
版权归中华医学会所有。
未经授权,不得转载、摘编本刊文章,不得使用本刊的版式设计。
除非特别声明,本刊刊出的所有文章不代表中华医学会和本刊编委会的观点。
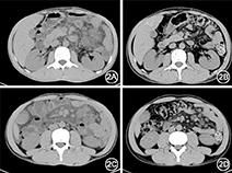
患者男性,35岁,因"间断上腹部隐痛、乏力伴体重下降2年"于2014年9月26日入院。患者近2年间断上腹部隐痛,伴乏力、体重下降。腹部增强CT:肠系膜根部、腹主动脉旁及双侧髂血管旁见多发类圆形软组织结节影,增强后轻度强化。曾于2014年8月在外院行剖腹探查+肠系膜肿块切除活检术。术中见肠系膜上弥漫性、多发性肿块,最大约5.0 cm × 5.0 cm,为囊性,内为浑浊囊液(图1)。自发病以来,无发热、皮下结节等。既往体健。长期大量饮酒史。入院体检:一般情况好,心肺未见异常;上腹部及脐周深压痛,肠鸣音减弱。实验室检查:ALT 111 U/L,AST 74 U/L;ESR、超敏C反应蛋白、补体、免疫球蛋白及IgG4均正常;结核菌素试验(-),血结核特异性淋巴细胞干扰素(A+B)0 SFC/106单个核细胞(即经结核分枝杆菌特异性RD1基因编码抗原肽段库A和B刺激后,未检测到释放IFNγ的特异性淋巴细胞,提示不支持结核感染)。腹部增强CT+三维重建:肠系膜区脂肪密度增高、间隙模糊,肠系膜根部多发类圆形肿块,符合脂膜炎,腹盆腔积液。病理科会诊:(肠系膜)网膜组织,大量组织细胞、淋巴细胞浸润伴滤泡形成,可见炎性坏死及渗出物,局部纤维增生,提示慢性炎伴局部急性炎。免疫组化:S-100部分(+),CD68(+),CD3(+),CD20(+),CD138(散在+),SMA (梭形细胞+),Calretinin(-),AE1/AE3(-),CD21(滤泡+),Ki-67指数为10%。诊断为肠系膜脂膜炎。予泼尼松40 mg/d治疗1个月,患者腹痛缓解,复查腹部CT(图2),显示原肠系膜肿块明显缩小,肠系膜区脂肪密度增高、间隙模糊明显减轻,原腹腔积液吸收。泼尼松逐渐减量,1年后随访患者无腹痛等不适症状,ALT 48~85 U/L,AST 29~48 U/L。




肠系膜脂膜炎(mesenteric panniculitis,MP)为一类累及肠系膜的特发性慢性炎症性疾病,多侵犯小肠系膜,也可有结肠系膜、胰周、网膜、腹膜后受累。本病临床少见,因很多病例未诊断,发病率不清,认识较少。其发病机制未明,可能与免疫紊乱、腹部创伤、感染、副肿瘤综合征等有关。文献报道,男性较女性多见,中位发病年龄约为65岁[1]。该病临床可出现腹部包块、腹痛及恶心呕吐、腹泻、体重下降、发热等非特异症状,少部分有乳糜性腹水;炎症指标可升高或正常;腹部增强CT示肠系膜软组织肿块(尤其是小肠系膜),肿块密度可均匀(纤维化为主)或不均匀(炎症为主),最有提示意义;CT的特征性表现为脂肪环形征和肿块假包膜。病理学特点主要分为慢性非特异性炎症、脂肪坏死、纤维化,分别可称为MP、肠系膜脂肪营养不良(ML)、硬化性肠系膜炎(SM)。本病目前无统一的诊断标准,参考上述典型影像学特点,确诊主要依据组织学提示肠系膜慢性非特异性炎症或脂肪坏死、纤维化,并除外其他可引起肠系膜病变的疾病,如淋巴瘤、腹膜转移癌、肠系膜纤维瘤病、类癌瘤、结核等,有时临床及影像学鉴别困难需要行病理活检。
本例患者主要表现为慢性腹痛,CT发现肠系膜根部肿物存在典型的脂肪环形征、肿块假包膜。活检病理除外淋巴瘤、结核、腹膜转移癌等疾病,而且为肠系膜组织慢性炎症伴局部急性炎,MP诊断明确。本病为良性疾病,多数预后良好。治疗方面,国内外对于本病尚无统一治疗方案,治疗经验较少。据文献报道,部分存在自限性,无需特殊治疗可自发缓解[2]。如出现肠梗阻等症状,可考虑外科手术治疗[3,4],药物治疗的目标是控制炎症反应,主要治疗药物包括糖皮质激素、免疫抑制剂、秋水仙碱、孕激素、沙利度胺等。本例患者虽一般情况良好、症状不重、无发热及炎症指标升高,但考虑到已出现肠鸣音减弱、肠腔扩张积气、腹腔积液等表现,腹部肿块较多、较大,外科不能全部清除,病情可能进展出现肠梗阻、肠系膜缺血坏死等严重并发症,遂予泼尼松治疗。3个月后患者症状完全缓解,复查影像学明显好转。本病例提示对于MP出现弥漫性多发性肠系膜肿块,即使没有明显全身炎症反应,也可考虑短期糖皮质激素治疗,中等剂量糖皮质激素可减轻肠系膜脂肪组织炎症反应,利于缩小肿块,缓解腹痛症状。另外,本例患者伴有肝功能异常,表现为ALT、AST升高,行肝活检提示慢性炎症,尚未见文献阐述MP与肝损伤之间的相关性。本例患者经糖皮质激素治疗后,症状缓解,影像学改善,同时转氨酶有下降趋势,不能除外两者可能有联系。目前仅有少数文献提及MP可能与肝硬化、胆结石等疾病有关[5]。但本例患者既往有长期大量饮酒史,不能排除酒精性肝病可能,因此MP与肝病的关系尚待进一步探讨。





















