
探索直接肾素抑制剂阿利吉仑用于重型新型冠状病毒肺炎(COVID-19)合并高血压患者治疗的可行性。
回顾性病例分析3例重型及1例危重型COVID-19合并高血压患者应用阿利吉仑降血压治疗的有效性和安全性。
4例患者,男2例,女2例,平均年龄78岁(66~87岁),均以呼吸道症状起病,3例经新型冠状病毒(2019-nCoV)核酸或抗体检测确诊(重型),1例为临床诊断合并心功能不全(危重型)。既往高血压病诊断明确,2例服用钙离子拮抗剂(CCB),1例服用血管紧张素转换酶抑制剂(ACEI),1例服用血管紧张素Ⅱ受体拮抗剂(ARB)治疗。入院后停用ACEI或ARB,1例患者因心力衰竭采用阿利吉仑联合利尿剂治疗;3例患者用阿利吉仑联合CCB治疗,其中2例患者治疗1~2周后因血压偏低而停用CCB。在抗病毒、改善氧合的综合治疗基础上服用阿利吉仑降压治疗3~4周,4例患者血压控制满意且无不适主诉,病情好转,均已达到出院标准并已出院。
初步临床结果显示阿利吉仑对重型COVID-19合并高血压患者的降压治疗是有效和安全的,但应增加病例数进一步做相关的临床治疗研究。
版权归中华医学会所有。
未经授权,不得转载、摘编本刊文章,不得使用本刊的版式设计。
除非特别声明,本刊刊出的所有文章不代表中华医学会和本刊编委会的观点。
新型冠状病毒肺炎(COVID-19)是因新型冠状病毒(2019-nCoV)感染致病,在进展为重型和危重型的患者中,可合并休克、多脏器功能衰竭甚至死亡,其中15%~30%的重型患者进展为急性呼吸窘迫综合征(ARDS),这些患者合并高血压的比例较高[1,2,3]。目前已知COVID-19的发病机制是感染的病毒与人呼吸道和肺组织的血管紧张素转换酶2(ACE2)相结合导致的一系列瀑布反应。ACE2为2019-nCoV结合的主要受体,同时ACE2在高血压等心血管疾病中有重要作用,还参与肾素-血管紧张素-醛固酮系统(RAAS)的调节和降血压药物血管紧张素转换酶抑制剂(ACEI)和血管紧张素Ⅱ受体拮抗剂(ARB)的药理学作用。因ACEI/ARB类药物可增加肺部ACE2的水平[4],故针对COVID-19合并高血压患者是否可以使用ACEI/ARB类降压药物,引发了不少争议。
阿利吉仑是肾素酶活性位点的强效长效抑制剂,在源头抑制RAAS,降低血压和缓激肽水平,抑制血管性水肿。研究证实,阿利吉仑150~300 mg/d可阻止11种血管紧张素肽产生,推测在COVID-19合并高血压患者中阿利吉仑除降压外可能缓解血管性水肿,减少肺水肿,改善患者预后,防止进展到危重型状态。我们援鄂医疗队2020年2—4月在湖北省妇幼保健院光谷院区感染一科应用阿利吉仑治疗4例老年重型/危重型COVID-19合并高血压患者,现将病情及治疗结果分析如下。
本研究经湖北省妇幼保健院光谷院区医学伦理委员会审批[批文号:FYGG(L)-2020-20],患者或家属均知情同意。
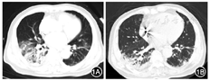
例1 男,72岁。主因"发热、咳嗽、气喘、乏力6 d"于2020年2月19日入院。患者于6 d前无明显诱因发热,最高体温38℃,伴阵发性干咳、气喘、乏力,当地医院胸部CT证实"左肺炎症",予以莫西沙星等对症治疗,未再发热,但咳嗽、气喘、乏力无明显好转。既往诊断高血压病3年余,长期服用硝苯地平20 mg,1次/d,自述血压控制在150~160/70~90 mmHg(1 mmHg=0.133 kPa)。2016年因"窦性心动过缓"植入心脏起搏器。入院后查体:体温36.4℃,脉搏80次/min,呼吸19次/min,血压152/87 mmHg,未吸氧状态下测指氧饱和度(SpO2)86%。相关实验室检查见表1。入院后多次鼻咽拭子2019-nCoV核酸检测阴性,但2019-nCoV抗体IgM和IgG两次检测均阳性,胸部CT提示双肺病毒性肺炎(图1),收入湖北省妇幼保健院光谷院区感染一科ICU,诊断:(1)COVID-19(重型);(2)高血压2级(高危);(3)人工心脏起搏器植入术后。入院后予以持续高流量吸氧、抗病毒、抗感染、糖皮质激素抗炎、护胃、加强营养等对症支持治疗。2月19—21日服用硝苯地平控释片30 mg,1次/d,血压波动,于2月22日加用阿利吉仑150 mg,1次/d联合治疗后血压逐渐平稳。2020年2月25日、3月1日、3月4日复查2019-nCoV核酸检测3次均阴性,治疗后患者无发热、胸闷、咳嗽、不适,不吸氧状态下SpO2 98%~99%。病情好转于3月9日出院。出院后在隔离点2周期间已经停用硝苯地平,继续服阿利吉仑150 mg,1次/d,血压控制良好,用药前后血压平均水平见表2。出院后无不适主诉。



4例患者用药前后部分化验结果
4例患者用药前后部分化验结果
| 患者及时间 | 白细胞(×109/L) | 淋巴细胞百分比(%) | 淋巴细胞绝对值(×109/L) | 血红蛋白(g/L) | 血钾(mmol/L) | 肌钙蛋白(ng/L) | CK-MB(μg/L) | BNP(ng/L) | IL-6(ng/L) | 新型冠状病毒 | |||
|---|---|---|---|---|---|---|---|---|---|---|---|---|---|
| 核酸 | 抗体IgG | 抗体IgM | |||||||||||
| 例1治疗前 | 12.0 | 8.2 | 0.98 | 134 | 4.7 | 未查 | 未查 | 12.2 | 30.37 | - | + | + | |
| 治疗后 | 4.7 | 25.7 | 1.21 | 120 | 4.5 | 未查 | 未查 | 未查 | 15.10 | - | + | + | |
| 例2治疗前 | 9.9 | 7.3 | 0.72 | 137 | 3.8 | 96.8 | 3.1 | 3 947.4 | 1.50 | - | - | - | |
| 治疗后 | 5.8 | 15.0 | 0.87 | 130 | 4.4 | 66.2 | 1.8 | 448.1 | 1.10 | - | - | - | |
| 例3治疗前 | 4.1 | 18.6 | 0.76 | 130 | 3.5 | 14.0 | 0.5 | 30.5 | 33.82 | + | + | + | |
| 治疗后 | 4.8 | 31.8 | 1.53 | 126 | 4.2 | 未查 | 未查 | 64.8 | 78.36 | - | + | + | |
| 例4治疗前 | 18.8 | 2.3 | 0.43 | 136 | 5.1 | 17.2 | 0.9 | 29.7 | 7.70 | - | + | + | |
| 治疗后 | 10.6 | 7.0 | 0.74 | 96 | 4.7 | 12.8 | 1.5 | 164.8 | 47.38 | - | + | + | |
| 正常参考区间 | 3.5~9.5 | 20~50 | 1.1~3.2 | 130~175 | 3.5~5.1 | 0~15.6 | 0~5.2 | 0~100 | 0~10 | - | - | - | |
注:CK-MB为肌酸激酶同工酶MB;BNP为B型利钠肽;IL-6为白细胞介素6

4例患者一般资料及用药(阿利吉仑)前后血压、氧合情况对比
4例患者一般资料及用药(阿利吉仑)前后血压、氧合情况对比
| 项目 | 病例1 | 病例2 | 病例3 | 病例4 | |
|---|---|---|---|---|---|
| 性别 | 男 | 男 | 女 | 女 | |
| 年龄(岁) | 72 | 66 | 87 | 87 | |
| 籍贯 | 武汉 | 武汉 | 武汉 | 武汉 | |
| 入院时间 | 2020-02-19 | 2020-02-22 | 2020-02-22 | 2020-02-24 | |
| 出院时间 | 2020-03-09 | 2020-03-07 | 2020-03-23 | 2020-03-25 | |
| COVID-19病情 | 确诊,重型 | 临床诊断,危重型 | 确诊,重型 | 确诊,重型 | |
| 高血压病史 | 3年 | 20年 | 40余年 | 10余年 | |
| 既往服用降压药物 | 硝苯地平 | 替米沙坦 | 卡托普利 | 硝苯地平 | |
| 阿利吉仑开始时间 | 2020-02-22 | 2020-02-29 | 2020-02-29 | 2020-03-02 | |
| 停用阿利吉仑时间 | 2020-03-23 | 2020-03-21 | 未停用(至2020-04-03) | 2020-03-25 | |
| 平均血压(mmHg) | |||||
| 用药前 | 154/83 | 170/72 | 149/88 | 151/73 | |
| 用药1周 | 138/79 | 159/66 | 129/72 | 142/74 | |
| 用药2周 | 127/80 | 145/75 | 125/70 | 136/72 | |
| 用药3周 | 131/75 | 150/80 | 135/90 | 137/73 | |
| 用药4周 | 144/90 | 140/85 | |||
| 平均氧合指数(mmHg) | |||||
| 用药前 | 177 | 未查 | 66 | 127 | |
| 用药1周 | 240 | 未查 | 158 | 192 | |
| 用药2周 | 386 | 未查 | 204 | 233 | |
| 用药3周 | 533 | 未查 | 566 | 290 | |
| 用药4周 | 未查 | 未查 | 未查 | 未查 | |
| 平均指氧饱和度(%) | |||||
| 用药前 | 86 | 98 | 85 | 82 | |
| 用药1周 | 92 | 99 | 92 | 93 | |
| 用药2周 | 95 | 98 | 97 | 95 | |
| 用药3周 | 96 | 99 | 98 | 95 | |
| 用药4周 | 97 | 99 | |||
| 用药不良反应 | 无 | 无 | 无 | 暂无 | |
注:COVID-19为新型冠状病毒肺炎;阿利吉仑用法为150mg,口服,1次/d;例2,例4均仅服用阿利吉仑3周;氧合指数按氧分压与吸入氧浓度的比值计算(正常参考区间400~500mmHg);指氧饱和度为未吸氧状态下(正常参考值>94%);1 mmHg=0.133 kPa
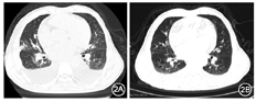
例2 男,66岁。主因"胸闷、气短1个月余,进行性加重伴下肢水肿1周"于2020年2月22日入院。1个月前出现气短、胸闷不适;1周前上述症状进行性加重,渐出现双下肢水肿,于2月21日再次去华中科技大学同济医学院附属协和医院就诊。胸部CT显示双侧胸腔积液,双肺下叶、右肺中叶及左肺舌段呈现条片影,提示节段性肺不张并病毒性炎症可能性大。血白细胞分类:淋巴细胞10.7%,中性粒细胞85.8%;B型利钠肽(BNP)3947.4 ng/L;超敏肌钙蛋白383.4 ng/L;肾小球滤过率62.41 ml/min。外院查2019-nCoV核酸阴性,因合并心力衰竭收入湖北省妇幼保健院光谷院区感染一科ICU。诊断:(1)COVID-19(危重型,临床诊断);(2)高血压3级(很高危);(3)心功能Ⅳ级;(4)胸腔积液。既往史:高血压20年,平日服用替米沙坦80 mg,1次/d,血压150~160/60~80 mmHg。入院后查体:体温36.4℃,脉搏78次/min,呼吸19次/min,血压168/52 mmHg,SpO2 98%,相关实验室检查见表1,胸部CT示磨玻璃样异常密度影(图2)。入院后予鼻导管吸氧、口服抗病毒药盐酸阿比多尔片、注射盐酸莫西沙星抗感染,降压、扩血管、利尿、抗凝等对症支持治疗。入院后即停用替米沙坦,因合并心功能Ⅳ级,先予呋塞米、螺内酯、硝酸甘油,利尿、扩血管治疗,心功能逐渐好转后上述药物减量至停用,2月29日起加用阿利吉仑150 mg,1次/d,血压逐渐下降。患者无发热、胸闷、气急,下肢水肿明显好转,生命体征平稳。因2月27日及3月4日复查2019-nCoV核酸检测两次均阴性,胸部CT示炎症吸收(图2),符合COVID-19出院标准,3月7日出我院,转至外院继续治疗心力衰竭,期间2周内仍坚持阿利吉仑150 mg,1次/d控制血压(详见表2),后从外院出院后因无药改服氨氯地平5 mg,1次/d。


例3 女,87岁。主因"咳嗽3 d,发热1 d"2020年2月22日入院。1个月前气短、胸闷不适;3d前在养老院开始阵发性咳嗽,无明显咳痰,伴轻微胸闷、自觉呼吸困难;亦感乏力、肌肉酸痛。2月22日早晨体温37.5℃,送至武汉市中心医院后湖分院。胸部CT提示双肺外带多发磨玻璃影,未做核酸检测,收入湖北省妇幼保健院光谷院区感染一科ICU。既往史:高血压40余年,服卡托普利治疗;糖尿病史2年,口服阿卡波糖(拜唐苹),平素血糖、血压控制情况不详。7年前有脑梗死病史。入院后查体:体温36.3℃,脉搏76次/min,呼吸20次/min,血压180/95 mmHg,SpO2 85%。相关实验室检查见表1。入院后查2019-nCoV核酸为阳性,胸部CT示"双肺多发斑片及索条状密度增高影及部分磨玻璃状片影,以双肺胸膜下为著,未见胸腔积液"(图3)。诊断:(1)COVID-19(重型);(2)2型糖尿病;(3)高血压病3级(很高危)。入院后在高流量氧疗(25L/min,50%)下,SpO2升至95%~98%,并予抗病毒、抗感染及抗炎等对症支持治疗。入院后第1周服硝苯地平控释片30 mg,1次/d,血压仍有波动;第2周联合阿利吉仑150 mg,1次/d治疗,血压下降,1周后因血压最低109/54 mmHg,故暂停硝苯地平控释片,至出院前血压维持在125~143/70~92 mmHg。患者呼吸、氧合情况较前好转,复查胸部CT双上肺病灶较前明显吸收(图3),2019-nCoV核酸检测两次阴性,于3月23日出院。出院后至2020年4月3日随访时仍坚持服用阿利吉仑150 mg,1次/d,血压较平稳(表2)。


例4 女,87岁。主因"间断干咳3个月,四肢水肿3 d,昏迷12 h"于2020年2月24日入院。患者于2019年11月25日无明显诱因出现干咳,无发热、乏力、腹泻,因症状较轻,未就诊未服药。3d前患者自觉四肢水肿并逐渐加重,于2020年2月23日夜间由120紧急送至解放军一六一医院,胸部CT检查显示双肺纹理紊乱,可见弥漫性磨玻璃影,并有实变。当时未行2019-nCoV核酸检测。2月24日凌晨2∶00患者昏迷,给氧流量5 L/min下SpO2 94%,收入湖北省妇幼保健院光谷院区感染一科ICU。既往史:"脑梗死"20余年;高血压10余年,口服硝苯地平缓释片10 mg,2次/d,血压控制尚可;糖尿病史10余年,胰岛素治疗;股骨头坏死10余年。入院后查体:体温36.8℃,脉搏78次/min,呼吸18次/min,血压159/69 mmHg,未吸氧状态下SpO2 82%,呼之不应,双侧瞳孔等大等圆,对光反射迟钝,四肢中度水肿,神经系统检查不配合。相关实验室检查见表1。入院后2019-nCoV核酸检测阴性,但其抗体IgM和IgG检测均阳性,床旁X胸片示"双肺弥漫分布斑片状高密度影,多发感染可能",复查胸部CT示"双肺感染性病变部分较前增多"(图4)。诊断:(1)COVID-19(重型);(2)高血压病3级(高危);(3)2型糖尿病;(4)脑梗死;(5)股骨头缺血性坏死;(6)低蛋白性水肿。入院后立即予以高流量氧疗(25 L/min,50%),SpO2升至95%~98%,患者意识恢复,因患者肺部感染较重,故予抗感染、抗病毒、化痰、抗凝、抑酸护胃、降血压、降血糖、补充白蛋白、补钾、抗炎、提高免疫力等综合治疗。入院后第1周硝苯地平控释片30 mg,1次/d,血压控制不理想;第2周联合阿利吉仑150 mg,1次/d,血压较前下降(表2),治疗20余天后患者呼吸、氧合较前好转,复查胸部CT示双上肺病灶较前吸收(图4),2019-nCoV核酸检测两次阴性,于3月25日转入外院继续治疗,转院后因无药未再继续用阿利吉仑。


本研究4例COVID-19老年重型患者均以呼吸道症状起病,病情逐渐进展出现呼吸窘迫症状,导致缺氧、氧合指数明显下降,特别在高龄伴有心肺基础疾病者表现更重,如病例4曾发生意识障碍。2019-nCoV肺部感染一般不会直接导致患者死亡,而肺泡上皮和肺毛细血管内皮通透性增加所致的肺水肿及ARDS的发生才是COVID-19患者死亡的直接原因[5]。2019-nCoV与人2型肺泡上皮细胞表面的ACE2受体结合使其成为受伤害的第一批细胞。ACE2也广泛分布在血管内皮、胃肠道、肝脏、肾脏等部位,2019-nCoV感染后导致一系列瀑布反应,进一步造成全身多器官功能受损、衰竭甚至死亡[6]。
ACE2不仅作为2019-nCoV结合的主要受体,也在RAAS中有重要调节作用。ACEI/ARB作为常用降压药物,有可能改变ACE2表达。ACEI主要通过抑制ACE活性,阻止血管紧张素Ⅰ(AngⅠ)激活为血管紧张素Ⅱ(AngⅡ),而ARB则主要拮抗AngⅡ受体1(AT1)的血管收缩作用而降低血压。ACEI还可通过激活Ang1-7/缓激肽(BK)/BK2受体途径使血管内皮细胞收缩,细胞间隙增加,导致血管性水肿,其发生机制和ARDS的肺水肿类似[7,8]。动物实验发现,在大鼠中应用ACEI或ARB可提高ACE2的mRNA表达水平或增强其活性[4]。有研究提示,原发性高血压患者血浆ACE2水平明显高于健康人群[9],近期报道COVID-19患者血浆AngⅡ水平明显升高,且与病毒滴度及肺损伤程度呈线性相关[10]。因此ACEI/ARB是否因影响ACE2的表达而增加2019-nCoV的易感性?目前报道COVID-19患者合并高血压、糖尿病的比例较高,而高血压、糖尿病患者服用ACEI或ARB的人数也不少,因此RAAS降压药物与2019-nCoV感染和致病之间有无关系?ACEI或ARB类药物在COVID-19合并高血压患者治疗中是利是弊引起了大家的密切关注。
在疫情早期即有学者从病理生理学机制及尽可能规避风险的角度,建议轻型、普通型COVID-19合并高血压患者,可考虑停用ACEI、ARB和利尿剂,改用钙拮抗剂(CCB);重型COVID-19合并高血压患者,应立即停用ACEI、ARB和慎用利尿剂,改用直接肾素抑制剂阿利吉仑和/或CCB;危重型COVID-19患者合并ARDS或神经血管性水肿时,建议一线医生选择合适病例使用缓激肽BK2受体阻断剂艾替班特(icatibant);已发生低血压的COVID-19高血压患者应停用降血压药物[11]。非COVID-19的其他高血压患者应加强家庭自我血压监测,按医嘱在医生指导下继续服药,不要随意改变原有治疗方案或停用降压药物。
湖北省心血管内科医疗质量控制中心和武汉医学会心血管病学分会发表的《湖北省新型冠状病毒肺炎疫情下心血管病治疗与管理专家建议》[12]指出,因ACEI、ARB可以升高ACE2的表达,2019-nCoV感染阶段容易引起病毒的入侵,故对合并COVID-19的高血压患者,建议暂停ACEI、ARB治疗,待病毒核酸转阴后,可以恢复使用。在停用ACEI、ARB期间,选用CCB、α受体阻滞剂、高选择性β受体阻滞剂等控制血压。
美国麻省总医院COVID-19治疗指南也提出"在目前我们不推荐COVID-19患者开始使用ACEI/ARB"[13]。
鉴于目前对COVID-19的发生机制,特别是对ACE2在其中起的作用尚不完全了解,故也有学者提出"ACE2对肺损伤患者可能有益而不是有害"[14]。同时因缓激肽有血管舒张作用,可降低血压,但其对肺损伤的具体机制也不够明确,也有学者提出已经接受ACEI/ARB治疗的高血压患者,不应因患COVID-19而停用[15]。
美国心脏协会(AHA)、美国心脏病学学会(ACC)、美国心力衰竭协会(HFSA)发表联合声明,指出目前尚无试验或临床数据表明使用ACEI、ARB或其他RAAS抑制剂对COVID-19或有心血管病史的COVID-19患者有益或有害,故建议心力衰竭、高血压及缺血性心脏病患者持续服用RAAS抑制剂,但是如果心血管疾病患者被诊断为COVID-19,则可根据患者的血流动力学状态和临床表现进行个体化治疗[16]。欧洲高血压学会(ESH)则提出目前数据虽不支持COVID-19患者改变RAAS阻滞剂使用原则,但在重症或脓毒血症患者应个体化使用各种降压药,有必要通过进一步研究来评估高血压和降压药物(尤其是RAAS阻滞剂)对COVID-19病程的影响[17]。但是几个学会也提出指南是基于"现有数据",随着新的临床证据出现,将会及时进行更新修订。
一线临床医师对于上述争议是等待"循证证据"还是寻找可能规避风险的方法?在疫情严重的情况下,当务之急是应从源头上对血压进行管控,缓解血管性水肿;对有患者服用ACEI所致的干咳也需进行鉴别诊断,因此我们决定采取后者并探索性试用阿利吉仑来替代ACEI/ARB治疗COVID-19合并高血压患者。
直接肾素抑制剂阿利吉仑作用于RAAS源头,阻止血管紧张素原转换为AngⅠ,降低血浆肾素活性(PRA)、AngⅠ、AngⅡ水平,减少醛固酮分泌和水的重吸收及血容量而降低血压,可能对ACE2有下调作用[18],因此对RAAS的抑制更全面[19];而ACEI、ARB阻断了RAAS内在负反馈调控机制,使PRA、AngⅠ、Ang1-7等升高[20]。阿利吉仑已于2007年在美国和欧洲上市,2018年在中国上市,批准的适应证就是治疗原发性高血压。因阿利吉仑不影响血浆及血管内皮细胞中缓激肽的降解,故不引起缓激肽累积[21]。而使用ACEI的患者尽管缓激肽有利钠利尿作用而有助于降压,但缓激肽堆积亦是导致干咳的诱因,并与血管性水肿发生可能相关[22,23];它也能显著增加血管通透性和气道微血管渗出,上调细胞因子和血管内皮生长因子(VEGF)水平,而导致反复炎症损伤-修复过程[22,23],故缓激肽堆积可能造成肺组织进一步损伤。阿利吉仑有效降低血管紧张素肽,特别是作为ACE1和ACE2底物AngⅠ的组织水平浓度[24],其血浆半寿期>30 h,谷/峰比率>90%,可与几乎所有降压药联合使用,并根据血压水平可调整药物剂量,故高血压患者治疗的依从性良好[25]。
因这4例患者病情较重,血压控制不满意,而在COVID-19合并高血压患者中首次使用阿利吉仑是探索性研究观察,为保证患者安全,我们先联合阿利吉仑和CCB来控制血压,当血压下降后即停用CCB,对患者制定个体化治疗方案。如例2、例3为危重型/重型COVID-19老年高血压患者,入院后即停用原来服用的ACEI或ARB,病例2因有心力衰竭改用阿利吉仑及利尿剂,病例3和另两例用CCB联合阿利吉仑观察治疗效果及安全性。通过3~4周治疗观察,证实重型和危重型COVID-19合并高血压患者,在结合抗病毒、改善氧合的综合治疗基础上应用阿利吉仑降压治疗,在短期内即可见降压疗效且安全性良好。在原服用CCB降压不理想情况下,联合阿利吉仑治疗,病例3在1周后即因血压显著下降而停用CCB,血压控制稳定。因病例2合并心功能不全,故仍继续服用利尿剂。病例1、2、3患者均达到COVID-19出院标准[26]顺利出院,观察治疗3~4周期间均停用了CCB,仅服阿利吉仑。病例3出院后仍坚持服用阿利吉仑,病例4的氧合状态也逐渐好转并已转入外院,转院后因无药未再继续用阿利吉仑。4例患者出院后继续随诊,血压控制均满意。
目前国内外尚未见到COVID-19合并高血压患者服用阿利吉仑降压治疗的临床病例报道。虽然本研究因病例数较少及住院时间的限制,患者用药时间亦较短,但已观察到4例老年重型/危重型COVID-19合并高血压患者经加用阿利吉仑降压治疗后均获好转的初步结果。综上,我们临床探索了在一种新的重型疾病COVID-19合并高血压患者中使用肾素抑制剂阿利吉仑降压治疗的可能性和有效安全性,希望今后如有可能应设计临床试验来进一步扩大病例数进行验证和开展相关的基础研究。
李氏大药厂在疫情期间捐赠阿利吉仑药品
所有作者均声明不存在利益冲突

























