临床病例讨论
第447例––2型糖尿病、恶性高血压、低血钾
中华内科杂志, 2015,54(10) : 909-912. DOI: 10.3760/cma.j.issn.0578-1426.2015.10.024
引用本文: 高志飞, 崔巍, 曹静雯, 等.  第447例––2型糖尿病、恶性高血压、低血钾 [J] . 中华内科杂志, 2015, 54(10) : 909-912. DOI: 10.3760/cma.j.issn.0578-1426.2015.10.024.
参考文献导出:   Endnote    NoteExpress    RefWorks    NoteFirst    医学文献王
扫  描  看  全  文

正文
作者信息
基金 0  关键词  0
English Abstract
评论
阅读 0  评论  0
相关资源
引用 | 论文 | 视频

版权归中华医学会所有。

未经授权,不得转载、摘编本刊文章,不得使用本刊的版式设计。

除非特别声明,本刊刊出的所有文章不代表中华医学会和本刊编委会的观点。

病历摘要

患者男,36岁。因"口干、视物不清、头痛2周,加重3 d"于2014年6月11日入院。2014年5月底患者无诱因出现口干、多饮、多尿,日饮水量约4 000 ml,夜尿7~8次,伴有视物不清、头痛、恶心、呕吐(为胃内容物,量约100 ml),休息后缓解,未诊治。6月8日劳累后上述症状再次出现且加重,于北京昌平区某医院就诊,查血压:260/190 mmHg(1 mmHg=0.133 kPa),眼底检查:"双眼视乳头水肿",遂急诊入院。入院后查随机血糖:24.9 mmol/L,血钾2.7 mmol/L,尿酮体(–)、尿糖(4+)、尿蛋白(3+),心电图示窦性心动过速、V1~V3导联ST抬高;颅脑CT示:左侧脉络膜囊肿可能、枕大池增宽。给予乌拉地尔降压、胰岛素皮下注射降糖等治疗,血压降至180~200/100~130 mmHg,全天血糖波动在9.2~24.8 mmol/L出院,出院诊断:高血压病、低血钾待查。出院后口服苯磺酸氨氯地平5 mg/d,螺内酯20 mg/d降压治疗,6月10日就诊于西安交通大学第一附属医院内分泌科,以"糖尿病、恶性高血压及低血钾原因待查"收入院。既往否认高血压、糖尿病史。20年前体检时发现右眼外斜,曾诊断为"黄斑变性"未治疗。有10年吸烟史,20支/d。父母体健,奶奶及2个姑姑患高血压,否认糖尿病家族史。

入院体检:体温37.4℃,脉搏120次/min,呼吸20次/min,血压235/130 mmHg。体重75 kg,身高168 cm,BMI 26.57 kg/m2,腰围105 cm。急性病容,右眼视力下降,双侧瞳孔等大正圆,直径约3 mm,右眼对光反射减弱。双肺呼吸音清。心率120次/min,律齐,各瓣膜听诊区未闻及病理性杂音。腹部平坦,腹壁柔软,肝脾肋下未及,双肾区无叩击痛,左上腹可闻及收缩期血管杂音。双下肢无水肿。神经系统检查未见阳性体征。

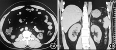
辅助检查:尿糖(4+)、尿蛋白(3+)、隐血(2+)、尿pH为6.0;血尿素氮5.23 mmol/L,肌酐88.0 μmol/L,尿酸165.6 μmol/L;TC 8.86 mmol/L、LDL–C 6.40 mmol/L、TG 1.75 mmol/L;心肌酶及肌钙蛋白T、肌酸激酶同工酶、肌红蛋白均正常;B型利钠肽前体491.60 ng/L;血pH 7.466。随机血糖:24.9 mmol/L,糖化血红蛋白(HbA1c)10.0%;空腹血清C肽1.51 μg/L、餐后2 h血清C肽4.32 μg/L;糖尿病相关抗体阴性。4次测血钾分别为3.19 mmol/L、3.32 mmol/L、2.86 mmol/L、2.65 mmol/L;2次24 h尿钾(增高)分别为:42.63 mmol/L(同步血钾3.19 mmol/L)、33.53 mmol/L(同步血钾2.65 mmol/L)。肾素活性:74.5 ng·L–1·h–1 (卧位正常值1.5~23.3 ng·L–1·h–1),醛固酮486.9 ng/L(卧位正常值12~150 ng/L)。醛固酮卧立位试验:卧位醛固酮182.37 ng/L、肾素活性:194.6 ng·L–1·h–1;立位醛固酮355.91 ng/L、肾素活性:111.2 ng﹒L–1·h–1。甲状腺功能正常;血清皮质醇测定8:00为216 μg/L (参考值50~280 μg/L),16:00为150μg/L,0:00为232 μg/L。血清促肾上腺皮质激素(ACTH)9.38 ng/L(8:00参考值5~60 ng/L)。3次24 h尿儿茶酚胺分别为184.95、54.61、73.00 nmol/24h(参考值94.5~238.3 nmol/24 h),尿香草扁桃酸分别为41.78、24.77、31.94 μmol/24 h(参考值<68.6 μmol/24 h),尿肾上腺素分别为:73.57、35.77、40.88 nmol/24 h(参考值12.5~70.4 nmol/24 h),尿去甲肾上腺素分别为111.38、18.84、30.14 nmol/24 h(参考值80.3~164.0 nmol/24 h)。心电图示V1~V3导联ST抬高;心脏彩色超声检查示左室壁均匀增厚、左室舒缓功能减低;腹部B型超声检查示右肾大小约111 mm×55 mm×51 mm,左肾大小约100 mm×46 mm×43 mm,左肾下极皮质内可见一32 mm×25 mm稍高回声团,边界清楚,形态规整。彩色多普勒血流成像(CDFI):双肾血流灌注尚可,血流频谱收缩期上升陡直,舒张期持续存在。血流参数如下:右侧肾动脉起始段动脉收缩期峰值血流速度(PS)112 cm/s、舒张末期血流速度(ED)40 cm/s,阻力指数(RI) 0.64;肾门处肾动脉:PS 80 cm/s,ED 30 cm/s,RI 0.62。左侧肾动脉起始段PS 101 cm/s,ED 30 cm/s,RI 0.70;肾门处肾动脉:PS 67 cm/s,ED 23 cm/s,RI 0.65。肾脏核素显像提示GFR:左肾12.61 ml/min;右肾29.12 ml/min。肾上腺CT平扫及强化(图1)显示:双侧肾上腺未见明显异常;左肾下极占位性病变。眼底检查:视乳头水肿、视网膜出血及棉絮斑。右眼黄斑区可见一椭圆形硬性渗出,外周散在点状色素沉着;左眼视盘周围可见硬性渗出、黄斑区可见芒状硬性渗出。于2014年6月19日就糖尿病、恶性高血压、低血钾进行全院讨论。

点击查看大图
图1
腹部CT检查见左肾下极结节病灶,双肾上腺形态正常 1A平扫 1B增强
点击查看大图
图1
腹部CT检查见左肾下极结节病灶,双肾上腺形态正常 1A平扫 1B增强
临床讨论
内分泌科医师

患者青年男性,有"三多一少"症状,体形偏胖,随机血糖24.9 mmol/L,HbA1c 10.0%,糖尿病相关抗体阴性,C肽释放高峰后移,根据其他激素水平的检查结果可排除甲状腺功能亢进(甲亢)、皮质醇增多症,嗜铬细胞瘤等继发性糖尿病,结合无糖尿病家族史,故2型糖尿病诊断明确。该患者表现为顽固性低血钾伴恶性高血压,需与以下疾病相鉴别:(1)嗜铬细胞瘤:发作时典型症状有头痛、心悸、脸色苍白、出汗等,但仅有50%患者有此症状。发作时儿茶酚胺及其代谢物测定有助诊断。该患者在血压升高时,反复3次测定24 h尿儿茶酚胺、肾上腺素、去甲肾上腺素、香草扁桃酸均未升高,结合影像学检查可排除嗜铬细胞瘤。(2)Liddle综合征:严重的高血压、低钾血症、代谢性碱中毒。它是阿米洛利敏感的钠通道突变,导致远端肾小管钠重吸收增加,而钾离子排出增多,因血容量增多,抑制肾小球旁器合成及释放肾素,表现为低肾素、低血管紧张素、低醛固酮水平。而该患者高肾素活性和高醛固酮,可以排除。(3)原发性醛固酮增多症:以高血压、低血钾为突出表现。血浆醛固酮水平升高,而肾素活性显著降低,血浆醛固酮与肾素活性比(ARR)大于30有助于该病的确诊。而该患者肾素活性增高,醛固酮增高,且肾上腺影像学检查未见异常,可以排除原发性醛固酮增多症,而应考虑继发性醛固酮增多。导致继发性醛固酮增多的病因较多,如应用利尿剂和失血导致体液耗损及失钠性肾脏疾病,如肾小球肾炎、肾小管性酸中毒等,该患者无前驱感染病史,无体液耗损,结合补体C3正常和血气分析,暂不考虑这些原因,进而排查肾动脉狭窄和肾素瘤。(4)肾动脉狭窄:患者有糖尿病,异常脂蛋白血症,吸烟史等发生周围血管粥样硬化的危险因素,颈动脉及双下肢动脉已有粥样斑块形成,体检时发现左上腹部有收缩期血管杂音,提示左肾动脉狭窄可能。尽管B型超声检查显示双侧肾脏大小形态相差不大,双侧肾动脉血流正常,不支持该诊断,但肾动脉B型超声检查阳性预测值较低,仍需肾动脉造影排除。(5)肾素瘤:是由球旁细胞瘤释放大量肾素,刺激醛固酮分泌增加,导致高血压、低血钾、碱中毒。肾素瘤在临床上十分罕见,以年轻女性为好发人群,肾脏影像学检查可以正常。患者左肾下极皮质占位病变,影像学高度怀疑肾脏错构瘤,是否混杂肾素瘤?选择性肾静脉取血测定双侧肾素活性比值有助于肾素瘤的诊断与定位,分侧在肾静脉取血测肾素活性,两侧比,排除肾动脉狭窄,患侧/健侧≥1.5有定位诊断意义[1]。(6)其他继发高血压:肾实质性高血压:患者既往无慢性肾小球肾炎病史,近期无链球菌感染史,肾脏B型超声检查无双肾实质弥漫性病变和双肾皮质变薄等,同时血生化检验示肾功正常,可以排除肾实质性高血压。皮质醇增多症:患者皮质醇昼夜节律及水平大致正常,ACTH正常,可以排除皮质醇增多症。

心内科医师

患者血压显著升高,舒张压>130 mmHg,伴有视乳头水肿、出血,符合恶性高血压临床征象,且为高肾素高醛固酮型高血压。靶器官受累:双肾GFR降低而肾脏形态大致正常提示缺血性肾脏病可能,心电图及心脏彩色超声检查显示心脏损害表现。根据美国心脏病协会建议的动脉粥样硬化性肾动脉狭窄的临床诊断线索,该患者具有第2条即发生急进性高血压和恶性高血压,以及第6条即伴有外周血管疾病(PAD)。建议:(1)完善肾动脉造影、冠状动脉CT血管造影(CTA);(2)可给予对肾素血管紧张素系统(RAS)检测影响最小的降压药物如非二氢吡啶钙通道阻滞剂(CCB)类或血管扩张剂肼屈嗪。待明确病因后治疗原发病。

影像科医师

(1)双侧肾上腺大小、形态及密度未见明显异常;但文献报告少数原发性醛固酮增多症患者,双肾上腺形态学可以在正常范围,该患者结合临床、实验室检查综合分析可排除此诊断。(2)腹部CT扫描范围内未见异位嗜铬细胞瘤征象,结合生化检查不支持嗜铬细胞瘤诊断。(3)长期肾动脉狭窄会表现双肾不等大,长径差异超过1.5 cm,该患者双肾大小、形态差别不大,可以初步排除长期肾动脉狭窄的可能。(4)左肾下极见一结节病灶,部分位于肾实质内部分凸出于肾轮廓外,病变呈网状混杂密度,其内含脂肪组织(CT值80~100 Hu)(图1)。依据病灶特征最可能为肾错构瘤(肾血管平滑肌脂肪瘤)。

泌尿外科医师

根据生化及影像检查不排除肾动脉狭窄或肾素瘤的可能。公式法计算GFR为108.36 ml/min,但肾脏核素显像提示左肾GFR 12.61 ml/min;右肾GFR 29.12 ml/min。肾脏核素显像是计算GFR的金标准,提示右肾血流灌注及实质功能轻度受损,左肾血流灌注差,实质功能重度受损。尽管左肾下极有病灶,盲目手术探查可能会造成肾脏不可逆损害,甚至肾衰竭。建议先完善相关检查,包括肾动脉造影、选择性肾静脉采血查肾素活性。若肾素瘤可能,再行手术治疗。

眼科医师

患者20年前体检时发现右眼外斜,曾诊断为"黄斑变性"未治疗。体检:右眼视力0.01、左眼视力0.3,验光后视力可矫正。右眼外斜约30°,双眼球各方运动不受限,屈光质透明,右眼见丝状遗残膜,双瞳孔等大正圆,对光反射灵敏,眼底视盘水肿、出血、渗出(棉絮斑),动静脉管径比例1∶3,见交叉痕迹。视乳头旁沿血管网膜条状出血,右眼黄斑部鼻侧星芒状硬性渗出,中心反光消失。眼底表现符合急进性高血压视乳头视网膜病变。如全身情况允许,可行眼底血管造影术(FFA)+吲哚菁绿血管造影术(ICG)检查有助于诊断与治疗。

血管介入科医师

同意前述各位医师的意见,患者恶性高血压属于高肾素高醛固酮型。主要排除肾素瘤和肾动脉狭窄,但恶性高血压亦可见肾素活性升高。肾动脉造影是肾动脉狭窄诊断的金标准,选择性肾静脉及外周静脉采血测定ARR有助于肾素瘤定位诊断,并且有助于判定肾动脉狭窄是否是导致高血压的病因。若拟行双侧肾动脉造影及肾静脉采血,我科可提供技术支持。

治疗与随访

患者入院后低钠饮食,硝普钠持续静脉点滴控制血压。2014年6月26日患者过夜平卧10 h后平车送至数字减影血管造影(DSA)室,8:30血管介入科行双侧肾动脉造影及肾静脉采血,双侧肾动脉造影提示左侧肾动脉重度狭窄,程度约90%(图2A),因激素呈脉冲式分泌,双肾静脉及外周静脉分别采血2次,间隔5 min,结果见表1

点击查看表格
表1

2次外周静脉及双侧肾静脉釆血测定醛固酮及肾素活性结果

表1

2次外周静脉及双侧肾静脉釆血测定醛固酮及肾素活性结果

采血次数及部位肾素活性(ng·L–1·h–1)醛固酮(ng/L)左肾静脉肾素活性/右肾静脉肾素活性
第一次采血  2.1
 外周静脉12.65908.00 
 左肾静脉18.511 087.00 
 右肾静脉8.78693.22 
第二次采血  2.0
 外周静脉10.18750.60 
 左肾静脉21.951 000.56 
 右肾静脉10.97701.48 

注:肾素活性参考值1.5~23.3 ng·L–1·h–1;醛固酮参考值12~150 ng/L

点击查看大图
图2
左肾动脉支架植入术前(2A)及术后(2B)
点击查看大图
图2
左肾动脉支架植入术前(2A)及术后(2B)

结合之前所述左肾GFR明显降低及肾动脉造影结果,可见左肾动脉重度狭窄是导致本例恶性高血压、低血钾的病因。2014年6月30日行左肾动脉支架植入术(图2B)。术后30 min停用硝普钠,口服硝苯地平控释片30 mg/d,厄贝沙坦150 mg/d控制血压,血压控制在130~140/80~90 mmHg。术后3 d复查卧位外周静脉血肾素活性:2.74 ng·L–1·h–1,醛固酮100.8 ng/L;血钾3.54 mmol/L。出院时继续口服硝苯地平控释片30 mg/d,厄贝沙坦150 mg /d控制血压,胰岛素强化治疗控制血糖,阿托伐他汀钙40 mg/d调血脂,拜阿司匹林100 mg/d抗血小板。出院1个月后门诊复查血压130/80 mmHg;血钾4.07 mmol/L,肾功能正常,尿常规:蛋白质(+),隐血(±)。出院6个月门诊复查血压120/80 mmHg;血钾4.00 mmol/L,肾功能正常,尿常规:蛋白质(±),隐血阴性。

讨论

肾动脉狭窄是继发性高血压的常见原因之一,常见病因有动脉粥样硬化、肌纤维发育不良、先天性狭窄、外在压迫以及动脉炎[2]。过去我国肾动脉狭窄病因以多发性大动脉炎为主,但近10余年,糖尿病、高血压、异常脂蛋白血症发病率逐年上升,动脉粥样硬化已取代大动脉炎成为我国肾动脉狭窄的首要病因。在糖尿病合并周围血管疾病患者中,动脉粥样硬化性肾动脉狭窄可高达50%[3]。该患者具有糖尿病、异常脂蛋白血症、吸烟史等发生动脉粥样硬化的危险因素,已有外周血管粥样斑块形成,并且ESR、抗中性粒细胞胞质抗体(ANCA)、免疫球蛋白等自身免疫性病指标均正常,因此肾动脉粥样硬化是导致狭窄最可能的原因。

目前诊断肾动脉狭窄的方法主要包括彩色多普勒超声、CTA或磁共振血管造影(MRA)、放射性核素扫描、肾动脉血管造影等。尽管彩色多普勒超声具有简单、无创、费用少等优点,但是肥胖、肠道气体多、肾萎缩、呼吸不配合等因素易导致探测失败;测量值也因B超检查医师技术、经验等多种因素影响有一定的误差;检查的失败率达15%~20%。而CTA及MRA在检查时使用大量造影剂,使其在肾功能减退患者中的使用受到影响。肾动脉造影仍然是诊断肾动脉狭窄和评价狭窄程度的金标准。本例肾素活性、醛固酮水平升高,体检发现左上腹部血管杂音,且影像学提示左肾下极有占位,故行肾血管介入检查[4]。该患者行球囊扩张同时血管内支架放置术后,外周血肾素活性降至正常,血压明显下降,心脏症状及肾功能得到明显改善。尽管对于采用肾动脉支架治疗粥样硬化性肾动脉狭窄导致的难治性高血压,其获益存在争论[5],但最近的一项大规模观察性研究提示,对于难治性高血压患者,粥样硬化性肾动脉狭窄会导致肾功能迅速减退,因此与药物治疗相比,血管重建对患者症状改善及血压下降更有益[6]

通过本例的诊治经过我们有以下体会:(1)肾动脉狭窄的诊断不能过度依赖肾动脉B超检查,如果怀疑肾动脉狭窄,确诊要依靠肾动脉造影。(2)选择性肾静脉取血测定肾素活性作为鉴别肾素瘤的实验室检查有助于高血压、低血钾的病因诊断。(3)目前动脉粥样硬化性心血管疾病年轻化,对于具有多重危险因素的中青年恶性高血压患者,若同时出现体征异常,如肾区闻及血管杂音及肾脏核素显像提示GFR下降,则要考虑动脉粥样硬化所致的肾动脉狭窄。(4)涉及交叉学科的病例,通过跨学科的协作有助于尽早明确诊断及开展有针对性的治疗。

参考文献
[1]
李小鹰. 关注动脉粥样硬化性肾动脉狭窄[J]. 中华肾病研究电子杂志2012, 1(1): 2225.
[2]
DubelGJ, MurphyTP. The role of percutaneous revascularization for renal artery stenosis[J]. Vasc Med, 200813( 2):141156.
[3]
OlinJW, MeliaM, YoungJR, et al. Prevalence of atherosclerotic renal artery stenosis in patients with atherosclerosis elsewhere[J]. Am J Med, 1990, 88(1N): 46N51N.
[4]
陈香美王晓雄肾动脉狭窄的诊断及治疗[J].中华内科杂志200039 (6): 419420.
[5]
张欣王海燕. 动脉粥样硬化性肾动脉狭窄治疗中的困惑与思考[J].中华内科杂志201049 (7): 560562.
[6]
VongpatanasinW. Resistant hypertension: a review of diagnosis and management[J]. JAMA2014, 311(21):22162224.
 
 
展开/关闭提纲
查看图表详情
回到顶部
放大字体
缩小字体
标签
关键词