
1例因常规新生儿眼底筛查发现异常患者就诊眼科。经长期随访行眼底照相、眼底荧光素钠血管造影及外周血染色体基因检查,诊断为唐氏综合征相关视网膜病变。(中华眼科杂志,2020,56:473-474)
版权归中华医学会所有。
未经授权,不得转载、摘编本刊文章,不得使用本刊的版式设计。
除非特别声明,本刊刊出的所有文章不代表中华医学会和本刊编委会的观点。
患儿女性,14个月。因常规新生儿眼底筛查发现异常就诊于北京大学人民医院眼科。该患儿足月顺产,出生体重3 300 g,有吸氧史。营养状况尚可,身高75 cm,体重9 050 g;可坐,可站立,不会行走,智力发育明显落后于健康儿童(约7个月),牙齿未萌出,舌时常伸出口外(图1);右手通贯掌,右手大拇指分叉,多1节拇指(图2)。患儿有先天性心脏病史(房间隔缺损)。外周血染色体核型分析结果:21号染色体发生整条重复[arr21 q11.2q22.3(14,359,894-48099,610)×3]。家族史:其父母身体健康,非近亲结婚;该患儿有一姐,基因表型正常,但有高度近视眼病史;该患儿父母及姐均未做基因检测。
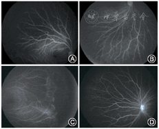
患儿生后69 d就诊时双眼前节无异常。双眼眼底后极部网膜可见小片状出血,周边部视网膜可见增生及大片无血管区(图3)。双眼荧光素眼底血管造影结果提示后极部网膜可见荧光遮蔽,中晚期周边部网膜可见少许荧光素渗漏(图4)。生后110 d就诊时双眼前节无异常,双眼视盘边界清色正常,后极部网膜少量出血已吸收,周边部网膜可见增生及大片无血管区。本次就诊眼部检查结果:双眼前节未见明显异常,双眼视盘边界清色正常,周边部视网膜可见增生及大片无血管区(图5)。双眼荧光素眼底血管造影结果可见周边部视网膜少量荧光素渗漏及大片无血管区(图6)。患儿患病期间眼部未予治疗,长期随诊观察。诊断:唐氏综合征相关视网膜病变。






唐氏综合征即21三体综合征,是常见的染色体数量异常疾病,新生儿发病率为1/600~1/800。我国唐氏综合征患者超过60万,全国每年新出生的唐氏综合征患儿多达23 000例。其临床主要的特征是智力障碍与发育畸形,最常见的畸形为房间隔缺损,其次是消化道畸形[1],此外,还有一些特殊面容、内眦赘皮、外耳异常、通贯掌等,合并智力障碍和发育迟缓。染色体检查约2.5%患儿属典型21三体型,2.5%~5.0%患儿属异位型(D/G,G/G异位),2.5%~5.0%属嵌合体异常,该患儿为21三体型,具有房间隔缺损、通贯掌等典型特征。
唐氏综合征最常见的眼部异常为:屈光不正、斜视、眼球震颤、圆锥角膜、先天性白内障等[2]。有文献报道唐氏综合征患者可发生孔源性视网膜脱离[3]。该患儿的眼部异常除有屈光不正外,还合并有视网膜病变,表现为周边大片无血管区及视网膜增生,国内外报道少见。既往Mangalesh等[4]报道使用谱域相干光层析成像术对亚裔唐氏综合征患儿黄斑区视网膜检查,发现其黄斑中心凹形态异常,且随年龄增加异常表现更加明显,这有助于我们了解其视觉发育。笔者虽未对这例患儿进行相干光层析成像术检查,但已发现其视网膜发育落后于健康儿童,此外还需继续对该患儿进行长期随访观察视网膜及视功能变化,以了解唐氏综合征患儿眼部发育情况。
该患儿以疑似早产儿视网膜病变就诊,所以应注意与以下疾病相鉴别:(1)早产儿视网膜病变:多发生于早产、低体重且伴有吸氧史的患儿。按病情进展分为5期,1~3期(分界线、嵴期、增生期)眼底表现与该患儿相似,但该患儿足月,体重>2 000 g可鉴别。(2)Coats病:病变区视网膜的毛细血管异常是本病的特点。多在视网膜血管第二分支后,呈现扭曲、囊样扩张或串珠样,新生血管少见。视网膜血管下可见深层黄白色渗出,间有发亮的胆固醇结晶,点状、片状出血,因渗出使视网膜略隆起不平,累及黄斑可见星状或环形硬性渗出。该患儿主要表现为血管发育不良,视网膜血管少见扭曲及血管下未见渗出。(3)Norrie病:为罕见的X连锁性遗传视网膜发育不良疾病,早期典型的改变为:后极部视网膜椭圆形血管未分支化,顶端有白色条索向前连至晶状体后囊,周边为未血管化的萎缩视网膜,可见黄白色视网膜下渗出,基因检测常有NDP基因突变,且该病常为男婴发病[5]。该患儿为女性。(4)玻璃体视网膜病变:早期表现周边部视网膜存在无血管区,在视网膜有血管区和无血管区交界处可见血管芽,后极部视网膜血管呈牵引状,视网膜皱襞形成,该患儿与其早期表现极为相似;但玻璃体视网膜病变多数有常染色体遗传家族史,可进行鉴别。
所有作者均声明不存在利益冲突





















