
版权归中华医学会所有。
未经授权,不得转载、摘编本刊文章,不得使用本刊的版式设计。
除非特别声明,本刊刊出的所有文章不代表中华医学会和本刊编委会的观点。
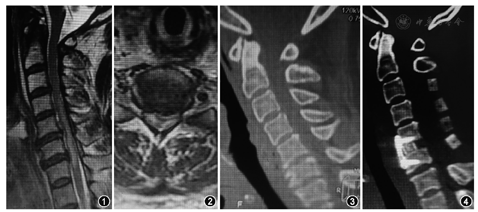
患者女性,52岁,因"甲状腺术后双手伴双下肢活动障碍1 d"于2017年5月21日急诊入院。1个月前患者颈部发现一活动结节,就诊于当地医院,行相关检查后(未行颈椎相关检查)不排除甲状腺癌。入当地医院后询问病史无颈部不适及四肢麻木无力、踩棉感等症状,颈椎及神经系统体检示:颈椎曲度变直、序列及活动度正常,颈部无压痛、叩击痛,未查及感觉异常平面,四肢感觉及运动未见明显异常,四肢腱反射正常,无病理反射。完善术前准备后行甲状腺次全切除术。患者取仰卧位,静脉麻醉状态下使用喉镜辅助顺利完成气管插管,麻醉完成后取颈椎背伸体位,充分暴露术野。手术时间约80 min。术后麻醉师唤醒患者,患者自诉双下肢伴双手活动障碍,双上肢感觉针刺、麻木感,初考虑患者意识尚未清醒,30 min后患者意识清晰,查双下肢和双手无明显活动,症状无明显改善,于当地医院急行颈椎X线检查及颈椎CT后未见明显异常,后转入普通病房详观,2 d后患者症状无明显改善,急诊转入我院行进一步治疗。入院体检:颈椎生理曲度略直,序列如常,颈部前方横切口,敷料包扎,负压引流,颈部无明显压痛、叩击痛,感觉平面在胸骨角水平,双前臂及手部感觉针刺、麻木感,四肢肌肉张力不高,双侧三角肌、肱二头肌肌力4级,双侧肱三头肌肌力3+级,双手握力0级,双下肢各肌肌力0级,双侧肱二头肌反射正常引出,双侧肱三头肌反射未引出,双侧膝腱反射、跟腱反射未引出,双侧霍夫曼征阴性,双侧巴宾斯基征阳性,余体检未见明显异常。日本骨科协会评分3分(17分法)。颈椎MRI示C4~7椎间盘向后突出,以C5~6椎间盘水平为著,黄韧带无肥厚,C4~7椎体后方水平颈髓内可见条片状T1WI低信号T2WI高信号脊髓水肿影(图1)。C5~6椎间盘水平椎管狭窄,黄韧带肥厚(图2)。颈椎CT示颈椎曲度变直,局部反张,诸椎体边缘可见骨质增生,以C6椎体为主;C4~7椎间盘突出伴相应椎管狭窄,以C5~7为著(图3)。结合相关检查及体检,诊断为颈部脊髓损伤、四肢不全瘫、颈椎管狭窄症、甲状腺术后,收入我院拟行急诊手术治疗。


完善术前准备后,入院当天在全身麻醉下(气管插管时特意告知麻醉师尽量避免颈椎背伸并使用可视喉镜辅助插管)行颈椎后路双开门椎管减压术和颈椎前路间盘切除椎管减压植骨融合内固定术。手术完成患者清醒后自述双手麻木、疼痛及下肢活动症状较术前明显改善,体检:双手握力2+级,双下肢各肌肉肌力2+级。下肢膝腱反射、跟腱反射引出,且活跃;术后第1天患者自诉双上肢及双手麻木、针刺感较术前明显缓解,双手握力3级,双下肢各肌肉肌力3级;术后1周双手握力3+级,双下肢各肌肉肌力3+级,双下肢感觉、运动恢复良好;术后2周佩戴颈托支具下地行走正常,行走平稳,四肢感觉、运动良好,四肢肌力4级,日本骨科协会评分12分。术后前3个月复查颈椎CT示颈椎内固定物位置良好(图4),无松动,椎间cage位置佳,融合确切,四肢肌力、感觉恢复如常。
颈椎病患者可发生脊髓损伤,预后极差。无症状颈椎病患者发生颈部脊髓损伤的风险更高,临床上需特别重视。本例患者发生颈部脊髓损伤前无明显颈部不适及颈椎病相关的临床症状,术后出现颈部脊髓损伤临床症状,颈椎MRI显示患者在术前即有椎间盘突出及继发椎管狭窄导致的脊髓压迫。分析颈部脊髓损伤发生的原因,甲状腺手术操作和术中全身麻醉气管插管均需颈椎过伸体位,患者颈椎管狭窄程度不能满足正常的甲状腺手术体位要求,术中体位摆放导致椎体向后挤压椎间盘或造成韧带打褶,导致颈椎管进一步狭窄。Edge等[1]曾报告一例患者在全身麻醉下行腹腔镜下胆囊切除术后发生四肢不全瘫,认为对于有颈髓受压、创伤后颈椎不稳定的患者,经典的插管技术会加大颈椎的活动范围,肌肉松弛剂的使用可能加剧了这一过程。检索文献,目前共有14例相关病例报道[2,3,4,5,6,7,8,9,10,11,12,13],绝大多数患者年龄偏大(>60岁,8/14),术前多有颈椎病病史(9/14),男性居多(12/13),5例合并糖尿病(5/12);手术方式方面,7例行冠状动脉旁路移植术,6例患者行甲状腺相关手术,7例冠状动脉旁路移植术患者中6例合并高血压,且手术时间较长;提示长时间的颈椎过伸[14]和高血压、糖尿病可能是脊髓损伤的相关危险因素;4例患者因终末期肾病接受血液滤过治疗(4/12),而有研究结果显示,血液透析相关的硬膜外淀粉样蛋白沉积可导致颈椎管狭窄[14,15]。上述14例患者手术干预后仅3例患者接近完全康复,剩余患者恢复不佳。本例患者术后获得良好效果,随访3个月后基本恢复。
近年来颈椎病患者逐渐增加,且有年轻化趋势,临床医师应提高对手术体位相关的颈部脊髓损伤的认识。即使是气管插管需要的轻微颈部过伸都有可能成为某些隐匿性颈椎病患者发生颈部脊髓损伤的潜在原因。因此,我们建议在任何需要颈椎过伸的手术或操作前,应对患者进行细致的病史询问和必要的检查,即使患者无明确的颈椎病症状,也应在术前行相应的颈椎过伸体位模拟及锻炼。特别是高龄且合并高血压、糖尿病、接受血液滤过治疗的高危人群,彻底的术前评估和相关检查甚至颈椎MRI是有必要的。此外,改良手术方式以减少颈部伸展的程度和持续时间可能有助于降低颈部脊髓损伤的风险。
所有作者均声明不存在利益冲突





















