
版权归中华医学会所有。
未经授权,不得转载、摘编本刊文章,不得使用本刊的版式设计。
除非特别声明,本刊刊出的所有文章不代表中华医学会和本刊编委会的观点。
慢性牙周炎的系统治疗是一个复杂的过程,重度慢性牙周炎患者往往伴随多牙缺失、松动、牙齿移位、牙列不齐等问题,其治疗需要团队合作,进行口腔各专业联合治疗。随着我国人民生活水平的提高,患者的诉求也越来越广,要求越来越高,这就更加需要口腔医师掌握多学科的治疗理念,严格把控标准,以解决患者的诸多口腔问题。北京大学口腔医学院·口腔医院牙周科收治1例重度慢性牙周炎患者,经过完善的牙周治疗后联合正畸治疗,最终完成种植修复,报道如下。
(1)一般情况:患者女性,41岁,因多颗后牙松动缺失伴刷牙出血2年余,于2011年6月就诊于北京大学口腔医学院·口腔医院牙周科。就诊5年前曾因双侧上后牙缺失于外院行烤瓷固定桥修复,就诊前2年陆续出现后牙松动、咀嚼无力、前牙移位出现间隙。刷牙出血伴牙龈反复肿痛,出血中等量,漱口可止。否认夜磨牙及张口呼吸,每天刷牙2次,每次1 min,横刷法。不使用牙线、牙间隙刷等口腔清洁工具,不吸烟。否认牙周系统治疗史,要求制定治疗计划并最终完善修复。患者父母年轻时有牙齿松动或失牙情况。患者为乙肝病毒携带者。
(2)临床检查:口腔卫生状况较差,大量菌斑、软垢,牙石++~+++,可探及大量龈下牙石;牙龈普遍暗红色,龈缘圆钝,质地松软;全口牙邻面探诊深度普遍6~9 mm,出血指数4,双侧上后牙伴探诊溢脓,可及附着丧失;全口牙龈退缩3~5 mm;
、
缺失;
、
Ⅲ度松动;
固定桥,边缘不密合,松动Ⅲ度;
固定桥,边缘不密合,
Ⅱ度松动;
Ⅰ度松动,
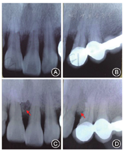
根分叉病变(furcation involvement,FI)3度,电活力测58,对照牙56。全口根尖X线片见图1,牙周检查表见图2。全口牙列不齐,上下前牙散在间隙,
间隙2 mm,
间隙3 mm。前牙Ⅱ度深覆
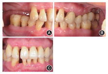
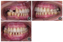
,Ⅰ度深覆盖,上颌中线左偏2 mm(图3),上下颌骨位置正常,面部对称。关节检查未见明显异常。




PLI:菌斑指数;CEJ:釉质牙骨质界;BI:出血指数;PD:探诊深度;B:颊侧;L:舌侧;FI:根分叉病变


(3)诊断:慢性牙周炎(重度);错
畸形;上下牙列缺损。
(1)危险因素评估:不利因素:牙周破坏严重;牙齿松动移位;龈下牙石多;探诊出血溢脓;上颌磨牙区不良修复体;下颌第一磨牙根分叉区受累;下颌第二磨牙牙根呈锥形。相对有利因素:尚年轻;全身尚健康;依从性尚可;经济状况良好;无吸烟等不良嗜好。
(2)预后判断:
及
周围牙槽骨吸收殆尽,松动度大,无保留希望;
需拆除修复体后决定;
预后存疑;其他牙预后尚可。
①口腔卫生指导;②
、
建议拔除;
拆除固定桥后决定
的去留;
预后存疑,试保留;③洁治、刮治及根面平整后6至8周再评价酌情行牙周手术;④炎症控制良好后行正畸治疗,关闭前牙间隙,维持后牙修复空间;⑤种植修复缺失牙;⑥牙周维护治疗。
(1)基础治疗:2011年6至12月,于局麻下行彻底龈下刮治及根面平整。拔除
、
。
(2)牙周手术:2012年2至3月,行
翻瓣骨成形术,
引导性组织再生术+牙周植骨术,
翻瓣骨成形术。
粘接固定。牙周手术后3个月复查(图4),X线片显示
近中植骨区有高密度影形成(图5)。拆除
固定桥,拔除
,
临时冠修复。


PLI:菌斑指数;CEJ:釉质牙骨质界;BI:出血指数;PD:探诊深度;B:颊侧;L:舌侧;FI:根分叉病变

术前;B:
术前;C:
术后;D:
术后
术前;B:
术前;C:
术后;D:
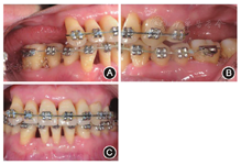
术后(3)正畸:2012年7月至2013年11月,上下颌牙齿分别开始正畸加力(图6,图7),期间每3个月进行一次牙周维护。

像;B:左侧
像;C:正面
像
像;B:左侧
像;C:正面
像
像;B:左侧
像;C:正面
像
像;B:左侧
像;C:正面
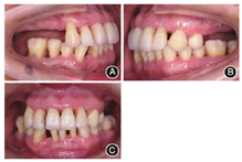
像(4)种植:2013年11月,牙周复查显示牙周状况稳定,开始行
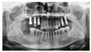
种植术,植入4.3 mm×10.0 mm植体5枚(Nobel Replace,瑞典),
同期GBR植骨(图8)。2014年2月,取模制作临时冠,作为正畸支抗继续正畸治疗。2014年11月,拆除固定矫治器,制作保持器,牙周复查情况稳定(图9,图10)。

;B:

;B:

像;B:左侧
像;C:正面
像
像;B:左侧
像;C:正面
像

(5)修复:2014年12月,取
开窗式印模,制作粘接固位,计算机辅助设计及辅助制作氧
(6)复查及维护:戴牙完成后每半年规律复查及牙周维护治疗。
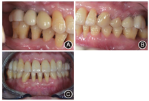
末次复查结果显示患者口腔卫生状况良好,牙周状况稳定(图11,图12,图13)。解决了前牙间隙问题,恢复了后牙的咀嚼功能,患者对疗效满意。

像;B:左侧
像;C:正面
像
像;B:左侧
像;C:正面
像



PLI:菌斑指数;CEJ:釉质牙骨质界;BI:出血指数;PD:探诊深度;B:颊侧;L:舌侧;FI:根分叉病变
本病例是一个典型的重度慢性牙周炎病例,患者曾于外院行固定修复,由于未经系统的牙周治疗,导致修复失败。患者初诊时牙周病变范围广、牙槽骨吸收严重、有多颗松动牙,且伴有咬合问题,同时患者期望值较高,要求改善前牙美学问题,并行种植修复。面对这种较复杂和棘手的病例,应按照牙周病系统治疗的基本思路和步骤,即牙周基础治疗、手术治疗、正畸和修复治疗、维护治疗4个阶段,将每个阶段都做到尽可能完善,才能最大程度地达到最终的治疗目的,满足患者功能与美观的需求[1,2]。该病例最终达到了口腔多专科联合治疗牙周病的目的,从此病例中可得出如下提示:
对于预后存疑患牙的去留问题,医师之间可能会存在较大分歧。大量回顾性分析表明,在一定条件下这些患牙中有相当一部分可以长期保留。McGuire和Nunn[3]研究显示,45%预后存疑的患牙可存留10年以上。Graetz等[4]发现,侵袭性牙周炎患者在5年的牙周维护治疗中,88%预后较差的患牙得以保留,这些研究结果的首要前提都是患者能进行良好的菌斑控制,并且经过了规范的牙周系统治疗。本病例中,试保留的牙齿经过牙周基础治疗、手术和松牙固定得以保留。在牙周治疗后,患者的牙周状况得到明显改善,为后续的正畸和种植修复创造了有利条件。
牙周炎并非正畸治疗的禁忌证。Re等[5]研究显示,只要经过彻底的牙周治疗,高度降低但是健康的牙周组织在正畸治疗过程中并不会发生进一步的附着丧失。在为数不多的有关植骨材料对正畸是否会产生影响的研究中,骨粉的成分、降解速率和牙齿移动方式等都会在不同程度上对牙齿移动速度以及牙根吸收程度造成影响。不过,也有系统综述表明正畸移动的牙齿可以正常穿过新生骨组织,当然,尚需更多研究支持[6]。本病例经过规范的牙周基础治疗,并进行了磨牙区的翻瓣骨成形术,在有牙周再生性手术条件的上前牙区进行牙周植骨术+引导组织再生术。探诊深度普遍降至2~3 mm。正畸过程中分上下颌逐步加力,对预后存疑和经过牙周植骨手术的患牙进行正畸治疗,由于植骨量不多,牙齿移动量不大,在严格控制正畸力的前提下,使左上前牙逐渐向近中植骨区域移动,最终纠正了中线,改善了患者的前牙间隙和深覆
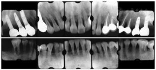
深覆盖,获得了较好的效果。正畸治疗后复查显示牙周状况良好,曲面体层X线片示牙槽骨高度稳定。
牙周炎并非种植的禁忌证,只要经过治疗进入静止性的修复期,口腔环境改善之后即可进行种植体植入[7]。接受种植的患者必须达到全口菌斑指数<20%,全口出血指数<25%,全口探诊深度>4 mm位点应该至少控制在8个以下[8]。要达到此目标必须由医师与患者共同努力,医师应反复加强口腔卫生指导,患者须有较好的依从性。本例患者很快掌握并坚持使用包括牙线、间隙刷等必要的菌斑控制工具,主动预约定期复查,种植前患者的自我菌斑控制能力已提升至较理想的水平。
本病例治疗过程历时将近4年,又经过将近2年的定期复查维护,患者目前牙周状况较理想,种植体周围牙槽骨稳定。本病例再次提示:在复杂牙周病治疗过程中一定要充分考虑各方面问题,按部就班地进行治疗,在规范的牙周治疗基础上,尽最大可能保留患者的天然牙,以达到最终的治疗目的。同时,本病例也体现了现代口腔医学中多学科联合治疗的重要性,针对复杂病例不能仅凭一己之力,应寻求治疗团队,为患者提供更好的治疗。
无
我国牙周病发病率高,由牙周病导致的牙齿松动移位、牙齿缺失是常见的并发症。随着患者对美观和咬合功能要求的提高,运用多种手段的联合治疗方案越来越受到重视。在本病例中,患者初诊时牙周状况较严重,经过系统、规范的牙周基础治疗,牙周炎的进程得到有效控制。进一步经过正畸、种植及修复等口腔多学科联合治疗,最终取得较为满意的效果。
本病例的亮点:在初诊时诊断明确,对每颗牙的预后都有充分的评估,治疗计划翔实合理,治疗过程规范,观察时间较长,病例资料较完整,治疗效果满意。作者对本病例的规范治疗过程及治疗思路对临床医师有良好的示范作用,对于重度牙周炎患者,只要按照牙周炎系统治疗的基本思路和步骤,即基础治疗、手术治疗、正畸和修复治疗、维护治疗4个阶段,则治疗效果是可以预期的。本病例的良好治疗效果对于长期以来困惑临床医师的问题"严重牙周炎患牙应该拔除还是保留"给出了自己的解答,是一个良好的典型病例示范。
本病例的不足之处:病例中由于拔除了上颌双侧后牙,且进行了正畸、种植及修复联合治疗,疗程较长,在此过程中如何保持患者正常、稳定的
关系作者还可以更加详细地讨论。





















