
患者男性,因左眼进行性视物不清伴视物变形1个月就诊眼科。影像学表现为典型眼内淋巴瘤浸润,头颅MRI和正电子发射CT未见全身其他部位肿物。追诉病史,患者院外就诊时,首先表现为泪腺肿大、眼球突出和眼外肌水肿等眼外的体征,眼底无异常改变。结合病史,确诊为双眼原发性眼附属器套细胞淋巴瘤眼内浸润。患者全身用利妥昔单抗联合泽布替尼治疗9个月后双眼视力明显提高,眼内外表现消失。
版权归中华医学会所有。
未经授权,不得转载、摘编本刊文章,不得使用本刊的版式设计。
除非特别声明,本刊刊出的所有文章不代表中华医学会和本刊编委会的观点。
患者男,57岁。因“左眼进行性视物不清伴视物变形1个月”于2021年3月18日至南通大学附属医院眼科就诊。视力右眼0.8,左眼0.4(矫正不能提高),双眼外眼及眼前节检查未见明显异常。眼底照相可见右眼黄斑区局限性隆起伴色素紊乱,黄斑颞侧小片状出血,鼻下小片状灰黄色病灶;左眼黄斑区隆起伴大量色素增殖,后极部见脉络膜皱褶(图1中A,B)。眼部B超可见双眼视网膜浅脱离,后极部视网膜下脉络膜增厚呈低回声,球后不规则低回声病变包绕视神经和球壁,尤以左眼显著(图1中 C,D)。相干光层析成像术(optical coherence tomography,OCT)可见双眼脉络膜增厚隆起,左眼后极部神经上皮层脱离,双眼视网膜色素上皮(retinal pigment epithelial,RPE)可见见多枚点状高反射信号(图1中 E,F)。荧光素眼底血管造影术(fundus fluorescence angiography,FFA)可见造影早期斑驳状背景荧光,后极部见针尖状强荧光,随时间延长,后极部及鼻侧针尖样强荧光增强,同时见点片状弱荧光(图1 中G,H)。吲哚青绿血管造影术(indocyanine green angiography,ICGA)可见右眼后极部及鼻侧见点状弱荧光,左眼后极部点片状弱荧光,双眼斑驳状背景荧光(图1中 I,J)。眼眶MRI示两眼球后壁见弧形异常信号,T1WI呈稍高信号,T2WI呈等信号,左眼明显;两眼泪腺增大,边界清楚,T1WI呈等信号,T2WI呈稍低信号,增强呈均匀、明显强化(图1中 K,L)。


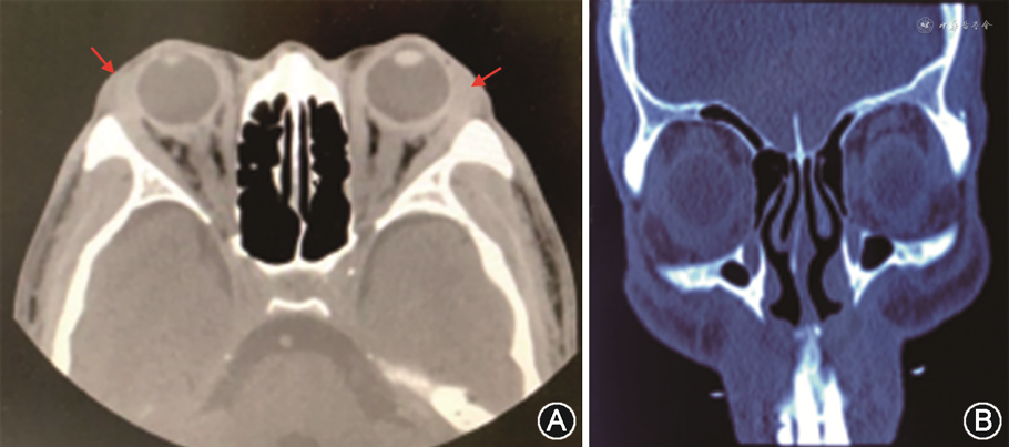
追问病史,患者曾于8个月前因双眼球突出伴眼红、流泪半年至外院眼科就诊。视力右眼为1.0,左眼为0.8,双眼上睑红肿,泪腺区肿胀,双眼球结膜充血水肿,各直肌止端结膜呈紫红色充血肥厚,双眼眼压及眼底未见异常。眼眶CT提示双眼内、外、上、下直肌均见明显增粗,边缘模糊,眶内脂肪间隙模糊,泪腺肿大(图2中A)。外院诊断为双眼眶炎性假瘤,予以地塞米松10 mg静脉滴注1次,后改为醋酸泼尼松80 mg/次、1次/d口服,并逐渐减量。治疗6个月后患者症状好转,复查眼眶CT,可见双眼内外、上下直肌稍增粗,边缘清晰,泪腺肿大较前好转(图2中B)。


患者此次入院包括肿瘤相关指标在内的全身检查未见明显异常。初步考虑双眼眶炎性假瘤,双眼脉络膜炎(不能排除IgG 4眼病)可能,予以甲泼尼龙80 mg静脉滴注2 d,后改为口服醋酸泼尼松片 100 mg/次、1次/d,后逐渐减量,共治疗2个月。期间患者左眼视力进一步下降,多次复查血浆IgG 4均在参考值范围以内。2021年6月29日患者至复查,右眼视力0.8,左眼视力0.2(矫正不能提高),左眼上睑泪腺区轻度肿胀,触及泪腺肿大,双眼内直肌、上直肌止端球结膜呈紫红色充血隆起(图3 中A,B),双眼眼底仍可见黄斑隆起,色素紊乱。为明确诊断,入院后行左眼泪腺活检,病理检查可见左泪腺组织破坏,淋巴组织呈浸润性生长,细胞体积明显增大,具有明显异型性,核仁明显,染色质较粗,免疫组织化学检查结果示CD5(+),CD20(+),CyclinD1(2+),SOX11(+++),Ki67(15%)(图3中 C~H),诊断为套细胞淋巴瘤。全身淋巴结检查未见明显异常肿大淋巴结,头颅MRI和正电子发射CT(positron emission tomography-CT,PET-CT)检查未见全身其他部位肿物。诊断为双眼原发性眼附属器套细胞淋巴瘤眼内浸润。


随后患者转至肿瘤科治疗,全身用利妥昔单抗联合泽布替尼治疗9个月后双眼视力明显提高,均为1.0,双眼结膜充血水肿消退,泪腺肿大消失,眼底见黄斑区少许色素紊乱,余未见明显异常。B超和OCT检查提示视网膜平伏,脉络膜隆起消退,RPE点状高反射信号消失(图4)。


原发性眼附属器淋巴瘤是指原发于眼睑、结膜、泪腺和眼眶软组织的恶性肿瘤,好发年龄为50~60岁,占所有结外淋巴瘤的5%~10%[1],最常见的类型是结膜黏膜相关淋巴组织(mucosa associated lymphoid tissue,MALT)淋巴瘤[2]。原发性眼附属器淋巴瘤眼内浸润极为罕见,Tagami等[3]和Pelegrín等[4]曾报道同时累及眼眶和眼内组织的淋巴瘤病例。Sarraf等[5]曾报道了1例MALT淋巴瘤侵犯脉络膜的病例,患者因左眼视力进行性下降就诊,眼科检查显示双眼进行性结膜浸润,口服泼尼松(60 mg/d)治疗效果不佳。随着病情发展,患者左眼出现渗出性视网膜脱离,右眼脉络膜有白色浸润灶。眼眶MRI显示左眼弥漫性浸润的眼内和眼外病变,延伸至视神经周围。结膜活检示MALT淋巴瘤。该患者进行了局部放疗,临床效果显著。
套细胞淋巴瘤是一种小B细胞淋巴瘤,发病率约为每百万人5例,具有起病隐匿、侵袭型强、预后差等特点[6]。套细胞淋巴瘤病理诊断依赖免疫组化分析,典型的免疫组化表型为CD5、CD20和cyclin D1阳性,但生发中心标志物CD10和BCL6为阴性。目前关于套细胞淋巴瘤的报道以胃肠道及其他全身系统多见,眼附属器套细胞淋巴瘤报道较少的原因是眶内无淋巴结和淋巴管[7]。套细胞淋巴瘤占眼附属器淋巴瘤的5%(32%为双眼)。原发性眼内淋巴瘤主要病理类型为弥漫大B细胞淋巴瘤,眼内套细胞淋巴瘤罕见[8]。Rowley等[9]报道了一例以脉络膜肿块为表现的原发性眼内套细胞淋巴瘤,其余皆为系统性套细胞淋巴瘤继发浸润眼眶或者眼内组织。而此例患者是先累及双眼附属器,后发现眼内浸润的套细胞淋巴瘤,此前未见类似报道。
眼附属器淋巴瘤临床常表现为眼球突出,眶周肿胀,累及眼睑、泪腺可表现为眼睑肿胀、局部肿块;累及结膜可表现为结膜充血、肥厚[10]。影像学检查对眼附属器淋巴瘤诊断有重要作用。淋巴瘤常单眼发病,后逐渐累及为双眼,眼眶淋巴瘤CT显示肿物包绕眼球生长,呈典型“铸造样”表现;结膜淋巴瘤CT提示结膜增厚,侵犯眶内组织时表现为占位性病变;泪腺淋巴瘤CT常表现为泪腺增大,形态不规则,肿物随眼球和眶骨塑形改变;眼附属器淋巴瘤MRI扫描显示病变信号均匀,T1WI和T2WI呈等信号,病程较长病灶瘢痕化T2WI可呈中等偏低信号。眼附属器病变早期凡出现以上MRI等信号特征者均应病检是否为淋巴瘤[11]。眼内淋巴瘤较为少见,患者最常表现为视物模糊,无痛性视力下降,可伴有渗出性视网膜脱离、玻璃体炎等,对激素治疗缺乏良好反应[12]。OCT显示RPE呈结节性高反射信号,为淋巴瘤细胞沉积所致,约50%的患者存在椭圆体带异常。FFA常显示后极部早期或晚期的斑点状强荧光。玻璃体和脉络膜视网膜活检是诊断眼内淋巴瘤的金标准,由于玻璃体需多次抽样,可联合细胞因子和免疫球蛋白重链和T细胞受体的克隆性检测提高眼内淋巴瘤诊断的准确性[13]。眼附属器淋巴瘤确诊主要依据是病理学检查。HE染色可见是小到中等大小的淋巴细胞弥漫性浸润,胞质稀少,胞核不明显。免疫表型有利于进一步明确淋巴瘤的组织学类型[14]。患者左眼泪腺组织淋巴组织呈浸润性生长,具有明显异型性,免疫表型CD5、CD20、SOX11和cyclin D1阳性,诊断为套细胞淋巴瘤。
本例中,患者眼外表现为肌止点处结膜充血水肿、泪腺肿大、眼球突出和眼外肌水肿,存在淋巴瘤病变浸润表现。由于患者院外就诊时,首先表现为眼外的体征,因患者身体其他部位没有淋巴瘤的证据,之后出现眼内侵犯的表现,考虑原发部位是眼附属器,后侵犯眼内。根据患者以往的影像学检查也可以证实这一观点。患者院外就诊时眼底无异常改变,证明还未累及到眼内,到南通大学附属医院就诊时相关影像学检查表现为,脉络膜明显增厚,局部浆液性视网膜脱离,RPE呈结节性高反射信号,B型超声检查显示脉络膜增厚回声;FFA示双眼点状强荧光,符合淋巴瘤眼内累及,头颅MRI和PET-CT未见全身其他部位肿物。结合病史,我们认为其符合眼外累及眼内的诊断,最终确诊为双眼原发性眼附属器套细胞淋巴瘤眼内浸润。
原发性眼眶套细胞淋巴瘤在临床和影像上与眼眶炎性假瘤难以区分。就本病例而言,患者为中老年男性,前期表现为泪腺肿大、眼球突出,眼眶CT提示眼外肌水肿增粗,且前期对激素治疗有效,因此首先考虑眼眶炎性假瘤复发。眼眶炎性假瘤是一种原发于眼眶的慢性非特异性炎性疾病,发生发展较快,伴有疼痛、复视等,激素治疗敏感。影像学表现为形态不规则,无包膜的肿块,可伴有眼环增厚、泪腺增大,眼眶MRI显示为T1WI低信号,T2WI高信号[15]。病理学检查无异常增生的淋巴细胞存在,这是与淋巴瘤的本质区别。
眼眶套细胞淋巴瘤侵袭型较强,复发率高,尚无标准的治疗方案,放疗在淋巴瘤治疗中占据重要地位,但单纯放疗后2年内局部复发及远处转移发生率较高,由于生物治疗兴起,目前套细胞淋巴瘤主要治疗方法包括靶向治疗和干细胞移植[6]。有研究发现在65岁的套细胞淋巴瘤患者中,在进行强化R-CHOP(利昔妥单抗+环磷酰胺+阿霉素+长春碱类+泼尼松)和阿糖胞苷治疗联合干细胞移植后,5年的总生存率显著提高,从45%提高到70%[16]。在引入R-CHOP 方案后,眼眶弥漫性大B细胞淋巴瘤和套细胞淋巴瘤患者的预后也有所改善,并且无其他不良反应[17]。泽布替尼是我国研发的首个获美国食品药品监督管理局(Food and Drug Administration, FDA)批准的自主研发抗肿瘤新药,主要通过阻断布鲁顿酪氨酸激酶信号通路治疗套细胞淋巴瘤,分子量小,易于通过血脑和血眼屏障,临床效果显著[18]。本例患者采用利妥昔单抗及泽布替尼全身治疗,目前已完成5期治疗,眼部恢复情况较好,随访9个月未见肿瘤复发及转移。但套细胞淋巴瘤的总体预后较差,5年生存率为40%,累及眼内的套细胞淋巴瘤预后比一般情况更差,多在2年内合并颅内淋巴瘤,病死率高,需对此患者颅内病变定期检查及随访。
综上所述,本例患者早期出现泪腺肿大、眼外肌水肿等眼外表现,未出现眼内表现,激素治疗后好转。在南通大学附属医院检查时出现眼外眼内淋巴瘤表现,PET-CT未见其他部位有淋巴瘤改变,本患者确诊为双眼原发性眼附属器套细胞淋巴瘤眼内浸润。淋巴瘤眼外累及眼内临床表现复杂,临床医生应积极完善相关检查,以早期诊断,有条件应及时手术活检以明确诊断,避免诊断延迟,加强多学科合作,避免肿瘤的进一步转移,挽救患者视力,提高患者生存率。
魏苗, 陈辉, 王君慧, 等. 双眼原发性眼附属器套细胞淋巴瘤眼内浸润1例[J]. 中华眼科杂志, 2023, 59(1): 52-56. DOI: 10.3760/cma.j.cn112142-20220518-00251.
所有作者声明无利益冲突





















