
本例是以间断高血压为首发症状的异位分泌促肾上腺皮质激素(ACTH)神经内分泌肿瘤患者,该肿瘤定位在胰头部,手术切除后预后良好。结合文献复习发现,间断高血压可能是该类患者早期唯一的临床表现,临床上需结合血皮质醇及影像学检查仔细甄别,以免漏诊。
版权归中华医学会所有。
未经授权,不得转载、摘编本刊文章,不得使用本刊的版式设计。
除非特别声明,本刊刊出的所有文章不代表中华医学会和本刊编委会的观点。
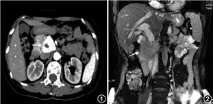
患者女,51岁。因“血压间断升高1个月余”入院。患者于1个月前在当地医院体检时测量血压170/110 mmHg(1 mmHg=0.133 kPa),休息数分钟后复测血压为140/90 mmHg。动态血压监测显示约28%日间时间收缩压大于140 mmHg,最高达156 mmHg(未见报告)。病程中偶有心慌不适,无头晕、头痛,无胸闷、乏力,无视野缺损,无恶心、呕吐等特殊症状。既往史:曾于当地医院诊断为“免疫性血小板减少”(未见报告),未予药物治疗。有间断头痛病史15年,未予特殊治疗。其父母有高血压病史。入院体检:体温36.5 ℃,脉搏65次/min,呼吸20次/min,血压106/79 mmHg。颜面部稍圆,四肢较纤细,未见水牛背及皮肤紫纹。腹软,腹部无压痛及反跳痛,肝、脾肋下未及,双下肢轻度指凹性水肿。实验室检查:血皮质醇水平升高且正常昼夜节律消失,小剂量(1 mg)午夜法及大剂量(8 mg)两日法地塞米松抑制试验均未被抑制(表1)。血电解质示持续性低钾血症,低钾时查24h尿电解质提示有肾脏尿钾排泄增加;动脉血气分析示代谢性碱中毒;肿瘤标记物检测示糖链抗原72-4(CA72-4)升高,甲胎蛋白(AFP)稍高于正常值;血浆肾素-醛固酮系统、儿茶酚胺及其代谢物检测(24h尿和血)未见异常;血常规提示血小板低;肝肾功能、空腹血糖正常;甲状腺功能示游离甲状腺素(FT4)、游离三碘甲状腺原氨酸(FT3)偏低,促甲状腺激素(TSH)以及甲状腺相关抗体未见异常(表2)。动态血压监测提示全天27%的时间收缩压大于140 mmHg,最高收缩压为148 mmHg,舒张压大于90 mmHg的比例为8%,最高舒张压96 mmHg,同时血压低于120/80 mmHg的时间占8%,白天血压平均值133/80 mmHg,夜间血压平均值133/76 mmHg,血压昼夜节律消失。12导联常规心电图正常。腹部彩色多普勒超声检查:胰头部实质性占位性病变(3.1 cm×3.2 cm);腹部增强CT:腹膜后见明显强化结节影,大小约36 mm×34 mm,边界尚清,与胰腺钩突、门静脉关系密切,门静脉受压(图1)。腹部磁共振-灌注成像:腹膜后肿瘤性病变(3.2 cm×2.7 cm),病灶弥散受限,动脉期明显强化,其内可见无强化期,延迟期强化程度未见明显减退,腹膜后肿瘤性病变(3.2 cm×2.7 cm),与胰腺钩突、门静脉关系密切(图2)。为进一步手术前评估肿瘤,行全身肿瘤代谢显像:(1)胰腺钩突区软组织肿块,代谢增高,考虑肿瘤性病变可能性大;(2)双侧肾上腺稍增粗,代谢轻度增高。综合以上诊断考虑:高血压原因待查,库欣综合征(ACTH依赖性)。

血皮质醇及ACTH检测结果
血皮质醇及ACTH检测结果
| 时间 | 皮质醇(μg/L) | ACTH (pmol/L) | ||
|---|---|---|---|---|
| 8∶00 | 16∶00 | 0∶00 | ||
| 试验前 | 349.1 | 267.1 | 266.6 | 32.64 |
| 小剂量地塞米松抑制试验 | 349.2 | - | - | 31.16 |
| 大剂量地塞米松抑制试验(试验48h后) | 334.5 | - | - | 38.08 |
| 术后第2天 | 14.61 | - | - | 0.92 |
| 正常值 | 60.2~184 | - | - | 1.6~13.9 |
注:ACTH为促肾上腺皮质激素;表中“-”为未测


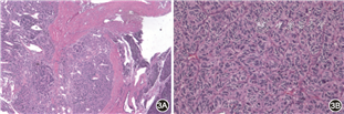
患者择日在全麻下行“腹膜后病损切除术+肠系膜上静脉修补+肠粘连松解术”。术中见胰头部于肠系膜上动脉右侧、肠系膜上静脉左侧一大小约4.0 cm×3.0 cm×2.0 cm肿物,与周围血管及组织粘连,术中顺利剥离肿瘤,切除的肿瘤表面呈灰红色,形状不规则,切面灰红灰黄,含少量空腔,质软。病理免疫组化:ACTH(约30%~40%+),NSE(+),CK19(+),PCK(+),CD56(+),Syn(+),CgA(+),EMA(散在弱+),胰岛素(-),P53(散在弱+,野生型),MCM2(LI约2%~10%),Ki-67(LI约2%~10%)。CgA、NSE、Syn均为内分泌细胞的标记分子,CD56是神经细胞的标记分子,CK19、PCK、EMA均为上皮细胞标记分子,结合ACTH染色阳性,提示胰腺神经内分泌肿瘤(NET,G2)(图3)。术后第2天复查血ACTH及皮质醇均明显下降:ACTH 0.92 pmol/L,皮质醇8∶00为14.61 μg/L。1年后随访患者血压正常(120/80 mmHg左右),无低钾血症,无肿瘤复发。


本例患者有以下特点:(1)以间断血压升高为首发临床表现;(2)呈ACTH依赖性血皮质醇增加;(3)伴有高皮质醇血症的生化异常:低血钾、低血氯、代谢性碱中毒;(4)垂体未见占位性病变,双侧肾上腺增粗;(5)定位诊断:全身肿瘤代谢显像提示腹膜后肿瘤性病变;(6)术后病理提示为分泌ACTH的胰腺神经内分泌肿瘤;(7)术后患者血ACTH及皮质醇明显下降。该病例符合神经内分泌肿瘤诊断(异位ACTH综合征,来源于胰腺)。
分析该例患者入院后相关的异常检验结果(表2):血皮质醇水平异常升高可导致血清甲状腺结合球蛋白水平低下[1],可能是FT3、FT4水平在术前偏低的原因,术后复查恢复正常水平。CA72-4是胃肠道和卵巢肿瘤等的重要标志物,良性疾病如胰腺炎、肝硬化、风湿性疾病、乳房疾病、良性胃肠道疾病及正常人群中也可出现升高[2]。该例患者的AFP水平稍高于正常值上限,在成人中,AFP升高多见于原发性肝癌、活动性肝病、生殖系统肿瘤、孕妇,也有见于胰腺神经内分泌肿瘤的报道[3]。患者术前血小板偏低,术后复查正常,结合患者既往史,不排除潜在血液系统疾病。以上CA72-4、AFP、血小板的异常与本例分泌ACTH的胰腺神经内分泌肿瘤无特征性关联,仍在随访监测中。

患者手术前后重要检查结果
患者手术前后重要检查结果
| 检查项目 | 术前 | 术后第10天 | 参考值 |
|---|---|---|---|
| 血钾(mmol/L) | 2.61 | 3.94 | 3.5~5.1 |
| 尿钾(mmol/24h) | 60.23 | - | |
| 动脉血pH值 | 7.48 | 7.42 | 7.35~7.45 |
| 甲胎蛋白(mmol/L) | 7.53 | - | <7.0 |
| 糖链抗原72-4(U/ml) | 38.04 | - | <6.9 |
| 活性肾素浓度(mIU/L) | 2.9 | - | 4.4~46.1 |
| 醛固酮(ng/L) | 42.5 | - | 0~353 |
| 醛固酮/活性肾素浓度 | 14.7 | - | |
| 血浆MN(nmol/L) | 0.19 | - | ≤0.21 |
| 血浆NMN(nmol/L) | 0.08 | - | ≤0.59 |
| 尿香草扁桃酸(μmol/24h) | 13.8 | - | 0~41.28 |
| 尿多巴胺(μg/24h) | 126.45 | - | 18~504 |
| 血小板计数(×109/L) | 97 | 202 | 125~350 |
| FT4(pmol/L) | 11.72 | 17.09 | 14.35~26.32 |
| FT3(pmol/L) | 2.57 | 3.94 | 3.08~6.78 |
| TSH(mIU/L) | 0.69 | 1.65 | 0.35~4.94 |
注:MN为间甲肾上腺素;NMN为去甲变肾上腺素;FT4为游离甲状腺素;FT3为游离三碘甲状腺原氨酸;TSH为促甲状腺激素;表中“-”为未测
库欣综合征的典型临床表现为满月脸、多血质外貌、向心性肥胖、痤疮、紫纹、高血压、继发性糖尿病和骨质疏松等[4]。在所有库欣综合征的临床表现中,高血压(78%)是仅次于体重增加(81%)的第二常见临床表现,是库欣综合征患者出现并发症和死亡的主要原因[5]。一项来自澳大利亚昆士兰大学医学中心的回顾性研究发现,纳入的58例异位ACTH库欣综合征的病例中有45例血压高于140/90 mmHg,占比达78%[6, 7]。重度高血压合并低钾血症在异位ACTH分泌患者中更常见,且在约30%的患者中,即使进行了有效的手术治疗,高血压仍持续存在[8]。库欣综合征患者高血压的发病机制尚未完全阐明,但目前研究表明其涉及多方面因素:(1)外周血管对肾上腺素受体激动剂的敏感性增加[9];(2)血管紧张素原的肝脏合成增加[10];(3)盐皮质激素受体被皮质醇激活,该效应通常由异位ACTH分泌所致[11, 12];(4)过量的皮质醇对心脏有直接的毒性作用[13]。库欣综合征得到治疗后,高血压通常更容易控制甚至完全消失。
神经内分泌肿瘤通常表现为不同起源的细胞分泌各种激素引起高分泌综合征[14],其中异位分泌ACTH引起库欣综合征的罕见,每年发病率不足百万分之一[15]。1963年Liddle等[16]首次报道了1例异位ACTH的病例。之后的临床观察发现,超过15种不同起源的肿瘤与异位ACTH综合征相关[17],多数病例是由肺部、胰腺或胸腺的神经内分泌肿瘤引起[18, 19],其中肺部及胸腺类癌及罕见的多发性肺微小瘤占大多数[20],而胰腺及胃肠道来源的肿瘤引起异位ACTH综合征的相对罕见。我科2008年曾经报道1例来源于胰头部分泌ACTH的神经内分泌肿瘤,患者有典型的库欣症状和体征,同时伴有低血钾和代谢性碱中毒等典型生化特征[21]。本例患者缺乏典型的库欣综合征的症状和体征,仅表现为间断性高血压,临床表现极为隐匿,容易漏诊。两例患者的病例特点分析见表3。

本例与2008年我科报道的1例分泌ACTH的胰腺神经内分泌肿瘤对比分析
本例与2008年我科报道的1例分泌ACTH的胰腺神经内分泌肿瘤对比分析
| 项目 | 本例 | 2008年病例 |
|---|---|---|
| 性别、年龄 | 女,51岁 | 女,44岁 |
| 就诊原因 | 血压间断升高 | 全身进行性水肿 |
| 典型体征(满月脸、水牛背、多血质、水肿等) | 无 | 有 |
| ACTH | 升高 | 正常范围 |
| 皮质醇升高且正常节律 消失 | 有 | 有 |
| 低钾、代谢性碱中毒 | 有 | 有 |
| 影像学定位 | 胰头部 | 胰头部 |
| 肿瘤大小(cm) | 4.0×3.0×2.0 | 11.0×12.0×10.0 |
| 手术切除 | 是 | 是 |
注:ACTH为促肾上腺皮质激素
回顾性研究表明,相较于肾上腺源性及垂体源性库欣综合征,高血压在异位ACTH综合征中更为常见(约占88%)[5,22, 23]。由于昼夜皮质醇节律的消失,库欣综合征通常表现为收缩压与舒张压无差别的升高,且早期主要表现为昼夜生理节律的消失,即夜间无生理性的血压下降,以及间断的血压升高[24]。而高皮质醇水平本身与高血压的程度无直接相关性[25],但血皮质醇的持续升高会导致血管内皮重构以及过度的纤维化,使得高血压持续进展[26]。
本例患者以间断血压升高为首发症状,表现为血压的昼夜节律消失,符合库欣综合征早期血压变化特点。该病例诊治较为及时,定位准确且肿瘤的恶性程度不高,预后较好。该病例提示对于血压节律改变的患者,可能是异位ACTH综合征的早期表现,容易漏诊,值得临床医师关注。
所有作者均声明不存在利益冲突





















