
版权归中华医学会所有。
未经授权,不得转载、摘编本刊文章,不得使用本刊的版式设计。
除非特别声明,本刊刊出的所有文章不代表中华医学会和本刊编委会的观点。
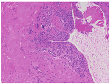
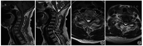
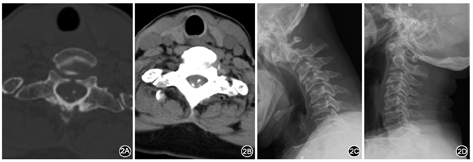
女性,66岁,因"行走不稳7年,双下肢麻木无力加重1周"于2018年6月8日入院。患者7年前无明显诱因出现行走不稳,转身困难;1周前出现双下肢麻木、无力,不能行走,双上肢无明显症状,无明显排便、排尿困难或大小便失禁,无鞍区麻木、晨僵,无关节红肿、发热畏寒等,否认既往头颈部外伤史。患者症状持续不缓解,遂于我院就诊。体检:右侧肋弓以下痛觉减退,左侧胸骨角平面以下痛触觉减退,双下肢位置觉消失,会阴部痛触觉减退不明显,两侧上肢肩外展、屈伸肘、伸腕、握拳及小指外展肌力均为Ⅴ级,两下肢屈髋、伸膝、足背伸、踇背伸及跖屈肌力Ⅱ级,双上肢肌张力无明显增高或降低,两下肢肌张力稍增高,双侧肱二头肌腱反射(++),双侧肱三头肌腱反射(++),双侧膝腱反射(+++),肛门反射(+),双侧Hoffmann征阴性,双侧Babinski征阳性。脊柱MRI检查结果示:颈椎生理曲度反弓,颈椎退行性改变,寰齿关节前间隙增宽,寰枢椎脱位,压迫相应颈髓;C7椎体向前滑移;C6~T1水平黄韧带区域占位性病变,呈T1WI低信号、T2WI高信号,考虑囊肿,椎管狭窄,相应颈髓受压、信号增高(图1)。脊柱CT平扫示:占位性病变内可见散在点状钙化。颈椎动力位X线片示:寰枢椎明显不稳。过伸位X线片示:寰枢椎脱位可复位(图2)。实验室检查:类风湿因子、抗溶血链球菌O、免疫球蛋白(IgG、IgM、IgA)、补体C3及C4、抗核抗体、抗中性粒细胞胞质抗体均呈阴性,血尿酸未见明显异常。诊断:(1)退行性寰枢椎脱位(可复性);(2)C6~T1水平椎管内硬膜外占位:黄韧带囊肿?(3)C7椎体滑移Ⅰ度;(4)不完全截瘫。因患者同时存在退行性寰枢椎脱位与C6~T1水平椎管内占位,均对颈脊髓造成明显压迫,考虑患者不完全截瘫由C6~T1水平椎管内占位所致可能性较大,但不能完全排除寰枢椎脱位影响,故于2018年6月19日在全身麻醉下行"颈后路寰枢椎脱位切开复位,椎弓根螺钉内固定术"及"颈后路C6~T1水平椎板切除及椎管减压,椎管内硬膜外占位切除,椎弓根螺钉内固定术"。术中在切除病变水平椎板后发现此处黄韧带增厚明显,可见囊肿样病变组织位于黄韧带内,被黄韧带包裹,压迫脊髓,椎管明显狭窄,病变与邻近小关节间无接触及交通。术中小心地从硬膜外剥离并完整切除病变组织及周围黄韧带,此过程中增厚的黄韧带与硬膜囊无明显粘连。体外切开病变组织见其内含凝胶样黏液,囊壁与黄韧带粘连紧密,较难分离,提示病变组织起源自黄韧带。术后复查X线片及CT可见颈椎内固定稳固,寰枢椎脱位已复位,C6~T1水平椎管减压充分(图3)。术后病理学检查示:镜下见纤维组织增生,胶原变性,部分区呈囊壁样结构,散在钙盐沉浸,并见少量软骨组织,未见滑膜层,未见异型细胞、尿酸盐沉积。病理学诊断为黄韧带囊肿(图4)。术后2周患者可在搀扶下站立;术后3个月可在搀扶下行走,但步态不稳,双下肢麻木较前有所好转;术后6个月可独自拄支具行走,但双下肢仍有麻木感,较术后3个月时无明显好转;术后9个月随访时患者可独立行走,步态仍不稳,双下肢麻木较前无进一步改善。术后未见明显并发症,患者及家属对治疗过程满意。








颈椎黄韧带囊肿临床上较少见,既往报道均发生于60岁以上患者,无明显性别差异[1,2,3,4,5,6,7,8,9,10]。该疾病的发病机制仍不明确,临床表现无特征性,可因神经根或脊髓受压,引起神经症状,容易被忽视。尽管MRI检查有一定的诊断价值,临床上对黄韧带囊肿的诊断与鉴别诊断仍较困难,最终诊断仍需手术探查及术后病理学检查结果确定。
黄韧带正常结构可因脊柱退行性病变和持续的微小机械应力而改变[2,3],弹性纤维减少,胶原组织增多,软骨细胞增殖导致软骨样变,并发生钙化增厚[10],黄韧带囊肿可能为黄韧带老化、退变的产物,具体致病机制尚不明确[11,12]。黄韧带囊肿一般位于黄韧带内或部分嵌入黄韧带[3],病理学往往表现为黄韧带与纤维胶原组织退变形成纤维性的厚的囊壁,囊壁上可见钙化点,胶原纤维玻璃样变,弹性纤维破碎,软骨细胞化生,囊内含黄色黏液或凝胶状液体[2,3,5,10]。本例患者术前CT检查即见病变内散在点状钙化,术中见病变组织位于黄韧带内,术后病理学检查可见纤维组织增生,胶原变性,部分区呈囊壁样结构,散在钙盐沉浸,并见少量软骨组织,与之相符。
黄韧带囊肿无特异性临床表现,主要为囊肿压迫脊髓或神经根而出现的疼痛,肢体感觉、运动功能异常,容易误诊为颈椎病、椎间盘突出、椎管狭窄等脊柱退变性疾病。回顾既往文献,患者最常见表现为感觉异常、步态异常、共济失调,一半以上的患者有肢体痉挛性瘫痪、腱反射增强或亢进,肌力的减退、颈部及肢体的疼痛也较常见,部分患者存在双手精细动作障碍及膀胱或肠道功能的异常[2,3,4,5,6,7,8,9,10]。黄韧带囊肿常起病缓慢,但少数病例也可因微小的背部损伤、体力劳动或负重等所导致的黄韧带囊肿内出血而急性起病[13,14]。
MRI检查可清楚地发现黄韧带囊肿并评估神经压迫情况,对诊断极为重要。黄韧带囊肿典型的MRI表现呈圆形或类圆形的占位性病变,边界清楚,被增厚的黄韧带所包绕[15],呈T1WI等信号或者低信号、T2WI高信号,常伴边缘低信号强度,在注射造影剂后,T1WI可见病灶的边缘强化[16]。但若存在囊肿急性出血,则呈T1WI高信号、T2WI低信号表现。
作为一种临床表现无特异性的椎管内占位性病变,黄韧带囊肿除需与神经鞘瘤、脊膜瘤、神经纤维瘤、表皮样囊肿、椎管内脓肿等疾病相鉴别外,尚需与小关节旁囊肿(包括滑膜囊肿和腱鞘囊肿)进行鉴别。由于病变位置相近,临床表现及影像学表现类似,既往的文献中术语使用与分类系统的混乱,导致黄韧带囊肿常与滑膜囊肿和腱鞘囊肿混淆[2,3,4]。根据组织来源,黄韧带囊肿起源于黄韧带,而位于黄韧带以外、更靠近关节突关节的滑膜囊肿和腱鞘囊肿均起源于关节突关节:滑膜囊肿常与相邻小关节的关节腔有交通,在一些病例的MRI中可被发现,难以直接切除,需要探查小关节,病理检查可见滑膜层,表现为假复层的柱状上皮细胞,囊内含黄色透亮浆液;腱鞘囊肿虽然紧邻关节腔,但不与之相通,病理检查为纤维组织囊壁内含凝胶状非常黏稠的液体,而无滑膜层[2,3,4,9]。尽管如此,最终仍需要根据术中所见及组织病理学结果确诊。
手术切除是首选的治疗方案[16]。尽管曾有术后复发的病例(考虑与黄韧带囊肿切除不彻底等有关)[13],通过外科手术完整切除囊肿能解除其对硬脊膜囊、神经根的压迫,可缓解患者临床症状,改善生活质量。但手术切除黄韧带囊肿的同时是否需行内固定及植骨融合以重建脊柱稳定性尚存争议。有学者在随访过程中发现单纯切除椎板而不行内固定的手术方式并未造成颈椎不稳[3,5],甚至C7~T1间的半脱位在切除黄韧带囊肿后自动获得复位[3]。但考虑到黄韧带囊肿可能的发病机制,以及远期可能出现病变节段不稳定和退变的相关症状,我们建议在切除囊肿同时积极处理相应节段退行性病变,恢复脊柱的稳定性。本例患者在术后随访过程中神经症状逐渐改善,随访至今症状无复发或加重。
所有作者均声明不存在利益冲突





















