
1例53岁双眼视物模糊10余天女性患者,既往因腹股沟淋巴结转移性恶性黑色素瘤口服靶向药物维莫菲尼。检查发现左眼房水闪光,视盘水肿,双眼黄斑区神经上皮脱离,荧光素眼底血管造影术检查示早中期点状强荧光,晚期渗漏荧光呈多湖状,诊断为双眼福格特-小柳-原田综合征(VKH综合征)。眼部使用糖皮质激素治疗,并在肿瘤科指导下间断服用维莫菲尼至停药。治疗后双眼视力改善,眼前节炎性反应消退,视网膜神经上皮复位,色素上皮脱色素呈晚霞样眼底。
版权归中华医学会所有。
未经授权,不得转载、摘编本刊文章,不得使用本刊的版式设计。
除非特别声明,本刊刊出的所有文章不代表中华医学会和本刊编委会的观点。
患者女性,53岁。因双眼视物模糊(左眼明显)10余天伴头痛、脱发,于2019年5月21日就诊于北京大学第三医院眼科。4年前在外院行右脚趾“黑痣”切除术,未行组织病理学检查。1年前右侧腹股沟淋巴结肿大,行手术治疗,组织病理学检查结果提示为良性病变;术后3个月右侧腹股沟淋巴结再次肿大,行淋巴结清扫术,术后组织病理学检查结果提示为右腹股沟淋巴结转移性恶性黑色素瘤,基因检测显示BRAF-V600E突变;7个月后右侧腹股沟淋巴结再次肿大,再次行淋巴结切除及清扫术。口服靶向药物维莫菲尼(Vemurafenib,960 mg/次,每日2次),服药后出现高热、皮疹以及肝功能异常等不良反应,停药观察1个月后一直减量服药(480 mg/次,每日2次)至自觉双眼视物模糊停服,服药时间近8个月。
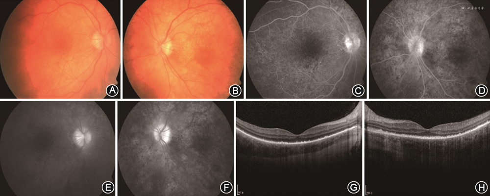
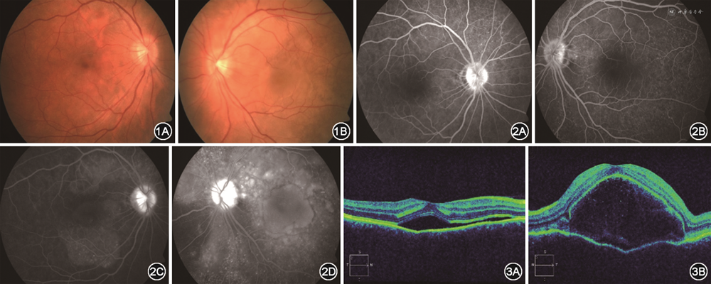
全身检查无听力障碍及皮肤改变。眼部检查:矫正视力右眼为0.3,左眼为0.2;眼压正常;右眼前节无明显异常,左眼前房闪光(+);双眼黄斑区神经上皮脱离,左眼明显,左眼视盘轻度水肿(图1)。荧光素眼底血管造影术(fundus fluorescence angiography,FFA)检查结果显示右眼早期后极部多发点状强荧光,中晚期多发湖状荧光素积存;左眼视盘荧光素渗漏,后极部弥漫针尖样强荧光,晚期呈多湖状荧光素积存(图2)。相干光层析成像术(optical coherence tomography,OCT)检查结果显示双眼黄斑区神经上皮局限性脱离,左眼明显(图3)。初步诊断:双眼福格特-小柳-原田综合征(Vogt-Koyanagi-Harada syndrome,VKH综合征);双眼屈光不正;右腹股沟淋巴结转移性恶性黑色素瘤。治疗:(1)双眼曲安奈德球后注射(双眼各20 mg)。(2)左眼醋酸泼尼松龙滴眼液点眼,每日3次;复方托吡卡胺滴眼液点眼,每日2次。


用药1周后复查,因双眼视力、房水闪光及黄斑区神经上皮脱离等症状无明显改善,给予双眼玻璃体腔注射地塞米松缓释剂1次。治疗后1个月双眼视力明显改善,矫正视力右眼为0.9,左眼为0.5;双眼眼压正常;左眼房水闪光消退,双眼视网膜神经上皮脱离完全复位,左眼后极部色素紊乱。根据肿瘤科会诊意见,恢复口服维莫菲尼(480 mg,每日2次)。2个月后双眼视力再次下降,矫正视力右眼为0.8,左眼为0.1;双眼眼压正常;双眼前节正常,右眼眼底无明显异常,左眼后极部神经上皮脱离。左眼球后注射曲安奈德(20 mg)。双眼持续视物模糊,矫正视力右眼为0.5,左眼为0.3;双眼羊脂状角膜后沉着物(++),房水闪光(+),浮游物(+),虹膜局部后粘连,晶状体透明,晚霞样眼底(图4中A和B)。FFA和OCT检查结果均符合VKH综合征晚期表现(图4中C~H)。双眼局部使用醋酸泼尼松龙滴眼液(每日3次)、妥布霉素地塞米松(0.3%妥布霉素,0.1%地塞米松)眼膏(每晚1次)、复方托吡卡胺滴眼液(每日2次)。根据肿瘤科会诊意见,因服用维莫菲尼总时间已近1年,可停止用药。停药后1个月矫正视力右眼为0.8,左眼为0.5;双眼前节炎性反应消退,视网膜神经上皮复位,色素上皮脱色呈晚霞样眼底。


VKH综合征又称特发性葡萄膜炎大脑炎,是一种由自身免疫反应引起的攻击黑色素细胞抗原的疾病,可累及眼、耳、脑膜、皮肤等多个器官和系统。VKH 综合征的国际诊断标准:(1)无眼球外伤或手术史;(2)临床和实验室检查不支持其他眼部疾病;(3)双眼累及并具有 VKH 综合征的急性或慢性期眼前节或后节表现;(4)神经系统症状,耳鸣,头痛,颈项强直,脑脊液淋巴细胞增多;(5)皮肤、毛发改变。5项诊断标准均符合者为完全型,(4)或(5)项诊断标准仅符合 1 项者为不完全型;仅具有 VKH 综合征特征眼部表现者为拟似型[1]。我国将典型VKH综合征的临床进展分为4期:(1)前驱期(发病前1周内):颈项强直,头痛,耳鸣,视力下降等;(2)后葡萄膜炎期(发病后2周内):双眼弥漫性脉络膜炎,脉络膜视网膜炎,视盘炎,视网膜神经上皮脱离,视网膜脱离等;(3)前葡萄膜炎受累期(发病后2周至2个月):尘状角膜后沉着物,前房闪光,前房细胞,非肉芽肿性前葡萄膜炎表现;(4)前葡萄膜炎反复发作期(约发病2个月后):晚霞样眼底,Dalen-Fuchs结节。各期均可出现脱发,毛发变白,白癜风等[2]。首选治疗方法为局部或全身使用糖皮质激素,全身用药包括口服、肌肉注射及静脉输注等,局部用药包括点眼、球周注射及玻璃体注射等[3]。糖皮质激素滴眼液适用于具有前房炎性反应的患者,常结合局部使用睫状肌麻痹剂[4, 5]。使用糖皮质激素效果不佳时,可考虑使用免疫抑制剂或生物制剂[3]。
本例患者的眼部表现具有VKH综合征的部分特征(如角膜后沉着物,房水闪光,后极部视网膜多灶性神经上皮脱离,FFA检查结果显示早中期点状强荧光,晚期渗漏荧光呈多湖状,而视盘充血和渗漏不明显),但缺少皮肤、听力、颈项等症状。结合既往腹股沟淋巴结恶性黑色素瘤多次复发和手术史,以及服用靶向药物等进行综合分析,临床应诊断为VKH综合征拟似型。
黑色素瘤可导致黑色素瘤相关视网膜病变(melanoma associated retinopathy,MAR),表现为夜盲、闪光、视力下降等,眼底改变不明显,FFA检查可显示轻度视网膜色素上皮病变,OCT检查可显示小的神经上皮脱离灶,有自愈倾向。部分患者血清或房水可测到瞬时受体点位蛋白、recoverin(恢复蛋白)、23-kd蛋白、transducin(转导素)、a-enolase(烯醇酶)等相关抗体,但阳性率不高,诊断MAR主要根据临床表现。本例患者眼底病变较为明显,且反复发作,不支持MAR诊断。患者服用的维莫菲尼是黑色素瘤BRAF-V600E基因突变的靶向药物,可选择性与BRAF-V600E激酶的5′-三磷酸腺苷结合位点结合并抑制其活性,干扰细胞生长、增殖或导致细胞凋亡等[6]。而视网膜的色素上皮细胞、视细胞内有BRAF基因表达,维莫菲尼可能影响这些细胞的结构和功能。此外,维莫菲尼具有很强的抗肿瘤作用,导致黑色素细胞大量凋亡,释放的抗原可引发全身超敏反应,眼部为视网膜和脉络膜发生炎性反应。维莫菲尼的常见全身不良反应包括皮疹、关节痛、头痛、发热等,眼部不良反应有视力模糊、葡萄膜炎、视网膜静脉阻塞等[6]。根据患者停药后眼底病变缓解、用药后眼部病变反复加重的关联性,推断本例患者的VKH综合征表现与抗黑色素瘤靶向药物维莫菲尼有关。
国内目前少见类似病例报道,国外已有BRAF基因抑制剂导致VKH样综合征的文献报道[7, 8, 9],其中Apivatthakakul等[9]报道的病例与本例患者病情极为相似。患者为46岁泰国女性,确诊为转移性黑色素瘤(BRAF-V600E基因突变),口服维莫菲尼6个月后,出现急性前葡萄膜炎,眼底情况正常,给予局部治疗2周后,双眼视力迅速下降,并伴头痛、恶心和耳鸣。经过一系列眼科和实验室相关检查,诊断为双眼VKH样综合征。最初接受口服泼尼松龙60 mg/d(每千克体重1 mg/d)治疗,但由于出现多种不良反应,遂将剂量迅速减少至30 mg/d,双眼球后注射曲安奈德,同时停止口服维莫菲尼。泼尼松龙用量逐渐减少到20 mg/d,治疗4周后视力改善,10周后眼部炎性反应消退,视力进一步提高。但在治疗第8周时黑色素瘤出现脑部转移,可能与停止口服抗肿瘤药物和全身使用糖皮质激素有关。本例患者未全身使用糖皮质激素,且整个治疗过程均与肿瘤科会诊,随时调整治疗方案,包括确定抗肿瘤药物的使用时间和彻底停药时间。
对于VKH综合征患者,临床需要综合分析判断,了解全身情况和用药情况,以明确真正病因,给予相应治疗。
所有作者声明无利益冲突





















