
版权归中华医学会所有。
未经授权,不得转载、摘编本刊文章,不得使用本刊的版式设计。
除非特别声明,本刊刊出的所有文章不代表中华医学会和本刊编委会的观点。
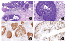
患者28岁,因性生活后出血1年于2017年3月19日入院。1年前患者出现性生活后阴道少量流血,无腹痛、腰酸等不适。患者月经规律,孕5产2,分别于2007、2016年行剖宫产术分娩。妇科检查:外阴无异常,阴道通畅;子宫颈后唇见约2.0 cm×1.5 cm大小的菜花状肿物,有触血;子宫正常大小,无压痛,双侧宫旁、附件区未扪及明显异常。血清鳞状细胞癌抗原(SCC-Ag)水平为3.8 μg/L。液基薄层细胞学检查(TCT)诊断为高级别鳞状上皮内病变(HSIL)。行阴道镜检查及子宫颈3、6、9点活检后病理诊断为:(子宫颈)HSIL累及腺体。遂于2017年3月23日行子宫颈锥切术,术后病理检查镜下观:子宫颈弥漫HSIL,累及腺体(图1);部分腺体由复层上皮组成,全层细胞的胞质含有黏液,部分胞质含空泡,部分胞质透明,细胞核拥挤,轻度核异型(图2),可见核分裂象及凋亡小体。免疫组化法检测:HSIL组织中弥漫表达p16、p63蛋白,非典型的产生黏液的细胞中弥漫表达p16蛋白(图3),局灶表达p63蛋白(图4)。细胞增殖相关核抗原(Ki-67)指数达90%。原位杂交法检测HPV16、18型阳性。术后病理诊断:子宫颈产生黏液的复层上皮内病变(stratified mucin-producing intraepithelial lesion,SMILE),合并HSIL并累及腺体,切缘阴性。


SMILE于2000年由Park等[1]首次报道,至今文献报道不足百例。2014年WHO女性生殖器官肿瘤分类中,明确将SMILE归类为子宫颈原位腺癌的变型[2],其细胞特征与典型的原位腺癌有重叠,但相对更细微,容易漏诊[1,2,3,4]。SMILE可能是子宫颈移行区的储备细胞高度异型增生形成的上皮内病变[1,3]。
SMILE患者相对年轻,Onishi等[3]报道的12例SMILE患者年龄介于30~66岁,平均42岁。SMILE可有接触性阴道出血、不规则阴道流液等症状,也可无症状。
SMILE罕见单独存在,常合并HSIL或典型的原位腺癌,也可合并浸润性癌[1,3,4]。阴道镜、细胞学检查一般仅见合并的鳞状上皮及腺上皮的病变[3,4]。SMILE的诊断最终依靠病理检查,镜下病变由复层上皮组成,全层细胞的胞质含有黏液,细胞核具有非典型性、深染,常见核分裂象及凋亡小体[4]。免疫组化法检测有助于SMILE与不成熟鳞状上皮化生鉴别,SMILE弥漫表达p16蛋白和低分子细胞角蛋白CAM5.2,局灶表达胰岛素样生长因子Ⅱ mRNA结合蛋白3(IMP3),不表达或局灶表达p63蛋白,Ki-67指数增高[1,3],通常HPV16或18型阳性[2]。本例患者的SMILE瘤细胞弥漫表达p16蛋白,局灶表达p63蛋白,Ki-67指数高达90%;HPV16、18型阳性。
SMILE的治疗同典型的原位腺癌。若患者无生育需求,首选子宫全切除术;若有生育需求,行子宫颈锥切术,关注病变范围及切缘情况,术后通过阴道镜、细胞学检查及HPV检测密切随访[2]。本例患者仅28岁,酌情保留子宫,予以子宫颈锥切术,术后密切随访8个月无复发。





















