
探讨儿童2019新型冠状病毒感染的CT影像学特征。
回顾性分析2020年1月16日至2月6日深圳市第三人民医院收治的15例2019新型冠状病毒感染患儿的临床资料及胸部CT影像资料。分析2019新型冠状病毒感染患儿CT影像肺部病变分布位置、病变形态等特征。
15例患儿中男5例、女10例,年龄4~14岁,其中初诊发热者5例、无症状者10例;鼻拭子或咽拭子病毒核酸初诊检测均阳性。初诊胸部CT影像,6例未见病变;9例显示肺部炎症,其中小结节磨玻璃影7例、斑片磨玻璃影2例。治疗3~5 d复查,病毒核酸转阴6例,其中2例患儿胸部CT炎症较前吸收减少,3例患儿胸部CT仍未见病灶,1例无明显变化;病毒核酸仍阳性者9例,其中6例胸部CT炎症表现无明显变化,3例复查胸部CT新见炎症,均表现为小结节磨玻璃影。
儿童感染2019新型冠状病毒临床症状不典型,其早期影像学多表现为小结节状磨玻璃影。对于儿童2019新型冠状病毒感染胸部CT及病毒核酸动态复查很重要。
版权归中华医学会所有。
未经授权,不得转载、摘编本刊文章,不得使用本刊的版式设计。
除非特别声明,本刊刊出的所有文章不代表中华医学会和本刊编委会的观点。
2019年12月湖北省武汉市开始暴发2019新型冠状病毒感染疫情,并迅速蔓延至中国多个省份以及其他国家[1,2]。深圳市第三人民医院2020年1月以来陆续收治2019新型冠状病毒感染病例。现通过分析15例经深圳市疾病预防控制中心确诊为2019新型冠状病毒感染患儿的临床资料及胸部CT影像资料,分析儿童2019新型冠状病毒感染的CT影像学特征。
收集2020年1月16日至2月6日深圳市第三人民医院收治的15例经深圳市疾病预防控制中心确诊为儿童2019新型冠状病毒感染的病例资料,进行回顾性病例总结。2019新型冠状病毒感染诊断标准符合国家卫生健康委员会"新型冠状病毒感染的肺炎诊疗方案(试行第五版,修正版)"[3],本研究经深圳市第三人民医院伦理委员会批准,伦理批号:深圳三院伦审论文字[2020-010]号,豁免患儿及家属知情同意。
采用日本东芝TSX-101A 64层螺旋CT。扫描参数为120 kV,管电流自动调节,螺距0.8,矩阵512×512,显示视野(field of view,FOV)320 mm×320 mm,层厚5.0 mm,层距1 mm,由肺尖到肺底连续扫描。扫描结束后以1 mm高分辨率肺窗重建。(1)发热患儿在发热就诊时行初次胸部CT检查;对于未发热患儿,均在病毒核酸初次筛查时行初次胸部CT检查。(2)入院后治疗3~5 d再次复查胸部CT。(3)所有影像学资料均在医学影像信息系统上由放射科2名副主任医师或主任医师共同观察肺部病变分布位置、形态。
通过回顾病历收集临床资料。(1)病毒核酸检测经鼻拭子或咽拭子采样,采用实时荧光定量反转录-PCR方法进行,在CT检查前1 d或当天进行。(2)外周血血常规采用CT检查前1 d或当天的检验结果。(3)临床分型按照国家卫生健康委员会"新型冠状病毒感染的肺炎诊疗方案(试行第五版,修正版)"相关临床分型标准[3],分为轻型、普通型、重型、危重型。
非正态分布的计量资料用M(范围)描述。
表1可见15例患儿中男5例、女10例;年龄7(4~14)岁。15例患儿均有疫区旅行史或确诊2019新型冠状病毒感染患者接触史,其中有确诊患者接触史者12例、疫区旅行史者3例。初诊发热患儿5例、鼻塞1例、咳嗽1例、无明确临床症状8例。15例患儿初诊时均行外周血血常规检查,其中白细胞计数偏低8例、白细胞计数正常7例。15例患儿初诊病毒核酸结果均为阳性,临床分型3例为轻型、12例为普通型。

15例2019新型冠状病毒感染患儿的临床资料及胸部CT影像变化
15例2019新型冠状病毒感染患儿的临床资料及胸部CT影像变化
| 例序 | 性别 | 年龄(岁) | 首发症状 | CT影像病变表现 | 病毒核酸 | 外周血白细胞计数 | |||
|---|---|---|---|---|---|---|---|---|---|
| 初诊 | 复查 | 初诊 | 复查 | 初诊 | 复查 | ||||
| 1 | 男 | 10 | 咳嗽 | 斑片影 | 吸收 | 阳性 | 阴性 | 偏低 | 正常 |
| 2 | 男 | 7 | 发热 | 磨玻璃影 | 相仿 | 阳性 | 阳性 | 偏低 | 偏低 |
| 3 | 女 | 10 | 发热 | 磨玻璃影 | 相仿 | 阳性 | 阳性 | 正常 | 正常 |
| 4 | 女 | 10 | 无 | 未见病灶 | 磨玻璃影 | 阳性 | 阳性 | 偏低 | 偏低 |
| 5 | 女 | 4 | 无 | 磨玻璃影 | 吸收 | 阳性 | 阴性 | 偏低 | 正常 |
| 6 | 女 | 6 | 无 | 未见病灶 | 磨玻璃影 | 阳性 | 阳性 | 正常 | 正常 |
| 7 | 男 | 14 | 发热 | 磨玻璃影 | 相仿 | 阳性 | 阳性 | 正常 | 正常 |
| 8 | 女 | 5 | 发热 | 未见病灶 | 未见病灶 | 阳性 | 阴性 | 正常 | 正常 |
| 9 | 女 | 9 | 鼻塞 | 未见病灶 | 未见病灶 | 阳性 | 可疑 | 正常 | 正常 |
| 10 | 女 | 12 | 无 | 磨玻璃影 | 相仿 | 阳性 | 阳性 | 正常 | 正常 |
| 11 | 男 | 5 | 无 | 磨玻璃影 | 相仿 | 阳性 | 阳性 | 偏低 | 正常 |
| 12 | 女 | 7 | 发热 | 未见病灶 | 未见病灶 | 阳性 | 阴性 | 偏低 | 正常 |
| 13 | 男 | 8 | 无 | 磨玻璃影 | 相仿 | 阳性 | 阴性 | 正常 | 正常 |
| 14 | 女 | 7 | 无 | 斑片影 | 相仿 | 阳性 | 阳性 | 偏低 | 正常 |
| 15 | 女 | 4 | 无 | 未见病灶 | 磨玻璃影 | 阳性 | 阳性 | 偏低 | 偏低 |
15例患儿中,6例初诊胸部CT影像未见明确病灶;9例出现肺部炎性浸润,考虑为新型冠状病毒肺炎(COVID-19)。9例COVID-19的CT影像表现:病变大多位于胸膜下,表现为胸膜下斑片状影或者单个结节状磨玻璃影,部分边缘可见晕征;其中病变表现为小结节磨玻璃影7例,病变表现为斑片影2例(图1);其中病灶局限于单个叶段的有4例,局限于2个叶段的有4例,超过2个叶段的有1例。


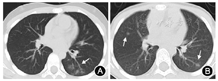
15例患儿治疗3~5 d后复查病毒核酸、外周血血常规及胸部CT:白细胞计数偏低3例,白细胞计数正常12例。病毒核酸转阴性者6例,其中2例患儿胸部CT炎症较前吸收减少(图2),3例患儿肺部仍未见病灶,1例患儿胸部CT炎症无明显变化;病毒核酸仍阳性者9例,其中6例患儿胸部CT炎症表现较前无明显变化,3例患儿复查胸部CT新见炎症表现,均表现为小结节磨玻璃影且均局限于单个叶段(表1)。


例4 女,10岁,无发热,因接触确诊患者后行病毒核酸筛查阳性入院,入院治疗4 d复查病毒核酸仍阳性,复查CT新见左肺上叶小结节磨玻璃影(图2);例6女,6岁,无发热,因接触确诊患者后行病毒核酸筛查阳性入院,入院治疗5 d复查病毒核酸仍阳性,CT新见右肺中叶小结节磨玻璃影;例15女,4岁,无发热,因接触确诊患者后行病毒核酸筛查阳性入院,入院治疗5 d复查病毒核酸仍阳性,CT新见左肺下叶小结节磨玻璃影。
至2020年2月6日治愈出院5例,出院患儿住院治疗时间12(7~17)d,仍有10例患儿住院治疗。
2019新型冠状病毒感染者临床症状常见为发热,部分可表现为鼻塞或腹泻等临床症状,极少部分可无明确临床症状。Wang等[4]报道138例COVID-19患者临床常见症状中发热136例(98.6%),而本组15例2019新型冠状病毒感染患儿中发热者仅5例,比例较文献报道偏低可能由于文献中多为成人,而本组均为儿童且多为接触COVID-19患者后感染,属于第二代或第三代感染有关;这提示儿童感染2019新型冠状病毒后临床症状与成人相对不同,临床症状不典型,部分初诊时可无明确临床不适,因此对于无症状的儿童可疑感染病例,需结合流行病学史进行筛查。
2019新型冠状病毒感染影像学检查包括CT及X线片检查;由于X线片检查对磨玻璃影为主的早期影像改变漏诊率高,故主要用于重症患者床旁检查;CT检查更有利于肺部病变的早期发现,尤其是高分辨率CT(high-resolution CT,HRCT),其空间分辨率更高,对于斑片影及小结节磨玻璃影显示更清晰[5],本组病例中初诊表现为COVID-19者均为斑片影及小结节磨玻璃影,CT检查能更早发现病变,提示在对有疫区流行病学史或确诊患者接触史的疑似病例的儿童影像学筛查中,应首选胸部CT,有助于早期诊断及早期治疗。COVID-19影像表现与其他病毒性肺炎有相似点,早期多表现为胸膜下多发小斑片影、磨玻璃影。进展期CT表现发展为双肺多发实变影、磨玻璃影及肺间质改变,以双肺下叶多见,小叶间隔增厚及纤维化,也可表现为"铺路石"征,严重者可出现弥漫肺实变,呈"白肺"改变,胸腔积液相对少见[6,7]。磨玻璃影为COVID-19胸部CT主要的早期影像学特征,在病程早期(发病3~5 d),肺内炎性病变多表现为肺外周胸膜下受累,其原因可能与病毒性肺炎病毒早期主要累及终末细支气管和呼吸细支气管周围的肺实质,进一步累及整个肺小叶以及弥漫性肺泡损伤等病理机制有关[8]。本组初诊及复查胸部CT影像有炎性浸润的多表现为小结节状磨玻璃影,且病变较少累及多个叶段,仅1例患儿病变累及多个叶段,这可能与本组患儿症状相对轻有关,肺部炎症改变亦较成人轻且进展期影像改变不典型。因此在具有流行病学史儿童CT影像筛查中,肺部发现小结节状磨玻璃影应考虑为可疑病例。
病毒核酸检测是2019新型冠状病毒感染的确诊标准之一[3]。Liu等[9]报道12例COVID-19患者,其呼吸道检测到的2019新型冠状病毒载量与肺部疾病严重程度呈正相关;但本组初诊COVID-19复查核酸仍阳性者肺内病变无明显变化,与文献报道有所不同,这可能与本组病例多为普通型有关,因此对于普通型患者,其病毒核酸持续阳性,肺部病变可无明显变化;而本组中初诊胸部CT未见炎症表现的患儿动态复查病毒核酸仍阳性,复查胸部CT可见肺部新发炎症,可能考虑为初诊时患儿为病毒感染早期,而复查病毒核酸仍阳性,考虑为病毒感染进展期,此时病变已累及肺部实质导致肺部炎症出现;因此在临床中若初诊胸部CT无症状患儿病毒核酸检测持续未转阴,应注意动态复查胸部CT了解是否有新发肺部炎症;病毒核酸检测结果与胸部CT炎症改变密切相关。由于本组病例数较少,所得结果有待进一步验证。
所有作者均声明不存在利益冲突





















