
盆底肌筋膜痛综合征是因盆底肌及筋膜系统病变引起疼痛,伴触发点形成为主要表现的疾病。由于该病症状非特异,多数妇产科医师对其认识不足,易造成误诊、漏诊,且治疗棘手。本文报道1例盆底肌筋膜痛综合征患者,经规范盆底康复治疗后疼痛仍持续存在,经多学科会诊后,加行超声引导下盆底肌和骨盆外肌筋膜触发点注射治疗后疼痛明显缓解。对该类难治性患者细致且专业的体格检查可发现骨盆外肌筋膜中与盆底肌筋膜共存的触发点,这是本例治疗成功的关键,经多学科多模式联合诊治获得成功,本例的经验值得借鉴。
版权归中华医学会所有。
未经授权,不得转载、摘编本刊文章,不得使用本刊的版式设计。
除非特别声明,本刊刊出的所有文章不代表中华医学会和本刊编委会的观点。
患者51岁,已婚,因“盆腔疼痛1年”于2020年12月就诊于北京协和医院。既往孕1产1,自然分娩,9年前因子宫颈上皮内瘤变行腹腔镜子宫切除术。1年前搬重物后出现下腹部、腰臀部及下肢疼痛,行针灸治疗略好转。现久坐后下腹部、会阴区疼痛,疼痛数字评分法(numerical rating scale,NRS)评7分,活动后腹股沟、大腿内侧麻木伴疼痛(NRS 7分),均为重度疼痛。当地医院行肌电图检查未见异常。自觉尿频,尿不净感,夜尿2~3次,排便急迫,稀便不能自禁,有排便不净感。患病以来睡眠欠佳。
妇科检查:外阴皮肤未见异常,窥具检查阴道黏膜未见异常,双合诊盆腔未及异常包块及压痛。疼痛相关查体:腰椎、骶髂关节及耻骨联合区无压痛。外阴皮肤、黏膜棉签试验无触痛。阴道单指检查:右侧肛提肌(levator ani)压痛NRS 8分,右侧闭孔内肌(obturator internus)压痛NRS 8分,右侧坐骨棘处压痛并向右侧臀部放射;左侧肛提肌压痛NRS 4分,左侧闭孔内肌压痛NRS 3分;阴道前壁尿道旁压痛NRS 3分;阴道后壁压痛NRS 2分。改良牛津肌力分级Ⅴ级,盆底肌张力增高(肌张力评级分为消失、减低、增高、强直)。
辅助检查:阴道分泌物细菌培养阴性。妇科B超检查见右侧卵巢囊肿1.1 cm×0.9 cm,形态尚规则,边界尚清,内透声差。盆腔常规MRI检查提示膀胱充盈可,形态正常,壁光整,未见明显增厚;双侧附件区未见明显异常信号;直肠壁未见明显增厚;双侧髂骨骨质信号无异常,双侧臀大肌及髂腰肌信号无异常改变;盆腔及腹股沟区未见异常肿大淋巴结;双侧髋关节少许积液。
结合病史、查体和辅助检查,诊断为:慢性盆腔痛(chronic pelvic pain,CPP),盆底肌筋膜痛综合征(myofascial pelvic pain syndrome,MPPS),子宫切除术后。建议先行妇产科盆底疼痛物理治疗和药物治疗。物理治疗的具体方案为:电刺激+生物反馈+磁刺激+手法治疗+辅助腹式呼吸和桥式等主动运动训练。电刺激参数为:(1)经皮神经电刺激(transcutaneous electrical nerve stimulation,TENS),80 Hz/120 μs,强度为不引起肌肉收缩的最大强度,持续10 min;(2)内啡肽镇痛解痉,1 Hz/300 μs,10 min。磁刺激参数为:(1)骶神经刺激,患者俯卧位,探头位于髂后上棘连线中点下2 cm(第3骶椎)处,频率15 Hz,10 min;(2)盆底肌磁刺激,坐位,采用盆底疼痛变频方案,第1阶段,频率10 Hz,刺激时间3 s,间歇时间3 s,串数80,休息时间10 s,第2阶段,频率30 Hz,刺激时间3 s,间歇时间6 s,串数80,能感觉到明显收缩的舒适的强度,共计20 min。手法松解肌筋膜:寻找盆底肌筋膜触发点(myofascial trigger points,MTrP),适当力度按压5~10 s,以患者能够接受为宜。药物治疗:阿米替林25 mg,每晚1次口服,后因过敏改为普瑞巴林75 mg,每日2次口服。本例患者先行电刺激+生物反馈治疗,每周2~3次,共3个月;后因疼痛缓解不满意改为磁刺激,每周2次,共约20次,期间配合手法治疗;治疗全程指导患者做腹式呼吸和桥式等主动运动训练。
经过以上盆底康复治疗6个月后,患者下腹疼痛和阴道疼痛较前明显减轻,NRS 3~4分;但是仍有运动后腹股沟区、臀部和腰骶部疼痛,下肢麻木感,不能久坐。为此组织了康复科、疼痛科、泌尿科以及心理科的多学科团队(MDT)协作诊治。再次查体:腰椎曲度可,未及明显压痛,改良Tredelenburg试验未见异常,直腿抬高试验未见异常;双侧腰大肌及髂腰肌止点压痛阳性,双侧腹直肌压痛阳性,双侧腘绳肌压痛阳性,双侧闭孔内肌压痛阳性,左侧腰方肌压痛阳性。
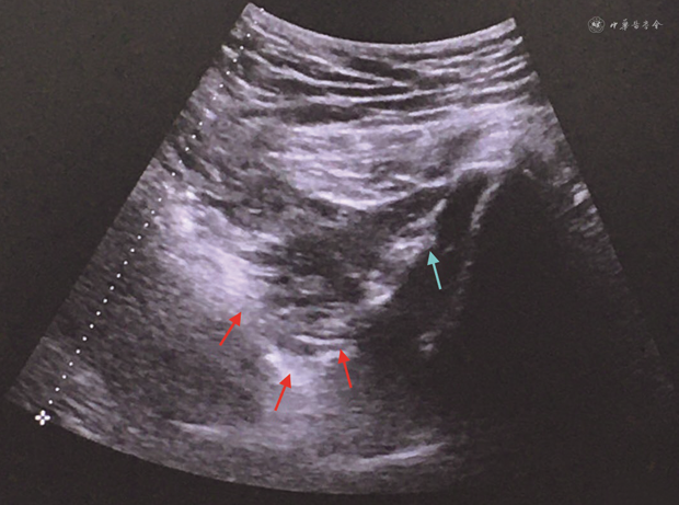
调整药物治疗方案+超声引导下盆底肌筋膜触发点和骨盆外肌筋膜触发点注射。药物治疗:盐酸度洛西汀肠溶胶囊20 mg、每晚1次+盐酸乙哌立松片50 mg、每日3次+洛索洛芬钠片60 mg、每日3次+强力天麻杜仲胶囊0.4 g、每日2次。超声引导下盆底肌筋膜触发点和骨盆外肌筋膜触发点注射:体表按压、触摸触发点,超声引导下避开重要血管神经进针到达触发点,患者有酸痛感,经以上双重定位后,先行干针触发点灭活,再局部注射混合溶液3 ml(复方倍他米松注射液1 ml+牛痘疫苗接种家兔炎症皮肤提取物注射液3.6 U+盐酸罗哌卡因注射液100 mg+甲钴胺注射液0.5 mg,生理盐水稀释至40 ml),同时在阴部神经管(Alcock管)处进行阴部神经阻滞。见图1。开始时每周治疗1次×4周(共4次),后隔周治疗1次×8周(共4次),再巩固治疗1次。患者共完成治疗9次,第1次治疗后疼痛即缓解20%,第2次后疼痛缓解40%;第3次治疗后疼痛强度缓解60%~70%、疼痛频率减少为原来的50%,疼痛范围减少。第7次治疗时疼痛缓解80%,自行停止口服药物。末次治疗时,日常活动疼痛NRS 1分,大小便症状明显缓解,结直肠肛门影响问卷(colorectal-anal impact questionnaire,CRAIQ-7)从治疗前的18.8分下降为12.5分,排尿影响问卷(urinary impact questionnaire,UIQ-7)从治疗前的29.2分下降为20.8分,膀胱过度活动症症状评分表(overactive bladder syndrome score,OABSS)从治疗前的3分下降为2分。查体骨盆内外的触发点压痛基本消失。


指导居家康复(核心力量训练+步行训练+盆底肌锻炼),方法为:臀桥,每日75个,25个为1组,共3组;快走,每日20 min;仰卧位骨盆摇摆训练,每日15 min,5 min为1组,共3组;腹部核心力量训练“死虫式(dead bug)”训练,每日60个,20个为1组,共3组;盆底肌锻炼,每日30 min,10 min为1组,共3组。治疗结束后半年随访疼痛无复发。
本文报道了1例较为典型的MPPS患者的诊治经过,治疗成功的关键是多学科多模式联合诊治,获得了疼痛的长期缓解。
CPP严重影响女性的身心健康和社会功能,患病率约为26%[1]。其疼痛原因复杂,涉及消化系统、泌尿系统、生殖系统、肌肉骨骼、神经系统等多个系统。CPP的主要病因是肠易激综合征、膀胱疼痛综合征或间质性膀胱炎、子宫内膜异位症、盆底肌筋膜痛,且常常合并存在[2]。当CPP患者的疼痛发作与运动或肌肉收缩(腰椎屈曲、伸展或侧向旋转)相关,查体发现盆底肌高张或无法自主放松盆底肌,特别是局部可及触发点时,就应高度可疑存在盆底肌筋膜痛[3]。
MPPS是指闭孔肌和肛提肌等盆底肌肉痉挛、紧张引起的疼痛,肌筋膜上存在高度敏感的触发点,按压时有疼痛并可放射至外阴、直肠或膀胱,甚至延伸至大腿和臀部。这类疾病常常缺乏明确的影像学和组织病理学表现。临床表现除疼痛外,常伴有尿频、排便疼痛、性交痛等刺激性症状[4]。研究表明,60%~85%的CPP患者查体可发现肛提肌和闭孔内肌肌肉压痛,活跃触发点的数量与疼痛强度显著相关;疼痛与下尿路症状程度之间有相关性,接受肌筋膜物理治疗后,下尿路症状可显著改善[5, 6, 7]。本例患者就诊之初即通过病史和查体诊断了MPPS,辅助检查除外了生殖道炎症、肿瘤等器质性疾病,疼痛原因可能与既往子宫切除手术创伤及剧烈活动的诱因相关。另外,患者的大小便症状和睡眠障碍等也可解释为与MPPS相关。另外,MPPS患者常伴有心理问题。来源于内脏或躯体的疼痛信号在反复传入脊髓和大脑的过程中,信号被放大、增强,同时,中枢下调疼痛抑制信号,使得神经系统对疼痛的反应性增高、疼痛超敏和中枢敏化,表现为疼痛泛化至盆腔外、睡眠障碍、情绪障碍,甚至心理疾病,如焦虑症和抑郁症等。因此,对此类患者可考虑使用抗惊厥药或抗抑郁药治疗,尤其是选择性5-羟色胺再摄取抑制剂或三环类抗抑郁药,有助于缓解情绪、睡眠和神经性疼痛症状,改善生命质量。
治疗前的体格检查非常重要,对所有CPP患者均有必要进行全面的肌肉骨骼系统的评估。如果只关注患者的内脏或器质性疼痛原因,而忽视中枢致敏性和肌筋膜功能障碍,可能会延误治疗,甚至让患者接受不必要的手术干预[8]。鉴于目前多数妇产科医师对盆腔区域的解剖缺乏足够的认识,评估技术或方法不一致,缺乏规范化流程,美国妇科泌尿协会(American Urogynecologic Society)推出了有关盆底及其相关肌肉骨骼的评估指南[9]。查体首先应进行姿势和步态的总体评估,医师不仅要触诊腹部、下背部、骶髂关节和耻骨联合等部位和结构,还要进行阴道单指触诊盆底肌(肛提肌、闭孔内肌和尾骨肌)的内诊。指南也指出,腰椎-骨盆-髋部肌肉骨骼是一复合整体,相互影响,如:闭孔内肌过度活跃会对肛提肌群产生影响,髋部肌肉疲劳、紧张、肌力改变时,也会增加盆底肌过度活跃和疼痛的风险。即使盆底肌内诊未发现异常,也可能是其他部位异常所致。有研究发现,基于筋膜连续性和力学传导特性,对于CPP患者行骨盆周围的肌筋膜松解治疗即能有效缓解疼痛,松解范围包括前方的腹内外斜肌和内收肌群,后方的背阔肌、胸腰筋膜和臀大肌[10]。本例患者由妇产科、康复科、泌尿科和疼痛科医师共同查体,结合肌电图和MRI检查,除外了脊柱、关节、神经系统疾病,细致且专业的检查发现了躯干部肌肉中与盆底肌共存的触发点,这也是本例治疗成功的关键点之一。本院以往的病例有些仅进行了盆底筋膜治疗而忽视了骨盆外肌筋膜的治疗,导致疗效有限或疼痛缓解时间短,本例的经验值得借鉴。
对于CPP,各国指南均推荐以患者为中心的多学科多模式联合诊治,治疗方法包括患者教育、药物治疗、锻炼和物理治疗、认知行为治疗、注射治疗(干针、局部麻醉药、糖皮质激素和肉毒素等)、针灸等。如果查体发现盆底肌筋膜痛,物理治疗则是一线治疗,方法包括:(1)会阴及盆底肌筋膜的手法按摩,通过对痉挛疼痛的盆底肌按压、拉伸、轻抚,减轻疼痛敏感性,舒展痉挛疼痛的肌肉筋膜,恢复血液供应,缓解疼痛;(2)物理治疗,如TENS、胫后神经刺激、磁刺激,放松盆底肌,促进局部血液循环,起到放松及镇痛的效果;(3)盆底肌生物反馈治疗;(4)其他治疗,包括凯格尔练习、姿势调整、核心稳定、拉伸、强化、柔韧性和协调性练习[11, 12, 13]。研究表明,肌筋膜物理治疗(myofascial physical therapy,MPT)有解剖学、神经生理学和心理等多重干预途径,疼痛缓解作用持久[14]。1项回顾性研究表明,对于存在盆底肌筋膜痛的CPP患者,经阴道物理治疗可使63%的患者疼痛缓解,缓解程度与治疗次数正相关[15]。另外,患者在完成集中的院内强化治疗后,为了保持疗效,学会自我锻炼和康复技巧也非常重要。本例患者进行系统盆底物理治疗后,疼痛程度明显缓解,在全身肌肉紧张痉挛减轻的大背景下,更容易找到触发点,对本例随后进行了触发点的注射治疗,疼痛得以进一步缓解,并教会患者后续的长期自我康复,拉伸、放松高张的肌群,加强与之拮抗的低张肌群,从而治疗和减少复发的危险因素,随访半年疗效满意。
MPPS的治疗关键是灭活触发点并去除致病因素。对于非侵入治疗(物理治疗和手法治疗)无效的患者,应该行侵入性治疗(干针和注射)。用于触发点灭活和神经阻滞的注射药物主要是局部麻醉剂和皮质类固醇,有多量成功的文献报道。其机制是通过破坏肌肉绷紧带重构肌肉,增加血流量;另一假说是机械破坏骨骼肌纤维中异常收缩元件来中断过度活跃的反射弧[16]。有研究纳入了186例CPP患者,尽管完成全疗程的物理治疗后仍未完全缓解疼痛,进行超声引导下的神经阻滞和触发点注射灭活,进一步缓解了疼痛并改善了盆底功能[17]。由于超声可实时呈现目标区域的软组织(如肌肉、韧带)和血管结构,能实时监测进针轨迹和注射药物的扩散,与盲穿相比,超声引导下的操作具有精准性更高、效果更确切的优势。超声引导技术操作简便易行、无放射性污染,在慢性疼痛介入治疗领域的应用逐渐增多[18]。本例患者采用手法触诊和患者对针刺的疼痛反应定位触痛点,结合超声对局部解剖的识别,对盆底肌触发点、阴部神经及躯干部肌肉的触发点进行了逐一灭活,前后共治疗9次,患者治疗期间停止了止痛药物的使用,取得了满意的止痛疗效,进一步印证了最初的诊断,对于难治性的盆底肌筋膜痛也有了更深层次的认识。
MPPS临床上容易漏诊误诊,物理治疗是一线治疗方法。本例为难治性疼痛患者,经多学科多模式联合诊治获得成功,经验值得借鉴。
陈娟, 崔旭蕾, 张雪, 等. 多学科协作诊治盆底肌筋膜痛综合征1例[J]. 中华妇产科杂志, 2023, 58(3): 218-221. DOI: 10.3760/cma.j.cn112141-20220602-00363.
所有作者声明无利益冲突





















