
版权归中华医学会所有。
未经授权,不得转载、摘编本刊文章,不得使用本刊的版式设计。
除非特别声明,本刊刊出的所有文章不代表中华医学会和本刊编委会的观点。
上前牙区种植修复成功的必要条件包括充足的骨量、健康的种植体周围软组织和恰当的种植体位置[1]。如何最大限度保存前牙种植区的骨轮廓,避免唇面骨板吸收和软组织塌陷是临床医师必须面对的重要课题。现报道应用位点保存和数字化种植导板技术修复上前牙美学缺陷一例。
患者女性,21岁,2006年6月行上前牙桩核冠修复,2016年5月旧修复体松脱,就诊于武汉大学口腔医学院修复科,要求重新治疗。患者否认系统病史和家族史。
患者面部对称,中位笑线。口内检查可见11根管口金属螺纹桩,剩余牙体组织断裂至龈下1 mm;双侧前牙龈缘顶点连线不对称(图1)。口腔卫生良好,无探诊出血。前牙深覆
覆盖,无前伸及侧方
干扰。

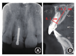
像;B:术前数字化美学分析
像;B:术前数字化美学分析锥形束CT示11根尖区有圆形低密度影,直径约6 mm,11颊侧骨板完整,厚约1 mm(图2)。


11牙体缺损,慢性根尖周炎。
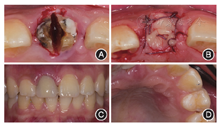
选择不翻瓣颊舌向分根拔除患牙,保护唇侧骨板[2]。
鉴于11根尖区骨质破坏范围较大,无法提供即刻种植所需的初期稳定性,故拔除残根后行位点保存。彻底清理牙槽窝,生理盐水和双氧水反复冲洗,拔牙窝内放置足量骨替代材料(Bio-Oss骨粉,Geistlich,Wolhusen,瑞士),取上颌左侧前磨牙腭侧角化上皮腭黏膜半厚瓣,覆盖并关闭拔牙创口,纤维带粘接桥临时修复11(图3)。

像;D:腭侧术区2周后复查愈合良好
像;D:腭侧术区2周后复查愈合良好位点保存术后6个月复查,锥形束CT示骨量充足,根尖区低密度影已消失;口内见11唇侧牙龈曲线初步成形(图4)。选择窄颈种植体(ITI Straumann BL 3.3 mm×12.0 mm,士卓曼,瑞士)以最大限度减少种植体占位,余留更多成骨空间。设计唇侧保留3.0 mm,腭侧保留1.0 mm骨板厚度,植入深度位于唇侧骨缘下1.0 mm,中央螺丝从舌侧穿出的牙支持式全程种植导板(图5)。

像示11唇侧牙龈曲线初步成形;B:
面像可见卵圆窝初步成形
像示11唇侧牙龈曲线初步成形;B:
面像可见卵圆窝初步成形全程种植导板引导下行11牙位定点,逐级备洞,植入窄颈种植体。术中可见11种植位点新生骨表面留有少量颗粒状骨替代材料,内部成骨良好,种植体植入扭矩达35 N·cm,满足即刻修复需求(图6)。术后锥形束CT示种植体植入位置与设计基本一致(图7),植入与设计的颈部和根部误差分别为0.47和0.45 mm。




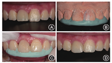
术后2个月复查示前牙牙龈缘高度协调,但11临时冠略宽于21,根据诊断蜡型制作导板对21行美学树脂修复改形。术后4个月复查牙龈健康,龈缘高度对称合适,牙齿宽长比正常(图8)。制取个性化印模,制作11氧化锆个性化基台和牙冠,完成最终修复(图9)。




根据植入时期不同,种植治疗可分为即刻种植、早期种植、延期种植三类。本病例的根尖周病变虽然并非即刻种植的绝对禁忌证,但手术清理感染组织后根方和腭侧骨量不足,难以提供即刻种植所需的稳定性。患者若选择早期种植则存在骨愈合时间较短,根方大面积骨缺损尚未成骨的问题,风险较大[3]。此外,也可先行根尖周手术及完善的根管充填,待根尖周病变治愈后再拔除残根行即刻种植。但这种方案存在治疗时间更长、风险更高以及操作难度大的缺点。本病例选择位点保存6个月后再行种植手术,可最大程度降低种植修复的风险[4]。
本病例采用全程种植导板引导操作,并在术前设计制作临时修复体,保证后期螺丝固位,避免粘接剂残留可能引起的并发症[5]。术后即刻修复可在种植体骨整合同期实现对牙龈软组织的塑形。术后分析可见实际植入的种植体颈部整体稍偏远中0.47 mm,根部稍偏舌侧0.45 mm,均显著低于文献报道的平均误差(颈部1.07 mm,根部1.63 mm)[6]。植入窄颈种植体可尽量减少种植体占位进而保证充足的种植体周围成骨空间。Romeo等[7]对窄颈种植体进行了1~7年的临床和影像学纵向研究后发现,窄颈种植体与常规种植体的预后相似。本病例术后9个月回访可见骨量及骨边缘稳定,提示患者预后良好。
本文病例的治疗也存在不足之处,例如在11、21间行角型切口并翻瓣可增加骨吸收风险,不利于美学效果的长期稳定,因此不应再增加垂直切口。若操作需要,则避开中切牙区的垂直切口设计更合理[8]。
无
本文详细介绍了1例前牙区种植修复病例,在病例选择、治疗方案的确定及实施方面,体现了作者正确的临床思维及规范的临床操作;作者恰当地运用了位点保存和数字化导板等技术进行治疗,取得了良好的治疗结果,可以给读者启迪和帮助。当然,如果能观察更长的时间,文章就更有说服力了,因为前牙区种植修复的美学风险较高。另外,病例还有一些不足之处,比如最终修复体的颜色不够理想,目前的技术可以做得更好;而且邻牙用部分瓷贴面修复比树脂修复效果更好。


像



















