
版权归中华医学会所有。
未经授权,不得转载、摘编本刊文章,不得使用本刊的版式设计。
除非特别声明,本刊刊出的所有文章不代表中华医学会和本刊编委会的观点。
1856年Virchow首次描述视网膜有髓神经纤维(retinal medullated nerve fibers,RMNF),即眼底表现为白色或灰白色的沿着视网膜神经纤维分布的羽毛状或片状病灶[1]。绝大多数RMNF患者无症状,也有部分患者会伴有严重的视力损伤。据报道RMNF的发病率约为0.98%,其中90%以上为单眼发病;其不具有遗传倾向,因此家族性发病报道极为罕见[2]。本文报道1例患儿及其母亲均为双眼患病。
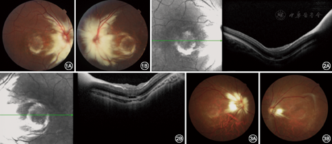
患儿男性,3岁。父母发现患儿自幼双眼视力差,于2017年3月14日就诊于复旦大学附属眼耳鼻喉科医院眼科。全身体检:未见明显异常。眼部检查:最佳矫正视力右眼为0.1(-6.00 D),左眼为0.08(-6.50 D);双眼外眼及前节未见明显异常;双眼视盘周围白色斑块,边缘呈羽毛状,病灶沿神经纤维分布;双眼黄斑部亦可见白色羽毛样改变(图1);OCT检查:双眼后极部神经纤维层呈高反射信号,神经纤维层前可见中低信号物质,可能为视网膜前胶质增生或玻璃体后皮质异常堆积(图2)。临床诊断:双眼RMNF。对患儿的父母进行检查,发现其母亲双眼视盘周围也有白色斑块,呈羽毛状分布,双眼视盘发育不良,高度近视眼样改变(图3)。患儿及其母亲均未给予特殊治疗,定期随访观察。


RMNF是一种发育异常性疾病,目前发病机制尚未完全明确。中枢神经系统有髓神经纤维的髓鞘由少突胶质细胞构成。在出生前,中枢神经系统受神经-激素内环境影响,少突胶质细胞显著活化增生并形成髓鞘[3]。正常的视神经髓鞘是由从中枢迁移过来的少突胶质前体细胞形成,这些前体细胞分化为少突胶质细胞,并围绕视神经纤维形成视神经髓鞘[4]。筛板的屏障功能使人类、大鼠等视神经髓鞘在筛板处即终止[4,5],筛板结构的破坏会导致继发性RMNF[6]。缺乏筛板的动物(如兔子)有髓神经纤维能够跨越视盘,并沿视网膜神经纤维分布。然而,也有文献报道发现RMNF患者拥有正常的筛板结构[1]。因此,目前推测RMNF是由于筛板结构或功能异常,致使少突胶质细胞异常迁移所致[2]。
RMNF最好发于视盘上方且多无症状[1],而位于黄斑区的病灶则会导致严重的视力损伤,甚至出现畏光等临床症状[7]。由于存在形觉剥夺,故RMNF分布在视轴区的患者可发生严重的轴性近视眼[8],且有髓神经纤维的分布范围与近视程度呈正相关[9]。本文患儿病灶广泛并累及黄斑区,后极部出现豹纹状改变并形成葡萄肿,OCT图像显示脉络膜显著变薄。患儿的母亲双眼视盘发育不良,眼底豹纹状改变,视盘旁萎缩弧形成。
绝大多数RMNF患者的眼底改变常为独立的眼部体征,但也可合并其他眼部异常,如RMNF病灶处并发视网膜血管异常[10,11]、黄斑前膜[12]、玻璃体黄斑牵引[13]、视网膜裂孔[14]等。本文患儿OCT图像显示在黄斑前有一层较厚的中低反射信号,推测可能为黄斑前胶质增生或玻璃体后皮质异常堆积。
RMNF作为胚胎发育异常疾病,罕见家族性发病报道。2003年Funnell等[15]报道了1例女性患者及其母亲同时双眼患病的病例,推测RMNF可能有遗传倾向。本文患儿及其母亲均同时患病,然而是否是遗传所致,抑或是环境因素导致仍不明确。
无症状RMNF不需要治疗,而对于有症状RMNF,临床也缺乏有效的治疗手段,只能进行相应的屈光矫正或弱视训练。





















