
版权归中华医学会所有。
未经授权,不得转载、摘编本刊文章,不得使用本刊的版式设计。
除非特别声明,本刊刊出的所有文章不代表中华医学会和本刊编委会的观点。
皮质醇增多症(库欣综合征)为各种病因造成肾上腺分泌过量皮质醇所致病症的总称。过量皮质醇抑制垂体促性腺激素分泌,常导致女性患者排卵障碍,因此库欣综合征合并妊娠非常罕见,临床上易误诊和漏诊。以下报告1例库欣综合征患者成功妊娠并分娩活胎,复习相关文献以加深对库欣综合征合并妊娠的认识。
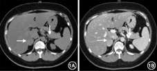
患者女,32岁。因"血压升高8个月余,血糖升高5个月余,产后11周"于2016年3月16日入院。患者孕前无心脏病、高血压、糖尿病病史,否认糖皮质激素服用史,近3年体重增加约15 kg。平素月经规律,孕前末次月经为2015年4月18日,自然受孕,孕期外院定期产检。8个月余前(孕12+周)测血压160/100 mmHg(1 mmHg=0.133 kPa),口服拉贝洛尔(100 mg,3次/d)降压,血压控制在140/100 mmHg左右。5个月余前(孕25+周)测血压176/120 mmHg,口服葡萄糖耐量试验(OGTT)示空腹、1 h、2 h血糖分别为5.59、13.45、8.71 mmol/L(妊娠期糖尿病OGTT诊断标准:空腹、1 h、2 h分别大于7.0、10.0、8.5 mmol/L);心脏彩色超声显示左心房左心室扩大,左心室射血分数42.2%;皮质醇升高且节律消失,促肾上腺皮质激素(ACTH)正常低限(表1);24h尿游离皮质醇319.15 μg/L(正常值20~80 μg/L);彩色超声示右侧肾上腺占位(约2.7 cm×2.5 cm);考虑"皮质醇增多症,腺瘤可能性大",予拉贝洛尔(3次/d)和硝苯地平控释片(拜新同,2次/d)降压、胰岛素降糖等治疗,血压控制140/90 mmHg左右,血糖控制在3.5~7.5 mmol/L。孕32+周时出现腹壁、左侧大腿内侧长条形紫纹,宽度不足1 cm。孕34+周(2015年12月24日)经剖宫产分娩1早产女活婴,体重2 480 g,身长46 cm,Apgar评分为10分,体重稳步增长。分娩后乳汁正常分泌,月经恢复;停用降糖药,血糖波动在6~10 mmol/L;监测血压,逐步调整为硝苯地平控释片30 mg(每天1~2次)降压,血压控制在140/100 mmHg左右,为进一步明确肾上腺占位性质入院。体检:心率112次/min,呼吸20次/min,血压142/90 mmHg。无多毛、痤疮、满月脸、水牛背、多血质等。心、肺检查未见异常。腹壁、左侧大腿内侧散在分布长条形紫纹,宽度小于1 cm,四肢肌力正常。入院后检查:血白细胞6.0×109/L;嗜酸性粒细胞0;尿蛋白2+;血钾4.18 mmol/L,血钠136.6 mmol/L;OGTT空腹、2 h分别为5.71、6.99 mmol/L(糖尿病诊断标准为空腹、2 h分别大于7.0、11.1 mmol/L);皮质醇水平正常但节律消失,ACTH正常低限(表1);1 mg过夜及大剂量地塞米松抑制试验均不被抑制;肾上腺增强CT示右侧肾上腺占位,双侧正常肾上腺组织萎缩(图1);心脏彩色超声示左心房左心室扩大,左心室射血分数46.8%;血及尿儿茶酚胺、肾素-血管-紧张素醛固酮正常,垂体MRI正常。诊断为"皮质醇增多症",于2016年4月20日行右侧肾上腺肿物切除术,病理符合肾上腺皮质腺瘤(图2)。术后随访3个月,停用降压药后血压波动在120~140/80~90 mmHg,皮质醇水平恢复正常(表1)。

患者分娩前后及术后血清皮质醇及ACTH检查结果
患者分娩前后及术后血清皮质醇及ACTH检查结果
| 时间 | 皮质醇(nmol/L) | ACTH(pmol/L) | |||
|---|---|---|---|---|---|
| 分娩前 | 分娩后 | 手术后 | 分娩前 | 分娩后 | |
| 8:00 | 884.0 | 463.4 | 236.0 | 0.63 | 0.58 |
| 16:00 | 844.8 | 522.5 | 119.8 | 0.39 | 0.19 |
| 0:00 | 827.2 | 470.6 | 62.7 | 0.62 | 0.42 |
注:ACTH为促肾上腺皮质激素;皮质醇正常值184.9~662.4 nmol/L;ACTH正常值0~12 pmol/L




皮质醇增多症在1912年由Harvey Cushing首先报道,故又称库欣综合征(Cushing′s syndrome),好发于20~45岁,男女比约1∶3~1∶8,主要表现有向心性肥胖、紫纹、满月脸、月经失调、高血压、继发性糖尿病等[1]。过量皮质醇抑制垂体促性腺激素分泌,女性患者常有排卵障碍,自然受孕少见。自1953年McConahey报道至今,全球有260余例成功妊娠报道[2]。妊娠期因血浆游离皮质醇水平进一步升高,临床表现常加重,高血压发生率60%~80%,糖尿病或糖耐量异常发生率25%~30%[3],子痫前期发生率10%~14%,部分孕妇可出现左心室肥厚或心力衰竭[4];高皮质醇水平可影响胎盘分泌功能,早产发生率43%~60%,胎儿生长受限约21%[3],但极少发生新生儿肾上腺功能低下[5]。库欣综合征临床表现与孕期一些正常生理表现有重叠,如体质量增加、高血压、糖耐量异常等,易与妊娠期高血压或妊娠期糖尿病相混淆,不利于早期诊断[6],在这种情况下,库欣综合征诊断主要依赖实验室及影像学检查。
首先是定性诊断,明确高皮质醇状态。妊娠期显著影响下丘脑-垂体-肾上腺轴,导致皮质醇和促肾上腺皮质激素水平增高,正常孕期血浆皮质醇为非孕期的2~3倍,甚至达到库欣综合征的范围[6],因孕期清晨血浆皮质醇变化不显著,现主要通过测定午夜0点皮质醇及昼夜节律异常诊断;24 h尿游离皮质醇在妊娠中晚期高于正常上限3倍提示库欣综合征,如升高8倍可确诊;小剂量地塞米松对孕妇皮质醇的抑制程度随孕期增加逐渐下降,沿用原标准易出现假阳性,且因地塞米松试验对胎儿有潜在影响,故应用受限[6]。
其次是定位诊断,即明确病因。库欣综合征根据病因分为ACTH(垂体)依赖和非ACTH依赖性(肾上腺性)两类。大剂量地塞米松抑制试验对于定位即区分垂体依赖性库欣综合征和肾上腺肿瘤有帮助,多数情况下,皮质醇抑制超过50%提示垂体依赖性的,而肾上腺肿瘤不被抑制。影像学检查包括MRI、CT、超声,对于发现原发病变的定位很重要。MRI可显示约60%的垂体腺瘤,CT和MRI可发现绝大多数肾上腺肿瘤,超声因操作简便,对患者无损伤,广泛应用于初筛,但敏感性较低。孕期不提倡使用CT,由于MRI存在潜在的致畸性,不能用于孕早期[1]。文献报道孕期库欣综合征最常见的是肾上腺腺瘤,约40%~50%,因为肾上腺腺瘤对患者排卵功能影响较小[6]。
库欣综合征患者妊娠易出现母婴并发症,孕期手术可减少其发生,提高新生儿成活率,目前公认最佳时间为孕中期。对肾上腺肿瘤,首选腹腔镜下摘除术;对垂体依赖性库欣综合征,首选经蝶窦垂体微腺瘤切除术[7]。对于抗皮质醇的药物治疗文献报道较少,甲吡酮、酮康唑等作为二线治疗在孕期需慎用[7]。
库欣综合征合并妊娠不利于早期诊断,临床诊治中应提高警惕:(1)妊娠期高血压常见于孕中期,本患者孕15周发现血压升高,降压效果不显著,应筛查继发性高血压病因,比如皮质醇增多症、原发性醛固酮增多症、肾源性疾病、甲状腺功能异常等。后期出现皮肤紫纹更有提示意义。(2)妊娠前无心脏基础疾病,孕期超声心动图提示左心房左心室异常,射血分数明显下降,符合文献报道部分孕妇可出现左心室肥厚或心功能不全,因此妊娠期间出现心脏病变需加强病因筛查,应考虑库欣综合征的可能。(3)孕期皮质醇水平升高,但不足正常上限2倍,可为孕期正常范围;孕期血糖及血压控制可,母婴未出现严重并发症,故未手术治疗。分娩后皮质醇水平正常,但节律仍消失,最终确诊为肾上腺皮质腺瘤。因此皮质醇节律消失对该患者诊断意义更大,结合孕期24 h尿游离皮质醇升高大于3倍,孕期皮质醇增多症应诊断明确;若孕期手术治疗可减少孕期及术后感染风险,有助于血压、血糖控制,减轻患者心脏负荷。
妊娠合并皮质醇增多症少见,诊断困难,需要产科医师应与内外科医师密切合作,及时做出诊断,并根据病因、病情的严重程度、孕周等选择治疗方案,尽早治疗。





















