
分析IgG4相关性肺疾病的临床特征。
回顾性收集2012年2月至2021年5月于北京大学人民医院诊断为IgG4相关性肺疾病60例的患者临床资料,对其临床表现、实验室检查、影像学、预后等特征进行分析。
60例患者中,男40例,年龄(58.2±12.9)岁,发病年龄(57.1±13.2)岁,31.7%(19例)患者有过敏疾病史。36.7%(22例)患者病程中出现呼吸系统症状。94.6%(53/56)患者血清IgG4>1.35 g/L,24.1%(14/58)患者嗜酸性粒细胞绝对值升高,79.2%(38/48)患者IgE升高,53.7%(29/54)患者补体C3或C4下降。常见影像学表现包括结节样改变38例(63.3%),纵隔和(或)肺门淋巴结肿大34例(56.7%),磨玻璃影31例(51.7%),53例(88.3%)患者存在2种及以上影像学改变。病理学检查以淋巴浆细胞浸润及纤维增生为主要表现,仅1例可见闭塞性静脉炎。有呼吸系统症状组(22例)血清总IgG(及嗜酸性粒细胞绝对值)均高于无症状组(38例),分别为43.2比17.8 g/L和0.30×109/L比0.14×109/L,均P<0.05;合并过敏性疾病比例低于无症状组,胸部CT存在实变影比例高于无症状组,均P<0.05;两组血清IgG4、IgE、补体水平及治疗后影像学转归情况差异均无统计学意义(均P>0.05)。
IgG4相关性肺疾病临床表现无特异性,无呼吸系统症状患者占较高比例;胸部CT表现具有高度异质性,且易出现多种影像学改变共存。有无呼吸系统症状组患者主要临床特征及治疗后影像学转归差别不大。
版权归中华医学会所有。
未经授权,不得转载、摘编本刊文章,不得使用本刊的版式设计。
除非特别声明,本刊刊出的所有文章不代表中华医学会和本刊编委会的观点。
IgG4相关性疾病(IgG4-related disease,IgG4-RD)是一种免疫介导疾病,受累组织或器官中大量IgG4+淋巴细胞及浆细胞浸润,导致慢性炎症伴纤维化[1],临床表现为受累器官局限性或弥漫性肿大,可同时或先后出现多个器官病变。IgG4相关性肺疾病(IgG4-related lung disease,IgG4-RLD)于2004年首次报道[2],指IgG4-RD累及气道、肺实质、胸膜或纵隔,可单独发生,也可与其他系统受累并存[3]。IgG4-RLD是一种罕见病,临床及影像学无特异性表现,容易漏诊或误诊。为了提高临床医师对IgG4-RLD的认识,本研究回顾性分析IgG4-RLD患者的临床特征。
回顾性收集2012 年2月至 2021年5月于北京大学人民医院诊断为IgG4-RLD的 60例患者,入选标准:(1)均符合相关IgG4-RD综合诊断标准[4];(2)胸部CT存在结节、磨玻璃、支气管血管束增粗、小叶间隔增厚、实变、支气管扩张、胸膜病变及纵隔/肺门淋巴结肿大等异常改变;(3)除外其他病因所致胸部CT改变。本研究经北京大学人民医院伦理委员会批准(批号:2022PHB165-001),豁免知情同意。
分析患者一般信息、临床表现、实验室检查、影像、肺功能、气管镜、病理、治疗方案及预后信息,将纳入患者分为有呼吸系统症状及无呼吸系统症状组,分析两组实验室检查、影像学、预后等特征差异。
应用SPSS 27统计软件分析,符合正态分布的计量数据以表示,应用独立样本t检验进行组间比较;非正态分布的计量数据以M(Q1,Q3)表示,应用Wilcoxon符号秩和检验进行组间比较。计数资料采用例(%)表示,应用χ2检验进行组间比较。双侧检验,α=0.05。
60例IgG4-RLD患者中,男性40例;年龄(58.2±12.9)岁,发病年龄为(57.1±13.2)岁,≥45岁发病者占 85%。26.7%患者有吸烟史,31.7%(19例)患者有过敏疾病史(表1),包括过敏性鼻炎11例、哮喘9例、皮肤过敏3例。从发病到确诊的时间为12(3,36)个月。22例(36.7%)患者病程中出现呼吸系统症状,包括咳嗽、咳痰、胸闷、胸痛、咯血;15例(25.0%)患者以呼吸系统受累为首发症状;38例(63.3%)患者虽有肺部影像学异常,但未出现过呼吸系统症状。有无呼吸系统症状组的性别比例、发病年龄、吸烟比例差异无统计学意义(均P>0.05),无呼吸系统症状组合并过敏性疾病史比例高于有症状组(P=0.004)。详见表1。

有无呼吸系统症状IgG4相关性肺疾病患者临床特征比较
有无呼吸系统症状IgG4相关性肺疾病患者临床特征比较
| 项目 | 有呼吸系统症状(n=22) | 无呼吸系统症状(n=38) | 总体(n=60) | χ2/Z值 | P值 |
|---|---|---|---|---|---|
| 男[例(%)] | 18(81.8) | 22(57.9) | 40(66.7) | 3.59 | 0.058 |
| 年龄(岁,) | 63.0(50.8,70.2)a | 57.5±11.8 | 58.2±12.9 | -1.21 | 0.225 |
| 吸烟史[例(%)] | 9(40.9) | 7(18.4) | 16(26.7) | 3.60 | 0.058 |
| 过敏史[例(%)] | 2(9.1) | 17(44.7) | 19(31.7) | 8.18 | 0.004 |
注:aM(Q1,Q3)
6例(10.0%)患者仅有肺受累表现,其余患者存在肺外器官受累,包括唾液腺及泪腺43例(71.7%),胸外淋巴结21例(35.0%),胰腺13例(21.7%),肾脏及输尿管13例(21.7%),胆管8例(13.3%),腹膜后纤维化8例(13.3%),前列腺4例(6.7%),鼻窦、垂体各3例(5.0%),甲状腺、大动脉、脾脏各2例(3.3%),胃肠道、肝脏、心包、皮肤各1例(1.7%)。40例(66.7%)患者存在系统性受累(3个及以上器官受累)。
94.6%(53/56)的患者血清IgG4>1.35 g/L;24.1%(14/58)的患者嗜酸性粒细胞(eosinophils,EO)绝对值高于正常值,5例(8.6%)高于1.5×109/L,3例(5.2%)高于3×109/L;79.2%(38/48)的患者IgE高于正常上限。各有53.7%(29/54)的患者补体C3或C4低于正常下限。有呼吸系统症状组血清总IgG及EO绝对值高于无症状组(均P<0.05),详见表2。55例患者进行自身抗体检查,其中抗核抗体阳性15例,滴度波动于1∶40~1∶320,线粒体抗体阳性2例,抗内皮细胞抗体阳性3例,10例患者合并类风湿因子升高。

有无呼吸系统症状IgG4相关性肺疾病患者实验室检查结果比较
有无呼吸系统症状IgG4相关性肺疾病患者实验室检查结果比较
| 项目 | 例数 | 结果 | Z/t值 | P值 |
|---|---|---|---|---|
| IgG[g/L,M(Q1,Q3)] | -2.63 | 0.009 | ||
| 有呼吸系统症状 | 18 | 43.2 (17.4,49.0) | ||
| 无呼吸系统症状 | 37 | 17.8 (15.2,27.0) | ||
| 合计 | 55 | 20.2 (15.8,44.5) | ||
| IgG4[g/L,M(Q1,Q3)] | -0.84 | 0.402 | ||
| 有呼吸系统症状 | 20 | 20.8 (3.2,60.0) | ||
| 无呼吸系统症状 | 36 | 8.3 (5.4,24.8) | ||
| 合计 | 56 | 14.0 (1.2,3.2) | ||
| EO[×109/L,M(Q1,Q3)] | -2.89 | 0.004 | ||
| 有呼吸系统症状 | 21 | 0.30 (0.18,1.30) | ||
| 无呼吸系统症状 | 37 | 0.14 (0.06,0.30) | ||
| 合计 | 58 | 0.23 (0.10,0.48) | ||
| IgE[U/ml,M(Q1,Q3)] | -0.64 | 0.525 | ||
| 有呼吸系统症状 | 17 | 342.6 (56.2,1 293.0) | ||
| 无呼吸系统症状 | 31 | 363.6 (128.0,1 272.0) | ||
| 合计 | 48 | 472.8 (112.5,1 344.0) | ||
| 补体C3(g/L,) | -0.43 | 0.671 | ||
| 有呼吸系统症状 | 17 | 0.72±0.33 | ||
| 无呼吸系统症状 | 37 | 0.76±0.34 | ||
| 合计 | 54 | 0.75±0.34 | ||
| 补体C4(g/L,) | -1.33 | 0.183 | ||
| 有呼吸系统症状 | 17 | 0.11 (0.03,0.21)a | ||
| 无呼吸系统症状 | 37 | 0.17±0.11 | ||
| 合计 | 54 | 0.15 (0.04,0.23)a |
注:aM(Q1,Q3);EO为嗜酸性粒细胞
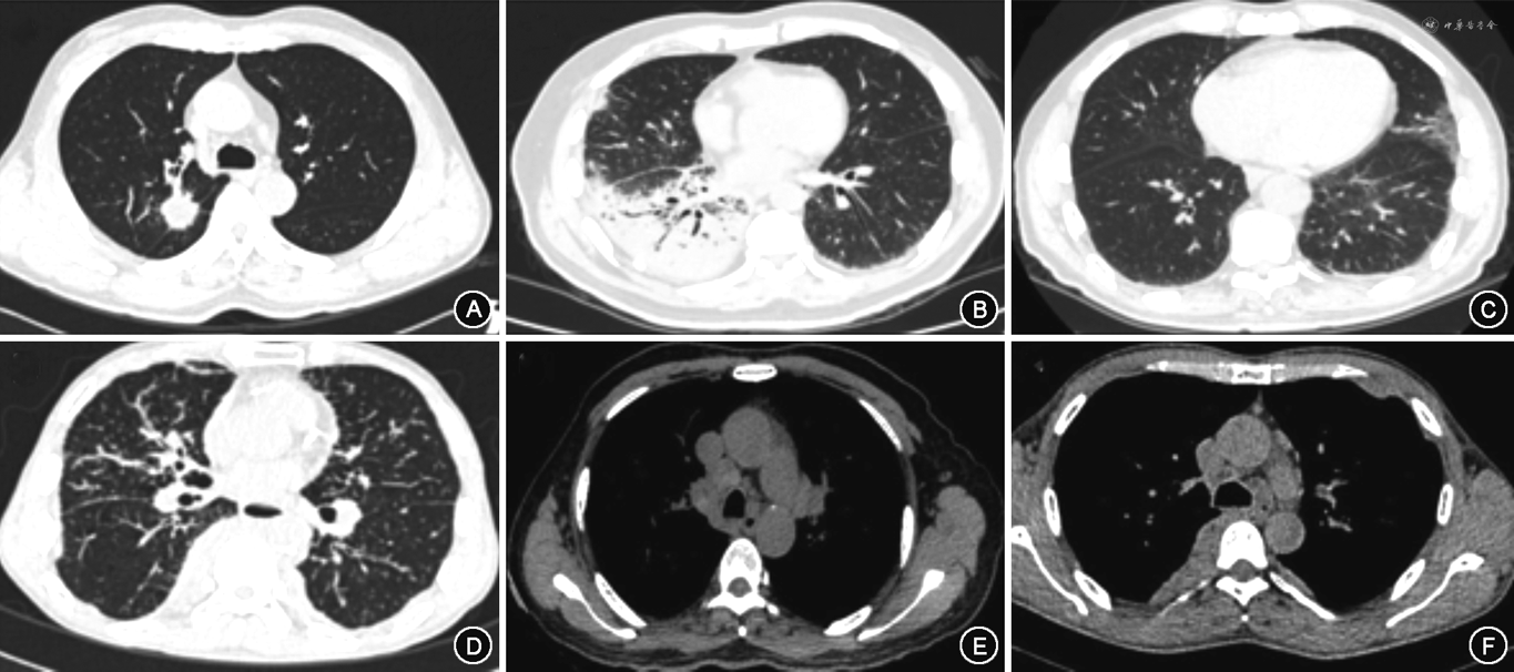
1.影像学表现:60例患者均接受胸部CT检查,其中结节38例,纵隔和(或)肺门淋巴结肿大34例,磨玻璃影31例,小叶间隔增厚29例,支气管血管束增粗28例,实变13例,支气管扩张8例,胸膜增厚18例及椎旁软组织影5例(表3)。其中53例(88.3%)患者存在2种及以上影像学改变。有呼吸系统症状组出现实变影比例均高于无症状组(均P<0.05)。IgG4相关性肺疾病患者胸部CT典型表现见图1。

有无呼吸系统症状IgG4相关性肺疾病患者胸部CT特征比较[例(%)]
有无呼吸系统症状IgG4相关性肺疾病患者胸部CT特征比较[例(%)]
| CT特征 | 有呼吸系统症状(n=22) | 无呼吸系统症状(n=38) | 合计(n=60) | χ2值 | P值 |
|---|---|---|---|---|---|
| 结节 | 15(68.2) | 23(60.5) | 38(63.3) | 0.35 | 0.553 |
| 纵隔和(或)肺门淋巴结肿大 | 15(68.2) | 19(50.0) | 34(56.7) | 1.88 | 0.171 |
| 磨玻璃影 | 12(54.5) | 19(50.0) | 31(51.7) | 0.12 | 0.734 |
| 小叶间隔增厚 | 12(54.5) | 17(44.7) | 29(48.3) | 0.54 | 0.464 |
| 支气管血管束增粗 | 12(54.5) | 16(42.1) | 28(46.7) | 0.87 | 0.352 |
| 实变 | 9(40.9) | 4(10.5) | 13(21.7) | 5.89 | 0.015 |
| 支气管扩张 | 4(18.2) | 4(10.5) | 8(13.3) | 0.20 | 0.655 |
| 胸膜增厚 | 8(36.4) | 10(26.3) | 18(30.0) | 0.67 | 0.413 |
| 椎旁软组织影 | 2(9.1) | 3(7.9) | 5(8.3) | <0.01 | 1.000 |


2.气管镜检查结果:17例患者行支气管镜检查,其中13例行肺泡灌洗液细胞分类计数,8例淋巴细胞升高,9例EO升高,4例中性粒细胞升高,1例灌洗液分类计数完全正常。其中3例患者淋巴细胞合并EO升高,1例患者中性粒细胞合并EO升高,3例患者淋巴细胞、中性粒细胞、EO均升高。
3.肺功能检查结果:16例患者行肺功能检查,3例患者肺功能正常,4例患者表现为限制性通气功能障碍合并弥散功能下降,9例患者肺功能提示阻塞性通气功能障碍,其中7例合并弥散功能下降,4例患者有吸烟史,3例患者既往曾被诊断慢性阻塞性肺疾病。
57例患者行病理检查,其中肺活检14例,包括外科肺活检6例,CT引导下肺穿刺活检5例,气管镜下气道病变活检2例,经支气管肺活检1例;43例患者行肺外活检,包括唾液腺活检31例,淋巴结6例,脊椎旁软组织、腹膜后、十二指肠、前列腺、肝脏、眶周各1例。另有3例患者因活检难度大或拒绝活检,未行病理检查。
患者主要病理学表现包括淋巴浆细胞浸润(52例,91.2%)及纤维增生(41例,71.9%),仅1例(1.7%)肺活检患者病理可见闭塞性静脉炎。免疫组化染色中进行IgG4+及IgG+细胞计数的患者中,IgG4+细胞计数均>10个/高倍视野(high power field,HPF),1例外科肺活检IgG4+细胞计数>50个/HPF,2例肺穿刺活检IgG4+细胞计数>20个/HPF。29.5%(13/44)的患者IgG4+/IgG+>40%。
6例患者因疑诊恶性肿瘤进行肺部病变切除。36例患者行激素联合免疫抑制剂治疗,激素起始剂量为0.5~1.0 mg/kg,免疫抑制剂包括环磷酰胺、霉酚酸酯、来氟米特、硫唑嘌呤及艾拉莫德,对于加用免疫抑制剂的时机,13例患者起始单用激素治疗,后因病情活动或激素减量而加用免疫抑制剂,22例患者初始即接受激素及免疫抑制剂联合治疗,其中10例为重要脏器受累者,包括眼、垂体、肾、胰腺、胆道,1例患者初始应用甲氨蝶呤,后因监测IgG4水平升高而加用激素;3例患者行激素联合免疫抑制剂联合美罗华治疗,7例患者单独应用激素治疗,各有1例患者单独应用免疫抑制剂(艾拉莫德)或美罗华治疗,8例患者未接受治疗。
37例患者治疗后进行了CT随访,随访时间为24.0(14.5,47.5)个月,32例好转或稳定,5例出现了病情反复,包括1例未治疗,1例单用激素治疗,2例激素联合免疫抑制剂治疗,1例激素联合免疫抑制剂联合美罗华治疗。有无呼吸系统症状组患者好转/稳定比例分别为12/14及20/23,两组差异无统计学意义(χ2<0.01,P=1.000)。其中4例患者虽然肺部病变持续改善,但肺外病变出现反复。
IgG4-RLD为少见疾病,文献报道多为个案或小规模病例系列,IgG4-RLD在IgG4相关性疾病中的发生率为14%~35%[5, 6],但因易被漏诊或误诊,其真实发病率可能被低估。本研究中男女患者比例为2∶1,发病年龄(57.1±13.2)岁,≥45岁发病者占85%,与Wang等[7]研究结果基本一致。
既往文献中无呼吸症状的IgG4-RLD患者为11.8%~72.0%[8, 9, 10]。本研究中,36.7%患者出现非特异呼吸系统症状,63.3%患者虽有胸部CT异常,但从未出现过呼吸症状。对于IgG4-RD患者,即使无呼吸系统症状,也应积极筛查,避免疾病隐匿进展至严重的程度。
IgG4-RD患者常合并过敏性疾病、EO及IgE升高,19%~31%患者合并过敏性疾病[5,11]。本研究中,患者合并EO及IgE升高比例分别为24.1%及79.2%,31.7%有过敏疾病史。有研究结果显示,IgG4-RD患者EO及IgE水平与是否合并过敏性疾病并无相关性[11, 12]。IgG4-RD和过敏性疾病可能是涉及了共同的细胞亚群和细胞因子的独立疾病过程[13]。本研究亦发现虽然有呼吸系统症状组患者EO水平高于无症状组,但合并过敏性疾病比例反而低于无症状组,二者并不平行。
本研究中,IgG4-RLD患者影像学异常存在高度异质性,涉及气道、肺实质、肺间质、纵隔淋巴结及胸膜多个解剖学部位,且88.3%患者存在2种及以上影像学改变。最常见的影像学改变为结节(63.3%),与国内文献报道一致[14],其次为纵隔和(或)肺门淋巴结肿大(56.7%)、磨玻璃影(51.7%)。另一项针对高加索人种患者的研究发现,最常见的影像学改变为支气管血管束增厚(54%)及纵隔淋巴结肿大(54%),37%患者存在两种以上的影像学改变[15]。由于IgG4-RLD影像学特点缺乏特异性,需与Castleman 病、肺癌、血管炎及结节病等鉴别。
根据Boston病理共识,密集的淋巴浆细胞浸润、席纹状纤维化、闭塞性静脉炎是IgG4-RD最典型的组织学特征。肺部病理可见肺泡腔内少量中性粒细胞浸润,非实性病变中可能缺少典型的席纹状纤维化,实性病变中可能出现闭塞性动脉炎。该共识将胸膜及外科手术切除肺组织>50个IgG4+细胞/HPF及非外科手术活检肺组织>20个IgG4+细胞/HPF设为界值[1]。本研究中患者病理以淋巴浆细胞浸润及纤维增生为主要表现,仅1例肺活检患者可见闭塞性静脉炎,与文献报道基本一致[16]。
2021年我国IgG4-RD诊治专家共识指出,有症状的活动性患者及无症状的重要脏器受累者均需治疗;一线药物为糖皮质激素,单用激素控制不佳、减量中复发及出现明显激素相关不良反应时,推荐联合免疫抑制剂;难治性或复发性疾病可选用生物制剂如抗CD20单抗;单纯累及肺部的孤立结节在完整切除后可不行激素治疗,但需定期随访[17]。本研究中患者肺部病变经治疗后改善率较高,但其中4例患者虽然肺部病变持续改善,肺外病变却出现反复,提示在治疗过程中需要对于患者进行全面的评估。
本研究为回顾性研究,部分患者的临床资料不完整;其次,本研究中进行气管镜、肺功能及肺部病理等呼吸专科检查者较少,无法对患者肺泡灌洗液、肺功能及肺部病理特点等进行深入研究。
综上所述,本研究发现IgG4-RLD临床表现无特异性,无症状患者占较高比例。有呼吸系统症状组患者血清总IgG及EO绝对值高于无症状组,合并过敏性疾病比例低于无症状组,胸部CT存在实变影比例高于无症状组;影像表现具有高度异质性,且易出现多种影像学改变共存。临床医师应提高对本病的警惕性,根据临床表现、实验室检查及病理活检进行全面综合评估。
张文, 张茉沁, 公丕花, 等. IgG4相关性肺疾病临床特征研究[J]. 中华医学杂志, 2023, 103(18): 1417-1422. DOI: 10.3760/cma.j.cn112137-20221025-02226.
所有作者均声明不存在利益冲突





















