
患者男性,81岁。以发热、腰痛起病,诊治过程中使用造影剂、多种抗生素和解热镇痛药。病程中突发少尿(300 ml/d),血肌酐1周内自72 μmol/L进行性升高至660 μmol/L,维持出入量+500 ml至+800 ml后尿量恢复,血肌酐一过性下降后很快再升高(660 μmol/L➝337 μmol/L➝565 μmol/L),同期出现以正常细胞形态为主的肉眼血尿、肾病范围蛋白尿(5.41 g)及低白蛋白血症(28 g/L),肾脏穿刺活检病理提示坏死性肾小球肾炎。予甲泼尼龙500 mg冲击治疗3 d,序贯口服泼尼松50 mg/d×20 d,逐步减量至10 mg/d,联合口服环磷酰胺(累积6.0 g)治疗后血肌酐下降至144 μmol/L。
版权归中华医学会所有。
未经授权,不得转载、摘编本刊文章,不得使用本刊的版式设计。
除非特别声明,本刊刊出的所有文章不代表中华医学会和本刊编委会的观点。
患者男性,81岁。因腰痛10 d、尿量减少5 d于2019年7月22日收入我院肾内科。患者2019年7月6日活动后出现阵发性腰部胀痛,次日加重,伴畏寒、寒战,逐渐出现意识障碍。外院就诊查体温 39.8 ℃,血压 105/69 mmHg(1 mmHg = 0.133 kPa);血白细胞计数 22×109/L, 中性粒细胞百分比 91.2%;血肌酐 72 μmol/L;降钙素原6.12 μg/L。超声心动图示左心室射血分数(LVEF,M型) 57%,左心房增大,二、三尖瓣轻度反流。胸腹盆CT见右肺下叶实变不张,右侧少量胸腔积液,双侧肾周少许渗出性改变。主动脉CT血管造影见左肾动脉起始段重度狭窄。腰椎磁共振成像(MRI)见腰2至骶1多个腰椎间盘突出伴椎管狭窄。考虑肺部感染,静脉滴注亚胺培南-西司他丁0.5 g,每8小时1次,3 d后序贯静脉滴注哌拉西林-他唑巴坦4.5 g,每8小时1次,患者体温降至36.5 ℃,意识恢复,测尿量1 500 ml/d,因腰痛无缓解于7月12日起口服洛索洛芬60 mg/d,3 d后改口服双氯芬酸75 mg/d止痛。7月19日突发少尿(300 ml/d),伴下肢水肿,留置导尿管导出肉眼血尿,尿量无增加。完善尿常规+沉渣检查,白细胞0/μl,尿蛋白痕迹,红细胞100/μl,正常形态90%。查血肌酐 448 μmol/L。予静脉推注呋塞米(80~120 mg/d)强化利尿后维持尿量600~800 ml/d。同期出现腹泻,每日5~10次褐色糊状便。7月22日为进一步诊治收入我院。患者既往高血压10年,血压最高200/120 mmHg;冠心病及心房颤动病史1年,未规律治疗;右侧颈动脉支架植入后,左侧颈内动脉内膜剥脱术后。入院体检:体温36.4 ℃,心率95次/min,呼吸17次/min,血压172/90 mmHg;右下肺呼吸音低;心律不齐,各瓣膜区无病理性杂音;全腹轻压痛,无反跳痛及肌紧张,无肾区叩击痛,肠鸣音活跃;双下肢无水肿。入院后急查白细胞计数7.5×109/L,嗜酸性粒细胞0.15×109/L,血红蛋白110 g/L,血小板计数132×109/L;血白蛋白29 g/L,血肌酐626 μmol/L,尿素氮31.48 mmol/L。
患者老年男性,急性病程,以腰痛、发热起病,主动脉CT血管造影时应用造影剂,治疗中应用抗生素及镇痛药物,同期合并腹泻。患者短期内出现急性少尿和血肌酐升高,根据2012年肾脏病改善全球预后组织(KDIGO)指南,患者血肌酐在7 d内升高超过基线1.5倍,符合急性肾损伤(AKI) 3期[1]。
AKI病因分类为肾前性、肾性和肾后性。肾前性AKI主要是各种原因导致的肾脏灌注不足,包括有效循环容量不足、肾动脉狭窄或应用降低肾脏灌注的药物如肾素-血管紧张素系统抑制剂(RASI),肾前性因素未纠正可发展为缺血性急性肾小管坏死。肾性AKI需进一步评估肾小球、肾小管间质及微血管病变。肾后性AKI多由泌尿系梗阻所致,因患者外院放置尿管后尿量未增加,暂不考虑肾后性梗阻,可完善泌尿系超声检查以排除。患者肉眼血尿、血肌酐短期内急进性升高,需警惕急进性肾小球肾炎(RPGN),需尽快完善抗肾小球基底膜(GBM)抗体、抗中性粒细胞胞质抗体(ANCA)、抗核抗体(ANA)等自身抗体指标筛查。RPGN本质为肾小球病变,但本例患者尿蛋白仅少量,尿沉渣提示红细胞以正常形态为主,不除外尿管导致的黏膜损伤,肾小球病变的证据并不确切,因而还需考虑肾前性因素或肾小管-间质病变。患者高龄,血管造影提示肾动脉起始段狭窄,本次发热起病,病程中出现腹泻,需警惕肾动脉狭窄基础上有效循环容量不足形成的肾前性因素,进而导致缺血性肾小管坏死。患者病程中应用抗生素、非甾体抗炎药,存在造影剂使用史,亦不除外药物相关急性间质性肾炎,但患者血常规未见嗜酸性粒细胞增多,尿常规无白细胞升高,且急性间质性肾炎通常少尿、无尿不突出,与患者临床表现不符。此外,患者腰痛、肉眼血尿、急性少尿,还需排查是否存在肾静脉血栓。
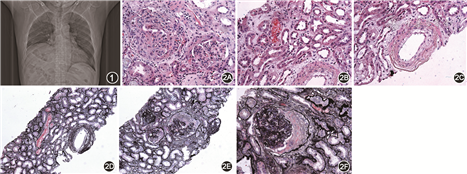
完善检查,ANA(+)胞质型1∶80;抗双链DNA抗体、抗GBM抗体、ANCA均为阴性;补体C3 0.84 g/L,补体C4 0.19 g/L;IgM 0.37 g/L,IgG 12.71 g/L,IgA 3.69 g/L;乙型肝炎病毒表面抗原、丙型肝炎病毒抗体、巨细胞病毒DNA、EB病毒DNA阴性;血清免疫固定电泳阴性,甲胎蛋白4.8 μg/L,癌胚抗原4.6 μg/L,CA 19-9 0.6 U/ml,总前列腺特异抗原1.94 μg/L,游离前列腺特异抗原0.44 μg/L。泌尿系超声检查示双肾弥漫性病变、膀胱壁毛糙,左肾多发囊肿可能,输尿管、肾盂肾盏未见扩张;双肾静脉超声未见血栓。胸、腹、盆CT见右侧膈肌抬高(图1),右肺膨胀不全;左肾中下部低密度结节,囊肿可能。


无RPGN的血清学证据,无肾后性梗阻和肾静脉血栓证据,结合尿常规检查及病史,考虑急性肾小管坏死可能,入院后维持出入量+500 ml/d至+800 ml/d,复查血肌酐缓慢下降(1周内626 μmol/L降至337 μmol/L),自主尿量增至1 000 ml/d。8月4日患者病情反复,自主尿量减少至300~400 ml/d,监测血肌酐再度升高至560 μmol/L;静脉注射呋塞米60 mg,尿量可维持1 500 ml/d。同期复查尿蛋白,痕迹➝0.3 g/L➝≥3 g/L。8月20日完善24 h尿蛋白定量5.41 g,血白蛋白 28~30 g/L。此外,患者入院后出现持续肉眼血尿,拔除尿管及停用阿司匹林后无明显缓解,多次尿常规+沉渣检查见红细胞2 692~5 967/μl,正常形态70%。磁共振尿路造影术(MRU)见双侧肾盂、膀胱、输尿管无明显异常。
容量管理后患者血肌酐一度好转后再次升高,期间查尿蛋白呈升高趋势,24 h尿蛋白>3.5 g,血白蛋白<30 g/L,符合肾病综合征诊断。继发因素方面,患者入院检查无明确感染、自身免疫病、肿瘤等继发因素,但曾应用较高剂量解热镇痛药,需警惕解热镇痛药继发微小病变肾病(MCD)合并急性间质性肾炎;但患者血嗜酸性粒细胞不高,尿白细胞阴性,不支持急性间质性肾炎表现。如无继发因素,同时存在AKI和肾病综合征时应怀疑特发性MCD,尤其是高龄患者[2]。MCD是多种导致肾病综合征的肾小球疾病中最易合并AKI的病理类型,主要病因包括严重低白蛋白血症所致有效循环容量不足、肾小管-间质水肿及大量尿蛋白堵塞肾小管。急性间质性肾炎和MCD对糖皮质激素(以下简称激素)治疗均较敏感,故自8月20日加用甲泼尼龙40 mg/d治疗。
然而本例患者存在不符合典型MCD的表现,(1)典型MCD患者在AKI病程前多存在短期内急性水肿表现,与患者以急性少尿为突出表现不符。(2)MCD易合并AKI的基础是显著降低的血白蛋白及大量尿蛋白,但患者血白蛋白水平下降不明显,24 h尿蛋白亦非明显升高。(3)MCD中仅20%合并镜下血尿,肉眼血尿少见[2],无法解释患者持续存在的肉眼血尿。
针对肉眼血尿,因尿沉渣提示红细胞以正常形态为主,结合尿管置入及阿司匹林服用史,首先考虑为非肾性来源血尿,但在拔除尿管和停用阿司匹林后无改善,MRU未见结石或占位性病变,结合肾病综合征及持续的AKI状态,仍需重新考虑是否存在RPGN导致血尿的可能性。因患者血抗GBM抗体、抗双链DNA抗体及ANCA均阴性,肾脏穿刺明确病理是明确诊断和指导治疗的唯一途径。但一方面患者高龄,处于肾衰竭状态,前期服用阿司匹林,存在肾穿刺出血风险;另一方面,常规的肾穿刺部位为肾脏下极皮质,然患者影像学提示右侧膈肌抬高(图1),右肾下极穿刺点位于肋间,左肾下极多发囊肿,穿刺难度较大。
综合评价患者肾穿刺获益和风险后,于 8月27日在超声引导下行左肾中极部位的肾穿刺活检,病理回报:免疫荧光:17个肾小球,5个球性硬化,IgG、IgA、IgM、补体C3、补体C4、补体C1q、κ链、λ链(-);光镜:19个肾小球,5个球性硬化,3个节段性硬化(其中1个大型细胞性新月体,1个大型纤维性新月体),其余肾小球1个细胞性盘状体,1个大型细胞性新月体;肾小球细胞数增多,可见节段性系膜细胞增生和系膜基质增多;部分毛细血管襻受压变窄,可见多处襻坏死灶,新月体内可见大量纤维素样坏死。肾小管上皮细胞可见颗粒变性,管腔内可见红细胞管型,部分肾内小血管管壁增厚,弹力纤维增生,管腔狭窄;电镜:未见电子致密物及其他异常沉积。诊断坏死性肾小球肾炎(图2)。
根据病理诊断,8月29日予甲泼尼龙500 mg静脉冲击治疗3 d,后序贯口服泼尼松50 mg/d,20 d后减至45 mg/d;间断予环磷酰胺50 mg/d口服。监测血肌酐逐步下降至140~60 μmol/L。9月25日患者病情稳定出院,继续口服泼尼松45 mg/d,环磷酰胺50 mg/d。
回顾患者病程,老年男性,以突发少尿、血肌酐进行性升高起病,合并肾病综合征及肉眼血尿,初期支持治疗及足量激素治疗效果不佳,病理明确坏死性肾小球肾炎后予激素冲击及口服环磷酰胺后肾功能部分恢复。
迄今,RPGN可以解释患者的疾病过程。RPGN可能在疾病早期即已呈现,但由于临床症状不典型,并掺杂容量、药物、高龄和基础疾病等诸多因素,未能早期识别。
RPGN以急进性进展的肾功能恶化的肾炎综合征为临床表现,严重时病理表现为新月体肾炎,即超过50%的肾小球出现毛细血管外细胞增生。根据免疫荧光,RPGN可分为3型,其中Ⅲ型患者几乎无免疫复合物沉积,又称为寡免疫复合物毛细血管外肾小球肾炎(PEGN),占急进性肾小球肾炎的60%~80%[3]。光镜除新月体形成外,PEGN以局灶肾小球坏死为特征[4]。由于大部分患者存在循环ANCA,故认为是ANCA相关性血管炎(AAV)肾脏受累表现。
对肾功能进行性恶化且存在循环ANCA的患者,肾脏穿刺并非是诊断的必要条件。然而,正如本例患者的临床表现,仍有约25%的PEGN患者血清ANCA阴性[5],此时肾脏穿刺是明确诊断的重要途径,且肾脏病理还可评估病变程度,对指导治疗和预后具有关键意义。因此,尽管高龄患者的合并症多、用药复杂、肾穿刺风险大,临床怀疑RPGN仍是此类患者穿刺的适应证。
早在20世纪80年代,即已提出通过尿红细胞形态鉴别血尿是否为肾小球来源[6]。肾小球源性的尿红细胞形态及大小均变化较大,异型红细胞是肾小球源性血尿的标志[7]。以异型红细胞为主的肉眼血尿与新月体形成密切相关,值得临床高度警惕[7];非肾小球源性血尿患者则几乎无肾脏穿刺指征,而应进一步排查其他泌尿系统病变[8]。尽管鲜有文献报道RPGN的尿红细胞以正常形态为主,但本例患者经积极排查未见其他泌尿系统疾病,针对原发病治疗后血尿亦有改善,结合肾脏病理中多数破裂的肾小球囊,推测在新月体快速形成和增殖时,肾小球囊壁的破裂或周围毛细血管网的结构改变,可能导致正常形态尿红细胞的增加。曾有文献认为,超过17%的尿红细胞形态改变即提示肾小球来源血尿[9],因而在RPGN患者中对尿异常形态红细胞的界值可能有待进一步探讨。
激素联合环磷酰胺是AAV诱导缓解的首选治疗方式。然而对高龄患者治疗证据较少。有限的研究表明,AAV的老年患者接受免疫抑制治疗仍有较好预后,但超过65岁的患者较年轻患者更易发生感染[10]。因而,AAV的老年患者,需综合考虑感染风险、药物副作用及预期生存期进行免疫抑制治疗。
此前研究发现,作为AAV的特殊类型,ANCA阴性的PEGN患者肾脏病理新月体比例及间质纤维化程度高于ANCA阳性者。与之相应,此类患者治疗反应相对较差。Sharma等[4]回顾性分析84例PEGN患者的临床表现、病理改变、治疗及预后,结果显示,33例ANCA阴性者经足量激素和/或环磷酰胺治疗后,血肌酐恢复正常或降至基线值1.3倍以内的患者仅10例(37.1%),而ANCA阳性者27例出现类似的治疗反应。这可能与ANCA阴性患者肾外表现较少,诊断及治疗时病情进展较重相关。因此对此类患者,尽早启动病理诊断及治疗具有重要临床意义。
随访:患者出院后在我院肾内科门诊规律随访,泼尼松每月减量5 mg,2019年10月末因白细胞和淋巴细胞计数明显下降停用环磷酰胺,监测血肌酐由144 μmol/L升至210 μmol/L,复查24 h尿蛋白定量0.79 g。2019年11月待血白细胞和淋巴细胞计数恢复后,再次口服环磷酰胺50 mg隔日1次,泼尼松继续每月减量5 mg。2020年6月末次随访,泼尼松减量至10 mg/d,环磷酰胺共累积6 g后停用,复查血肌酐稳定在162 μmol/L。
所有作者均声明不存在利益冲突





















