
急性风湿热是链球菌感染后引起的一种自身免疫反应性疾病,常见于A组β溶血性链球菌感染,主要侵犯心脏、关节、神经系统及皮下组织,临床表现为发热、游走性关节炎、心脏炎、多形性红斑、舞蹈症等症状,完全性房室传导阻滞相对少见。报道1例青壮年急性风湿热患者,心电图由Ⅰ度房室传导阻滞快速进展为完全性房室传导阻滞,给予退热、抗炎、糖皮质激素等处理后短期内房室传导恢复正常。
版权归中华医学会所有。
未经授权,不得转载、摘编本刊文章,不得使用本刊的版式设计。
除非特别声明,本刊刊出的所有文章不代表中华医学会和本刊编委会的观点。
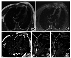
患者男性,31岁,菜贩。发热10 d伴关节痛3 d于2018年10月16日入院。入院前10 d受凉后出现发热、咽痛,入院前3 d出现左踝关节痛,随之双侧肩和肘关节疼痛,无呼吸困难和双下肢水肿,自测体温波动在38.5~39.2 ℃,以"发热待查"收入院。既往体健,12年前因外伤行脾脏切除术。家族史无特殊。体检:体温38.5 ℃,脉搏99次/min,呼吸20次/min,血压130/70 mmHg(1 mmHg=0.133 kPa)。无皮下结节,环形红斑,扁桃体Ⅱ度肿大,心肺查体无阳性体征,左踝关节红肿伴皮温升高。入院实验室检查:白细胞总数、红细胞沉降率(ESR)、C反应蛋白、抗链球菌溶血素均明显升高(表1),咽拭子未分离到A组β溶血性链球菌,尿常规、大便常规、肝肾功能、电解质、氨基末端B型利钠肽前体(NT-ProBNP)、心肌标志物、降钙素原、补体、免疫球蛋白、血培养等指标均正常。X线胸片和心脏彩色超声显示未见明显异常。心电图为窦性心律,Ⅰ度房室传导阻滞(atrioventricular block,AVB)。入院第5天心电图为窦性心律,完全性房室传导阻滞(complete atrioventricular block,CAVB)伴交界区逸搏,心率波动在33~45次/min(图1),无黑矇、晕厥。考虑发病前有受凉咽痛症状,满足急性风湿热(acute rheumatic fever,ARF)修订版琼斯标准中的1个主要标准和4个次要标准,临床诊断ARF,给予阿司匹林肠溶片(1.5 g,6 h 1次)、青霉素(320万单位,8 h 1次)、甲泼尼龙琥珀酸钠(120 mg,1次/d,3 d)治疗,糖皮质激素治疗后第2天,完善心脏磁共振检查(cardiac magnetic resonance,CMR)未见异常(图2)。积极抗风湿治疗后发热、关节痛明显改善,体温、血常规、C反应蛋白、ESR、抗链球菌溶血素指标逐渐恢复正常(表1),心脏节律由CAVB逐渐改善为Ⅱ度AVB、Ⅰ度AVB,最终恢复正常,出院后建议给予风湿热二级预防,每月肌肉注射长效青霉素持续5年。

患者住院期间体温、白细胞总数、C反应蛋白、红细胞沉降率、抗链球菌溶血素指标的变化情况
患者住院期间体温、白细胞总数、C反应蛋白、红细胞沉降率、抗链球菌溶血素指标的变化情况
| 时间 | 体温(℃) | 白细胞总数(×109/L) | C反应蛋白(mg/L) | 红细胞沉降率(mm/1h) | 抗链球菌溶血素(IU/ml) |
|---|---|---|---|---|---|
| 10月16日(入院第1天) | 38.7 | 16.41 | 138 | 52 | 861 |
| 10月20日 | 37.1 | 19.96 | 124 | 68 | 829 |
| 10月24日 | 39.4 | 26.44 | 182 | 61 | 846 |
| 10月28日 | 37.0 | 13.53 | 159 | 15 | 852 |
| 11月3日 | 36.6 | 14.63 | 9 | 12 | 776 |
| 11月9日 | 36.5 | 10.83 | 3 | 8 | 503 |




青壮年患者发生CAVB的病因相对有限,包括先天性和后天获得性,后者常见病因包括创伤、浸润及感染性疾病(重症心肌炎、心脏结节病、急性风湿热等)。此外某些少见病因如肌营养不良性疾病也可出现AVB,如LMNA心肌病[1]。
根据修订版琼斯标准[2],患者符合1项主要标准(多发性关节炎)和4项次要标准(心电图PR间期延长、关节痛、发热、炎症指标升高),ARF诊断明确且抗风湿治疗有效。Filberbaum等[3]首次报道ARF可合并各种心律失常,包括窦性停搏、房性心动过速、房室传导阻滞,而房室传导阻滞类型绝大多数为Ⅰ度,考虑与高迷走张力相关,Ⅱ度1型相对少见,CAVB更为少见[4]。
ARF的病理机制尚未完全阐明,普遍接受"交叉抗原"学说所致的自身免疫反应[5]。咽部链球菌感染后仅1%~3%的人群发生ARF,学龄期儿童由于免疫功能尚不健全是链球菌感染的主要人群。本例为青壮年,考虑与潮湿拥挤的工作环境相关,既往脾脏切除自身免疫屏障不完整也为链球菌感染的可能原因。
病程中患者无心力衰竭症状,动态随访心肌损伤和心力衰竭标志物正常,心脏超声检查和CMR未见明显异常,提示心外膜、心肌、心内膜均未受累,风湿性心脏炎的诊断依据相对不足。本例患者仅表现为传导系统受损。组织学上,房室结-希浦系统被胶原结缔组织所包绕,与周围局部心肌组织绝缘,保证电激动的快速轴向传导[6],当心肌损伤时组织水肿可压迫传导系统发生传导阻滞。Carano等[7]对25例ARF导致CAVB的病例报道进行汇总分析,儿童占19例,CAVB致阿斯综合征有10例,CAVB的持续时间为数小时至3个月不等,最终有7例行永久性起搏治疗。本例患者在ARF急性期完善CMR检查,排除心肌炎症性水肿压迫传导系统的可能。基于上述分析,我们提出孤立性CAVB的可能病因是风湿性心脏传导系统炎,推测可能与特殊链球菌感染损伤传导系统相关。
对于急性风湿热的治疗,指南强调早期使用足够剂量的抗生素,首选青霉素。非甾体类抗炎药物对关节炎、关节痛、发热有效。糖皮质激素治疗急性风湿热存在争议。急性风湿热后给予长效青霉素行二级预防的时限需根据有无合并心脏炎或心脏瓣膜损害具体而定。
所有作者均声明不存在利益冲突





















