
1例以"打喷嚏,伴间断吐奶1周"为主诉的17日龄新生儿于2020年2月5日就诊于武汉儿童医院新生儿内科隔离病房,其父母于入院前3 d出现发热伴咳嗽,确诊新型冠状病毒肺炎患者。患儿早期临床症状轻,病程中出现一过性发热及腹泻,无严重并发症,反复咽拭子和肛拭子2019新型冠状病毒核酸检测阳性,肺部影像学提示炎性改变,诊断为新生儿新型冠状病毒肺炎,提示感染后新生儿呼吸道及消化道中均可存在病毒。需要关注新生儿作为感染者和传播者的可能性,同时也提出针对新生儿新型冠状病毒肺炎的医疗及家庭看护问题。
版权归中华医学会所有。
未经授权,不得转载、摘编本刊文章,不得使用本刊的版式设计。
除非特别声明,本刊刊出的所有文章不代表中华医学会和本刊编委会的观点。
患儿 男,17日龄,因"打喷嚏,伴间断吐奶1周"于2020年2月5日入住武汉儿童医院新生儿内科隔离病房。患儿为其母第1胎第1产,出生胎龄39周,发病前无特殊不适,人工喂养。入院前1周患儿出现打喷嚏,伴有吐奶,无发热、咳嗽及喘息等表现,未诊治,症状一直不能缓解。病程中精神反应下降,吃奶量减少,排尿排粪均正常。入院前3 d其父母出现发热伴咳嗽,于外院咽拭子2019新型冠状病毒(2019 novel coronvirus, 2019-nCoV)核酸检测阳性,并有肺部影像学炎症改变,均确诊为新型冠状病毒肺炎(COVID-19),予隔离治疗。
入院体格检查:足月儿貌,体重4 070 g,头围35.5 cm,身长45 cm,体温36.2 ℃,呼吸45次/min,脉搏145次/min,血压70/46 mmHg(1 mmHg=0.133 kPa)。神志清楚,反应一般,呼吸稍促,无口唇发绀及三凹征,皮肤颜色红润,浅表淋巴结未触及肿大。头型正常,前囟1.5 cm×1.5 cm,张力正常。双侧瞳孔等大等圆,对光反射存在。双肺呼吸音粗,未闻及啰音。心律齐,心音有力,未闻及杂音,腹部外形正常,未触及包块,肠鸣音正常。四肢末端温暖,活动自如,肌张力正常,双侧膝腱反射对称引出。
实验室检查(括号内为参考值范围):2月5日(入院当天)血常规白细胞7.66(5.00~20.00)×109/L,血红蛋白132(115~135)g/L,红细胞3.9(3.5~5.4)×1012/L,中性粒细胞比例为0.15(0.31~0.52),淋巴细胞比例升高,为0.73(0.31~0.48),血小板399(242~378)×109/L;超敏C反应蛋白<0.75(0~3)mg/L;降钙素原0.08(≤0.05)μg/L;白细胞介素(interleukin, IL)-2,IL-4,IL-6,IL-10,肿瘤坏死因子-α(tumor necrosis factor-α, TNF-α),干扰素-γ(interferon-γ, IFN-γ),免疫全套IgG、IgA、IgM、C3、C4均在正常范围;T淋巴细胞、B淋巴细胞及NK细胞检测,CD3,CD8,CD4,NK细胞绝对值均在正常范围,CD4淋巴细胞比例升高,为0.450(0.142~0.370),CD4/CD8升高,为2.36(0.96~2.05)。肝、肾功能,电解质,凝血功能,尿、粪常规均正常。常见呼吸道病原咽拭子检测如流行性感冒(简称流感)病毒A、B型,副流感病毒1、2、3型,腺病毒,呼吸道合胞病毒抗原直接免疫荧光检测均阴性。
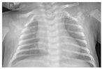
影像学检查:2月5日头颅CT、肝脾及心脏彩色多普勒超声心动图未见异常;但胸部CT提示肺门影无增大,两肺纹理增强,分布均匀,双肺野内可见散在小条状模糊影,见图1。2月10日(入院第6天)床旁胸部X线片提示左下、右上肺少许模糊影,相比入院当天CT,病灶有吸收好转,见图2。




2019-nCoV核酸检测结果:2月7日咽拭子核酸检测阳性,未做肛拭子核酸检测;2月8日咽拭子和肛拭子核酸检测均阳性;2月9日咽拭子核酸检测阴性,肛拭子核酸检测阳性。
诊断及治疗经过:患儿入院后结合密切接触史(其父母均为确诊COVID-19患者)、临床表现和2019-nCoV核酸检测结果,确诊为COVID-19。患儿入院后进入新生儿内科隔离病房观察治疗,给予温箱保暖隔离,密切监测心率、呼吸、血压、血糖、出入量等,进行对症支持治疗(维生素K1及补液等)。患儿入院后第1、2天有呕吐表现,第3天开始缓解,吃奶好,第4天有一过性体温37.8 ℃,同时伴有腹泻,黄色稀粪,6次/d,加用蒙脱石散口服后次日恢复正常。病程中无咳嗽,精神食欲较好,生命体征稳定,尿量正常。入院7 d无呕吐、发热、咳嗽及呼吸困难表现,精神食欲好,无异常体征。
以"新型冠状病毒肺炎""新生儿"为关键词检索截至2020年2月12日中国知网、维普网、万方等相关数据库,未见新生儿确诊COVID-19报道,本例为我国首例新生儿确诊的COVID-19患儿。本例患儿为新生儿期发病,表现为呼吸道和消化道非特异性症状,病程经过较轻,实验室及影像学检查符合COVID-19改变,与已报道儿童病例表现一致[1,2]。影像学显示入院第6天肺部病灶吸收好转,提示若没有明显的呼吸困难等进展症状和血氧饱和度的波动,则选择做床旁胸部X线片复查了解肺部病变,期望减少CT检查可能给新生儿带来的未来伤害。本例患儿父母均为确诊COVID-19患者,家庭聚集传播途径明确。患儿入院第3、4天咽拭子2019-nCoV核酸检测阳性,入院第4、5天肛拭子核酸检测阳性,结合患儿临床表现,提示存在呼吸道和消化道同时感染可能,已有此类相关传播途径报道[3,4]。需警惕在家庭护理中,如喂养等环节,用具消毒不充分及看护人员手卫生不足引起经口传播可能,但也不排除与新生儿长期卧位,呼吸道分泌物下咽有关。患儿入院后进入COVID-19隔离病房治疗,单间隔离,入温箱增加隔离屏障,专职医护人员按三级防护照护,医疗护理操作时严格手卫生和感染防护,定期开窗通风,患儿排泄物和分泌物放入感染专用垃圾袋,并用消毒剂喷洒袋内外表面后入感染专用垃圾桶。因为新生儿感染症状不典型和缺乏相关报道,容易忽视新生儿感染,通过本例新生儿病例,特别提出家庭中需重视新生儿COVID-19的看护及管理问题。针对目前2019-nCoV感染流行情况,家庭成员或密切接触者有疑似或确诊COVID-19时,需警惕新生儿感染可能。因新生儿感染后可能表现为无症状或不典型症状,对新生儿应采用保护性隔离措施,进行专人专护,避免密切接触。在喂养、清洁口腔、更换尿不湿或其他有身体接触行为时,应注意个人防护,加强手卫生,新生儿护理用具用后即进行有效消毒,减少家庭成员间传播。医疗机构应对入院2019-nCoV感染新生儿进行隔离,并减少医务人员流动性。加强病区通风、清洁消毒工作,在基础防护的同时,若进行可能发生体液、分泌物喷射或飞溅,如吸痰、气管插管等工作时,要求加强防护。病区实行封闭式管理,停止一切探视、对家长授课、母乳喂养等行为。需要强调的是,患儿咽拭子病毒核酸检测阴性后仍有肛拭子病毒核酸检测持续阳性,因此不能仅靠咽拭子病毒核酸检测阴性提前解除隔离,建议监测至肛拭子病毒核酸检测阴性。无明显症状新生儿可作为传染源,患儿产生的废弃物、分泌物及排泄物等应做好标记,严格按感染性医疗废物处理。患儿出院后对所在房间及护理单元进行终末消毒。
所有作者均声明不存在利益冲突





















