
Bouveret综合征是一种由胆结石移位造成的上消化道梗阻性疾病,多见于老年女性。虽然该种疾病在临床上较为罕见,但病死率却不容轻视。本例患者接受了内镜下钛激光碎石术,手术全程约1 h,无明显不良事件。经过短期的观察,患者顺利出院,随访至今未见复发或恶化。
版权归中华医学会所有。
未经授权,不得转载、摘编本刊文章,不得使用本刊的版式设计。
除非特别声明,本刊刊出的所有文章不代表中华医学会和本刊编委会的观点。
患者女性,69岁,汉族,因上腹部阵发性胀痛伴恶心半月余于2020年9月入苏州大学附属第二医院。患者既往有乙型肝炎及十年余的胆结石病史,2017年有胆囊炎发作,保守治疗后好转。目前乙型肝炎已治愈,胆结石则未予特殊处理。患者有青霉素过敏史,否认异常饮食及宗教信仰等个人史,自述入院前半月余无明显诱因下出现上腹部阵发性胀痛,餐后尤为明显,程度呈进行性加重,自行服用多潘立酮、莫沙必利后未见好转,病程中常伴恶心感,无呕吐,排便次数减少,粪质稍干结,无排便困难,食纳明显下降,发病以来体重减轻约1.5 kg,于苏州大学附属第二医院门诊查胃镜回报胃内见大量食物残渣以至于检查无法完成,存在不明原因的胃潴留,遂住院治疗。患者入院时的体格检查:神志清,精神可,营养良好,未见贫血貌,全身皮肤黏膜无黄染及出血点,浅表淋巴结未触及肿大,双肺听诊呼吸音清,未闻及干湿性啰音;心率正常,心律齐,各瓣膜听诊区未闻及病理性杂音;腹平软,剑突下5 cm处小范围中等程度压痛,无反跳痛,肝脾肋下未及,墨菲征阴性,全腹叩诊呈鼓音,振水音可疑阳性,肠鸣音约3 次/min,双下肢无明显水肿。入院后的血常规、生化、电解质检验结果如下:白细胞计数4.8×109/L,淋巴细胞数2.0×109/L,中性粒细胞数2.4×109/L,血红蛋白127 g/L,凝血酶原时间10.5 s,部分凝血活酶时间26.7 s,血钾3.76 mmol/L,白蛋白45.5 g/L,碱性磷酸酶96 U/L,天冬氨酸转氨酶17 U/L,丙氨酸转氨酶9 U/L,粪隐血阴性。余均无异常。
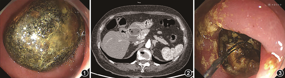
经过禁食、胃肠减压、抑制胃酸及营养支持等初步处理后,患者在入院第5天接受了第2次胃镜检查,在患者的十二指肠球部发现了一枚直径约2 cm的圆球形异物(图1)。初步诊断胃出口梗阻。随后进行CT检查,提示十二指肠球部异物,球部外侧局部与胆囊相通,考虑胆囊十二指肠瘘,另可见胆囊壁增厚与胃黏膜、小肠局部肠壁黏膜强化,考虑炎症(图2)。判断结石正是通过瘘管从胆囊进入肠道。


这例患者最终被确诊为Bouveret综合征。考虑到患者的一般情况和结石的尺寸,与肝胆外科及患者家属讨论后决定为其施行内镜下的钛激光碎石术。在全身麻醉插管后进镜至胃腔,予钛激光反复碎石,最终将结石分为数块后以网篮及异物钳经口腔取出,复观察球部,可见球降狭窄,勉强通过胃镜,而后于球部后壁发现一处充血水肿的瘘口。手术全程约1 h,未见周围组织损伤(图3)。由于内镜技术的局限性,瘘管无法得以修复。患者术后无不适主诉,静脉用盐酸莫西沙星及吗啉硝唑3 d预防感染,其余予抑制胃酸、止血、营养支持等治疗。术后第4天行腹部磁共振成像回报:十二指肠取石术后改变,胆囊十二指肠球部瘘,术区少量积液,可见渗出性改变,胆囊结石可能。对比前片,暂无特殊干预,嘱患者密切随访,建议患者出院后至肝胆外科就诊以评估是否需手术切除胆囊,患者由于个人原因暂不考虑手术。患者对治疗效果十分满意,于术后第6天顺利出院,至今状态良好,未见疾病复发。
Bouveret综合征,即由异位胆结石引起的幽门或十二指肠近端梗阻,于1896年由Leon Bouveret首次发现[1],在胆石性肠梗阻中的发生率约为1%~4%[2]。目前学者多认为胆石性肠梗阻与胆囊压力升高及胆内瘘的形成有关[3, 4]。胆囊结石的持续压迫可以造成胆囊与十二指肠粘连,在胆囊壁缺血坏死的条件下进一步形成胆囊十二指肠瘘,这是Bouveret综合征重要的发病机制[5]。尽管较为罕见,但Bouveret综合征的病死率被报道在12%~30%,某种程度上反映了疾病背后不容忽略的社会负担[6]。
根据流行病学显示,该疾病多见于老年女性[2],往往表现为上消化道梗阻的非特异性症状,如恶心、呕吐、腹痛、厌食甚至呕血。在胆汁通过瘘管流入小肠的情况下,患者还可能有呕吐胆汁的表现,严重者不除外胆汁性腹膜炎的发生[3]。
随着医学技术的发展,影像学手段和内窥镜检查大大降低了胆石性肠梗阻的诊断难度。CT向来是首选的诊断方法[7],灵敏度和特异度分别为93%和100%[2,6]。小肠梗阻(肠段扩张),异位结石及胆道积气被视为影像学上经典的Rigler三联征[8],是高度怀疑Bouveret综合征的诊断依据。在此基础上,如果动态的影像学检查提示结石的位置发生改变,则为Rigler四联征[9]。一般而言,CT发现以上两种征象即可诊断胆石性肠梗阻。此外,CT还可以显示瘘管的位置,胆囊及周围组织的炎症情况,评估病情的严重程度,同时也具有安全无创的优越性。内窥镜下发现结石有助于进一步明确诊断,然而,当结石嵌入消化道黏膜深部,可仅在梗阻部位表现为质硬坚韧的隆起灶,此时极易漏诊[10]。由于不同程度的胃出口梗阻及胆肠瘘的存在,消化道造影的施行应多加谨慎,如必行之,使用碘剂的诊断率及安全性可能优于钡剂[5]。
鉴于目前缺乏权威性的相关指南和高质量研究,胆石性肠梗阻的治疗手段仍然颇具争议。对于部分病程短、结石小(一般直径2.5 cm以内)的患者,经过胃肠减压、润滑胃肠道以及肠内营养等保守治疗的手段,结石可以自行排出[9]。尽管如此,外科手术一度被认为是首选的治疗方式,可以达到胆囊切除与修复瘘管的目的。随着内镜技术的发展,内镜下的碎石取石技术也越来越夺人眼球,并逐渐成为一线治疗。相比于外科手术,内镜治疗具有更低的病死率[6],我们推测可能与患者多数为合并基础疾病且一般情况欠佳的老年女性有关。然而,Abdallah等[6]认为当结石的直径超过3 cm时,内镜治疗的成功率会有较为显著的下降。考虑到患者的临床症状及病情特征各不相同,临床医师应该根据患者的具体情况制定个性化的治疗方案,并且严格落实随访,无论治疗后瘘管是否发生自行闭合[5]。
根据目前的可考文献及我们的经验,当以下条件得以满足时可以酌情考虑行内镜下激光碎石取石术:(1)患者一般状况良好,具有稳定的生命体征和血流动力学,无腹膜刺激征、多发性肠梗阻等绝对的手术指征[6];(2)结石的最大直径不超过3 cm;(3)无严重的肠腔狭窄及出血等并发症;(4)具备相应的临床资源,由经验丰富的医师负责操作;(5)充分告知患方相应的风险,获取知情同意声明。此外,当石块含有尖锐的边缘时,移动过程中应格外注意避免对消化道管壁造成损伤[6,11]。医师还应在结束操作后确保清除所有的碎石以免石块移位导致梗阻复发[2,6,12, 13]。同样值得强调的是,一旦内镜治疗失败或发生了术后梗阻,外科手术仍然是不二之选[2,6]。
在激光粉碎结石的过程中,水分能够吸收大量能量,从而减少对周围组织的损害。内镜下激光碎石术为胆石性肠梗阻的治疗提供了全新的视角,虽然我们仅提供1例成功治疗的案例,但足以提示内窥镜下的激光碎石术可能是一种行之有效且相对安全的治疗手段。该病例所带来的启示在于临床工作中的创新性与灵活性,任何诊治手段都有可能被有机结合起来。
所有作者声明不存在利益冲突





















