
1例主诉为右眼干涩伴异物感3个月患者就诊于眼科,经过眼部检查、B超、超声生物显微镜及相干光层析成像术检查,诊断为右眼视网膜劈裂、右眼陈旧性葡萄膜炎、双眼干眼。全葡萄膜炎伴中周部视网膜劈裂临床罕见。(中华眼科杂志,2019,55:55-57)
版权归中华医学会所有。
未经授权,不得转载、摘编本刊文章,不得使用本刊的版式设计。
除非特别声明,本刊刊出的所有文章不代表中华医学会和本刊编委会的观点。
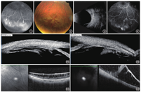
患者男性,18岁。因右眼干涩伴异物感3个月,于2017年5月10日就诊北京大学第一医院眼科。既往在2014年曾因右眼红、眼痛就诊我科,就诊时右眼结膜混合充血,尘状角膜后沉着物(keratic precipitate,KP)(++),房水闪光(++),浮游物(+++),行荧光素眼底血管造影检查示眼底周边大量渗漏(图1),诊断为右眼全葡萄膜炎,通过局部及全身糖皮质激素治疗后病情缓解。本次入院眼部检查:矫正视力右眼1.0,左眼1.2,双眼眼压正常,双眼角膜透明,泪膜破裂时间约3 s,泪河宽度0.2 mm,无角膜荧光素着染。右眼房水闪光(-),浮游物(-),晶状体前囊可见少许陈旧性色素颗粒沉着;左眼前节未见异常。散大瞳孔检查右眼玻璃体腔基本透明,上下方周边部视网膜青灰色隆起,其上可见血管走行(图2),三面镜及间接检眼镜检查未见明确视网膜裂孔;左眼未见异常。眼部B超结果示右眼下方玻璃体腔内中高回声条带(图3),未见玻璃体腔明确牵拉证据。复查眼底血管造影,见右眼上下方周边部成像模糊,伴少量渗漏(图4)。超声生物显微镜检查示右眼睫状体平坦部12:00及6:00方向附近片状高回声(图5),相干光层析成像术示右眼周边视网膜神经纤维层及内丛状层间劈裂,同时伴外层视网膜萎缩(图6)。诊断:(1)右眼视网膜劈裂;(2)右眼陈旧性葡萄膜炎;(3)双眼干眼。患者视力尚可,视网膜劈裂未累及黄斑,视网膜劈裂表面增殖及牵拉不明显,故对其采取了密切随诊观察的治疗策略。随访至2018年8月,患者视网膜劈裂范围及程度无明显进展。


视网膜劈裂常见3种类型:遗传型、变性型及继发型视网膜劈裂[1]。患者右眼明确全葡萄膜炎病史,视网膜劈裂位于周边部,与眼底血管造影渗漏部位高度一致。既往文献报道在中间葡萄膜炎患者中,周边视网膜劈裂并非独立疾病,而是中间葡萄膜炎的罕见并发症之一[2]。全葡萄膜炎受累部位包括周边部,具有相似的发病机制。
中间葡萄膜炎的炎性反应集中于睫状体平坦部及玻璃体,前节相对安静[3]。其慢性并发症包括角膜带状变性、并发性白内障、继发性青光眼、黄斑囊样水肿、黄斑前膜、视网膜脱离、新生血管等[2]。视网膜劈裂作为中间葡萄膜炎的并发症在1981年首次作为罕见病例被报道[4]。虽然视网膜劈裂是中间葡萄膜炎的已知并发症,但鲜有文献数据描述其发病率或者病程。目前已有的一些研究由于样本量有限、入组标准不一,报道的发病率差异较大。早期的研究发现中间葡萄膜炎视网膜劈裂的发生率约为4%[5];Jalil等[6]观察了256例中间葡萄膜炎患者,视网膜劈裂的发生率约2.3%;另一个观察儿童中间葡萄膜炎的研究报道的劈裂发生率约13.3%[7],作者认为劈裂是中间葡萄膜炎的常见的并发症;Malalis等[4]报道的发生率约19%;Pollack等[8]报道的发病率高达76.9%;回顾文献中的发病率最高达95.6%[9]。目前,葡萄膜炎并发周边视网膜劈裂的确切原因仍然不明。大部分研究认为平坦部血管的炎性反应可能是造成视网膜劈裂的重要原因。Pollack等[8]假设,位于平坦部的长期慢性炎性反应和缺血可能诱导产生了血管内皮生长因子,介导了视网膜血管改变,如新生血管、视网膜毛细血管瘤以及视网膜血管毛细血管扩张,伴有低度的视网膜水肿和浆液性渗出,足量的视网膜内渗漏进展为视网膜囊腔,最终形成视网膜劈裂。超广角造影显示的视网膜周边渗漏也支持了这一假设[10]。80%的视网膜劈裂伴有邻近的视网膜色素上皮的萎缩,有理由认为视网膜色素上皮萎缩可能是视网膜浆液性渗出后的证据[11]。在本例患者中同样观察到了劈裂处外层视网膜萎缩的现象。
然而仍有部分患者并未观察到周边视网膜下渗出或血管的异常,此外,"血管炎"的假设并不能解释大部分病例长期保持的稳定不进展的情况,因此有研究者提出了"牵拉"的机制。Brockhurst[12]和Sızmaz等[13]认为劈裂存在牵拉性因素,持续低度的炎性反应造成的玻璃体收缩和牵拉。也有研究者持不同观点,认为平坦部炎性反应的雪堤才是牵拉形成的关键[6,12],他们发现在视网膜劈裂发生时玻璃体通常已经发生了分离,因此推测这种牵拉并非由于周边玻璃体导致,而是由于睫状体平坦部以及周边视网膜的雪堤或周边锯齿缘胶质细胞的过度增生和纤维化、收缩,继而造成切线及放射状方向的牵拉,而周边视网膜的抬高可以自行缓解进一步的牵拉。Malalis等[4]在玻璃体切除术中检查视网膜劈裂和玻璃体,所有的案例中均发现了朝向雪堤的牵拉。此外,研究报道的中间葡萄膜炎伴发视网膜劈裂多位于下方象限,这与雪堤多沉积下方亦相符。本例患者的超声生物显微镜在睫状体平坦部前探及片状高回声,侧面支持可能存在牵拉的因素。综上所述,视网膜劈裂可能是周边雪堤或玻璃体牵拉性抬高与血管炎性反应等多因素共同作用的结果。
在预后及治疗方面,大部分研究对于中间葡萄膜炎继发的视网膜劈裂多采取保守的治疗策略,认为即使在伴有炎性反应的年轻人中视网膜劈裂多数也可长期稳定,没有手术指征,监测随访即可[14,15,16]。Jalil等[6]随访了11例葡萄膜炎伴发的视网膜劈裂,其中10只眼(90.9%)在4年的随访中没有进展,只有1只眼进展为牵拉性抬高伴黄斑区皱褶,行手术治疗但效果不佳。他们对中间葡萄膜炎的手术治疗有所保留,认为手术仅适用于累及黄斑威胁视力的人群。但葡萄膜炎势必使视网膜更为薄弱,中间葡萄膜炎中视网膜脱离发生率高达8.3%~10%[17],故部分研究主张应采取积极的治疗策略,若超广角造影发现周边炎性反应活动伴视网膜劈裂,不论视力好坏均应积极治疗[18,19,20],包括视网膜光凝、玻璃体切除术、巩膜外加压术、睫状体冷冻、低剂量的敷贴放疗等。Sızmaz等[13]认为睫状体平坦部激光可以预防视网膜脱离的产生。Pulido等[21]认为光凝可以减少血管内皮生长因子的释放,从而使平坦部炎性反应最小化。Malalis等[4]观察的病例中19%(12只眼)出现视网膜劈裂,其中5只眼行玻璃体手术治疗,并行巩膜扣带术来缓解剩余的牵拉。Pollack等[8]对存在显著血管增殖的病例进行了睫状体冷凝或者低剂量的敷贴放疗,4~5年后硬性渗出逐渐吸收,视网膜抬高缓解。Brockhurst[12]对1例葡萄膜炎伴视网膜劈裂向后进展达颞下方血管弓患者,行巩膜环扎术排尽劈裂下方液体,随访5年病情平稳无复发。综上所述,大部分研究认为中间葡萄膜炎伴发的视网膜劈裂长期保持稳定,但若病情持续进展或影响视力时亦应积极干预。对于本例患者,由于其无严重的周边玻璃体牵拉,劈裂未累及黄斑、视力较好,故采取观察随访的治疗策略。
葡萄膜炎并发的视网膜劈裂常在炎性反应活动后几年出现,多见于下方象限,在下方锯齿缘上覆盖有大量渗出[6],表现为小范围的周边视网膜抬高,其上有血管走行但视网膜厚度菲薄、透明度较好,呈透明青灰色,部分患者存在明确的牵拉。由于位置太靠周边或屈光间质混浊,早期很难发现,相干光层析成像术及眼底像容易漏诊,未累及黄斑时无明显症状,因此常被忽视。随时间进展,劈裂范围扩大,表现为内层视网膜缓慢抬高。在罕见病例中,劈裂可远达后极部血管弓周围,或隆起高度较高,此时检查者难以除外慢性的孔源性视网膜脱离[5]。视网膜劈裂与视网膜脱离的鉴别极具挑战性,眼部B超以及超声生物显微镜对于此类疾病的发现有重要价值。
本例全葡萄膜炎患者"继发性"视网膜劈裂是葡萄膜炎罕见的远期并发症,由于视网膜劈裂部位前方牵拉不显著、视力尚可,因此未采取过于积极的治疗手段。对于此类患者应严密随访,尤其关注存在黄斑前膜、有明确玻璃体增殖牵拉、视网膜劈裂进展风险较大者,手术治疗仅限于少数黄斑区受到威胁的人群[6]。在年轻患者尤其是儿童群体中行顶压巩膜的眼底检查较为困难,但全面眼底检查尤其重要,尤其是考虑行玻璃体腔注射治疗的人群,在未认识到劈裂的情况下行睫状体平坦部穿刺很可能导致视网膜脱离的发生或进展。
所有作者均声明不存在利益冲突





















