;如所取标本量不足、坏死组织或非典型细胞,则认为是无法诊断。(3)准确率为穿刺病理结果与最终诊断一致所占比例。(4)将经皮穿刺活检结果与最终诊断进行对比,肿瘤性病变为阳性病变,非肿瘤性病变为阴性病变。(5)灵敏度为穿刺诊断为肿瘤性病变占最终诊断为肿瘤性病变的比例。(6)经皮穿刺活检结果为阴性,经手术、再次活检或随访发现肿瘤性病变证据,为假阴性。(7)经皮穿刺活检结果为肿瘤性病变,其他证据未发现肿瘤证据,定义为假阳性。计算经皮穿刺活检的一次性诊断率、准确率、灵敏度、特异度、假阴性率和假阳性率。
2.诊断标准:通过手术或6个月以上随访确认最终诊断。有以下情况视为恶性病变:(1)手术切除后,发现恶性肿瘤证据;(2)其他部位活检显示具有相同组织学特征的恶性肿瘤;(3)与既往确诊的恶性肿瘤病理一致;(4)根据病理进行抗肿瘤治疗,出现肿瘤消退或者进展;未进行抗肿瘤治疗,随访中,呈现肿瘤生长方式(增大、转移或浸润等);(5)再次活检,病理确定恶性肿瘤。以下情况视为良性:(1)根据病理结果进行非抗肿瘤治疗,出现病情好转或吸收;(2)穿刺病理结果为良性,且与手术后病理一致;(3)根据病理结果随访超过半年,病变稳定者。
采用SPSS 22.0软件进行统计学分析。符合正态分布的计量资料采用表示,组间比较采用两独立样本t检验;分类资料采用例数(%)表示,组间比较采用χ2检验或Fisher′s精确检验。双侧检验,检验水准α=0.05。
2组患者年龄、肿瘤大小、位置和取材方法等基线资料差异均无统计学意义(均P>0.05)(表1)。

2组接受CT引导经皮胰腺占位病变穿刺活检患者的一般情况比较
2组接受CT引导经皮胰腺占位病变穿刺活检患者的一般情况比较
| 项目 | 经脏器路径组(n=142) | 非经脏器路径组(n=225) | t/χ2值 | P值 |
|---|---|---|---|---|
| 性别a | 0.26 | 0.609 | ||
| 男 | 84(59.2) | 127(56.4) | ||
| 女 | 58(40.8) | 98(43.6) | ||
| 年龄(岁)b | 60.6±12.6 | 60.7±11.3 | 0.05 | 0.962 |
| 病变位置a | 1.71 | 0.191 | ||
| 胰头 | 80(54.3) | 111(47.4) | ||
| 胰体、尾 | 62(45.7) | 114(52.6) | ||
| 病变大小(cm)b | 4.03±1.61 | 4.12±1.76 | 0.48 | 0.629 |
| 取材方法a | 0.73 | 0.393 | ||
| FNAB | 113(79.6) | 187(83.1) | ||
| CNB | 29(20.4) | 38(16.9) | ||
| 是否接受手术治疗a | 0.21 | 0.646 | ||
| 是 | 19(13.4) | 34(15.1) | ||
| 否 | 123(86.6) | 191(84.9) |
注:a例(%);b;FNAB为针吸活检;CNB为切割活检
2组取材成功率均为100%。2组首次穿刺病理结果如表2所示。经脏器路径组最终诊断为肿瘤病变134例,非经脏器路径组最终诊断为肿瘤性病变211例。经脏器路径组有123例经1次穿刺获得明确病理结果,有12例经第2次穿刺明确诊断,131例患者经穿刺准确诊断;非经脏器路径组有196例经1次穿刺获得明确病理结果,有16例经第2次穿刺明确诊断,207例经穿刺准确诊断。2组在一次性成功诊断率、诊断准确率上差异均无统计学意义[86.6%(123/142)比87.1%(196/225)和92.3%(131/142)比92.0%(207/225),均P>0.05]。经脏器路径组和非经脏器路径组灵敏度和假阴性率差异均无统计学意义[91.8%(123/134)比90.0%(190/211)和8.2%(11/134)比10.0%(21/211),均P>0.05];2组特异度均为100%(表3)。

2组接受CT引导经皮胰腺占位病变穿刺活检患者的首次穿刺病理结果比较[例(%)]
2组接受CT引导经皮胰腺占位病变穿刺活检患者的首次穿刺病理结果比较[例(%)]
| 项目 | 经脏器 路径组 (n=142) | 非经脏器 路径组 (n=225) | χ2值 | P值 |
|---|---|---|---|---|
| 肿瘤性病变 | 118(83.1) | 180(80.0) | 0.55 | 0.459 |
| 导管腺癌 | 99(69.7) | 151(67.1) | ||
| 神经内分泌瘤 | 6(4.2) | 3(1.3) | ||
| 神经内分泌癌 | 1(0.7) | 3(1.3) | ||
| 实性假乳头状瘤 | 2(1.4) | 3(1.3) | ||
| 导管内乳头状肿瘤 | 1(0.7) | 3(1.3) | ||
| 淋巴瘤 | 1(0.7) | 5(2.2) | ||
| 囊腺瘤 | 0(0) | 1(0.4) | ||
| 鳞癌 | 1(0.7) | 2(1.3) | ||
| 肉瘤 | 0(0) | 2(0.9) | ||
| 间质瘤 | 1(0.7) | 3(1.3) | ||
| 腺鳞癌 | 2(1.4) | 0(0) | ||
| 其他类型转移癌 | 4(2.8) | 6(2.7) | ||
| 非肿瘤性病变 | 5(3.5) | 16(7.1) | 2.08 | 0.149 |
| IG4相关胰腺炎 | 1(0.7) | 3(1.3) | ||
| 炎症 | 4(2.8) | 13(5.8) | ||
| 无法明确诊断 | 19(13.4) | 29(12.9) | 0.01 | 0.905 |
| 坏死组织 | 3(2.1) | 5(2.2) | ||
| 组织少 | 5(3.5) | 8(3.6) | ||
| 组织不典型 | 11(7.7) | 16(7.1) |

CT引导经脏器路径与非经脏器路径胰腺占位病变穿刺活检的穿刺效力对比[%(比值)]
CT引导经脏器路径与非经脏器路径胰腺占位病变穿刺活检的穿刺效力对比[%(比值)]
| 项目 | 经脏器组 (n=142) | 非经脏器组 (n=225) | χ2值 | P值 |
|---|---|---|---|---|
| 一次性诊断率a | 86.6(123/142) | 87.1(196/225) | 0.02 | 0.892 |
| 准确率b | 92.3(131/142) | 92.0(207/225) | 0.01 | 0.930 |
| 灵敏度c | 91.8(123/134) | 90.0(190/211) | 0.30 | 0.586 |
| 特异度d | 100.0(123/123) | 100.0(190/190) | - | - |
| 假阴性率e | 8.2(11/134) | 10.0(21/211) | 0.30 | 0.586 |
| 并发症发生率f | 10.6(15/142) | 12.4(28/225) | 0.30 | 0.585 |
注:a首次穿刺获得明确病理结果的比例;b穿刺病理结果与最终诊断一致的比例;c穿刺病理为肿瘤性病变占最终诊断为肿瘤性病变的比例;d穿刺病理为肿瘤性病变且最终诊断为肿瘤性病变占穿刺病理为肿瘤性病变的比例;e穿刺病理为非肿瘤性病变且最终诊断为肿瘤性病变占最终诊断为肿瘤性病变的比例;f合并并发症患者占总患者的比例
2组患者均未出现手术相关死亡病例,未出现胰瘘、针道种植转移等并发症。经脏器路径组并发症发生率与非经脏器路径组差异无统计学意义[10.6%(15/142)比12.4%(28/225),P>0.05]。
经脏器路径组中有15例患者出现穿刺相关并发症,并发症发生率为10.6%(15/142)。有3.5%(5/142)患者出现血淀粉酶升高;7.0%(10/142)患者出现腹腔出血,出血均为穿刺针道或靶病变周围局部血肿,均经对症治疗好转。
非经脏器路径组共有12.4%(28/225)患者出现并发症。有4.9%(11/225)患者出现血淀粉酶升高;7.6%(17/225)患者腹腔出血,除1例出现活动性出血进行了手术治疗外,余出血均为穿刺道、靶病变周围局限血肿,经内科保守治疗好转。
胰腺解剖位置特殊,周围毗邻腹主动脉、腹腔干、脾动脉、十二指肠、胃和小肠等腹腔大血管或重要脏器,CT引导经皮穿刺难度及风险非常大。在穿刺前需制定好恰当的穿刺路径,最理想的穿刺路径是靶病变显示清楚,周围无重要脏器,穿刺路径无脏器、血管遮挡。研究显示60%~70%的穿刺途径不需经过腹腔脏器直接穿刺胰腺病变[9, 10, 11]。当穿刺路径被胃、肠管、血管遮挡,可采用水分离或钝针分离技术,避免直接损伤这些重要脏器[11, 12]。当这些脏器无法分离时,可选择经腹腔脏器进行穿刺活检。研究显示约15%需经胃途径,10%需经肝脏途径,部分需经小肠、结肠路径进行胰腺占位穿刺活检,必要时可经脾、肾脏或下腔静脉途径进行胰腺占位穿刺活检[9, 10]。文献报道的经腹腔脏器胰腺病变穿刺活检灵敏度、特异度和准确率分别为90.5%、100%和90.9%[6]。本研究中经腹腔脏器组诊断准确率、灵敏度、特异度和假阴性率分别为92.3%、91.8%、100%和8.2%,与文献报道基本相当,与未经腹腔脏器组差异均无统计学意义。本研究中经腹腔脏器组准确率略高于文献报道,可能于本研究中所应用活检针均为18 G有关,因为18 G活检针相比20 G、22 G活检所取得标本量更多,穿刺诊断率更高,特别是对淋巴瘤、神经内分泌肿瘤的诊断[13]。本研究中一次性诊断率、准确率与非经腹腔脏器组差异均无统计学意义。
经皮胰腺占位穿刺活检常见并发症有出血、血淀粉酶增高、胰液外漏和感染等,总的并发症发生率较低,在0~15.3%[8,14]。Hsu[15]等报道经腹腔脏器进行胰腺穿刺活检,并发症发生率为13.6%,均经保守治疗好转。既往研究所用活检针或同轴穿刺针为20~25 G[16, 17],对17~18 G活检针研究较少。本研究所应用均为17 G同轴穿刺针和18 G活检针,经腹腔脏器组分别经肝、胃、小肠和结肠进行胰腺病变穿刺活检,15例患者出现穿刺相关并发症,其中血淀粉酶升高5例、腹腔出血10例,总并发症发生率为10.6%,均经内科保守治疗好转,与未经腹腔脏器组相比差异均无统计学意义。研究显示血淀粉酶升高与正常胰腺组织损伤或穿刺经过胰管有关,因此在术中尽量避免穿刺正常胰腺或胰管[11]。出血多为局部少量或自限性的,一旦出现局部出血,可采用自体凝血块、明胶海绵颗粒、生物组织胶或凝血酶局部注射,减少出血或降低出血发生率[18]。经肠道、胃进行胰腺病变穿刺活检多有争议,本研究中经胃肠道穿刺病例较多,未出现胃肠穿孔、腹腔感染等并发症,这与本研究中患者在术前进行充分胃肠道准备比如禁饮食、清洁灌肠和提前应用抗感染药物密切相关;也与在进行操作时均避免了反复、多次穿刺脏器,减少或避免了所经脏器损伤。因此在经脏器路径进行胰腺占位穿刺活检时,采用分步进针方法,调整进针方向时,避免退出所经脏器再穿刺,降低并发症发生率。
本研究存在一定的局限性。首先,本研究为回顾性研究,在选择病例上存在一定的差异,会造成一定统计偏倚;其次,本研究为单中心研究,在纳入人群及资料收集方面具有一定的主观性;第三,本研究并未对准确性、并发症发生率的影响因素进行统计分析。因此需要进一步的前瞻的、多中心的、大样本的研究。
总之,CT引导经皮、经腹腔脏器路径进行胰腺病变粗针穿刺活检是安全、有效的。与非经脏器路径相比,诊断效率相当,未增加相应操作风险。
王猛, 周志刚, 杜可朴, 等. CT引导经脏器路径对比非经脏器路径粗针穿刺活检诊断胰腺占位性病变的安全性和诊断效能分析[J]. 中华医学杂志, 2023, 103(5): 364-369. DOI: 10.3760/cma.j.cn112137-20220727-01639.
所有作者均声明不存在利益冲突





















