
探讨肺部超声在新生儿新型冠状病毒肺炎(COVID-19)诊断中的应用。
对2020年1月31日至2月25日武汉儿童医院新生儿内科收治的5例COVID-19新生儿进行回顾性病例总结,归纳其临床资料,在入院时、病程中、出院前进行床边肺部超声检查,并与同期胸部X线片或肺部CT结果对比,观察不同检查结果间的差异。
5例患儿中男3例,年龄1~18日龄,临床表现主要为呼吸道和消化道症状。入院时肺部超声提示胸膜线异常(5例)、不同程度肺水肿(5例),表现为B线增多、融合,肺间质综合征,1例伴随小范围肺实变。入院时肺部CT检查表现为无明显实质浸润(2例),小条状或斑片状高密度影(2例),1例为磨玻璃样改变。病程中和出院前复查肺部超声提示超声征象均较前减轻,与同期胸部X线片结果一致。
新生儿COVID-19肺部超声主要表现为B线的增多、聚集,胸膜线的异常,少数有肺间质综合征及小范围肺实变。肺部超声在对肺水肿的检测上,敏感度优于胸部X线和肺部CT检查,并可对病程经过进行监测及评估。
版权归中华医学会所有。
未经授权,不得转载、摘编本刊文章,不得使用本刊的版式设计。
除非特别声明,本刊刊出的所有文章不代表中华医学会和本刊编委会的观点。
新型冠状病毒肺炎(COVID-19)是2019新型冠状病毒引起的急性呼吸道传染病,该病作为急性呼吸道传染病已纳入《中华人民共和国传染病防治法》规定的乙类传染病,按甲类管理[1]。临床表现以发热、干咳为主,严重者快速进展为急性呼吸衰竭,因此,快速了解患者肺部状况对于临床医师评估病情,及时采取治疗措施至关重要。近年来,肺部超声越来越多地应用于新生儿肺部疾病的诊断和鉴别诊断[2,3]。现总结武汉儿童医院2020年1月31日至2月25日收治的5例新生儿COVID-19的肺部超声表现,并与同期胸X线片或肺部CT结果进行对比,进一步明确肺部超声在新生儿COVID-19中的实用性及临床应用价值。
收集2020年1月31日至2月25日华中科技大学同济医学院附属武汉儿童医院新生儿内科收治的,经病毒核酸检测及肺部CT或胸部X线检查确诊为COVID-19的5例新生儿病例,对其临床资料进行回顾性总结分析。COVID-19诊断及出院标准符合国家卫生健康委员会"新型冠状病毒肺炎诊疗方案(试行第六版)"[4]。本研究已获得武汉儿童医院伦理委员会批准(2020009),患儿家属均签署知情同意书。
收集患儿病历信息包括出生胎龄,发病日龄,主要临床表现,治疗转归情况,咽拭子和肛拭子病毒核酸检测结果,患儿入院时、病程中、出院前肺部超声检查结果及同期肺部CT或胸部X线检查结果。
采用迈瑞DC-7便携彩色多普勒超声诊断仪,配置高频线阵探头(探头型号L12-4,频率4~12 MHz)。于患儿安静状态下取仰卧、侧卧或俯卧位,以腋前线、腋后线及双乳头连线为界,将每侧肺脏分成前上、前下、侧上、侧下、后上、后下6个区域,探头垂直于胸壁,垂直肋间隙纵行扫查及沿肋间隙水平扫查双肺12个肺区[5],每个区域均保存静态及动态图像,检查时做好人员及仪器探头的消毒和隔离。检查时间点为入院时、病程中、出院前,主要观察胸膜线、A线、B线、肺间质综合征、肺实变、支气管充气征及胸腔积液等超声征象[5]。由两位高年资超声医生共同观察、判读,并将肺部超声检查结果及同期肺部CT或胸部X线片结果,在对肺部病灶阳性检出方面进行比较。
5例患儿均为足月出生,其中男3例,年龄1~18日龄;均在武汉市内生活。4例患儿母亲确诊COVID-19,1例患儿母亲COVID-19疑似(有发热,肺部影像学改变)。患儿临床表现不典型,有发热、呼吸急促、吐奶、腹泻,其中2例有拒奶、呛奶,3例精神反应欠佳(表1)。患儿均接受多次2019新型冠状病毒核酸检测,包括咽拭子和肛拭子,其中例1、2、4、5咽拭子阳性,例3肛拭子、咽拭子同时阳性。例1~3已治愈出院,分别住院16、16、15 d,例4、5仍在院治疗,已分别住院13、7 d,病情平稳。

新型冠状病毒肺炎新生儿临床资料、入院时肺部超声及肺部CT结果
新型冠状病毒肺炎新生儿临床资料、入院时肺部超声及肺部CT结果
| 例序 | 性别 | 年龄(日龄) | 临床表现 | 治疗 | 肺部超声 | 肺部CT | ||||
|---|---|---|---|---|---|---|---|---|---|---|
| 胸膜线异常 | A线 | 融合B线 | 肺间质综合征 | 肺实变 | ||||||
| 1 | 男 | 18 | 吐奶、呛咳、发热 | 监护、抗感染、对症支持治疗 | 欠光滑 | 存在 | 有 | 无 | 无 | 未见实质性浸润 |
| 2 | 女 | 1 | 呛奶、精神反应欠佳 | 监护、对症支持治疗 | 欠光滑 | 消失 | 有 | 无 | 无 | 未见实质性浸润 |
| 3 | 男 | 12 | 喷嚏、吐奶、腹泻 | 监护、增加喂养、对症支持治疗 | 增厚 | 消失 | 有 | 无 | 无 | 双肺小条状模糊影 |
| 4 | 男 | 3 | 发热、精神反应欠佳 | 抗感染、对症支持治疗 | 模糊 | 消失 | 有 | 有 | 无 | 右肺稍高密度结节 |
| 5 | 女 | 1 | 拒奶、精神反应欠佳 | 监护、静脉营养支持、对症支持治疗 | 消失 | 消失 | 有 | 有 | 有 | 双肺不均匀磨玻璃影 |
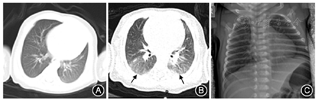
入院时5例患儿均出现局部胸膜线的病变,如欠光滑、增厚、模糊或消失,同时均出现不同程度的肺水肿征象,超声表现为密集程度、区域分布不一的B线,例5于双肺后上区、后下区胸膜下出现局灶性肺实变,实变肺组织内可探及充气支气管征象,与肺间质综合征改变毗邻、并存,见图1。患儿病程中、出院前复查肺部超声提示,与入院当日相比,肺水肿不同程度减轻,肺实变区消失,肺泡间质综合征程度明显减轻,见图2。


入院时肺部CT检查2例患儿未见实质性浸润,3例有肺部病变(1例为小条状模糊影,1例为胸膜下结节状稍高密度影,1例为双肺感染改变,可见不均匀磨玻璃样影)。病程中及出院前患儿复查胸部X线检查均提示影像学改变好转,程度较前减轻,见图3。超声检查5例患儿均可见胸膜线异常,均提示肺水肿(融合B线或肺间质综合征),1例患儿可探查到较表浅的肺实变征象。经临床治疗后所有患儿复查肺超声,各项声像图指标较前趋于好转。患儿入院时肺部超声与肺部CT结果见表1。


COVID-19患者病变部位大部分位于双肺外带胸膜下,病灶多发,但成人分布更广泛、弥散[6],成人COVID-19主要肺部病变的超声声像图特征为肺间质综合征、肺实变和胸腔积液[7]。当炎症引起肺内气体减少、肺泡内含液量增多,间质及周围血管水肿,超声图像上表现范围不等的B线,能反映肺脏含水量增加[8],随着病情的进展,渗出液增多,肺泡塌陷,纤维组织增生,形态学上出现不同程度肺实变。本组5例患儿肺部超声均提示有不同程度肺水肿改变,其中3例肺部超声表现为散在B线,部分肺区发现融合B线,提示患儿存在轻度肺水肿;1例患儿部分肺区可见密集的B线呈火箭征,考虑为肺间质综合征,提示该患儿存在中度的肺水肿,这也印证了关于肺水肿是COVID-19主要的病理表现这一说法[9];1例患儿双肺后区可见胸膜下小片状实变,周围组织呈肺间质综合征,其声像图表现与新生儿呼吸窘迫综合征类似,但病变范围较局限,仅累及双肺后区。住院第6天复查超声双肺未见实变区,病灶较前减小,双肺后下区可见多发密集分布的B线,呈肺泡间质综合征表现。本组5例患儿均出现不同范围的胸膜线增厚、模糊,考虑与病灶主要位于胸膜下或肺野外带,炎性渗出累及胸膜导致局部的胸膜反应[10],异常肺部超声征象在肺下叶为主,与余成成等[11]报道基本一致,这可能与病理性肺炎早期累及终末细支气管和呼吸性细支气管等病理机制有关。病程中患儿肺部B线逐渐减少,胸膜线和A线恢复,实变区消失,证实临床操作中肺部超声对病情评估的可行性。
本组2例新生儿肺部CT仅提示肺纹理增多,但肺部超声通过多切面扫查发现部分肺区轻度肺水肿,提示了肺部超声有较强敏感性,但病例数较少,需大样本量进行灵敏度分析。患儿出现的胸膜线异常、B线增多、胸膜下小片状肺实变并非疾病特异性超声改变,新生儿肺炎、呼吸窘迫综合征等疾病也可出现不同程度超声影像学改变。例2为1日龄新生儿,肺部影像学改变应考虑新生儿湿肺可能,因此需要结合患儿临床表现、治疗转归及其他辅助检查进行综合判断。
目前COVID-19主要影像学检查手段包括CT及胸部X线检查,两者均有一定局限性,一是存在辐射,尤其对新生儿的影响较大;二是对于危重症等,不能搬动的患者操作上有一定难度。肺部超声检查作为实时、快捷、无创的检查手段,有望与肺部CT或胸部X线检查结合,提高疾病诊断效率,并可及时进行病情评估。需要注意的是,受肺内气体的影响,超声无法发现位于深部未达胸膜的肺部病变[12],但近期研究表明,儿童及成人COVID-19患者病变部位均多位于双肺外带胸膜下[7],儿童患者病灶都相对局限。超声检查对操作者技术有一定依赖,操作医师需要实施标准化检查,留存图像,规范阅片,以期减少误差。
所有作者均声明不存在利益冲突





















