
版权归中华医学会所有。
未经授权,不得转载、摘编本刊文章,不得使用本刊的版式设计。
除非特别声明,本刊刊出的所有文章不代表中华医学会和本刊编委会的观点。
患者男,44岁。因"水肿、少尿、黄疸3个月"于2014年5月16日收入我院肾内科。患者于2014年2月16日无明显诱因出现尿中泡沫增多、眼睑及下肢轻度可凹性水肿。2014年2月19日出现皮肤、巩膜黄染,伴尿色加深,呈茶色,无发热、寒战、腰痛。2014年2月20日就诊外院,测血压160/100 mmHg(1 mmHg=0.133 kPa),尿量减少至200 ml/d,查血常规:WBC 7.1×109/L,Hb 114 g/L,血小板计数40×109/L,网织红细胞0.9%;尿常规:蛋白3+,潜血2+,尿胆原(–);24 h尿蛋白7.05 g;生化:白蛋白(Alb) 38.9 g/L(正常值35~52 g/L),TBil 75.1 μmol/L(正常值5.1~22.2 μmol/L),DBil 67 μmol/L,肌酐(Cr) 201 μmol/L(正常值94~104 μmol/L),尿素(Urea) 12.2 mmol/L(正常值2.78~7.14 mmol/L),乳酸脱氢酶(LDH) 2 147 U/L(正常值0~250 U/L);ESR、C反应蛋白、补体正常;血涂片:可见破碎红细胞;Coombs试验、糖水试验(–);抗双链DNA抗体、抗肾小球基底膜(GBM)抗体、抗中性粒细胞胞浆抗体(ANCA)、抗可提取核抗原(ENA)抗体(–);肾脏超声检查:左肾大小及形态正常,右肾体积增大(12.9 cm×5.8 cm)。外院诊断:血栓性微血管病性肾损害,予血浆置换治疗(每周1次,每次2 L,共8次)及静脉甲泼尼龙80 mg,1次/d×3 d→40 mg ,1次/d×10 d→泼尼松40 mg,1次/d口服并逐渐减量。2月24日复查Cr 812 μmol/L,此后开始规律血液透析(2~3次/周)。经以上治疗后,患者黄疸逐渐好转,尿色淡黄清亮,尿量恢复至1 200~1 600 ml/d。3月30日复查Hb 90 g/L(间断输血),血小板计数107×109/L,Cr 469 μmol/L,LDH 510 U/L。患者入院时口服甲泼尼龙28 mg,1次/d,每周3次规律血液透析,硝苯地平控释片及缓释片降压,2014年5月16日收入病房。既往史:发病前2周患者曾有咽痛、流涕等上呼吸道感染表现。家族史:弟弟18岁时患急性肾损伤,妹妹30岁时因急性肾损伤去世,自述妹妹病程中有溶血。入院体检:血压150/95 mmHg,叩诊心界略向左下扩大,心脏各瓣膜听诊区未及杂音,双肺呼吸音清,腹部体检未见异常,双下肢轻度可凹性水肿。入院诊断:血栓性微血管病,急性肾损伤。
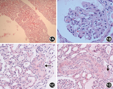
诊治经过:血常规:WBC 10.01×109/L,Hb 105 g/L,血小板计数127×109/L;网织红细胞2.56%(升高);血涂片可见少量红细胞碎片;尿常规+沉渣:蛋白1.0 g/L,潜血25个细胞/μl,红细胞18.9个/μl,异型红细胞95%;24 h尿蛋白3.13 g;生化:TBil 19.4 μmol/L,DBil 6.4 μmol/L,K 3.4 mmol/L,Cr 479 μmol/L,Urea 16.04 mmol/L,LDH 524 U/L;ESR、超敏C反应蛋白(hsCRP)正常;补体:C3 0.719 g/L(下降),C4 0.719 g/L;抗链球菌溶血素O(ASO)、巨细胞病毒(CMV)DNA、EB病毒(EBV)DNA、肾综合征出血热IgM(–);抗核抗体(ANA)、抗磷脂抗体、ANCA、GBM抗体 (–);血、尿免疫固定电泳(–);送检北京大学人民医院:血管性血友病因子裂解酶自身抗体(ADAMTS–13)528 μg/L(正常值481~785 μg/L);北京大学第一医院:H因子241.8 mg/L(正常值277~1 018 mg/L),I因子54 mg/L(均值为35 mg/L),H因子抗体(–)。双肾超声检查:双肾弥漫性病变。肾穿刺活检病理:免疫荧光(–);光镜:全片可见25个肾小球,1个球性硬化,2个节段性硬化。肾小球细胞数轻度增加,可见节段性系膜细胞增生和基质增多。部分毛细血管襻受压变窄。大部分肾小球GBM变性、皱缩,伴包曼囊腔扩张,GBM内疏松层节段性增宽,呈"双轨样"改变,可见中性粒细胞浸润。肾小管上皮细胞可见空泡变性及刷状缘脱落。管腔内可见蛋白管型。可见多处灶性的肾小管基底膜(TBM)增厚和肾小球萎缩。间质内可见多处灶性的水肿与轻度纤维化,伴有少量单个核细胞为主的炎性细胞浸润。肾内小血管管壁普遍性增厚、弹力纤维增生、管腔狭窄,部分管腔闭塞,内皮细胞增生、肿胀,内皮水肿、黏液变性及红细胞碎片沉积。光镜诊断:符合血栓性微血管病(图1)。


患者入院心脏超声检查显示,中–大量心包积液(考虑慢性心包压塞),左心室舒张末径(LVEDd) 56 mm(左心增大),左心室射血分数(LVEF) 59%。胸部CT:双侧胸腔积液、心包积液。心肌酶、B型利钠肽(BNP)(–),心电图正常。经颈静脉置管估测中心静脉压17 cmH2O(1 cmH2O=0.098 kPa);2014年5月30日行心包穿刺,引流淡黄清亮心包积液约400 ml,含少量絮状物。心包积液常规:WBC 52×106/L,单核38×106/L、多核14×106/L、黎氏试验(–);总蛋白(TP) 24 g/L,LDH 168 U/L(TP心包/TP血=0.41,LDH心包/LDH血=0.35);乳糜试验(–);细菌/真菌涂片、培养(–);结核感染方面:患者临床无低热、盗汗,肺部CT未见结核感染表现,PPD、血淋巴细胞培养+干扰素A+B(TB –SPOT)(–),心包积液腺苷脱氨酶(ADA)、TB –SPOT、抗酸染色(–)。因考虑患者尿毒症心包炎不除外,再次予血液透析(3次/周),心包积液量无明显减少。
治疗:入院后予慢性肾功能不全非替代治疗,硝苯地平缓释片、哌唑嗪、氯沙坦降压,监测血压130~140/80~90 mmHg。糖皮质激素逐渐减停。5月17日及19日各行1次血液透析,此后停止透析。
患者中年男性,急性起病,病程5个月。以黄疸、水肿起病,主要受累系统包括血液系统和肾脏,病程中出现中到大量的心包积液,有阳性家族史。患者血液系统表现包括血小板下降、溶血性贫血,血涂片可见破碎红细胞,Coombs试验(–),提示为微血管病性溶血性贫血。肾脏方面表现为少量的镜下血尿,病初有肾病范围内的蛋白尿,肾功能方面表现为急性肾损伤。分析患者急性肾损伤的原因,无容量不足等肾前性因素,检查已除外肾后梗阻性因素,急性肾损伤为肾性因素导致。因患者有肾病范畴蛋白尿,肾脏疾病定位于肾小球。另外结合患者有血小板减少、微血管病性溶血性贫血、急性肾损伤,提示为血栓性微血管病(TMA)这一类疾病。肾脏穿刺对于明确诊断具有重要意义。该患者肾穿刺病理见肾小球呈缺血皱缩表现,小血管病变突出,小血管壁内皮明显增厚、水肿、增生,部分小血管闭塞,部分小血管内可见破碎红细胞。肾脏病理进一步支持TMA的诊断。
确立TMA的诊断后,需进一步明确TMA的类型。主要需鉴别典型溶血尿毒综合征(HUS)、非典型HUS(aHUS)、血栓性血小板减少性紫癜(TTP)及继发于其他疾病如系统性红斑狼疮、妊娠、肿瘤、感染等的TMA。通过对上述继发因素的筛查,除外了继发于免疫病、肿瘤、感染性疾病的可能。患者起病前无腹泻、便血,不支持HUS,而ADAMTS–13活性正常使TTP可能性缩小,结合患者有阳性家族史、C3及H因子水平下降,诊断指向aHUS。对于aHUS推荐以下途径明确诊断[1,2]:(1)筛查产志贺菌素的大肠埃希菌以除外典型HUS。(2)完善ADAMTS–13活性检测,如为正常范围可基本除外TTP。(3)筛查C3、C4及B因子水平,如有C3因子降低提示补体旁路途径激活,进一步筛查H因子、I因子及相关抗体;行单核细胞趋化蛋白(MCP)表达测定,如MCP表达减少,进一步行MCP测序;筛查H因子抗体,如为阳性,提示为H因子相关的aHUS。故该患者目前诊断考虑为H因子异常导致的aHUS,如能行H因子基因测序则有助于进一步明确诊断。
TMA的诊断要点包括微血管病性溶血性贫血、消耗性血小板减少、脏器功能不全。该患者有血红蛋白及血小板减低,存在网织红细胞比例升高、间接胆红素及LDH升高等溶血的证据,结合血涂片可见破碎性红细胞,提示存在微血管性溶血性贫血及消耗性血小板减少。患者起病表现为急性肾损伤,肾脏穿刺病理进一步支持TMA的诊断。综上,该患者TMA诊断明确。TMA的分类主要包括血TTP与HUS两大类。HUS又进一步分为典型和aHUS。典型HUS(即腹泻相关HUS)与大肠埃希菌O157:H7感染密切相关,发病前多有腹泻、便血。该患者发病前无相关表现,不支持典型HUS的诊断。aHUS为体内补体调节机制异常导致补体过度活化所致。补体通路中H因子、I因子、MCP的缺乏或功能障碍可导致补体C3通过旁路途径过度活化,膜攻击复合物形成,导致血管内皮受损、血小板黏附聚集,致aHUS发病[3]。部分患者为遗传因素致病,各种感染、肿瘤、妊娠等为该病的诱发因素。近年来已有大量补体H因子基因突变导致aHUS发病的病例报道[4],但目前基因检测及补体检测手段尚不够成熟,对于该疾病的诊断帮助意义有限。
aHUS与TTP临床表现相似,二者鉴别困难。该患者aHUS的诊断仍存在疑点,目前尚不能完全除外TTP。原因如下:(1)该患者虽检测ADAMTS–13活性为正常范围,但测定时患者已处于疾病稳定期,尚不能确定疾病活动期水平。国内TTP患者多存在ADAMTS–13抗体致病,无ADAMTS–13活性的显著下降。因此,ADAMTS–13活性测定结果正常仍不能除外TTP。(2)aHUS相对于TTP肾脏表现更突出,而TTP患者血小板下降更明显。对于血小板大于30×109/L,血Cr水平大于300 μmol/L的患者,更倾向于aHUS的诊断。该患者虽血Cr水平大于300 μmol/L,但血小板低于30×109/L支持TTP的诊断。
治疗方面:该患者目前已为终末期肾病,对于补体H因子异常导致的aHUS,如进行肾移植,大部分患者仍会因疾病复发而导致移植肾失去功能。Eculiumab对于aHUS的治疗具有划时代的意义,一旦除外典型HUS及TTP即可开始Eculizumab治疗,且可用于血浆置换无效或血浆置换依赖的患者[5]。2011年欧洲及美国已批准C5单克隆抗体用于aHUS的治疗,但目前尚未在国内应用,且由于价格昂贵且需长期应用,可行性不高。如患者最终诊断为TTP,需考虑免疫抑制治疗,包括激素、免疫抑制剂、利妥昔单抗注射液(商品名美罗华)。aHUS与TTP的治疗方向不同,进一步明确诊断对于治疗选择具有重要意义。
该患者病程中出现中到大量的心包积液。心包积液性质方面,根据Light标准,该患者心包积液为漏出液(TP心包/TP血<0.5,LDH心包/LDH血<0.6)。但患者无低蛋白血症、中心静脉压升高、心力衰竭等可导致漏出性心包积液的病因。心包积液含有较多絮状物,可能会导致心包积液检测偏差,心包积液的性质有待商榷。心包积液的病因方面,中国人导致心包积液最常见的原因为结核感染,其他常见原因包括免疫病、肿瘤。如尝试用一元论解释,HUS心脏受累主要表现为冠状动脉内微血栓致心肌缺血、心肌梗死[6]。曾有HUS儿童因心肌损伤导致反应性心包积液的文献报道,但较为罕见[7,8]。不支持点为该患者心肌酶、心电图正常,无心肌损伤表现。该患者为终末期肾病,存在尿毒症心包炎的可能。尿毒症心包炎导致的心包积液为渗出液,且随着充分透析的进行,心包积液量会逐渐减少。该患者心包积液的性质及对透析治疗的反应不支持该诊断。如用二元论解释,患者虽目前无明确结核感染支持依据,但为结核易感人群,且从流行病学角度较难除外结核性心包炎的诊断,可考虑诊断性抗结核治疗。此外,建议多次油餐后复查乳糜试验,除外乳糜性心包积液。
结核为中国人导致心包积液的最常见的原因。该患者为慢性肾功能不全,且长期使用糖皮质激素,为结核感染的高危人群。不支持点为该患者无明显结核感染中毒症状,多次心包积液白细胞数量少、ADA低水平、血及心包积液TB–SPOT(–),亦无全身其他器官结核感染依据。综上,患者目前无明确依据提示结核性心包炎,不建议诊断性抗结核治疗。结核性心包炎的治疗需采用标准的四联抗结核方案,抗结核药物的副作用及长疗程有可能进一步导致医源性损伤。
2014年7月3日送检进食油餐后心包积液乳糜试验(+)×2,下肢淋巴管核素显像:双胸导管、双静脉角增宽,心包少量乳糜性积液,胸导管–心底部乳糜瘘可能。世纪坛医院淋巴外科医师会诊:建议就诊世纪坛医院行下肢淋巴管造影明确诊断。2014年7月10日患者出现发热,心包积液白细胞数增多,细菌培养:雷氏普罗威登斯菌、粪肠球菌。诊断化脓性心包炎,予头孢哌酮–舒巴坦(舒普深)、万古霉素抗感染后体温降至正常,心包引流量减少至0 ml,心脏超声示心包积液形成分隔,予拔除心包积液引流管。此后定期复查心包积液量较前无明显增多,患者未进一步就诊世纪坛医院行下肢淋巴管造影,心包积液原因尚未明确。
联系中国医学科学院基础医学研究所遗传实验室协助进行基因检测,利用Illumina TruSight One Sequencing Panel建库,MiSeq高通量测序平台测序,共检测4 813个遗传病致病基因,其中补体H因子基因测序共检出4个错义突变,余致病基因检测未见异常。
补体H因子基因测序共检出4个错义突变,其中两个变异在HGMD(人类基因组突变数据库)中有aHUS的相关报道,如表1所示。突变c.2808G>T, p.Glu936Asp在人群中属于常见多态(频率>1%),与aHUS发病相关,可能是致病的危险因素[9]。突变c.3572C>T, p.Ser1191Leu为致病基因,有致病家系相关报道[10]。补体H因子由20个CCPs (complement control protein modules )构成。其N端(CCP1–4) 与C3b结合,介导C3b降解为iC3b,防止补体旁路途径过度激活。其C端(CCP19–20)与内皮细胞表面的糖胺多糖(glycosaminoglycan,GAG)结合,保护细胞避免受到攻击。该患者突变p.Ser1191Leu位于H因子C端的CCP20,该部位的突变会导致肾小球内皮细胞补体调节途径的活化异常,进而导致内皮细胞损伤,aHUS发病。此外,该部位突变可导致补体H因子相关基因–1(CFH–related gene1,CFHR1)与补体H因子基因形成融合基因,进而导致H因子功能异常而致病[11]。

补体H基因变异检测结果
补体H基因变异检测结果
| 位置 | 突变 | 状态 | SNP编号 |
|---|---|---|---|
| Chr1:196709774 | c.2808G>T,p.Glu936Asp | ? | rs1065489 |
| Chr1:196716319 | c.3572C>T,p.Ser1191Leu | 杂合 | rs460897 |
注:SNP:单核苷酸多态性
结合患者补体H因子测序结果,该患者最终诊断考虑为补体H因子基因突变导致的aHUS。该患者为遗传因素致病,本次发病前2周的上呼吸道感染史可能为该病的诱发因素。治疗方面,根据2009年aHUS治疗指南[12],推荐在诊断24 h内即开始血浆置换治疗(置换量:1.5倍血浆当量;频率:5次/周×2周→3次/周×2周后评估)。该患者在外院血浆置换治疗不够充分,但经治疗后血小板明显升高,尿量增多,肌酐下降,血浆置换有一定疗效。对于TTP或补体因子抗体导致的aHUS可考虑使用糖皮质激素治疗,该患者考虑遗传因素导致aHUS可能性大,无应用糖皮质激素治疗指征,予逐渐减停。此外,入院后加用血管转换酶抑制剂(ACEI)类药物阻断肾素–血管紧张素–醛固酮系统(RAAS)活化。国外目前有C5单克隆IgG抗体Eculizumab用于aHUS治疗,但国内还没有上市。
预后方面:aHUS预后较差,且与基因突变的因子相关,MCP基因突变预后较好,而H因子基因突变预后最差,起病1年内50%~70%的患者进展至终末期肾病或死亡[13],50%患者出现疾病复发,肾移植后患者75%~90%出现疾病复发导致移植肾失去功能[14]。
患者血液系统及肾脏方面病情稳定。血压系统方面:Hb波动于90~100 g/L,血小板计数(150~200)×109/L,血LDH及胆红素正常,多次复查血涂片未见红细胞碎片。肾脏方面:血Cr稳定于520 μmol/L,Urea 20 mmol/L,尿量1 000 ml/d,已行动静脉瘘成形术做长期透析准备。患者2014年8月12日出院。





















