
1例主诉为"腹泻、便血3年"的12岁患儿就诊于西安市儿童医院消化内科,通过肠镜发现肠道黏膜慢性炎症伴糜烂,经病理组织活检确诊为组织胞浆菌病,行胱天蛋白酶募集域蛋白9(CARD9)基因测序提示复合杂合突变。经对症及抗真菌治疗,预后良好。
版权归中华医学会所有。
未经授权,不得转载、摘编本刊文章,不得使用本刊的版式设计。
除非特别声明,本刊刊出的所有文章不代表中华医学会和本刊编委会的观点。
患儿 男,12岁,因"腹泻、便血3年"于2018年7月就诊于西安市儿童医院消化内科。患儿入院前3年无明显诱因出现腹泻,粪便呈稀糊样,含有黏液及脓团,表面可见鲜红色血液,5~10 ml/次,1次/d,伴腹痛,以脐周及下腹部为主,呈钝痛,程度较轻,便后稍有缓解,于多家医院反复求医,给予抗菌药物及常规益生菌、黏膜修复药物,并长期口服中药(具体成分不详),病情无好转,患儿逐渐出现面色苍黄、明显乏力,无发热、咳嗽、盗汗、消瘦。患儿既往无特殊疾病及特殊用药史。患儿系其母第2胎第2产,足月自然出生,出生体重3.5 kg。无家族传染病、遗传病及类似疾病史。
体格检查:体温36.6 ℃,呼吸20次/min,脉搏90次/min,血压90/60 mmHg(1 mmHg=0.133 kPa),体重31 kg,发育正常,营养中等,神志清,精神欠佳,面色苍黄,重度贫血貌,全身皮肤黝黑,浅表淋巴结未触及肿大,口唇苍白,口腔黏膜可见较多白色斑膜状物,不易拭去。咽无充血,扁桃体无肿大。心、肺查体阴性。腹平软,脐周及下腹压痛阳性,无反跳痛及肌紧张,肝、脾肋下未及,肠鸣音4~5次/min。
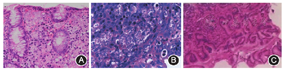
辅助检查(括号内为参考值范围):血常规示白细胞计数10.1×109/L[(5.0~12.0)×109/L]、嗜酸粒细胞计数0.75×109/L[(0.05~0.50)×109/L]、嗜酸粒细胞百分比0.075(0.005~0.050)、血红蛋白59 g/L(120~140 g/L)、血小板计数640×109/L[(125~350)×109/L]。粪常规示褐色稀糊便,白细胞1~2个/高倍镜视野,红细胞2~3个/高倍镜视野,粪隐血阳性,虫卵未检出,见大量真菌,粪便艰难梭菌毒素阴性。3次粪培养均阴性。红细胞沉降率52 mm/1 h(0~15 mm/1 h)。(1,3)-β-D葡聚糖838 ng/L(0~60 ng/L)。血总IgE 4560×103 U/L[(0~199)×103 U/L]。尿常规、肝肾功能、电解质、心肌酶、C反应蛋白、降钙素原均正常。抗链球菌溶血素O、类风湿因子、抗核抗体、抗中性粒细胞胞质抗体、血巨细胞病毒DNA定量、EB病毒DNA定量、体液免疫、细胞免疫、结核分枝杆菌DNA、结核分枝杆菌抗体、肝炎病毒系列、梅毒抗体、人免疫缺陷病毒抗体均阴性。结核斑点试验、结核菌素试验、曲霉菌半乳甘露聚糖检测阴性。腹部B超示右侧结肠区肠壁黏膜层增厚,回声增强,考虑出血性炎症改变;腹腔积液,下消化道积粪,未见肠套叠及梗阻征象;肝胆胰脾未见异常,可见数枚系膜淋巴结。腹部CT示升结肠肠壁水肿增厚。胸部CT平扫未见明显异常。胃十二指肠镜下食管可见白色斑点状物附着(图1A),盐水冲洗不易脱落,慢性浅表性胃炎。结肠镜提示结肠息肉(图1B),结肠炎(图1C)。肠道病理活检示可见黏膜内浆细胞、淋巴细胞、嗜酸粒细胞及中性粒细胞浸润,形态提示组织包浆菌感染(图2A),碘酸雪夫(PAS)染色阳性(图2B)。消化系统疾病易感基因检测示胱天蛋白酶募集域蛋白9(caspase recruitment domain-containing protein 9,CARD9)基因c.1204_1205insC(p.C402Sfs*2)和c.1118G>C(p.R373P)复合杂合突变(图3)。






注:箭头所示为突变位点
诊疗及随访:患儿长期腹泻、便血,经抗菌药物及常规益生菌、黏膜修复药物治疗无效,病程迁延不愈,合并重度贫血,查体示口腔黏膜可见较多白色斑膜状物,不易拭去,粪便见大量真菌,红细胞沉降率增快,(1,3)-β-D葡聚糖升高,结合病理,诊断为肠道组织胞浆菌病。治疗上给予清淡饮食、输红细胞悬液,止血、补液等对症支持治疗。抗真菌治疗方案为静脉滴注两性霉素B[初始剂量0.1 mg/(kg·d),1次/d,每日加倍,4 d后加量至0.8 mg/(kg·d),即25 mg/d],共11 d;后因肾脏损伤改为静脉滴注两性霉素B脂质体[初始剂量0.1 mg/(kg·d),1次/d,每日加倍,4 d后加量至1 mg/(kg·d),即30 mg/d],共6 d。出院时患儿无腹泻、便血、腹痛等不适。出院后改为口服伊曲康唑胶囊,剂量为早0.2 g和晚0.1 g,总疗程共3个月。患儿出院后无腹痛等不适,粪便性状正常,无肉眼血便。2周后复查血红蛋白浓度93 g/L,1个月后复查血红蛋白浓度107 g/L,3个月后复查血红蛋白126 g/L,3次复查粪隐血均为阴性。1年后复查胃肠镜未见明显异常,病理活检示肠道黏膜未见明显异常(图2C)。
组织胞浆菌病是由真菌荚膜组织胞浆菌引起的一种感染性疾病,常侵犯肺部,严重者可累及全身单核巨噬细胞系统。我国自1955年起可见散在病例报道,属少见病,肠道组织胞浆菌病在临床更为罕见[1]。
组织胞浆菌孢子经呼吸道吸入,多数被机体防御机制消灭,如免疫功能低下或感染菌量过大则可广泛播散到其他器官,可累及全身单核巨噬细胞系统,发展成播散型组织胞浆菌病,其中胃肠道受累率高达90%,口腔至肛门的淋巴组织均可受累,尤其是淋巴组织丰富的末端回肠。结肠镜检查可见病变肠段黏膜充血、水肿、出血、溃疡、肠腔狭窄等改变。组织胞浆菌病确诊有赖于真菌培养或组织病理学检查证实有病原菌存在,在巨噬细胞或白细胞中发现有荚膜的酵母菌有确诊价值。通常只有30%~50%的患儿表现出胃肠道症状,如发热、体重减轻、腹痛、便血和腹泻。鉴于该病症状、血清学和肠镜检查均无特异性,故需要与细菌性肠炎、阿米巴肠病、过敏性紫癜、炎症性肠病、肠结核、肠道白塞病等疾病相鉴别,因此肠道组织活检病理学检查非常重要。
2007年组织胞浆菌病治疗指南建议两性霉素B及其脂质体是治疗首选药物,病情改善后可口服伊曲康唑,能够取得良好疗效。本例患儿经两性霉素B、两性霉素B脂质体和伊曲康唑等药物治疗,症状消失,效果明显,但仍需要长期随诊。CARD9在中性粒细胞、树突细胞和巨噬细胞中高度表达,是一个重要的衔接蛋白。CARD9通过与B细胞淋巴瘤因子10、黏膜相关淋巴组织淋巴瘤转运蛋白1结合形成复合体,激活核因子κB信号通路,在抗真菌免疫中发挥重要作用。目前已报道常染色体隐性遗传CARD9基因突变与真菌感染有关。Glocker等[2]在2009年首次报道慢性皮肤黏膜念珠菌病患儿中存在CARD9基因突变。本例患儿行基因测序提示CARD9基因c.1204_1205insC(p.C402Sfs*2)和c.1118G>C(p.R373 P)复合杂合突变。c.1204_1205insC(p.C402Sfs*2)变异未见文献报道,该变异为移码变异,会改变基因开放阅读框,使蛋白质的合成提前终止,且该位点下游存在无义变异致病的报道[3]。c.1118G>C(p.R373P)变异为人类基因突变数据库报道的已知变异,Drewniak等[4]对1例13岁的亚洲念珠菌性脑膜炎患儿进行研究发现携带该杂合变异。CARD9基因突变所致真菌感染具有发病早、病程迁延不愈等特点,如果临床医师发现患儿真菌感染具有以上特点,应积极建议患儿筛查免疫缺陷病相关遗传基因,为后期病因诊断和治疗提供重要指导。
所有作者均声明不存在利益冲突





















