
版权归中华医学会所有。
未经授权,不得转载、摘编本刊文章,不得使用本刊的版式设计。
除非特别声明,本刊刊出的所有文章不代表中华医学会和本刊编委会的观点。
女,3岁,因"发热、咳嗽9 d,呼吸急促4 d"入院。患儿入院前9 d出现发热伴咳嗽,入院前8 d在院外口服头孢羟氨苄颗粒治疗,咳嗽加重,体温不退。入院前5 d于当地医院拍胸X线片提示"右肺炎症",给予静脉滴注头孢美唑抗感染,入院前4 d患儿出现呼吸急促,换用头孢哌酮舒巴坦联合阿奇霉素抗感染。入院当日患儿呼吸急促较前加重,体温高达39.9 ℃,复查胸X线片提示"右肺炎症加重并右侧胸腔积液",转入我院。患儿既往体健。
入院体检:体温39.8 ℃,脉搏150次/min,呼吸70次/min,血压110/65 mmHg(1 mmHg=0.133 kPa),体重19.5 kg。患儿精神不振,呼吸急促,咽部充血,吸气三凹征阳性,右肺呼吸音减低,语颤增强,叩诊浊音,心腹查体未见异常。
外院检查,血常规:白细胞计数(WBC) 9.24×109/L,中性粒细胞0.84,红细胞计数(RBC) 3.58×1012/L,血红蛋白(Hb) 102 g/L,血小板计数(PLT) 103×109/L, C反应蛋白(CRP) 235 mg/L。肺炎支原体抗体:1∶32。入院诊断:右肺肺炎并右侧胸腔积液。
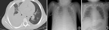
患儿入院当天血气分析pH:7.53,氧分压(PO2) 7.85 kPa,二氧化碳分压(PCO2) 4.39 kPa,碱剩余(BE) 5 mmol/L,降钙素原2 μg/L,CRP 153 mg/L,D–二聚体3.015 mg/L,余正常。冷凝集实验1∶128(+),肺炎支原体抗体1∶256。胸部CT:双肺炎症,右肺实变伴胸腔积液(图1)。冷凝集试验及肺炎支原体抗体结果支持支原体感染,CRP及降钙素原明显增高,提示合并细菌感染。外院曾给予多种头孢类抗生素及阿奇霉素治疗,考虑存在耐药菌感染,给予美罗培南联合红霉素抗感染治疗。


入院第2天,患儿双肺出现较多中小水泡音,并且面部、腹部、四肢水肿,考虑出现系统性毛细血管渗漏,给予输注羟乙基淀粉堵漏、维持循环。查血常规:Hb 63 g/L、PLT 77×109/L,WBC 19.03×109/L,中性粒细胞0.824。尿常规:隐血+、蛋白++。生化系列:总蛋白43.10 g/L、白蛋白20.52 g/L、总胆红素13.1 μmol/L、间接胆红素7.9 μmol/L、天冬氨酸转氨酶85 IU/L、丙氨酸转氨酶10 IU/L、肌酐47 μmol/L、尿素氮4.91 mmol/L、乳酸脱氢酶1 290 IU/L;红细胞沉降率36 mm/1 h。予输注白蛋白、补钾,第3天复查胸X线(图2)较前无明显好转,胸部超声提示左侧胸腔积液,考虑不排除存在耐药球菌感染,加用万古霉素。第4天,患儿出现面色苍黄,巩膜黄染,呼吸急促,约60次/min,鼻翼扇动,吸气三凹征阳性,心率140次/min左右,心音有力,各瓣膜听诊区未闻及杂音,肝脏肋下3 cm,剑突下5 cm,质韧,脾肋下2 cm,质韧。血常规:RBC 0.72×1012/L、Hb 44 g/L,PLT 142×109/L,网织红细胞0.015 7,Coombs试验+,尿常规:隐血(++),蛋白(+)。总蛋白46.25 g/L、白蛋白25.73 g/L、总胆红素43.6 μmol/L、间接胆红素35.8 μmol/L、天冬氨酸转氨酶108 IU/L、丙氨酸转氨酶11 IU/L、肌酐41.6 μmol/L、尿素氮4.69 mmol/L,床旁B超提示双肾实质回声增强,腹腔积液。骨髓细胞学检查提示感染骨髓象,粒系胞质见紫红色较粗中毒颗粒,红系增生相对偏低,占16.8%。考虑患儿严重贫血,组织供氧不足,拟输注洗涤红细胞,但患儿血型鉴定困难,反复配血不成功。给予了冲击剂量的甲泼尼龙20 mg/kg及人免疫球蛋白1 g/(kg·d),2次。第5天,RBC降至0.60×1012/L、Hb 28 g/L,网织红细胞0.022 9。患儿出现神志恍惚,烦躁不安,端坐呼吸,持续鼻导管吸氧下血氧饱和度(SPO2)降至0.75~0.80,立即给予机械正压通气,气管插管时见有粉红色泡沫样痰涌出,并发急性呼吸衰竭、心力衰竭。当日再次交叉配血成功,连输洗涤红细胞3 d。第6天,患儿Hb升至42 g/L,第7天升至61 g/L,第8天升至70 g/L,网织红细胞0.155 0,心力衰竭逐渐纠正、溶血渐停止,机械通气6 d,复查X线片明显好转(图3),予停用呼吸机,拔除气管插管。住院26 d,Hb逐渐升至102 g/L,网织红细胞降至0.076 0,周身水肿逐渐消退,体温正常,治愈出院。最近一次复查Hb 125 g/L左右,无任何后遗症。
出院诊断:(1)右肺肺炎并右侧胸腔积液;(2)溶血性贫血。
本例患儿降钙素原增高提示细菌感染,冷凝集试验及支原体抗体增高提示合并支原体感染,在疾病进展及治疗过程中出现进行性贫血、黄疸及尿色加深,实验室检查出现血胆红素及乳酸脱氢酶升高[1], Coombs试验阳性,故诊断肺炎、溶血性贫血成立,考虑为细菌、支原体感染相关的自身免疫性溶血性贫血。
儿童肺炎合并自身免疫性溶血性贫血共检索出3篇文献[2,3,4],均为国外文献,其中,肺炎支原体感染2例,肺炎链球菌感染1例。肺炎支原体感染相关溶血性贫血与自身免疫反应有关,文献报道支原体抗体与冷凝集素存在一定的交叉性[5],溶血的出现及严重程度与高滴度的冷凝集相关[6],冷凝集素水平越高,溶血的可能性越大。但如果接近常温时冷凝集素仍保持较高活性,即使冷凝集素较低也可能出现溶血。本例冷凝集素为1∶128,出现严重溶血,血红蛋白下降明显,考虑与此有关。细菌感染也可导致自身免疫性溶血。Bacon等[4]报道1例患儿经抗生素及外科手术治疗,清除感染灶后,没有经过激素、血浆置换或丙球治疗,血红蛋白很快升高。分析原因为细菌感染后,浆细胞产生的抗红细胞抗体导致微循环中红细胞的破坏增加及炎性介质抑制红细胞的生成,从而引起贫血。
感染相关的溶血性贫血一般临床过程较温和且常为自限性,随着有效抗生素的应用及输血逐渐恢复[1,3,7]。Gehrs和Friedberg[1]报道,在自身免疫性溶血性贫血的患者中,输注浓缩红细胞能导致进一步溶血,临床应予重视。对于严重贫血导致心肺功能衰竭的患者,可以在血液加温至37 ℃,并且保持患者体温正常的情况下输注,以减少溶血的发生。有学者发现在激素治疗开始后48 h内,红细胞表面的抗体数量减少并且免疫球蛋白也可抑制自身抗体的产生。所以,如配型不成功可予以糖皮质激素及免疫球蛋白输注可提高输血成功率。另外,Daxbock等[8]报道,抗生素对于自身免疫性溶血的治疗是有益的。本例患儿在经过强有力抗感染的前提下,并且输注免疫球蛋白及糖皮质激素后,才配血成功并最终痊愈。另外本例患儿D–二聚体增高,出现高凝状态,Gursel等[9]报道,高凝状态是支原体感染的重要并发症。提醒临床医生,如果重症肺炎患儿出现D–二聚体增高,一定要提高警惕。
出现感染相关难治性溶血性贫血时还可以选择其他治疗方法,包括血浆置换,应用细胞毒药物及免疫球蛋白等,但疗效不确定。总之,支原体及细菌肺炎可发生溶血性贫血,这类患者出现血红蛋白下降或末梢循环不良反应,应考虑溶血可能,因此,应提高本病的认识,积极进行相关检查,及早明确诊断。





















