
版权归中华医学会所有。
未经授权,不得转载、摘编本刊文章,不得使用本刊的版式设计。
除非特别声明,本刊刊出的所有文章不代表中华医学会和本刊编委会的观点。
患者 女性,63岁,因“体检发现胰腺占位1周”于2020年3月23日收入上海交通大学附属第一人民医院。患者3 d前于外院体检时发现胰腺颈体部占位。入院体检未见明显阳性体征。既往史无特殊。患者神清,精神可,食欲差,睡眠一般,二便无特殊,体重无明显减轻。肿瘤标志物检查:CA19-9 371.3 U/ml、CA125 48.7 U/ml、CA242 166.77 U/ml、CA50 95.81 U/ml、癌胚抗原8.86 μg/L,均高于正常值上限。上腹部增强CT检查结果显示,胰腺颈体交界处可见一个稍低密度肿块影,大小36 mm×27 mm,密度不均匀,与邻近肝总动脉、脾动脉近段及门静脉紧贴,考虑为胰腺颈体部交界处恶性肿瘤可能。上腹部增强MRI检查结果显示,胰腺颈体部可见软组织肿块,大小39 mm×31 mm,增强后边缘强化,考虑为胰腺颈体部癌,脾血管受累狭窄。初步诊断:胰腺颈体部恶性肿瘤。
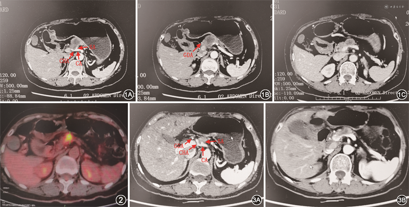
依据术前影像学检查结果,由多学科团队(multidisciplinary team,MDT)评估肿瘤的可切除性。MDT认为肿瘤累及腹腔干、肝总动脉、脾动脉、胃左动脉,紧贴胃十二指肠动脉,侵犯脾静脉汇入门静脉处,未累及肠系膜上动脉(图1)。根据指南推荐意见[1],该患者为交界可切除胰腺癌,肿瘤与胃十二指肠动脉紧贴,直接行改良Appleby手术难以获得阴性切缘。与患者及其家属充分沟通后,行改良FOLFIRINOX方案(氟尿嘧啶+亚叶酸钙+奥沙利铂+伊利替康)的新辅助化疗,3个疗程后重新评估,各项肿瘤指标不同程度降低,CA19-9降至272.5 U/ml;但肿瘤体积缩小不明显,大小36 mm×29 mm;后续给予序贯长程放化疗(2 Gy/次,25次;吉西他滨),血液肿瘤指标均明显下降,CA19-9 48.4 U/ml,肿瘤缩小至27 mm×14 mm;后续再予吉西他滨+白蛋白紫杉醇(AG方案)3个疗程,期间给予替雷利珠单抗(200 mg/3周×5次),血液肿瘤指标继续下降,CA19-9 13.7 U/ml,肿瘤继续缩小至13 mm×9 mm。共7个多月新辅助治疗后,血液肿瘤指标基本降至正常范围,肿瘤显著缩小。术前PET-CT检查结果提示肿瘤仍有活性,但无远处转移(图2)。MDT再次评估肿瘤的可切除性,基于以下几点决定行改良Appleby手术+部分门静脉置换术:(1)肿瘤未累及胰头,无远处转移;(2)肿瘤侵犯腹腔干、肝总动脉、脾动脉近端和胃左动脉,但肝固有动脉、肠系膜上动脉未累及;(3)腹腔干根部未见肿瘤浸润;(4)新辅助治疗后肿瘤明显缩小,胃十二指肠动脉远离肿瘤,未被侵及;(5)肿瘤仍侵犯脾静脉汇入门静脉处;(6)上腹部未见动脉走行变异(图3)。


2020年11月20日患者于全身麻醉下行改良Appleby手术+部分门静脉人工血管置换术(视频1)。术中全程游离胃十二指肠动脉,游离肝总动脉远心端、肝固有动脉,并清扫周围淋巴结,夹闭肝总动脉后,肝固有动脉充盈、有搏动,打通门静脉右前壁与胰腺颈部后方间隙,紧贴胃十二指肠动脉切断胰腺颈部,切断肝总动脉靠近胃十二指肠动脉发出处的近端,游离门静脉和肠系膜上静脉并阻断,使用人工血管替换受侵部分门静脉,自远心端向近心端游离肠系膜上动脉,沿主动脉向头侧解剖腹腔干根部,自腹腔干根部切断,将肿瘤在内的胰腺体尾部连同脾脏一并顺行整块切除,术中保留胃右动脉和胃网膜右动脉以保证胃部的血供(图4)。


HPA:肝固有动脉,SMV:肠系膜上静脉
术后病理学检查结果显示为腺鳞癌,肿瘤体积2.3 cm×2.0 cm×2.0 cm,切面灰白色,质硬,部分区域呈暗红,肿瘤坏死率约40%,浸润至胰腺周围软组织,可见神经侵犯,未见明确脉管癌栓,切缘未见肿瘤累及,肿块周围淋巴结可见癌转移(1/11),第12a组淋巴结未见转移(0/4)。术后未予抗凝治疗,超声检查结果显示门静脉通畅、血流速度正常。患者恢复平稳,于第6天进食半流质后出现少量乳糜漏(约100 ml/d),予以禁食、肠外营养支持治疗6 d后痊愈。患者上腹部饱胀不适症状消失,术后1个月开始口服替吉奥联合替雷利珠单抗,患者体重增加,术后3个月随访复查,肿瘤指标均正常,上腹部增强MRI及CT检查均未发现肿瘤复发征象(图5)。
指南中指出,术前新辅助治疗成为交界可切除和局部进展期胰腺癌的标准治疗方式[1]。据报道,对于新辅助治疗后序贯肿瘤切除的交界可切除胰腺癌,联合静脉切除如能达到R0切缘,患者的生存获益与可切除患者相当[2]。然而,化疗方案、治疗周期、是否联合放疗、手术时机及治疗个体化等诸多问题的选择,仍值得深入探讨[3]。本例患者初始采用改良FOLFIRINOX方案3个疗程后,虽然肿瘤指标有一定程度下降,但肿瘤体积未见明显缩小。序贯长程放化疗(2 Gy/次,25次;吉西他滨)后,血液肿瘤指标显著下降,肿瘤体积明显缩小。我们考虑到放疗所致的纤维化可能会增加手术难度及应尽可能使CA19-9恢复正常水平,于是在放化疗后序贯了3个疗程的化疗。该患者前期3个疗程的改良FOLFIRINOX方案的治疗效果欠理想,因此,我们未延续改良FOLFIRINOX方案,而更换为AG方案。经过新辅助治疗后,获得肿瘤体积显著缩小、血液肿瘤指标基本正常的理想疗效。这种“三明治”法新辅助治疗方案是否适用于诱导化疗效果欠理想的交界可切除或局部进展期患者,值得开展进一步临床研究。另外,新辅助治疗的周期数也值得深入探讨。Okada等[4]开展改良FOLFIRINOX化疗的周期数对交界可切除胰腺癌疗效影响的研究,4周期组与8周期组R0切除率分别为60%和40%,提示新辅助化疗周期并非越多越好。我们认为,新辅助治疗的疗程应根据疗效、患者一般情况等因素综合考虑,确定个体化的化疗周期数。新辅助治疗可使肿瘤释放抗原引发T淋巴细胞活化及肿瘤微环境变化,引发抗肿瘤免疫反应,联合免疫治疗可能协同优化新辅助化疗效果[5]。在本例患者接受AG方案化疗期间,尝试给予联合免疫治疗(替雷利珠单抗200 mg/3周),然而免疫治疗究竟能否发挥协同作用需要后续临床研究结果证实。
所有作者声明不存在利益冲突





















