
鳃裂眼面综合征(OMIM号:113620)为TFAP2A基因(OMIM号:107580)致病性变异导致的一种罕见遗传病,临床上以单侧或双侧的颈部鳃裂皮肤缺损、眼部畸形、独特面容为特征性表现,并常有肾脏、耳部、皮肤、神经和免疫系统的异常。国外报道100余例,国内尚无报道。
版权归中华医学会所有。
未经授权,不得转载、摘编本刊文章,不得使用本刊的版式设计。
除非特别声明,本刊刊出的所有文章不代表中华医学会和本刊编委会的观点。
患儿 男,12岁2月龄,因"生长发育落后12年余"就诊于浙江大学附属儿童医院遗传罕见病联合门诊。患儿系其母第1胎第1产,因母孕34周胎膜早破而早产,出生过程无窒息及抢救,Apgar评分不详。出生体重2.5 kg,出生体长52 cm。出生时即发现患儿双侧颈部皮肤有一约1 cm×1 cm大小皮肤异常,似瘢痕,皮表略凹陷,低于周围皮肤,肤色基本正常。患儿上唇较上翘,似有一瘢痕;右鼻侧可见针尖大小洞口,可有液体流出。生后因缺氧、喂养困难、胃食管反流、鼻泪管畸形(左侧鼻泪管先天性缺如,右侧鼻泪管开口于鼻外侧)等原因于我院头颈外科住院治疗,行鼻泪管重建术,好转后出院。家长还发现患儿耳后和头顶部肿块,无明显疼痛,无发热、呼吸困难、呕吐等不适,家长未予重视。近2年来,家长觉得肿块逐渐增大,高出皮肤。12年来患儿体弱多病,自小不善与人交流,体格发育较正常同龄儿落后,17月龄学会爬行,24月龄才会走,智力较同龄人落后,未上学。
体格检查:身高140.4 cm(约相当于同龄同性别正常儿童身高值的第3百分位),体重28.6 kg,身材匀称,肤色红润,脸形瘦长,前额部较多毛发,发际线低,眉毛浓重,并连眉,眼距偏宽、鼻梁无塌陷,弓形上唇、上唇上翘,人中处似有瘢痕,高颚弓,低位耳伴过度耳后旋,耳廓畸形,呈招风耳状。头部及耳后可触及7颗肿块,每颗直径1~2 cm,大小不等,部分活动度较差,似与骨骼相连。双侧颈部皮肤各可见约1.5 cm×1.5 cm片状对称性异常,似瘢痕,较周围皮肤凹陷,肤色稍深(图1)。心肺听诊未见异常,腹部平软,肝脾无明显肿大。全身毛发较正常同龄儿童多,两手小指、拇指内弯。四肢肌张力5级,神经系统检查未见异常。能简单交流,听力粗测无明显障碍。


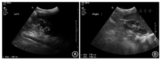
当地和本院辅助检查:血尿常规、肝肾功能、离子类、血气分析、电解质、甲状腺功能、TORCH、尿GC/MS遗传代谢筛查均正常范围或阴性。腹部超声显示左肾集合系统分离1.5 cm,左肾9.3 cm×4.5 cm;右肾形态偏小,为7.9 cm×3.0 cm(图2)。头颅CT示丘脑有小钙化灶。X线检查未见胸部明显异常或异位胸腺。头部肿块当地活检病理结果提示为"皮脂腺瘤"(未见具体病理报告)。


曾查染色体核型正常,我院染色体芯片检测未见染色体微缺失或微重复。利用安捷伦外显子芯片进一步行全外显子测序(苏州铂金埃尔默医学检验所)检测,发现患儿6号染色体(chr6∶10404798)上TFAP2A基因(OMIM号:107580)第4号外显子区域发生c.689G>C杂合变异。遗传信息学分析该位点变异导致TFAP2A蛋白质的230位精氨酸被脯氨酸替代(p.Arg230Pro)。该位点变异已报道为鳃裂眼面综合征(branchio-oculo-facial syndrome,BOFS)的致病变异[1]。对其父母家系验证结果显示其父母均无类似变异(图3)。根据美国医学遗传学与基因组学学会遗传变异分类标准与指南评估,该患儿基因变异为致病性变异(pathogenic),致病性分级为"强"(PS1+PS2)。


图上方核苷酸序列为正常序列;图中红色圆圈处为变异位点
诊断:BOFS(OMIM号:113620)
Milunsky等[2]对30个家庭的41例BOFS患者进行了总结分析,提出该罕见病的临床诊断标准:(1)颈部鳃裂皮肤缺损;(2)眼部畸形;(3)特征性面部表现。以上任两个主要临床表现加以下任一临床表现即可确诊:(1)异位胸腺;(2)1级亲属为BOFS患者。本例临床表现有着颈部鳃裂皮肤缺损(颈部1.5 cm×1.5 cm片状缺失),眼部畸形(先天性鼻泪管阻塞和异位),典型的BOFS面部特征(眼距过宽、假性唇裂等),并伴有肾脏畸形、全身多毛症状、低位耳伴后旋过度等临床表现,符合以上3条临床诊断主要标准,但由于对该疾病认识不足,依靠分子遗传学检测提示才做出正确诊断。因此,对颈部鳃裂皮肤缺损、眼部畸形和特征性面容患儿,需要考虑到BOFS可能。
TFAP2A基因位于第6号染色体短臂第2区第4条带的第3亚带,其编码合成转录因子AP-2-alpha。AP-2-alpha为基因编码家族中的一个转录因子,其作用被证实为在胚胎生长过程中,表达于迁移前或迁移的神经嵴细胞[3],通过与易激动的增强子相互作用调控选定基因的转录过程[4],从而调控胚胎眼睛、耳朵、颜面、躯体、淋巴系统和神经管等发育。因此,当TFAP2A基因位点发生变异时,患者可出现包括眼睛、耳朵、颜面部的异常,大部分患者还表现有异位胸腺、肾脏发育不全、多毛症和骨骼系统畸形等。该基因由7个外显子组成,Milunsky等[2]发现不同类型TFAP2A基因变异所致的临床表现存在差异(其变异形式包括缺失变异、错义变异、移码变异):当TFAP2A基因为微缺失时(缺失3.2 Mb),患者缺乏典型的唇裂及腭裂临床表现;TFAP2A基因发生错义变异或移码变异时,患者的临床表现为典型的颈部鳃裂皮肤缺损、眼部畸形和特征性面容;变异位点分析时,发现大部分变异位点发生于4号外显子上,占82%;位于5号外显子的变异比例仅占14%;其余位点如2号外显子和7号外显子,仅占4%。本例患儿是6号染色体上10404798位点TFAP2A基因4号外显子变异(c.689 G>C),为致病性变异,该变异导致了第230位氨基酸由精氨酸变异成了脯氨酸(p. Arg230Pro),检查父母均未见该位点变异,是一个新发变异,查阅文献未见同一位点变异患者的报道。本例临床表现上与其他位于4号外显子位点变异的患者相似:颈部鳃裂皮肤缺损、鼻泪管阻塞和异位、特征性面部容貌(眼距宽、低位耳、浓眉等)、假性唇裂、肾脏异常及骨骼等多发畸形。因此,诊断非常明确。本例患儿还有多发性皮脂腺瘤,然而查阅国内外文献未发现BOFS合并皮脂腺瘤报告,多发性皮脂腺瘤与BOFS的相关性还有待进一步临床观察与研究。
临床上有部分罕见病与该病具有相似的表型,如鳃-耳-肾综合征、15号环染色体病、重复3q综合征等。鳃-耳-肾综合征由于EYA1、SIX1和SIX5基因变异引起,其临床表现主要为耳部异常、鳃弓异常,以及肾畸形,还可出现外耳畸形、鳃囊肿和(或)鳃瘘管,以及输尿管反流等临床表现[5];15号环染色体病是由于染色体15q26.2出现5.5 Mb的基因缺失,临床表现可体现出严重的产前和产后生长发育迟缓、内眦距过宽、耳朵畸形、小头畸型和智力低下等,个别患者还会有先天性心脏病和肾功能异常[6];重复3q综合征的基因变异关键区域位于3q26.31~3q27.3,其导致的主要临床表现为先天性心脏病、发育迟缓、泌尿生殖器畸形、小头畸形、非典型的面部特征、低位耳等[7]。本例CT或X线平扫未提示异位胸腺的存在,家族成员均无此类病史,根据该病诊断标准,并不能完全诊断为BOFS。因此,进一步分子遗传学诊断非常重要。对于怀疑该病的患者,可进一步行心脏超声、腹部超声以及智力测试等检查,可排除心脏、肾脏和智力方面的异常,同时可行基因检测,以利于明确诊断和遗传咨询,并为进一步治疗奠定基础。
所有作者均声明不存在利益冲突





















