
患者女性,56岁,既往1型糖尿病病史,本次因腹泻7个月,发现肝功能异常6个月收入北京协和医院消化内科。患者临床主要表现为反复发作的慢性腹泻和肝功能异常,同时伴有腹腔和腹膜后淋巴结肿大、CA19-9及癌胚抗原(CEA)升高。慢性腹泻,粪便苏丹Ⅲ染色阳性,病程中消耗症状重,整体符合脂肪泻特点。之后患者逐渐出现以肝脏合成指标异常为主的肝功能损害表现,肝脏影像提示在较短的时间内出现明显肝脏缩小,但肝脏形态改变与门脉高压不平行。经肝脏活检病理提示亚大块坏死后肝细胞结节状再生,伴细胆管增生。经两次小肠黏膜活检,病理显示小肠绒毛几乎完全萎缩伴隐窝增生、杯状细胞消失和黏蛋白减少,潘氏细胞几乎全部消失,未见上皮内淋巴细胞浸润。病程中利福昔明治疗未见改善,糖皮质激素治疗后症状缓解。经消化科、病理科、内分泌科、血液科、感染内科、风湿免疫科等多科协作,最终明确自身免疫肠病的诊断。患者经过糖皮质激素联合西罗莫司治疗及补充消化酶、肠道菌群调节等支持治疗后,目前腹泻缓解、肝功能恢复正常。
版权归中华医学会所有。
未经授权,不得转载、摘编本刊文章,不得使用本刊的版式设计。
除非特别声明,本刊刊出的所有文章不代表中华医学会和本刊编委会的观点。
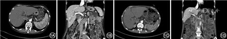
患者女性,56岁,因“腹泻7个月,发现肝功能异常6个月”,于2019年6月14日收入北京协和医院消化科。患者2018年11月于古巴出差后出现腹泻,黄色水样便6~8次/d,偶见未消化食物、油滴,脐周钝痛,排便后缓解,伴乏力、纳差,无发热,同行者无类似症状。2019年1月出现双下肢对称可凹性水肿,外院查血常规、尿常规及粪便常规+潜血均正常;血生化:白蛋白23 g/L,丙氨酸转氨酶(ALT)173 U/L,天冬氨酸转氨酶(AST)168 U/L,γ-谷氨酰转肽酶(GGT)186 U/L,碱性磷酸酶(ALP)231 U/L,乳酸脱氢酶(LDH)575 U/L,胆红素正常;癌抗原19-9(CA19-9)646 U/ml,癌胚抗原(CEA)11 μg/L;血铜蓝蛋白(-)。腹盆增强CT(图1A):胰腺萎缩;肝脾饱满;肝门区、肠系膜根部见多发淋巴结肿大。多次输注白蛋白,监测白蛋白20~30 g/L。2019年3月就诊我院,查24 h尿蛋白定量 0.16 g;红细胞沉降率10 mm/1h,超敏C反应蛋白(hsCRP)4.08 μg/L;甲肝抗体、乙肝五项、丙肝抗体、戊肝抗体、巨细胞病毒DNA、EB病毒DNA、细小病毒B19、肥达外斐反应试验均(-)。血免疫球蛋白G(IgG)22 g/L(IgG4正常),C3 0.573 g/L,C4正常,Coombs试验弱阳性;抗核抗体(ANA)均质型1∶320;余抗核抗体谱、抗可提取核抗原(ENA)抗体谱、自身免疫性肝炎相关抗体谱、原发性胆汁性胆管炎相关自身抗体谱、抗磷脂抗体谱、狼疮抗凝物均(-);血清肿瘤标志物:CA19-9 323 U/ml,CEA 11.5 μg/L,癌抗原125(CA125) 323 U/ml,细胞角蛋白19的可溶性片段(Cyfra211) 11.6 μg/L;血、尿免疫固定电泳、血、24h尿轻链(-);甲状腺功能、胃泌素(-);PET-CT:肠系膜根部脂肪密度增高,肠系膜上及腹膜后多发代谢增高淋巴结,部分饱满(0.6~1.7 cm,SUVmax2.5);肝脾饱满,骨髓弥漫代谢轻度增高(SUVmax 2.0);胸腹盆积液。胃镜、结肠镜检查未见明显异常。超声内镜引导下穿刺腹膜后淋巴结,病理未见瘤细胞。予止泻、保肝、调节肠道菌群治疗后腹泻缓解,每日排2次黄色成形软便,肝功能较前改善。2019年5月再次腹泻,排水样便3~5次/d,每次量100~200 ml。与麸质饮食无关,伴脐周疼痛、纳差。为进一步诊治收入病房。起病以来,患者精神、睡眠、食欲差,小便如常。病来体重下降15 kg。否认皮疹、光过敏、口眼干、关节痛、口腔溃疡、雷诺现象。既往史:1型糖尿病27年,长期胰岛素控制,偶有低血糖发作。高血压7年,药物治疗血压控制可。患者起病前1个月曾行体检,肝功能正常。婚育史、个人史、家族史无殊。


体格检查:体温36.3 ℃,脉搏94次/min,血压105/75 mmHg(1 mmHg=0.133 kPa),呼吸20次/min,体重指数(BMI)15 kg/m2,全身皮肤、巩膜未见黄染,浅表淋巴结未及,颈静脉无怒张,心肺查体无特殊。腹软,腹膨隆,无压痛、反跳痛及肌紧张,Murphy征(-),移动性浊音(+),肠鸣音3次/min,双膝以下对称可凹性水肿。实验室检查:血常规:白细胞8.19×109/L,中性粒细胞58.6%,血红蛋白111 g/L,血小板212×109/L;血涂片未见异常;尿常规、粪便常规+潜血均(-),粪便镜检可见脂肪滴,苏丹Ⅲ染色(+);D-木糖吸收试验:0.4 g/5h(>1.2);生化:白蛋白 27 g/L,ALT 44 U/L,AST 37 U/L,ALP 138 U/L,LDH 285 U/L,胆红素正常,胰胰腺功能正常;血清铁蛋白、叶酸、VitB12正常;凝血:凝血酶原时间(PT)17.5 s,PT% 56%,活化部分凝血活酶时间(APTT)39.9 s,纤维蛋白原(Fbg) 0.76 g/L,纤维蛋白原降解产物(FDP)4.5 μg/ml,正浆纠正试验:即刻及2 h均可纠正;凝血因子Ⅷ活性122.5%;炎症因子:白细胞介素(IL)-6 18.2 ng/L,IL-8 70 ng/L,IL-10 9.1 ng/L,肿瘤坏死因子(TNF)α 39.8 ng/L;糖化血红蛋白 5.5%,C肽餐后2h<0.05 μg/L,胰岛素样生长因子1(IGF1)32 μg/L,1型糖尿病相关自身抗体谱(-);甲状腺功能、24h尿皮质醇、血皮质醇、促肾上腺皮质激素、醛固酮(-)。炎症性肠病抗体谱:抗胰腺腺泡细胞抗体-IgA (+)1︰20;麦胶病相关抗体谱(-); TB细胞亚群:T细胞绝对值 673个/μl,CD4阳性T细胞绝对值217个/μl,CD8阳性T细胞绝对值66个/μl,可见高比例CD4-CD8-T细胞。粪便病原学:粪便细菌、真菌、抗酸染色、痢疾、难辨梭菌毒素(-);粪便寄生虫卵、阿米巴滋养体及包囊、蓝氏贾第鞭毛虫抗原、滋养体及包囊、隐孢子虫抗原(-);粪便病原学核酸检测:弯曲菌、难辨梭菌毒素A/B、类志贺毗邻单胞菌、沙门菌、弧菌、霍乱弧菌、小肠结肠炎耶尔森菌、肠聚集大肠杆菌、肠产毒大肠杆菌,肠致病大肠杆菌,产志贺毒素大肠杆菌、志贺菌/肠侵袭大肠杆菌、隐孢子虫、圆孢球虫、溶组织阿米巴、贾第鞭毛虫、腺病毒F40/41、星状病毒、诺如病毒GⅠ/GⅡ,轮状病毒,札如病毒核酸(-)。行腹水穿刺送检腹水常规:比重1.018,白细胞306×106/L(多核51.3%),黎氏试验(+),腹水生化:总蛋白 18 g/L(血总蛋白61 g/L),白蛋白11 g/L(血白蛋白31 g/L),LDH 71 U/L(血LDH 253 U/L),腺苷脱氨酶(ADA)2.3 U/L,Glu、Cl、TG(-),抗酸染色、细菌、真菌、放线菌、奴卡氏菌(-)、瘤细胞(-)。腹盆增强CT+小肠重建(图1B):末段回肠、升结肠近段肠壁水肿;较2019年1月CT肝脾体积减小,新出现肝硬化改变,门脉期强化欠均匀;肝门区、肠系膜根部、腹膜后多发肿大淋巴结同前,腹盆腔积液;胰腺萎缩。肝区动态MRI:肝硬化,多发再生结节。生长抑素受体显像未见异常。胃镜:慢性浅表性胃炎,十二指肠球炎,病理:十二指肠黏膜显急性及慢性炎。胶囊内镜:小肠可见多发黏膜充血斑,散在小结节样改变。全麻下行腹腔镜腹腔淋巴结活检+肝活检,见腹腔大量腹水,肝脏表面萎缩成细颗粒结节状,肠管、腹膜肿胀,在空肠起始的系膜根部见多发肿大淋巴结,质地韧。取3枚直径1.5 cm淋巴结、部分肝脏左叶送检。病理:肠系膜根部淋巴结反应性增生;肝组织亚大块坏死后肝细胞结节状再生,伴细胆管增生。入院后口服胰酶肠溶胶囊联合肠道益生菌治疗,同时严格去麦胶饮食,患者腹泻无改善;同时予人纤维蛋白原输注、Vit K肌肉注射纠正凝血功能异常,间断静脉补液、人血白蛋白支持治疗。术后患者腹胀明显,考虑小肠细菌过度生长可能,予口服利福昔明治疗2周后腹泻改善,每日排2次不成形糊状便,内可见少量未消化食物残渣,下肢水肿缓解。
消化内科:患者中年女性,慢性病程,既往有1型糖尿病的病史,临床主要表现为反复发作的慢性腹泻和肝功能异常,同时伴有腹腔和腹膜后淋巴结肿大、CA19-9及CEA升高。(1)慢性腹泻方面:本患者多次粪便常规、潜血均阴性,但苏丹Ⅲ染色阳性,且病程中消耗症状重,整体符合脂肪泻特点,即由于肠道对营养物质(尤其是脂肪)吸收不完全,导致粪便中脂肪含量异常增多。脂肪泻病因方面主要包括:①消化不良:本例患者1型糖尿病20余年,长期胰岛素治疗,CT提示胰腺萎缩明显,不除外存在胰腺外分泌功能障碍;肝功能明显异常,可能引起胆汁排泄减少;同时存在合并小肠细菌过度生长可能。先后口服补充消化酶及经验性利福昔明治疗均一度有效,但疗效无法维持,仍反复腹泻,因此,肠道消化不良难以解释患者腹泻的整体病程。②吸收不良:患者D-木糖吸收功能明显减低,十二指肠黏膜活检提示小肠绒毛萎缩,均提示小肠吸收不良[1]。患者多次感染方面筛查均未见明确肠道感染证据,但利福昔明治疗后症状一度改善,吸收不良可能部分与小肠细菌过度生长有关,但不能解释病情全貌。患者影像学可见腹腔及腹膜后多发淋巴结增大,曾有血清肿瘤标志物的明显升高,但经PET-CT及胃肠道多部位黏膜活检和腹腔淋巴结活检未见实体肿瘤及淋巴瘤证据。患者病程中有ANA等自身抗体阳性,但麦胶性肠病抗体谱均阴性,肠道黏膜活检也非麦胶性肠病或自身免疫性肠病等典型病理表现,但结合病史,不能除外存在前期感染或其他因素诱发免疫介导的肠道炎症反应。(2)肝功能异常方面,患者腹泻后发现肝功能异常,起初转氨酶和胆管酶均有升高,后期逐渐发展以肝脏合成指标异常为主的肝功能损害表现;肝脏评估的影像在病初表现为肝脾增大,伴腹水、贲门附近静脉曲张等门脉高压表现,而病程后期出现发展较快的肝脏缩小,但静脉曲张消失、脾脏也有缩小,肝脏形态改变与门脉高压不平行。肝功能异常的常见病因,如病毒性肝炎、药物性肝损伤、酒精性肝病、非酒精性脂肪性肝病、遗传代谢性肝病及特殊感染的筛查均无阳性发现。肝脏活检病理不能除外肝硬化早期改变,但更倾向于肝脏坏死后修复的表现。出现这种肝脏的病理改变最多见于严重的药物性肝损伤,但患者无明确用药史,虽然可见炎细胞浸润,也并非典型自身免疫性肝炎病理表现。结合患者病史,考虑不能除外为腹泻后继发,或炎症激活状态累及肝脏所致。
病理科:内镜下行十二指肠黏膜活检,镜下见小肠的绒毛结构几乎完全消失,高倍镜可见整个小肠黏膜显急性炎及慢性炎的改变,在小肠的间质和腺体里均可见中性粒细胞出现,可见隐窝炎和隐窝脓肿的表现,但上皮细胞未见淋巴细胞的浸润,不支持乳糜泻肠道病理改变。肝活检病理诊断:亚大块坏死后肝细胞结节状再生,伴细胆管增生。肝脏大块坏死常见原因包括:(1)药物性肝损伤;(2)病毒性肝炎;(3)自身免疫性肝炎;(4)肝豆状核变性;(5)其他系统疾病引起的肝脏受累。患者汇管区间质和肝实质内均无炎性细胞浸润的炎症表现,无胆管炎和慢性肝炎的表现,结合临床也没有明确的药物性肝损伤及病毒感染的证据,因此尚无法确定造成肝损伤的具体病因。值得注意的是,患者肝脏病理改变不符合典型肝硬化,肝细胞处于恢复再生阶段,如能明确病因并予以去除,肝脏病变有望再生逆转;但若再生不良,最终可能会进展至不可逆的肝硬化。
内分泌科:患者长期1型糖尿病病史,近期新出现消化系统异常表现,需明确糖尿病与腹泻的相关性。第一,C肽水平低,起病早期有胰岛素细胞抗体的阳性,目前存在胰腺萎缩,胰岛素用量小但血糖波动大,综合考虑糖尿病分型1A型明确。第二,文献报道糖尿病患者胰腺体积可减少20%~50%[2],结合年龄因素,患者胰腺萎缩可以用1型糖尿病解释。但1型糖尿病通常不会有明显的胰腺外分泌功能受损表现,脂肪泻非常罕见。有研究表明[3],1型糖尿病合并脂肪泻的患者补充胰酶,并不能改善肠道症状。提示其脂肪泻不是由于胰酶缺乏导致,而与肠道菌群失调相关。糖尿病自主神经病变通常表现为腹泻、便秘交替,同时有泌尿系统、心血管、皮肤等受累,与本例患者表现不符。因此,1型糖尿病难以解释其腹泻。第三,1型糖尿病易合并其他自身免疫相关疾病,其中5%~7%的1型糖尿病患者存在麦胶性肠病抗体(IgA anti-tTG2)阳性[4],但本患者去麦胶饮食不能改善腹泻,肠道病理亦不支持乳糜泻,无法通过1型糖尿病的合并症来解释腹泻的原因。
血液内科:患者存在慢性腹泻和腹腔淋巴结肿大,需要鉴别淋巴瘤。两次胃肠镜、淋巴结穿刺和腹腔镜活检均未见淋巴瘤证据,PET-CT代谢增高灶SUVmax 2~4,诊断淋巴瘤依据不足。患者PT、APTT延长,血浆纠正实验结果考虑是凝血因子活性不足导致凝血功能异常,而不是存在循环抗凝物或凝血因子的抗体。肝脏合成的凝血因子主要是FⅡ、FⅦ、FⅨ、FⅩ和纤维蛋白原,而凝血因子活性评估提示患者FⅤ、FⅧ因子活性正常。因此,结合患者肝功能异常情况,同时白蛋白水平也显著下降,凝血功能异常考虑为肝脏合成功能不良所致。
感染内科:患者病程中没有发热等感染中毒症状,完善了大量病原学筛查均无阳性发现,病程中存在感染的证据不足。回顾病史,患者生活环境中无明确高危因素;起病前曾前往古巴,但当地常见的甲肝、戊肝、登革热、疟疾、利士曼原虫、锥虫病等暂不支持。肝脏方面目前也没有发现感染性疾病的证据。完善TB细胞亚群检查发现患者CD4、CD8双阴性的T细胞比例占60%,而该类细胞在正常人群中的比例为1%~3%以下,文献报道主要包括αβT细胞和γδT细胞,来源及功能尚不清楚[5]。目前认为CD4、CD8双阴性T细胞可能有诱导免疫耐受的功能,在一些自身免疫病中所占比例可以显著升高[6]。在感染性疾病中升高者少见,仅有报道在HIV感染患者中可有轻度升高[7]。患者存在1型糖尿病基础以及ANA阳性,需考虑自身免疫性疾病引起T细胞异常表现。
风湿免疫科:从临床表现和自身抗体两方面分析患者是否符合系统性红斑狼疮(SLE)或系统性结缔组织病。临床表现方面,患者消化系统病变不符合典型SLE胃肠道受累表现,未见其他SLE常见系统受累表现。另外,患者虽存在ANA阳性,但缺乏具有诊断系统性结缔组织病意义的自身抗体,尤其是缺乏诊断SLE的特异性抗体。患者ANA抗体均质型,但滴度仅1︰160~1︰320,Coombs试验一过性弱阳性,补体轻度减低可以用肝脏合成功能异常解释。因此,患者系统受累不典型,没有特异性自身抗体,肝脏病理虽然不能除外自身免疫性肝病,但尚不能诊断系统性结缔组织病。CD4、CD8双阴性的T细胞比例升高和自身免疫反应相关,因此不能排除感染或其他因素诱发了自身免疫反应,造成最初网状内皮系统的激活,造成后续免疫损伤。临床上目前没有感染和肿瘤的证据,如临床症状进一步恶化,在除外禁忌的前提下可考虑尝试糖皮质激素治疗,但获益可能有限,用药过程中需密切监测病情变化并进行调整。
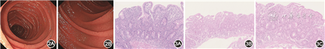
患者停用利福昔明2周后再次出现腹泻,性状及次数同前,伴脐周钝痛、频发低血糖,全肠外营养支持并再次加用利福昔明未见改善。再次筛查肠道病原学并除外肠道感染后,2019年8月9日起予氢化可的松琥珀酸钠150 mg 静脉滴注,每天1次×7 d,一般情况及腹泻明显改善,成型便1~3 次/d。复查D-木糖吸收试验:1.4 g/5h(>1.2),血白蛋白 34 g/L,Fbg 1.68 g/L,均较前改善。后续改为泼尼松龙30 mg,每天1次口服出院,4周后减量至25 mg,每天1次,此后每周减量2.5 mg,患者症状平稳,体重增加8 kg,泼尼松龙减量至20 mg 每天1次时腹泻再发。自行将泼尼松龙加量至30 mg 每天1次未见缓解。体重下降10 kg,呈恶液质(BMI 13.71 kg/m2),于2019年11月5日再次收入我院,复查白蛋白 26 g/L,肝功能大致正常。腹盆增强CT+小肠重建:空肠末段、回肠、末段回肠、升结肠近段肠壁稍厚伴分层强化,较前明显;肝硬化改变、肝门区、肠系膜根部、腹膜后多发淋巴结部分肿大、肝内外胆管略扩张、腹盆腔积液、胰腺萎缩,大致同前。结肠镜检查:回肠末段小肠绒毛略短缩,结肠肠腔宽大,右半结肠呈花斑样改变。活检病理:末段回肠黏膜显慢性炎及灶性活动性炎,绒毛萎缩,灶性隐窝分支,偶见隐窝炎,杯状细胞减少,可见凋亡小体;升结肠、横结肠、降结肠、乙状结肠、直肠黏膜显轻度慢性炎。小肠镜检查:经口进镜约至2.5米第4组小肠,所见小肠黏膜光滑,无糜烂、溃疡,环形皱襞规整,小肠绒毛略显低平,以空肠近端明显,局部颗粒感,黏膜皱襞轻度水肿(图2)。活检病理:空肠黏膜固有层慢性炎细胞增多,未见明显上皮内淋巴细胞浸润,小肠绒毛轻-中度萎缩,隐窝增生,局灶隐窝结构不规则,杯状细胞减少,可见个别扩张的淋巴管(图3)。免疫组化:CD3(+),CD20(+),CD138(+),CD4(+),CMV(-),CD8(+)。


病理科:患者再次入院行肠道黏膜活检的病理表现仍不特异:(1)小肠绒毛几乎完全萎缩伴隐窝增生、杯状细胞消失和黏蛋白减少,潘氏细胞几乎全部消失,未见上皮内淋巴细胞浸润。(2)结肠病理未见明显异常。上述表现可见于热带口炎性腹泻、细菌过度生长、自身免疫性肠病等。热带口炎性肠炎病理表现更接近乳糜泻,绒毛一般为部分萎缩,不会出现杯状细胞、潘氏细胞的显著减少,与该患者不符。自身免疫性肠病可仅有单纯ANA阳性,同时肝脏病变不除外为自身免疫反应相关可能,因此诊断应考虑自身免疫性肠病。目前的小肠病理表现支持免疫抑制治疗。
消化内科:绒毛结构破坏可导致膳食碳水化合物吸收不良、小肠脂肪吸收障碍引起脂肪泻,并可合并继发的脂溶性维生素缺乏及继发低钙低磷低钾、全血细胞减少、D-木糖吸收异常、低白蛋白血症。患者存在古巴旅行史,未长期应用抗菌药物的情况下病情反复,小肠绒毛轻-中度萎缩,需考虑热带口炎性腹泻,但患者病程中未见明显叶酸或者Vit B12减低,为相对不支持点。患者乳糜泻相关抗体谱筛查阴性,禁麦麸饮食效果不佳,考虑乳糜泻可能性不大。小肠细菌过度生长亦不能解释病程全貌。自身免疫性肠病方面,患者存在抗磷脂抗体、ANA阳性,补体减低,同时合并有肝脏受累,糖皮质激素可改善症状,考虑存在自身免疫因素可能。肝功能受损方面,结合患者病史及肝脏活检病理,不符合常见肝脏原发疾病,应考虑为腹泻后继发,或炎症激活状态累及肝脏所致,应用糖皮质激素后肝脏合成功能明显改善,进一步支持免疫介导因素参与可能性大。建议继续应用糖皮质激素,并酌情加用免疫抑制剂。近年研究显示自身免疫性肠病患者中部分存在FoxP3基因突变,从而引起T细胞失衡而诱发疾病。雷帕霉素具有一定免疫抑制作用,可通过抑制mTOR而上调FoxP3水平,从而促进Treg细胞功能,可用于自身免疫性肠病的治疗[8]。
经多科讨论,诊断考虑自身免疫性肠病。予甲泼尼龙40 mg静脉滴注,每天1次×10 d➝泼尼松30 mg,每天1次,并于2019年11月26日加用西罗莫司(雷帕霉素)1 mg,每天1次。此外,予补充消化酶、肠道菌群调节、白蛋白输注、维生素补充,对症补钾补镁,对症血糖控制等支持治疗。患者病情平稳,于2019年12月4日出院。出院至今,患者调整西罗莫司2 mg,每天1次(监测血药浓度5.4~7.7 μg/L稳定),泼尼松规律减量至5 mg,每天1次。每日解成型便2次,无其他不适及药物不良反应。
所有作者均声明不存在利益冲突





















