
版权归中华医学会所有。
未经授权,不得转载、摘编本刊文章,不得使用本刊的版式设计。
除非特别声明,本刊刊出的所有文章不代表中华医学会和本刊编委会的观点。
焦磷酸钙沉积症(calcium pyrophosphate dihydrate deposition diseae,CPPD)又称焦磷酸性关节病、假性痛风等。以关节区类似痛风的急性炎症发作或慢性非特异性疼痛为典型临床表现。发生于颞下颌关节且侵犯颅底者文献报道极少。近期山西省晋中市第一人民医院口腔科收治1例,报道如下。
患者女性,58岁,因"右耳屏前肿物6个月余"入院。6年前不明原因张口时右侧颞下颌关节区疼痛,呈间断性针刺样,持续1~2 min后消失,未进行任何治疗。6个月前发现右耳前突起,间断疼痛,渐进性长大。近1个月张口受限,疼痛时间延长就诊。检查:面形不对称,右耳屏前、颧弓下有一25 mm×20 mm×10 mm的半球状肿物,质地硬,与皮肤无粘连,基底边界不清,不活动,轻微压痛,肿物闭口较开口时疼痛明显。右侧髁突动度减弱,可及关节弹响及摩擦音。张口度27 mm,开口型向左侧偏斜,中线左偏约1 mm,下颌前伸和侧向运动受限。既往有二十余年夜磨牙史。
右颞下颌关节有一不规则钙化高密度灶,呈哑铃形。外侧部分类似球形,突破关节腔位于颧弓下方、乙状切迹外侧及髁突前方;中间部分沿关节腔分布,呈盘状,与关节面间有潜在间隙,患例关节腔较健侧明显增宽;内侧部分跨越关节结节向前内斜形进入颞骨鳞部和蝶骨岩部,颅底骨质破坏(图1,图2,图3)。


右颞下颌关节及颅底可见形态不规则结节状,T1稍长、T2不均匀信号影,间隙增宽,病变边缘光滑,与周围组织界限清晰,右侧翼内、外肌萎缩。增强扫描病变内可见不均质中等程度强化。提示:右颞下颌关节良性肿瘤(图4,图5,图6)。


除血磷1.53 mmol/L偏高外,其余未见异常。
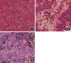
术前检查完成后全麻下手术。肿物肉眼观约30 mm× 25 mm×20 mm,色灰白,质地较软、囊性,包膜厚且完整,包膜表面可见致密纤维样条索,内容物为大量白色细小不规则颗粒。光学显微镜下:HE染色包膜表现为红染玻璃样变的纤维样组织。囊内容物低倍镜下呈片状、团状及不规则多灶状分布的嗜双色物质,周围软骨组织及异物巨细胞反应;高倍镜下大片状区为紧密排列的小矩状、棒状、梭形折光性结晶体,小灶状区则围绕中心无定形物质呈放射状排列。相差显微镜下为立体感更强的多种不同形状的晶体(图7,图8,图9)。病理诊断:颞下颌关节CPPD。


术后1个月复查,面形基本对称,右侧髁突动度较术前明显增强,关节弹响及摩擦音基本消失。张口度30 mm,开口型向左侧偏斜,中线左偏约1 mm,咬合关系正常,下颌前伸和侧向运动明显改善,运动幅度:右侧方3 mm、左侧方2 mm。患者不适症状消失,肿物近期未见复发,远期疗效有待观察。
研究表明,CPPD发病与CPPD晶体有关,而晶体的形成与焦磷酸代谢异常有关。已经证实甲状旁腺功能亢进症、高钙血症、低镁血症等多种代谢性疾病均可致CPPD发生,因此大多数学者认为CPPD属于代谢性疾病[1]。也有人认为CPPD属于常染色体显性遗传病,与基因突变有关[2,3],还有人认为与关节外伤有关[4]。本病例既往无代谢性疾病,实验室检查排除与代谢性疾病相关。但有长期的颞下颌关节慢性疼痛病史及夜磨牙病史,考虑晶体的形成可能与创伤有关。
CPPD好发于中老年人,女性多见,最常累及膝、肩等大关节,小关节少见[5,6]。关节软骨异常钙化和关节间隙损害是CPPD的典型X线表现[5,6]。CPPD也可表现为关节软骨下成串的囊肿[7]。CPPD晶体是诊断CPPD的金标准[7]。典型X线表现也可以帮助确诊。但由于该病临床表现呈现多样化,尚需与软骨瘤病、关节炎、滑膜炎等进行鉴别。本病例最初误诊为软骨瘤,后经病理确诊。
北京大学口腔医学院·口腔医院病理科高岩教授对该病例的病例确诊





















