
患者女,25岁。因关节痛5年,停经16个月,言语不利3个月就诊北京协和医院。患者5年前间断出现双手掌指关节、近端指间关节游走性疼痛,未予特殊诊治。近1年余出现月经不规律,进展至闭经,查雌二醇<5.00 ng/L,孕酮0.058 μg/L,卵泡刺激素56.09~62.50 IU/L,促黄体生成素49.32~58.71 IU/L,催乳素198.7 μIU/ml,妇科超声检查示无窦状卵泡,考虑卵巢功能早衰,予性激素替代治疗,期间监测仍无排卵。4个月前患者反复出现右上肢麻木无力,3个月前突发言语不利伴右侧肢体无力持续不缓解,查头颅磁共振血管成像(MRA)示急性卒中,停用性激素替代治疗,完善病因筛查,发现抗核抗体、抗双链DNA抗体、抗SSA抗体、抗SSB抗体阳性,抗心磷脂抗体、抗β2糖蛋白Ⅰ抗体阳性,诊断系统性红斑狼疮伴发抗磷脂综合征。结合患者发病初期出现闭经,性激素水平为绝经后水平,此前无性腺毒性药物使用史,考虑患者闭经为系统性红斑狼疮继发自身免疫性卵巢炎可能,予口服泼尼松(60 mg,1次/d,规律减量每周5%)联合吗替麦考酚酯(0.75 g,2次/d)及羟氯喹(0.2 g,2次/d)治疗,4个月后患者月经来潮,此后规律行经至今。通过分析患者的临床资料,提高临床医师对系统性红斑狼疮继发自身免疫性卵巢炎的认识。
版权归中华医学会所有。
未经授权,不得转载、摘编本刊文章,不得使用本刊的版式设计。
除非特别声明,本刊刊出的所有文章不代表中华医学会和本刊编委会的观点。
患者女,25岁。因关节痛5年,停经16个月,言语不利3个月于2019年9月19日收入北京协和医院。患者2014年起间断出现全身关节游走性疼痛,以双手掌指关节、近端指间关节为著,无红肿、压痛、晨僵、关节活动受限,天气变化时加重,偶有口干、咽干,无口腔溃疡、面部红斑、脱发、光过敏,未予特殊诊治。2018年2月起无诱因出现月经不规律,经量减少,行经时间延长,痛经加重,5月起出现闭经,伴潮热、失眠,无头痛、视野缺损、溢乳泌乳、烦渴多尿、记忆减退、反应迟钝、阴毛腋毛脱落、皮肤变黑、满月脸、水牛背、面部变长、双足变大等,妊娠试验阴性。7月底就诊当地医院查卵泡刺激素(FSH)56.09 IU/L(绝经期25.80~134.80 IU/L),促黄体生成素(LH)49.32 IU/L(绝经期7.70~58.50 IU/L),雌二醇<5.00 ng/L(绝经期<5.00 ng/L),孕酮0.058 μg/L(绝经期0.050~0.136 μg/L),催乳素(PRL)198.7 μIU/ml;抗缪勒氏管激素(AMH)1.080 μg/L;总T3 1.17 μg/L(参考值0.45~1.37 μg/L),总T4 64.8 μg/L(参考值48.7~117.2 μg/L),促甲状腺激素3.15 μIU/ml(参考值0.49~4.67 μIU/ml);染色体核型46,XX。妇科超声检查示,子宫后位,子宫内膜厚4.9 mm,子宫体体积40 mm×26 mm×36 mm,宫颈30 mm×25 mm;右侧卵巢24 mm×11 mm,较实,未见明显窦状卵泡;左侧卵巢27 mm×14 mm,可见局部18 mm×14 mm无回声区,透声差,其余部位较实,无明显窦状卵泡。考虑卵巢功能早衰,10月予患者口服黄体酮5 mg,1次/d×5 d后仍无月经来潮,遂于2018年12月起予雌二醇片+雌二醇-地屈孕酮片雌孕激素替代治疗(28 d为1个周期;第1天~第14天,口服雌二醇1 mg,1次/d;第15天~第28天,口服雌二醇1 mg+地屈孕酮10 mg,1次/d),治疗期间有行经,2019年1月复查雌二醇<5.00 ng/L,FSH 62.50 IU/L,LH 58.71 IU/L,妇科超声仍未检测到排卵。2019年5月中旬患者无诱因反复出现右前臂麻木无力,持续2 h后自行缓解。6月9日清晨无诱因突发言语不利伴右侧肢体麻木无力,持续无缓解,就诊当地医院,体检:运动性失语,计算力差,左右辨别困难,口角左偏,伸舌偏右,右侧肢体肌力Ⅴ-级,右侧Babinski征阳性;查头颅磁共振成像(MRI)示,左侧半卵圆中心、左侧额顶叶扩散加权成像(DWI)高信号;头颅MRA示左侧大脑中动脉M2段局部狭窄。诊断急性卒中,暂停性激素替代治疗,予阿司匹林(100 mg,1次/d,口服)、阿托伐他汀钙(10 mg,1次/晚,口服)治疗,症状改善不明显,遂于2019年9月转诊至北京协和医院。婚育史:已婚未育,无怀孕史。月经史:初潮12岁,2018年2月前月经规律,行经天数5~7 d,月经周期28~30 d,经量适中。既往史、个人史、家族史无特殊。
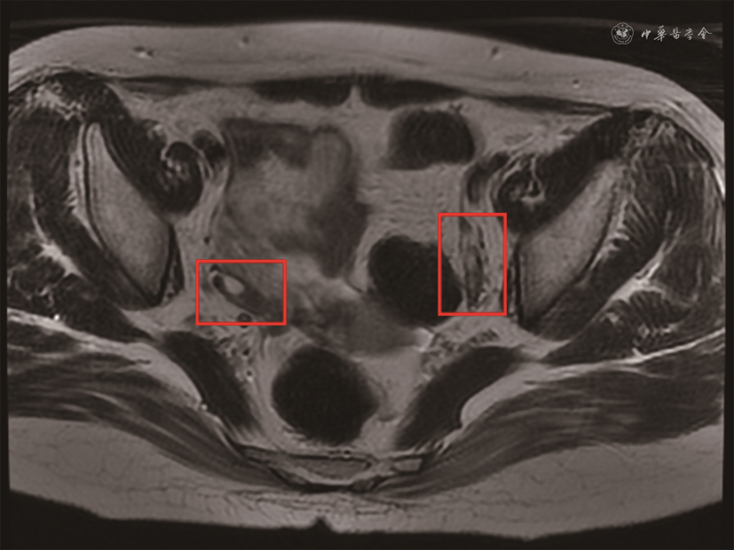
入院体检:血压 106/70 mmHg(1 mmHg=0.133 kPa),脉搏94次/min,呼吸20次/min,心率94次/min;心、肺未见明显异常,对答切题,言语稍慢,右侧鼻唇沟稍浅,示齿口角稍偏左,右上肢近端肌力Ⅴ-级,远端肌力Ⅳ级,腱反射较对侧活跃,右手除拇指外4指掌侧针刺觉减退,右上肢指鼻欠稳准。入院后查血常规,白细胞3.81×109/L,血红蛋白132 g/L,血小板193×109/L;尿常规,尿蛋白、尿潜血(-),24 h尿蛋白0.13 g;肝肾功能,白蛋白43 g/L,肌酐43 μmol/L,尿酸278 μmol/L;总胆固醇3.08 mmol/L,甘油三酯0.66 mmol/L,低密度脂蛋白胆固醇1.15 mmol/L;凝血酶原时间12.1 s(参考值10.4~12.6 s),活化部分凝血酶原时间26.8 s(参考值23.3~32.5 s),国际标准化比值1.05(参考值0.86~1.14),纤维蛋白原2.85 g/L(1.80~3.50 g/L),D-二聚体0.15 mg/L FEU(参考值0~0.55 mg/L FEU);同型半胱氨酸15.1 μmol/L(参考值<15.0 μmol/L),叶酸5.1 μg/L(参考值>4.0 μg/L),维生素B12 246 ng/L(参考值180~914 ng/L);易栓症筛查,蛋白C 119%(参考值70%~140%),蛋白S 62%(参考值76%~135%),活化蛋白C抵抗比值为2.9(参考值>2.1),抗凝血酶Ⅲ 116%(参考值83%~128%);性激素,LH 60.21 IU/L(绝经期10.87~58.64 IU/L),FSH 79.84 IU/L(绝经期>40.00 IU/L),雌二醇34 ng/L(绝经期<40 ng/L),孕激素0.24 μg/L(绝经期<0.78 μg/L),睾酮<0.1 μg/L(0.10~0.75 μg/L);红细胞沉降率(ESR)24 mm/1h,IgG 20.66 g/L,超敏C反应蛋白(CRP)0.28 mg/L;补体C3 1.125 g/L,补体C4 0.116 g/L;抗核抗体 1∶640(均质型),抗双链DNA抗体(ELISA)169 IU/ml,抗Sm抗体阴性,抗SSA抗体强阳性(免疫印迹法90),抗心磷脂抗体(ACL)-IgG阳性 94.9~95.2 GPLU/ml(参考值<8.0 GPLU/ml),抗β2糖蛋白Ⅰ(β2GPⅠ)抗体-IgG阳性 38.2~39.9 AU/ml(参考值<16.0 AU/ml),狼疮抗凝物(LA)阴性,抗中性粒细胞胞质抗体阴性。子宫双附件超声检查(经腹):子宫、双卵巢体积稍小。经颅多普勒发泡试验示,双侧大脑中动脉可见约4个微栓子信号;头颅MRA及磁共振静脉造影(MRV)未见明显异常。综合患者临床表现及自身抗体检查结果,符合系统性红斑狼疮(SLE)、抗磷脂综合征(APS)诊断,合并急性卒中,立即停用性激素替代治疗,加强脑血管病二级预防治疗,予阿司匹林(100 mg,1次/d,口服)、阿托伐他汀(20 mg,1次/d,口服)治疗;针对SLE、APS,予泼尼松(60 mg,1次/d,口服)、吗替麦考酚酯(0.75 g,2次/d,口服)、羟氯喹(0.2 g,2次/d,口服)治疗。此后患者神经系统症状恢复正常,言语流利。泼尼松规律减量(每周减量5%),期间未使用性激素替代治疗。2019年12月北京协和医院门诊查卵巢MRI示,子宫、双侧卵巢形态小,右卵巢可见一小卵泡影(图1)。2020年1月10日泼尼松减至10 mg、1次/d时患者月经来潮,复查LH 6.06 IU/L(卵泡期2.40~12.60 IU/L),FSH 11.01 IU/L(卵泡期3.50~12.50 IU/L),雌二醇31.9 ng/L(卵泡期12.4~233.0 ng/L),孕酮0.218 μg/L(卵泡期 0.057~0.894 μg/L)。此后规律行经至今,行经天数3~4 d,月经周期28 d,经量正常。


风湿免疫科医师 患者青年女性,隐匿起病,进展性病程,多系统受累,主要表现:(1)游走性多关节痛;(2)右上肢麻木无力和运动性失语,临床表现及影像学特征均符合缺血性卒中诊断。尽管临床上无明显面部蝶形红斑、口腔溃疡、脱发等特征,但实验室检查提示ANA高滴度阳性,抗双链DNA抗体阳性,多次查ACL、抗β2GPⅠ抗体阳性,根据2009年美国风湿病学会(ACR)制定的SLE分类标准及2006年悉尼修订的APS分类标准,SLE和APS诊断明确,经大剂量糖皮质激素联合免疫抑制剂治疗症状改善。患者病程中另一个突出的临床表现为月经不规律,快速进展直至闭经,性激素水平为绝经后水平,子宫双附件超声检查及卵巢MRI显示,双侧卵巢缩小,提示卵巢功能显著减退,符合卵巢功能早衰诊断。结合既往研究汇总分析,SLE患者卵巢功能减退的发生率为11%~54%,显著高于普通人群[1, 2, 3],但其诱因主要聚焦于SLE治疗期间环磷酰胺的应用[2, 3, 4],环磷酰胺具有性腺毒性,长期用于30岁以上女性可造成不可逆的卵巢损伤。但本例患者闭经前未确诊自身免疫病,无环磷酰胺及其他性腺毒性药物使用史,因此需考虑患者卵巢功能减退为其他因素导致。另有研究表明,无环磷酰胺使用史的SLE患者卵巢功能减退发生率仍显著高于健康人群[5],且其发生与SLE活动相关[1]。Chang等[6]报道1例SLE患者同时发生蛋白丢失性肠病和闭经,糖皮质激素、免疫抑制剂治疗后蛋白丢失性肠病好转,但月经周期并未恢复。本例患者在疾病活动时先后出现闭经和脑血管病,并且经足量糖皮质激素、吗替麦考酚酯、羟氯喹治疗后月经恢复,MRI及超声检测到卵巢排卵,进一步证实了患者为SLE继发卵巢功能减退。推测其可能的机制为SLE导致靶向卵巢、性激素的自身抗体的产生,研究表明即使无卵巢功能减退的SLE患者,抗黄体素抗体的阳性率仍显著高于普通人群,由此可见SLE对卵巢功能潜在的不良影响[7]。
妇产科医师 患者突发闭经,妊娠已排除,既往月经正常,继发性闭经诊断明确。继发性闭经根据病因可分为下丘脑、垂体、卵巢、子宫性闭经及多囊卵巢综合征(PCOS)。患者发病前无环境及情绪诱因,无垂体功能异常表现,血清泌乳素水平正常,头颅MRI未见下丘脑及垂体异常信号,可排除下丘脑及垂体性闭经。患者既往无妊娠及生育史,不存在子宫内膜损伤危险因素,子宫性闭经可能性小。血清睾酮水平正常,无明显肥胖、痤疮,超声未发现卵巢多囊,不符合PCOS表现,故考虑患者为卵巢性闭经可能性大。卵巢性闭经即卵巢功能减退所致的闭经,以雌激素水平减低和促性腺激素水平升高为特征,患者FSH、LH显著升高,雌二醇、孕酮显著降低,呈绝经期水平,多次FSH>40 IU/L,年龄25岁,早发卵巢功能减退诊断明确。早发卵巢功能减退的病因主要包括遗传学异常、医源性损伤、病毒感染及自身免疫性卵巢炎[8, 9]。患者无阳性家族史,染色体正常,既往无卵巢手术、放化疗病史,闭经前无前驱症状,故考虑其卵巢功能减退为遗传、医源性损伤或感染继发可能性小,需警惕自身免疫性卵巢损伤可能。自身免疫性卵巢损伤可孤立存在,但其最常继发于肾上腺功能不全(Addison病),此外桥本甲状腺炎、Graves病等局限于内分泌腺的自身免疫病也可继发该病[10, 11],亦有研究表明,一些系统性自身免疫病如SLE、干燥综合征等也可继发自身免疫性卵巢损伤[5, 6,10,12]。患者SLE、APS诊断明确,因此考虑其自身免疫性卵巢损伤很可能为SLE继发,加用大剂量糖皮质激素后卵巢功能恢复主要得益于干预及时。通常认为,AMH水平可在一定程度上反映卵巢的残留功能,AMH高于1.0 μg/L提示卵巢功能多有一定的存留[13]。本例患者发病时AMH为1.080 μg/L,未低于临界值,可能是患者经糖皮质激素及免疫抑制治疗后月经周期恢复的基础。
放射科医师 目前有研究认为,自身免疫性卵巢炎是由于原始卵泡的异常发育,导致窦状卵泡无法形成,而被黄体化的、体积较大囊泡取代所致,因此自身免疫性卵巢炎早期可以见到卵巢内较大的囊状结构[14]。本例患者闭经初期超声检查发现双侧卵巢无窦状卵泡,左侧卵巢存在较大的囊泡,卵巢及子宫体积均较小,符合自身免疫性卵巢炎的早期表现。此外,卵巢炎症性改变可通过卵巢MRI辨别,但患者行卵巢MRI时已为足量糖皮质激素及免疫抑制剂治疗后,未见明确炎症表现,但仍可见双侧卵巢体积较小,可能为卵巢损伤后改变。经糖皮质激素和免疫抑制剂治疗后,患者卵巢MRI示一小卵泡影,数日后患者即恢复月经来潮,提示糖皮质激素、免疫抑制剂治疗有效。
风湿免疫科医师 自身免疫性卵巢炎诊断的金标准为卵巢病理切片发现淋巴细胞浸润,但由于患者新发卒中,规律应用抗栓治疗,存在有创操作病理活检的相对禁忌,因此未能获得病理诊断。有文献报道,部分患者亦可通过筛查自身免疫性卵巢炎相关自身抗体证实自身免疫性卵巢炎的诊断[10],相关自身抗体主要包括针对透明带、颗粒细胞、泡膜细胞、黄体素及性激素合成酶的抗体[7,12,15],受国内自身抗体检测条件所限,本例患者未行相关检测。然而患者自身免疫病SLE诊断明确,超声及卵巢MRI显示双侧卵巢形态小,闭经前未使用影响卵巢功能的药物,闭经后不久即出现明确的SLE疾病活动,且大剂量泼尼松、吗替麦考酚酯治疗后性激素水平及月经周期恢复正常,卵巢MRI检测到卵巢上有小卵泡影,以上均可支持SLE继发自身免疫性卵巢炎的诊断。目前尚无自身免疫性卵巢炎明确有效的治疗方案,临床主要应用的仍然是性激素替代治疗[10],但本例患者对症治疗后无诱导排卵,而针对原发病的糖皮质激素、免疫抑制剂治疗提示有效,这为自身免疫病合并自身免疫性卵巢炎的治疗提供了一种新的理念。本例提示,对无明确诱因突发卵巢功能减退者需积极筛查病因,条件允许可查卵巢MRI或自身免疫性卵巢炎相关自身抗体,以确定是否为自身免疫性卵巢炎,追问皮疹、关节痛、口腔溃疡等自身免疫病相关表现,必要时完善自身抗体筛查及系统评估,警惕自身免疫病继发自身免疫性卵巢炎可能,如明确原发病为SLE,需全面评估原发病活动水平,警惕SLE活动继发的自身免疫性卵巢炎可能,条件允许可考虑尝试大剂量糖皮质激素及免疫抑制剂治疗原发病,密切观察卵巢功能变化。
所有作者均声明不存在利益冲突





















