
版权归中华医学会所有。
未经授权,不得转载、摘编本刊文章,不得使用本刊的版式设计。
除非特别声明,本刊刊出的所有文章不代表中华医学会和本刊编委会的观点。
促结缔组织增生性纤维瘤(desmoplastic fibroma,DMPF)是一种罕见的骨肿瘤,由轻度异形的梭形细胞及其产生的大量胶原构成,具有局部侵袭性[1]。1958年Jaffe将其从软组织韧带样纤维瘤及其他中央性纤维病变中分出,命名为DMPF。DMPF起源于结缔组织,可累及任何骨,但最易累及下颌骨,好发部位依次为下颌骨体部、下颌角及下颌升支。75%的患者年龄在30岁以下,50岁以上患者仅占6%,男女性别间无明显差异[2]。中山大学光华口腔医学院收治1例下颌骨DMPF,报道如下:
患者男性,34岁,于4年前无明显诱因发现右侧下颌骨肿物,从"鸽蛋"大小逐渐增大至"鸭蛋"大小,无疼痛,表面皮肤无破溃,下唇无麻木。曾于外院行消炎治疗,效果不明显。近期就诊于中山大学光华口腔医学院,门诊以"右下颌骨肿物"收入院。颌面部及口内检查示双侧颜面部不对称,右下颌隆起约8 cm×5 cm,肿物向前至
近中颊侧,向后至下颌升支部,表面无破溃,皮温无升高。肿物质地硬,边界不清,有压痛,有乒乓感。无下唇麻木及张口受限,双侧头颈部未扪及明显肿大淋巴结。口内黏膜表面完整、无破溃。
Ⅲ度松动,
Ⅱ度松动,无叩痛。下颌骨CT影像示下颌骨髁突、右侧下颌体及下颌支见不规则膨胀性骨质破坏,骨皮质变薄、硬化,局部骨皮质不连,大小约9.6 cm×5.5 cm×8.0 cm,肿物边界清,内部密度均匀,CT值为35 Hu,增强扫描未见明显强化,右侧颞下颌关节解剖结构正常,双侧颈部未见明显增大淋巴结影像(图1)。头颈部CT血管造影检查显示:双侧椎动脉及双侧颈总动脉粗细均匀,未见明显管腔狭窄或瘤样扩展,颈部血管走形自然,呈均匀一致强化,未见明显异常。CT诊断:下颌骨良性肿瘤,成釉细胞瘤可能性大。临床诊断:右下颌骨成釉细胞瘤。治疗:全麻下行下颌骨右侧肿物切除术+下颌骨右侧切除术+下颌骨左侧部分切除术+下颌骨双侧缺损左腓骨瓣血管化游离移植修复术+双侧骨内坚固内固定术+小动脉吻合术+临近瓣转移修复术+气管切开术。术中见下颌骨右侧肿物突破下颌骨皮质,下颌体右侧向下颌下区膨隆。


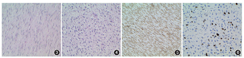
术后病理:送检物为切除之下颌骨双侧骨体及肿物,约11.0 cm×8.0 cm×4.5 cm大小,骨质颊侧膨隆,肿物表面大部光滑似有包膜,呈结节状,切面灰白,实性,质地中等,骨腔内完全为肿物占据,骨皮质菲薄(图2)。镜下可见肿瘤主要由产生胶原纤维的成纤维细胞构成,成纤维细胞及胶原纤维束呈波浪状交织(图3),部分区域细胞生长较活跃(图4),细胞轻度异型,偶见核分裂,瘤组织呈浸润性生长,免疫组化波形蛋白(+)(图5)、平滑肌肌动蛋白(-)、肌动蛋白(-)、β-联蛋白(-)、S-100(-)、细胞角蛋白(-)、CD68(-)、部分区域Ki-67呈阳性表达,表达率<10%(图6)。病理诊断:促结缔组织增生性纤维瘤。




DMPF一般是指发生于骨内的侵袭性纤维瘤,多见于30岁以下的青年人,多发生于长骨,偶见于颌骨[1,2]。临床上多表现为颌骨无痛性膨大,部分生长较快,伴疼痛麻木等神经症状及牙齿松动,肿瘤活动性差,多数病变可逐渐穿破颊、舌侧骨皮质致颌骨周围肌肉受损。影像学表现为溶骨性、膨胀性骨破坏。骨皮质变薄,呈周界清晰或模糊的单房或多房投射性病变,可呈地图状,并有一窄的过渡带,少见硬化边缘。临床上须与成釉细胞瘤、血管瘤、神经纤维瘤、巨细胞瘤和颌骨嗜酸性肉芽肿鉴别,需行病理确诊[3]。鉴别诊断:①DMPF与以纤维组织为主而骨化并不明显的骨纤维结构不良的病变区域类似,当DMPF标本取自肿瘤周边时,可因含残存骨小梁或反应性骨质而误诊为骨纤维结构不良,可从肿瘤中心部位多处取材鉴别;②DMPF缺乏肿瘤性骨质,可与以纤维母细胞成分为主的高分化骨肉瘤鉴别;③DMPF与非骨化性纤维瘤鉴别,非骨化性纤维瘤除细胞较丰富有车辐状排列特点外,还有多核巨细胞、泡沫状细胞及吞噬有含铁血黄素的组织细胞。
DMPF为中间型肿瘤,具有侵袭性,化疗或放疗无明显效果,宜采用手术治疗。肿瘤复发率与手术方式及范围有关,若采用刮除术或病灶内切除术则局部复发率高,大范围切除后,肿瘤几乎不复发。DMFP不转移,治疗恰当预后良好。本例术后择期再行口内牙齿修复。
无





















