
版权归中华医学会所有。
未经授权,不得转载、摘编本刊文章,不得使用本刊的版式设计。
除非特别声明,本刊刊出的所有文章不代表中华医学会和本刊编委会的观点。
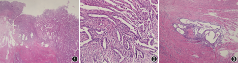
女性,55岁。因"排便习惯改变2年,便血5个月"于2015年10月6日入院。患者2年前无明显诱因出现左下腹阵发性刺痛,伴腹泻、便秘交替,腹泻2~3次/d,感大便控制较差,伴大便不尽感,未予重视。5个月前出现便血,为新鲜血块。患者于当地医院就诊,怀疑直肠肿物。遂就诊于我院,体检未及明显异常,肿瘤标志物检查血CA125略升高(13.7 U/ml),癌胚抗原正常。盆腔超声显示子宫肌层数个低回声,考虑子宫多发肌瘤。胸腹盆CT增强扫描显示直肠乙状结肠交界区局部肠壁偏心性增厚。全程结肠镜检查显示距肛门15 cm乙状结肠与直肠交界处凹陷性病灶,病变大小2 cm×3 cm,表面呈鱼肉样,伴渗血,边缘不规则,边界不清,病变累及管腔周长1/2,内镜尚能通过,组织脆、弹性差;活检病理学结果示纤维组织内异型的腺管样结构浸润性生长,免疫组化示细胞角蛋白(cytokeratin,CK)7(+)、CK20(-)、配对盒基因8(paired box8,PAX-8)(+)、尾型同源盒转录因子2(caudal related homeodomain transcription 2,CDX-2)(-),提示转移性腺癌,源于女性生殖系统。PET-CT显示直肠乙状结肠交界处肠壁增厚、代谢增高,符合恶性病变表现,伴盆腔内淋巴结转移。初步诊断:直肠占位,考虑为转移癌,原发灶待查。患者于2015年10月20日在全身麻醉下行腹腔镜辅助直肠癌前切除术+子宫双附件切除术,术中探查肝、小肠未见异常,肿瘤位于腹膜反折上方,浸透浆膜,与子宫体右下部浸润、粘连;切除病变肠管及子宫双附件,清扫肠系膜下血管根部及直肠上动脉根部淋巴结。术后组织病理学检查显示,切除直肠长8 cm,直肠上段肠壁全层有腺管状腺癌浸润,黏膜破坏、溃疡形成,腺癌与周围正常黏膜未见移行(图1),并有浆膜受侵;肿瘤细胞形成不规则腺管状结构,细胞核圆或椭圆形,核膜厚,核仁清楚(图2);淋巴结转移癌(肠周淋巴结8/25,肠系膜下血管根部及直肠上动脉根部淋巴结0/5);子宫、双侧输卵管及卵巢未见肿瘤。免疫组化结果显示:CK7(+)、CA-125(+)、P16(+)、PAX-8(+)、CDX-2(-)、CK20(-)、雌激素受体(+)、孕激素受体(-)、WT-1(-),提示肿瘤源于女性生殖系统。患者存在区域淋巴结转移,但首次病理学检查结果未能明确原发肿瘤部位,无法制定后续辅助治疗方案,多学科综合治疗团队讨论后建议病理科对肠管标本进行再次切片。第2次病理学检查结果显示:肿瘤远端4 mm处直肠壁浆膜侧肌层内可见小灶子宫内膜异位(图3)。因此,考虑患者直肠腺癌源于异位子宫内膜,形态符合子宫内膜样癌。


本例患者以下消化道症状首发,术前发现直肠肿物,活检病理学结果证实为腺癌,免疫组化提示肿瘤来源于女性生殖系统。由于直肠癌与女性生殖系统肿瘤在生物学行为、化疗方案选择及预后方面存在较大差异,因此,明确肿瘤原发灶,对于制定后续治疗策略有重要意义。
女性盆腔器官中,除直肠可发生腺癌外,卵巢、子宫内膜及宫颈都可以发生腺癌,根据其形态学特点可分为浆液性癌、黏液性癌、子宫内膜样癌、透明细胞癌、浆黏液性癌等,是女性盆腔肿瘤的常见来源。因部位相邻,常常需要与结直肠癌进行鉴别。如果存在邻近器官转移,肿瘤通常较大,仅根据临床检查、影像学资料已难以鉴别,病理学诊断非常重要。就本例患者而言,首诊表现为直肠肿物,要判断肿物是原发癌还是转移癌,可以从以下3个方面入手。
通常来说,当肿瘤发生转移时,原发肿瘤体积最大;但临床实践中,一方面转移癌比原发癌更大的情况时有发生,另一方面当肿瘤很大,累及多个器官,往往难以辨别原发灶。其次,从肿瘤生长和浸润方向分析,直肠肿瘤源于黏膜上皮,随着肿瘤的生长逐渐向浆膜侧浸润;而转移癌多来源于临近肿瘤浸润或腹腔种植,肿瘤首先侵犯浆膜侧,逐渐向黏膜侧发展;但是,当肿瘤已侵犯肠壁全层,则无法明确判断。第三,直肠肿瘤来源于黏膜上皮异型增生,肿瘤组织与正常上皮之间可能有移行;但当肿瘤生长迅速时,移行组织也可能不明显。本例患者送检的盆腔器官标本中,仅在直肠发现孤立病灶,肿瘤侵犯肠壁全层,肿瘤组织与正常黏膜上皮间无移行,就原发癌与转移癌的鉴别而言,以上信息的指向性并不十分明显。因此,肿瘤部位信息可以为我们提供一些判断原发肿瘤的线索,但并不能提供决定性的证据。
不同来源的腺癌,形态学上可能有特征性表现,有助于进行鉴别诊断。如卵巢浆液性癌常见微小乳头状结构,细胞核异型性大,容易有砂粒体样钙化。分化好的结直肠癌细胞呈高柱状,细胞核瘦长深染,肿瘤性腺腔内常见凋亡及坏死。但是,肿瘤分化不是特别好时,许多形态学特点不鲜明,则难以鉴别。本例患者为腺管状结构的腺癌,肿瘤细胞圆或椭圆形,没有特别突出的形态学特点。
免疫组化可以获得肿瘤的分子信息,在判断肿瘤来源方面是最常用,也是最有效、最客观的病理学检查手段。虽然形态学类似,不同来源的腺癌仍保留了原发部位上皮的分化特点,因此,可以利用免疫组化从分子层面上予以鉴别。常用的支持结直肠癌分化的分子表达有CDX-2、人黏蛋白5AC等,支持女性生殖系统分化的分子表达有雌激素受体、孕激素受体、PAX-8等。此外,不同的CK组合也提示不同来源,其中CK7(+)-CK20(-)支持肺、乳腺、女性生殖系统等来源,而CK7(-)-CK20(+)支持结直肠来源。本例患者之所以在直肠外找不到肿瘤时,病理科仍坚持肿瘤来源于女性生殖系统,原因就是免疫组化表型明确指向女性生殖系统。但需要注意的是,黏液腺癌在女性生殖系统和消化系统的表达类似,还有一些肿瘤分化混乱,免疫表型不一甚至互相冲突,这些情况下无法依据免疫组化得出明确的判断。
在免疫组化确定肿瘤为来源于女性生殖系统的转移癌后,病理科对手术标本进行了再次筛检,最终在肿瘤旁直肠浆膜侧检出小灶子宫内膜异位,考虑肿瘤发源于异位的子宫内膜。子宫内膜异位是常见的女性生殖系统异常,约80%发生于卵巢,21%~24%发生于女性生殖系统外,最常见于直肠、乙状结肠、直肠阴道隔、盆腹膜,也可见于腹壁、脐、胸膜等部位[1]。卵巢异位子宫内膜恶性转化为卵巢癌的学说首先于1925年由Sampson[2]提出,此后的研究结果证实卵巢外的异位子宫内膜同样可以发生恶性转化[3],经过不典型子宫内膜异位,通常转化为子宫内膜样癌或透明细胞癌。不典型子宫内膜异位和子宫内膜样癌可以共同出现9p、11q和22q的杂合性缺失[4]。多种遗传学改变可能与这一转化途径相关,基因包括8-氧鸟嘌呤脱氧核苷、PTEN、p53、ARID1A、MLH1、bcl-2、KRAS等;子宫内膜异位灶较大、高雌激素、肥胖等是发生子宫内膜异位相关癌的危险因素[5]。
本例患者的诊治经过提示我们,虽然子宫内膜异位被认为是良性疾病,但有少数病例会发生恶性转化,尤其当异位发生于卵巢外、子宫内膜异位的周期性症状不明显时容易被忽略,甚至被视为异位器官的原发癌,从而无法获得恰当的治疗。在临床实践中,应重视病理学检查的全面性和科学性,有理有据地开展诊疗工作。
本例患者的临床表现为排便习惯改变、便血,血清CA125轻度升高,盆腔CT提示直肠乙状结肠交界区肠壁偏心性增厚,经活检病理学证实为腺癌,免疫组化提示肿瘤来源于女性生殖系统,发源于异位的子宫内膜,即子宫内膜异位症。异位的内膜可侵犯全身任何部位,但绝大多数位于盆腔器官和壁腹膜[5]。当腹膜下出现子宫内膜种植、纤维化形成和肌组织增生,病灶浸润深度≥5 mm[6,7]时,称为深部浸润型子宫内膜异位症(deep infiltrating endometrio-sis,DIE)。DIE占子宫内膜异位症的20%~35%[5,8],最常累及子宫骶韧带,其次为直肠阴道隔、直肠子宫陷窝、输尿管、直肠与乙状结肠交界处及膀胱等[6]。
本患者因以消化道症状首发,无痛经及盆腔痛病史,故首先考虑为肠道疾病而收入外科。实际上,此病例并非肠道原发疾病,而是DIE的一种类型——当子宫内膜样的腺体及间质侵犯肠管,其浸润深度达肠壁固有肌层时,称为肠道子宫内膜异位症(bowel endometriosis,BE)[9];最常见于直肠、乙状结肠,其次为阑尾、末段回肠,其他肠管少见[10]。BE的临床表现多不典型,大多数患者可无症状,或有轻微的消化系统症状如消化不良、恶心等,非常容易被误诊为消化系统疾病,如结肠憩室、结直肠癌、炎症性肠病、肠道结核、肠易激综合征等。但当病变累及直肠时,可出现周期性的便血、便频、里急后重、肛门坠胀感及排便痛等不适。道格拉斯窝封闭患者发生排便痛的概率大大增高,同时易伴有性交痛[10]。
异位子宫内膜也可发生恶变,其恶变的病理类型主要为子宫内膜样癌和透明细胞癌[11]。由于卵巢外子宫内膜异位症恶性转化非常少见,难以对其建立标准的治疗方案。目前认为当子宫内膜异位症发生恶性转化时,初次手术应彻底切除所有病灶,即使肉眼所见病灶局限于盆腔,也可适当地对上腹部淋巴结及组织进行活检分期,术后可以配合适当的化疗或放疗。对于本例患者,根治术中见肿瘤与子宫关系密切,已完整切除了子宫、双附件及肿瘤病灶,并进行了区域淋巴结清扫。术后病理学检查结果符合BE恶变,病理类型为子宫内膜样癌,并伴有区域淋巴结转移。考虑肿瘤期别较晚,术后可行辅助化疗(紫杉醇+卡铂),并严密随访。
本例患者的诊治经过提示我们,子宫内膜异位症的临床表现是多种多样的,主要取决于异位内膜的位置,临床中需要提高对子宫内膜异位症的警惕性,尤其对于有痛经、慢性盆腔痛的女性患者,应详细询问相关的病史,并进行仔细的妇科检查及相关的影像学检查。异位的子宫内膜同样会发生恶变,有子宫内膜异位症病史的患者,一旦发现其他部位的肿瘤,应想到有异位症恶变的可能,从而有针对性地进行术前准备并采取适当的术中处理措施。





















