
版权归中华医学会所有。
未经授权,不得转载、摘编本刊文章,不得使用本刊的版式设计。
除非特别声明,本刊刊出的所有文章不代表中华医学会和本刊编委会的观点。
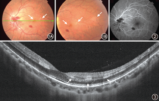
患者男性,37岁。左眼无明显诱因出现眼前黑影飘动伴视力下降3 d,于2015年9月6日在北京协和医院眼科就诊。患者双眼近视10年余。既往身体健康,无外伤史、无疾病家族史。眼部检查:视力:右眼-4.75 DS矫正至1.0,左眼-6.25 DS矫正至0.5;非接触性眼压:右眼17 mmHg(1 mmHg=0.133 kPa),左眼18mmHg。右眼查体未见明显异常。左眼结膜无充血,角膜清,角膜后沉积物(-),前房中深,房水闪光(-),浮游体(-),虹膜纹理清,瞳孔等大等圆,直径3 mm,对光反射稍迟缓,晶状体透明,玻璃体轻度混浊。眼底检查:豹纹样眼底,视盘边界欠清,色红,表面及其周边片状或火焰状出血,视网膜中央静脉增粗、迂曲,视网膜散在点、片状出血,黄斑旁可见边界欠清的楔形白色病灶(图1)。FFA:左眼动脉充盈大致正常(17 s),中央静脉充盈迟缓(静脉充盈完全时间为30 s),毛细血管轻度扩张。颞侧视盘及后极部散在荧光遮蔽(图2)。OCT检查提示:左眼黄斑中心凹鼻侧及颞侧旁中心区域内丛状层(inner plexiform layer,IPL)与外丛状层(outer plexiform layer, OPL)之间多个散在高反射带(图3)。OCT上黄斑带状高信号区域在FFA上未见异常表现(图2)。临床诊断:左眼急性黄斑旁中心中层视网膜病变(paracentral acute middle maculopathy,PAMM),视网膜中央静脉阻塞(central retinal vein occlusion,CRVO)非缺血型。辅助检查:血常规、肝肾功能、抗核抗体、红细胞沉降率、人类白细胞抗原B27及胸部正侧位X光照相均无明显异常。给予其口服强的松60 mg 1次/d、银杏叶片19.2mg 3次/d治疗,规律减药,定期门诊复查,患者自觉症状逐渐好转,3个月后北京协和医院眼科门诊复查,左眼矫正视力恢复至1.0,眼底检查大致正常(图4),视野检查提示鼻侧周边局部视野缺损(图5),OCT提示黄斑旁中心局部内核层较治疗前变薄(图6)。




PAMM是2013年由Sarraf等[1]首次提出并命名,并将其归为急性黄斑区神经视网膜病变(acute macular neuroretinopathy, AMN)的一种类型,他们首先对9例AMN患者的11只眼进行分析研究,将AMN按照频域光学相干层析成像(spectral-domain optical coherence tomography, SD-OCT)表现分为两种类型,1型即为PAMM,OCT上表现为黄斑区OPL及内核层(inner nuclear layer, INL)之间的高反射条带,随病程推进,可出现INL变薄,2型表现为OPL与外核层(outer nuclear layer, ONL)之间的病变,可出现ONL变薄,同时可累及椭圆体带及嵌合带。本例患者发病时OCT提示左眼黄斑旁IPL与OPL之间散在多个高反射,3个月后高反射消失,病变区域出现INL的变薄,该表现符合PAMM。
Chen等[2]发现9例PAMM患者可伴有糖尿病、高血压、镰刀红细胞型贫血等全身血管性疾病,同时患眼分别出现不同程度的缺血性视网膜疾病,例如:非增殖期糖尿病视网膜病变、视网膜中央动脉阻塞、视网膜中央静脉阻塞、视网膜血管炎及远达视网膜病变等疾病,这些疾病均存在黄斑区局部视网膜毛细血管网的阻塞、缺血可能。而AMN于1975年首次由Bos和Deutman[3]提出后,一直被认为是一个少见的独立疾病[4,5,6]。同时,二者不仅OCT的表现不同[1],而且累及人群亦有差异,有学者报道[1,7]AMN常常累及青年女性,可伴有发热、外伤、药物等引起的血压异常,而PAMM常累及年龄偏大且合并血管性疾病的男性。由此可见,越来越多的证据支持PAMM并不是一个少见的特殊疾病,而是血管性疾病在眼部的一种临床表现。
AMN发病可能与口服避孕药、外伤感染、肾上腺激素的应用及过度饮用咖啡因等因素有关[8,9],但PAMM的发病机制尚不十分明确。目前多数研究[2,10,11,12]认为,视网膜中层毛细血管网(intermediate capillary plexus, ICP)与视网膜深层毛细血管网(deep capillary plexus, DCP)对血液供应更加敏感,它们的缺血与PAMM密切相关。从解剖学上讲,ICP与DCP分别位于INL上方及下方,OPL/INL区域又与ICP紧密相连,因此ICP的缺血更易导致PAMM的发生[1,10,11]。同时,黄斑区视网膜的耗氧量较高,主要由密集的脉络膜血管供氧,氧气从脉络膜向视网膜扩散,扩散的程度与视网膜厚度呈负相关,并且黄斑旁视网膜较厚[13],那么任何引起黄斑区视网膜毛细血管网血液供应异常的疾病,都有可能导致PAMM的发生。PAMM在FFA检查中往往无异常表现,有学者认为FFA主要是视网膜表层血管网(surface capillary plexus, SCP)显影,而无法确切显示ICP或DCP的血流情况[14],已不建议将FFA作为检查PAMM的可靠手段,本例患者PAMM在FFA检查中亦未见异常。因此,能够显示黄斑区视网膜血供情况的OCTA和en face OCT便成为揭示PAMM发病机制的重要研究方向。OCTA可以清晰地显示视网膜内毛细血管网的层次及解剖结构,已有学者发现,PAMM患者在OCTA上显示的相应病变区域ICP或DCP存在缺血表现[15,16],同时en face OCT可以清晰地显示受累的视网膜区域毛细血管网密度下降[17],进一步证实了黄斑区视网膜ICP或DCP局部缺血是PAMM的发病机制。
2014年Rahimy等[13]首次应用SD-OCT对484例CRVO非缺血型患者进行研究,发现有25例(5.2%)患者存在PAMM,发病年龄平均(51.0±16.6)岁(19~78岁),他们认为CRVO非缺血型合并PAMM存在几个特点:患者发病年龄相对较轻、不伴随其他系统性疾病、凝血和相关炎症因子的实验检测未见异常、40%的患者可伴随睫状动脉阻塞。合并PAMM的CRVO可能是CRVO非缺血型与CRVO缺血型或CRVO合并睫状视网膜动脉阻塞的中间状态。本例患者为青年男性,临床表现为左眼眼前黑影飘动伴视力下降,眼底及FFA检查提示左眼CRVO表现,黄斑旁可见边界欠清的楔形白色病灶,OCT示左眼黄斑旁IPL与OPL之间多个散在片状高反射带,实验室检查未见异常,该患者左眼PAMM、左眼CRVO非缺血型诊断明确,同时符合Ehsan等报道的病变特点。患者经口服皮质激素、改善微循环的药物治疗后症状有所改善,病变区域出现INL的变薄。PAMM尚无明确统一的治疗方案,主要是对原发血管性疾病和系统风险的诊断、处理。随时间推移,PAMM病灶虽然可以慢慢吸收,但留下永久性的INL萎缩和旁中心暗点[18]。





















