
版权归中华医学会所有。
未经授权,不得转载、摘编本刊文章,不得使用本刊的版式设计。
除非特别声明,本刊刊出的所有文章不代表中华医学会和本刊编委会的观点。
口腔诊疗的操作空间有限,耗时长短不一,患者个体差异较大;所使用的器械种类繁多、形状各异且体积普遍较小,部分器械尖锐锋利;唾液、血液、涡轮机喷水在口腔内停留,部分患者对此十分敏感。即使做了完善的预防措施,口腔诊疗过程中异物的误吞误吸仍然时有发生,易造成医患纠纷。因此研究口腔诊疗过程中异物误吞误吸的发生概率、症状、处置措施以及预防方案很有必要。本文介绍一例种植手术过程中误吸的病例。
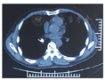
男性患者,55岁,因上颌后牙拔除后3个月,要求种植修复于2017年3月济南军区总医院口腔科就诊。口内检查情况为26、27缺失,拟在26、27位点植入两枚4.8 mm×10.0 mm种植体。手术开始后,患者咽反射明显,不停要求吸出口内分泌物,吸引器吸引时又出现恶心咳嗽,立即停止手术,与患者沟通后认为患者尚可耐受手术,休息后患者状态良好,采取改变椅位角度、在咽部放置纱布等措施进行保护,旋入27种植体愈合基台时纱布影响操作,遂取出纱布在旋紧27种植体愈合基台完成后,患者突然剧烈咳嗽闭合口唇,螺丝刀掉落口内并被吞入。放平患者后进行椅旁X线照射,示螺丝刀位于主支气管内,患者咳嗽但无呼吸不畅。胸部CT可见螺丝刀位于右侧主支气管内(图1,图2),六方刀口朝上,利于纤维支气管镜取出。呼吸内科医师在充分麻醉下,使用电子纤维支气管镜异物夹持器械(软管)取出异物(图3)。患者无咳嗽,常规口服三日抗生素(阿莫西林、甲硝唑)预防肺部感染。






(1)发生率与性别构成:东京齿科大学报道口腔诊疗过程中发生误吸误吞的概率为0.004%,且误吞的发生率远大于误吸[1]。Ratnaditya等[2]报道在牙髓治疗过程中,异物进入消化道的发生率(0.001 2%)远大于进入呼吸道的发生率(0.000 1%)。Hou等[3]报道60~79岁和10~19岁年龄段误吸和误吞的发生率最高,而东京齿科大学报道50~79岁发生率最高[4]。Hou等[3]报道的误吞误吸的病例中,男性为33例而女性为14例。而东京齿科大学报道的40例病例中,男性占25例,女性占15例。残疾人、自理能力差的老年人及青少年是误吸和误吞的高发人群。患者突然闭嘴或转头、感到不适或不配合治疗、咽反射明显都是常见诱发因素[3,4]。
(2)异物种类:牙槽外科主要异物为拔除的牙齿,特别是小的残根、下前牙以及后牙断根[2];修复科主要异物为制作完成的嵌体、全冠[5];牙体牙髓病科主要异物为扩大针、车针、GG钻、拔髓针,这类异物尖锐锋利,一旦发生误吸误吞危险性高,往往需要介入取出[6];正畸科主要异物为托槽、舌簧、颊管等微小部件[4];种植科主要为螺丝刀、封闭螺丝、愈合基台等,种植手术由于视野要求,椅位放置较平,一旦发生器械滑落至咽后壁很容易发生误吸,危险性较高[2];儿童牙科主要异物为乳牙、预成冠、棉球等,儿童患者由于自控力差、诊疗过程中容易出现哭闹,气道狭窄,一旦发生误吸误吞,情况紧急危险,需要高度重视做好预防工作[7]。
(3)异物位置、症状:误吸的异物大部分位于右主支气管,其次是左主支气管、右肺,几乎没有异物掉落至左肺的病例报道[3]。发生误吸的患者可能出现咳嗽,仅有1例报道出现疼痛,1例恶心,但大部分报道病例症状不明显。仅凭症状很难判断异物位置,需借助影像学手段明确诊断[3]。
(4)处置措施及预后:首先要立即停止操作、将患者放平。此步骤非常关键,它有效地防止了器械的进一步下行、防止尖锐器械对消化道和呼吸道的损伤。第二步给予影像学检查,最优选择是椅旁X线照射明确患者误吞的器械所处位置,当椅旁X线显示不明确时,立即行CT。第三步选择请相关科室会诊,若影像学检查明确器械位于胃里,同时器械不具有尖锐特征,可请患者住院并服用半流食及硫酸镁口服液促进排便,并随时检查粪便情况,一般2~8 h内可排出器械;若器械尖锐,请消化内科使用纤维胃镜取出异物;若影像学检查明确器械位于喉部或支气管上段,应请耳鼻咽喉科会诊使用纤维喉镜取出异物,若位于支气管内,应请呼吸内科会诊使用纤维支气管镜取出异物。若异物位于肺内,需请心胸外科会诊,必要时行开胸手术取出异物。第四步,预防感染,按需予以抗生素。
在报道的误吸患者中,15例成功使用纤维支气管镜取出(其中7例使用软管、5例使用硬管、3例没有描述),1例成功使用纤维喉镜取出[3,9]。有3例报道,使用纤维支气管镜无法取出异物,1例患者6个月后随分泌物咳出、1例患者在吸入后3天行局部肺组织切除术,还有1例未做处理嘱患者每月来复诊一次。另有1例患者当时未发现误吸,1年后行右侧肺叶切除术后在切除的组织中找到了口腔印模材[10]。
(5)预防策略:对于口腔诊疗过程中异物的误吞及误吸,预防的有效性远远大于治疗。每名口腔医师都应明确口腔诊疗过程中发生异物误吸及误吞的可能性和危险性[11]。在日常诊疗过程中务必操作谨慎、心态平稳,熟悉急救流程。其次,一定要完整的询问患者病史,对具有高度危险性的人群每次操作时间要短,尽量安排在早晨进行短时间治疗操作[12]。在每次操作前都要医嘱患者不要突然闭嘴或摇头,有不适可以举手,对于不配合的患者,特别是儿童和老人,要耐心劝说,不在其情绪不稳定时进行治疗[4]。
减少口腔诊疗过程中异物误吸误吞的发生率,应做到预防为主,每名口腔医师都应不存侥幸心理、常规保护、注意防范、熟悉急救流程,有效减少此类并发症的发生。
无





















