
本文对1例全口牙列重度磨耗患者按照规范化治疗流程进行功能和美学重建。为避免不当的咬合重建治疗诱发颞下颌关节紊乱病的症状和体征,设计和治疗时采取多方面预防措施。为更精确复制临时冠形态,采用数字化技术制作最终修复体,并针对前牙区双层瓷冠如何复制临时冠颊侧形态提出改良方法,简化流程并提高复制准确度,获得了理想的美学效果。
版权归中华医学会所有。
未经授权,不得转载、摘编本刊文章,不得使用本刊的版式设计。
除非特别声明,本刊刊出的所有文章不代表中华医学会和本刊编委会的观点。
牙齿磨耗是临床常见牙齿硬组织非龋性疾病,是指受机械磨擦或酸的化学性侵蚀,牙齿硬组织进行性丧失。对牙列重度磨耗患者,进行与关节肌肉协调的咬合功能重建,满足患者更高的美学需求,是口腔临床工作者的挑战。现介绍1例全口牙列重度磨耗患者功能和美学重建的诊疗过程。
患者女性,32岁,于2017年1月就诊于青岛市口腔医院修复科。自述后牙食物嵌塞及牙本质敏感,上前牙变短、下前牙排列不齐、牙齿颜色不佳,要求改善美观和功能;自幼喜食酸的水果和坚果,有酒后呕吐病史,有关节卡住及耳后区不适病史,无关节弹响病史。
面下1/3高度未见明显降低;开口度正常,开口型有偏斜,双侧关节区、颞肌、咬肌无明显压痛,关节载荷实验无任何紧张和疼痛不适。唇齿关系:下颌姿势位上中切牙位于唇下0.5 mm,中位笑线,微笑时上前牙连线平直与下唇弧度不协调。口内检查:上前牙腭侧和后牙
面磨耗,磨耗面为光滑、圆钝的浅凹或杯状凹陷,磨耗导致牙本质暴露、上前牙变短、后牙接触区面积减小。多数牙齿(除下前牙外)邻面龋坏或有充填物。上前牙龈缘曲线不协调(22龈缘位置略高),下中切牙扭转,42、43融合牙(图1)。

像;D:上颌
面像;E:下颌
面像
像;D:上颌
面像;E:下颌
面像锥形束CT未见明显骨关节破坏,右侧髁突位于关节窝中央,左侧髁突较右侧髁突小,居关节窝后位。
全牙列重度磨耗,病因以酸蚀为主,牙齿磨耗指数分级为3级[1]。
患者精神状态良好。临床检查示颞下颌关节功能状态良好,无治疗指征,可进行咬合重建治疗[2]。但患者曾有颞下颌关节紊乱病(tempormandibular disorders,TMD)症状,影像学检查示左侧髁突形态偏小、位置偏后(可能是关节结构异常,也可能是正常髁突的变异),改变咬合的治疗更易诱发TMD症状和体征[3],因此咬合重建需谨慎,设计和治疗过程中采取多方面预防措施。咬合重建治疗程序获得患者知情同意。
先确定上中切牙切缘位置[4]。依据下颌姿势位上中切牙暴露量和后牙
平面,确定患者上中切牙需向切方加长2~3 mm。
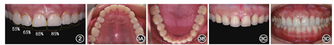
(1)美学重建设计:上前牙通过加长切缘恢复理想的长宽比和与上唇协调的切缘连线,22龈缘位置偏高,通过调整22切缘位置达到视觉上与邻牙协调(图2);下前牙通过修复方式改善扭转,改善融合牙形态。

面像;B:下颌
面像;C:上前牙唇侧树脂贴面牙体预备;D:正面
像
面像;B:下颌
面像;C:上前牙唇侧树脂贴面牙体预备;D:正面
像(2)功能重建设计:正中关系位建立咬合,并戴用诊断性临时修复体半年以上,观察咬合的稳定性,保证建立的咬合与患者关节肌肉协调;根据前牙美学设计和后牙修复空间,先于
架上确定最小的垂直距离增加量(前牙区增加约2.5 mm),再结合息止
间隙法评价,最后戴用诊断性临时修复体,确定合适的垂直距离;基本保持原有天然牙斜度较小的前伸
或侧方
。
(1)诊断性临时修复:间接法制作诊断饰面。使用Leaf Gauge制取正中关系记录,面弓转移至半可调
架;按照上述治疗设计,技师制作完成不备牙树脂贴面(后牙
贴面、上前牙腭侧贴面、下前牙颊侧贴面),戴入口内,少量调
后达到正中关系位咬合时全口牙列均匀广泛接触,前伸
或侧方
前牙引导,无
干扰。患者适应新的咬合关系后,上前牙颊侧贴面牙体预备,制作间接法树脂贴面改善美观(图3)。通过以上两步的间接法树脂贴面,初步进行功能和美学重建。
咬合功能和美学效果的诊断和评价:患者初戴诊断饰面时偶有双侧耳前区轻度不适及夜间紧咬牙,2~3周后主观症状完全消除,咀嚼功能提高。锥形束CT示增加垂直距离后关节前后间隙较治疗前无明显改变(图4)。戴用9个月后牙齿咬合关系无明显变化,表明颌位关系稳定,双侧上颌尖牙有部分崩脱和磨耗,提示侧方咬合时引导牙尖的引导斜面斜度偏大,需要调整。而上前牙牙齿形态和排列还需进一步调整。根据功能和美学的调整要求,制作临时冠,确定上前牙最终形态(图5)。




(2)修复体类型和材料设计:上前牙设计为全冠,下前牙设计为贴面。为满足患者对透明性的要求,上前牙使用双层瓷全冠(二硅酸锂增强型玻璃陶瓷加饰瓷),下前牙选择烤瓷贴面。
由于后牙邻面均有龋坏或充填物,患者不接受后牙
贴面的美学效果(颜色分层及暴露自身略黄的牙齿),因此后牙设计为包绕邻面、颊侧和
面的部分冠(粘接固位为主),修复材料为二硅酸锂增强型玻璃陶瓷。
(3)最终修复体的制作:复制诊断性临时修复体形态,完成功能和美学重建。为保证咬合的稳定及复制的精度[5],分区域完成修复,先制作前牙,确定患者满意的颜色,再制作后牙。
上前牙双层瓷全冠:技师少量调磨临时冠组织面较锐利的转角(近远中与腭侧的转角以及切缘)后,将临时冠就位于工作模型。通过临时冠直接将上颌工作模型转移至半可调
架,同时临时冠也用作确定上下颌模型咬合关系的参考(图6A)。计算机辅助设计与辅助制作(computer aided design and computer aided manufactured,CAD/CAM)扫描复制临时冠形态,颊侧和切端回切完成基底设计(图6B),堆加饰瓷(图6C),形成初步形态。在同一模型上就位全瓷冠和临时冠进行比对,准确复制颊侧表面形态及咬合关系(图6D,图6E)。

架上;B:数字化扫描复制临时冠形态,颊侧及切端回切设计瓷冠基底;C:颊侧堆加饰瓷;D:瓷冠和临时冠在同一模型上比对,准确复制颊侧表面形态;E:上颌前牙修复完成,完全复制临时冠形态及咬合关系
架上;B:数字化扫描复制临时冠形态,颊侧及切端回切设计瓷冠基底;C:颊侧堆加饰瓷;D:瓷冠和临时冠在同一模型上比对,准确复制颊侧表面形态;E:上颌前牙修复完成,完全复制临时冠形态及咬合关系CAD/CAM制作后牙修复体:使用复制模式设计修复体外形,口内扫描复制诊断饰面形态,分区域完成后牙修复体的制作(图7)。


(4)随访:修复后1、3个月复查,患者无任何不适,对美学效果满意。口内检查:修复体完整,牙周健康,正中关系位咬合均匀广泛,前伸
中切牙对称接触,侧方
尖牙引导(图8)。

面像;C:正面前伸
像;D:下颌
面像
面像;C:正面前伸
像;D:下颌
面像为最终建立牙列重度磨耗的修复重建治疗流程,本文按照八步法诊断和治疗程序进行患者序列修复治疗:①磨耗病因诊断;②多学科治疗设计;③美学重建设计;④咬合重建设计;⑤诊断性临时修复;⑥咬合关系和美学效果的转移和复制;⑦修复体类型和材料的选择;⑧最终修复体的制作和粘接。
TMD由多种发病因素所致,咬合因素是可能的发病因素之一[6]。垂直距离的改变一般不引发持续的TMD症状[7],但患者的不良咬合习惯,如长时间咀嚼坚果或口香糖可能诱发TMD症状,需进行纠正。同时为避免治疗操作诱发TMD症状和体征,治疗设计时应进行以下考量:遵循从无创的可逆的治疗到有创的不可逆的治疗的原则;较长时间的临时修复体戴用观察;避免张口时间过长、开口度过大等原因引发TMD症状加重;建立稳定的与关节肌肉协调的咬合,避免可能的
因素引发TMD症状。
本文针对前牙区双层瓷全冠如何更准确复制临时冠颊侧形态提出改良,诊断性临时修复是在患者口内确认的符合功能和美学设计的修复体形态,准确地复制形态才能实现咬合功能和美学效果的转移。传统修复方法是交叉上
架,再结合硅橡胶导板进行复制[8],步骤繁琐、准确度不高。数字化修复的方法复制精度高,但在上前牙区,如选用美观性更好的双层瓷全冠,则无法复制颊侧形态[9]。针对以上问题,本课题组将临时冠在工作模型上就位,数字化扫描复制腭侧和邻面形态,双层瓷全冠与临时冠在同一模型上比对复制颊侧和切端形态。该方法可结合数字化技术的优点,并对传统修复工艺进行改进,提高双层瓷全冠颊侧形态复制的准确度。同时无需交叉上
架,直接通过临时冠将工作模型转移至
架,前伸咬合由临时冠引导,无需制作个性化切导盘,操作简单;同时临时冠作为咬合记录比硅橡胶咬合记录更准确。按照改良方法复制完成的上前牙双层瓷全冠,咬合关系复制准确,同时可获得可预测的理想的美学效果。
本病例随访时间较短,患者关节形态结构是否长期稳定,新建立的咬合关系能否保持与关节肌肉协调,均需长期观察和维护。同时,针对牙列重度磨耗患者,修复治疗应尽可能保守,若患者没有过高的美学要求,则后牙修复体无需包绕覆盖颊侧,以减少牙体预备量。
所有作者均声明不存在利益冲突
“全口牙列重度磨耗的功能和美学重建”介绍了1例曾有颞下颌关节紊乱病症状、美学需求较高的全口牙列重度磨耗患者的功能和美学重建过程。病例资料较完整,图片质量佳,修复效果好,修复方法有临床参考价值。文章的不足之处:①文中提到“本病例有重度磨耗造成的垂直距离改变”,并不准确,由于缺少磨耗前的垂直距离作为对比,因此难以下此结论;②病例修复后仅随访3个月,随访时间较短。另外,本病例后牙修复体未全覆盖基牙,需要粘接固位,修复体究竟归类于贴面,还是归类于冠,学界仍有争议。





















