
版权归中华医学会所有。
未经授权,不得转载、摘编本刊文章,不得使用本刊的版式设计。
除非特别声明,本刊刊出的所有文章不代表中华医学会和本刊编委会的观点。
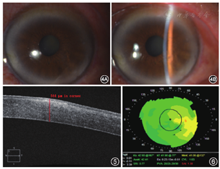
患者男性,77岁。因左眼无痛性视力下降2个月,于2016年5月9日就诊于苏州大学附属第一医院眼科。4个月前因右眼老年性白内障于本院行右眼超声乳化白内障摘除联合IOL植入术,术后恢复良好。否认全身疾病和既往眼部疾病史。全身体检未见异常。眼部检查:左眼裸眼视力为眼前60 cm指数,矫正无提高;眼压(非接触眼压计测量)为12.0 mmHg(1 mmHg=0.133 kPa),眼睑无红肿和内外翻、倒睫,睑板腺结构清晰,结膜无充血、水肿,角膜可见老年环,未见角膜血管翳,颞侧3点半方位可见浅层结节状胶样隆起,边界欠清,荧光素钠染色阴性,无角膜后沉着物,前房深,房水清,无房水闪光,虹膜纹理清晰,瞳孔圆,直径为3 mm,对光反应灵敏,晶状体混浊,眼底未见异常(图1)。左眼前节OCT检查:稍高密度结节位于角膜上皮下和Bowman层前(图2)。角膜地形图检查:左眼角膜高度不规则散光(图3)。右眼裸眼视力为0.6,眼压14.0 mmHg,角膜透明,前房深,虹膜纹理清晰,瞳孔圆,瞳孔直径为3 mm,对光反应灵敏,IOL在位,余未见明显异常。临床诊断:左眼Salzmann结节样角膜变性(Salzmann's nodular degeneration,SND),双眼老年性白内障,右眼白内障摘除IOL植入术后。因患者强烈要求行白内障摘除手术,在与患者及其家属充分沟通后,于2016年5月13日行左眼表层角膜切削术,术后配戴绷带镜,术中切除组织进行病理学检查(图4,图5,图6,图7)。术后3周,行左眼超声乳化白内障摘除联合IOL植入术。术后1个月复查,左眼裸眼视力为0.5。






1930年,Katz[1]根据Salzmann报告的病例,最早提出SND的诊断。SND是一种相对罕见的非感染性、慢性进展的角膜变性类疾病,单眼或双眼发病,可出现在角膜的任何部位,数目从1个到多个不等,多见于既往有眼部疾病的中老年妇女[2,3,4,5,6]。特征表现为角膜前弹力层之前的灰白色结节样隆起,一般肉眼可见。病理学检查发现变性区域主要为结构紊乱的胶原纤维,其密度较正常角膜基质高[7,8]。主要临床表现为患眼刺激症状,如异物感、疼痛等;合并高度不规则散光时,引起严重的视力下降;也可以无任何症状。临床诊断主要基于裂隙灯显微镜检查。
SND可能与慢性或反复发生的角结膜炎、手术创伤及角膜营养不良有关[9,10,11]。目前已知SND与睑板腺功能障碍(meibomian gland dysfunction,MGD)、Thygeson浅层点状角膜炎、春季卡他性角膜炎、丝状角膜炎、慢性葡萄膜炎、泡性角膜炎和角膜上皮基底膜营养不良密切相关;也可继发于白内障摘除手术、翼状胬肉切除术、准分子激光原位角膜磨镶术、眼外伤和硬性角膜接触镜配戴后。引发SND的最常见原因依次为MGD、配戴隐形眼镜(尤其是硬镜)、角膜周边血管化、翼状胬肉、奈瑟菌角结膜炎以及暴露性角膜炎[12]。MGD是SND最常见的致病原因[13]。文献曾报道SND家族遗传案例[14]。此外,少部分患者无明确的角膜病变史。
治疗方法主要包括保守治疗和手术治疗两方面。对于结节小、数目少的SND,可采取局部保守治疗并密切随访观察。积极控制潜在的原发疾病(如MGD),可以成功避免手术。对于体积大、位置靠近视轴的SND,当患者出现自觉严重的不适感或由于散光不断增大,导致视力明显下降时,可选择手术治疗。目前主要的手术方式有角膜表层切除术、准分子激光治疗性角膜切削术、穿透性角膜移植和板层角膜移植等[15,16,17]。部分患者在接受手术治疗后出现结节复发,具体机制尚不清楚[18,19,20]。氨基蝶呤及丝裂霉素C可以在一定程度上减小复发的概率[21]。
本例患者为老年男性,且既往眼部无慢性疾病和手术史。该患者无任何自觉不适症状,在白内障摘除手术前的检查中偶然发现结节。
SND引起的角膜高度不规则散光和患者本身的晶状体混浊,共同导致了患者视力显著下降。因结节所致的角膜高度不规则散光严重影响了患眼白内障摘除手术前眼轴长度和IOL度数测量的准确性,在与患者及其家属进行充分沟通的前提下,考虑到患者SND结节的位置、大小和深度,决定首先进行左眼表层角膜切削术以去除结节,术后患眼配戴绷带镜。待患眼角膜损伤修复、屈光状态稳定后,行左眼超声乳化白内障摘除联合IOL植入术,帮助患者获得良好的术后视力。
该例患者采取单纯结节切除术配合配戴角膜绷带镜治疗,术后角膜散光度数明显下降,刺激症状轻微,随访过程中未见复发。与角膜板层移植术等方法相比,单纯结节切除术联合角膜绷带镜治疗操作更方便、更经济,患者术后视力可获得显著提高。
活体组织检查可帮助进一步明确SND的诊断和排除其他恶性疾病。在患者自身及手术条件允许的情况下,手术应尽可能完整切除SND结节,并将切除物进行组织病理学检查。对于SND合并其他眼部疾病的患者,治疗应取决于病灶的位置、大小,病变的深度、患眼和对侧健眼的状态以及患者的身体状况。应在充分考虑患者主要诉求的前提下,制定全面、合理、最为经济和高效、稳妥可行的治疗方案,以期帮助患者获得最大的预后收益。





















