
本文报道1例上前牙美学区牙列缺损患者功能和美学重建的多学科联合治疗过程,通过正畸治疗纠正中线及异常的覆
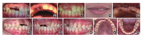
覆盖,为种植修复提供空间;通过块状骨骨增量手术增加缺损区骨量,并通过即刻种植即刻修复、软组织成形完成冠修复。治疗结束后1个月及3年复查显示患者牙龈健康,龈缘顶点协调,牙冠形态及比例正常,咬合功能良好;根尖X线片示牙槽骨稳定。对于美学区牙列缺损患者,采用正畸、种植、修复等多学科联合治疗方案,可进行功能和美学重建。
版权归中华医学会所有。
未经授权,不得转载、摘编本刊文章,不得使用本刊的版式设计。
除非特别声明,本刊刊出的所有文章不代表中华医学会和本刊编委会的观点。
为保证修复的长期稳定,青少年时期的创伤失牙常待患者成年后才开始正式修复。随着生长发育和时间推移,缺牙区常出现垂直向及近远中向空间不协调,软硬组织塌陷或平坦,龈缘线根向退缩和龈乳头缺失,造成功能和美学缺陷。现介绍1例青少年时外伤造成美学区牙列缺损的患者成年后通过正畸、种植、修复等多学科联合治疗完成功能与美学重建的治疗过程。
患者女性,19岁,2011年12月就诊于北京大学口腔医学院·口腔医院修复科,要求种植修复缺失的上前牙。7年前因上前牙外伤就诊于北京大学口腔医学院·口腔医院儿童口腔科,行12—21根管治疗(图1),6.5年前11残根因感染松动拔除(图2)。患者否认系统病和家族史。

像;B:上前牙缺损区
面像
像
面像;C:右侧
像;D:正面
像;E:左侧
像;F:上颌
面像;G:下颌
面像
像;B:上前牙缺损区
面像
像
面像;C:右侧
像;D:正面
像;E:左侧
像;F:上颌
面像;G:下颌
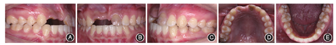
面像患者面部两侧对称,中位唇线,上中切牙中线较面中线右偏1.5 mm(图3)。口内检查可见11缺失,剩余牙槽骨严重缺损;12残根,唇侧及近远中侧断端齐龈,腭侧缺损位于龈下4 mm;21棕黄色,近中切角缺损。21—24轴倾度异常及散在牙间隙;35口内未见,75滞留,
面树脂充填体边缘密合,不松动。咬合情况:下前牙过萌,前牙区覆
覆盖异常,右侧前牙反,双侧第一磨牙中性关系(图3)。口腔卫生良好,牙龈色粉质韧,无探诊出血。
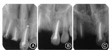
根尖X线片示12、21根充恰填,根尖周未见明显异常(图4);锥形束CT示11牙槽嵴顶宽约3 mm,骨高度约15 mm,Ⅱ类骨;12唇侧骨板完整,厚约1 mm,根尖区可利用骨高度5 mm;头颅侧位X线片示骨性Ⅰ类错
;曲面体层X线片示75根管及髓腔内充填物,牙根吸收。


上颌牙列缺损;12、21牙体缺损;75乳牙滞留;安氏Ⅰ类、骨性Ⅰ类错
。
评估患者存在以下主要问题,11缺失,骨缺损严重;12残根,无牙本质肩领,腭侧缺损较深;21严重变色;75乳牙滞留。上颌中切牙中线较面中线右偏1.5 mm,前牙区覆
覆盖异常。75不松动,牙根部分吸收,患者拟行非减数矫治故暂时保留。上前牙区多个美学缺陷拟通过多学科联合治疗方案解决。正畸治疗解决牙齿排列及咬合问题,患者治疗前上中线右偏1.5 mm,上前牙原有间隙12 mm,种植修复11、12需14 mm间隙,需正畸扩展2 mm并解决中线右偏。对
牙缺失致41—43垂直向伸长1.5 mm,需正畸压低,建立正常覆
覆盖,为种植提供垂直向空间;对11位点水平向骨缺损进行骨增量,对11、12位点进行即刻种植即刻修复治疗,利用临时修复体进行软组织成形,最终行12、11、21冠修复(图5)。

像
像使用直丝弓排齐整平、扩展间隙和精细调整。推簧推21向远中(图6),扩展缺牙区2 mm间隙同时解决中线右偏,关闭22—24间散在间隙;压低下颌右侧前牙,纠正前牙区覆
覆盖。矫治完成后配戴透明压膜保持器(图7)。

像;B:正面
像;C:左侧
像;D:上颌
面像;E:下颌
面像
像;B:正面
像;C:左侧
像;D:上颌
面像;E:下颌
面像供区为左侧下颌支,锥形束CT示37区颊侧及远中骨厚度6~8 mm,高度15 mm。行37、38区远中偏颊侧近远中向切口达骨膜下,翻开黏骨膜瓣,37远中颊下颌外斜线区10 mm环钻制取厚4 mm、宽8 mm、长10 mm骨块,供区骨缺损处填塞胶质银海绵,缝合切口(图8A)。沿13—21邻缺隙侧龈沟内行颊舌向沟内切口,于牙槽嵴顶行垂直向切口,翻13—21全厚瓣,受植区预备,去除少量骨皮质并行骨皮质打孔,制备到达骨髓腔的通路;骨块外形修整使之紧密贴合受植床,骨膜减张,骨床表面垫自体骨颗粒后,以10 mm长度金属螺钉固定骨块,骨块周围间隙以自体骨颗粒与骨替代材料(Bio-Oss骨粉,Geistlich,瑞士)混合物填塞,覆盖横向和纵向双层可吸收胶原膜(Bio-Gide膜,Geistlich,瑞士),嵴顶区再覆盖浓缩生长因子(concentrate growth factors,CGF)膜,缝合,止血(图8B,图8C,图8D,图8E,图8F)。




骨增量术后7个月复查,牙槽骨丰满(图9)。锥形束CT示11牙槽骨厚度8 mm,骨高度15 mm。行12、11种植手术。12残根挺松,微创拔除,探及四壁骨板完整,行11—12牙槽嵴顶切口,邻缺隙侧龈沟内切口,翻开黏骨膜瓣,11植骨区取出钛钉,定点,逐级备洞,植入种植体(Bego S 3.75 mm×10.00 mm,Semados,德国),12定点,逐级备洞,植入种植体(图10),上愈合基台,缝合;两枚种植体植入扭矩均达40 N·cm,满足即刻修复要求。于12唇侧骨板与种植体间跳跃间隙植入骨替代材料(Bio-Oss骨粉,Geistlich,瑞士),制取开窗式印模,灌注模型。

像示龈缘变化;C:上前牙
面像示成形后龈袖口;D:制作个性化印模转移杆;E:基台口内就位;F:全冠就位后牙龈及龈乳头状态良好;G:戴冠后正面
像
像
像示龈缘变化;C:上前牙
面像示成形后龈袖口;D:制作个性化印模转移杆;E:基台口内就位;F:全冠就位后牙龈及龈乳头状态良好;G:戴冠后正面
像
像在临时基台上制作硬质树脂聚合瓷临时冠,种植术后即刻戴入,口内就位,暂封螺丝孔(图11)。嘱患者勿用临时冠咀嚼,注意口腔卫生,用牙线或冲牙器等清洁种植体及其周围,每月复查。


软组织成形满意后复查,12、11唇侧牙槽骨轮廓丰满,龈袖口形态理想。21全冠牙体预备,排龈,12、11个性化印模转移杆复制临时冠穿龈轮廓,制取闭窗式印模,灌注模型后制作11、12氧化锆个性化基台和12、11、21氧化锆全冠,完成最终修复(图12)。
本病例通过多学科联合治疗进行上前牙区功能和美学重建[2]。青少年时期外伤所致的牙齿缺失及牙体缺损,随着生长发育和时间推移,缺失牙及残根的垂直向空间和近远中向空间难以维持,21向缺隙侧移位,下颌前牙过萌,覆
覆盖异常,可通过正畸治疗调整间隙,获得良好的种植修复空间[3]。11缺失持续至成年,由于缺少
力的功能性刺激,缺牙区周围软硬组织产生不同程度的变化,导致牙槽骨缺损凹陷和宽度缩小,软组织变形凹陷。根据术前分析,可对患者进行骨增量手术以及即刻种植即刻修复[4],术后利用临时冠进行软组织成形,获得良好的牙龈及牙冠形态。本病例的多学科治疗方案也存在不足,若儿童口腔科可维持缺失牙间隙,则可缩短甚至省略成年后的正畸治疗步骤。在治疗序列的制定上,可考虑在患者正畸治疗的同时进行牙槽骨增量,以优化治疗序列,节约时间成本。
本病例11位点牙槽骨以水平向吸收为主,垂直向骨量尚可。对于水平向骨缺损的骨增量选择有块状骨移植、引导骨再生技术(guided bone regeneration,GBR)以及骨劈开等方案[5,6]。本病例术前骨宽度不足3.5 mm,在循证医学的基础上结合术者经验,本课题组选择块状自体骨移植。块状骨作为骨增量材料的金标准,结合GBR可在愈合期内稳定支撑并维持重建的牙槽骨体积,并减少后期骨吸收[7]。骨增量术后7个月复查,牙槽骨宽度达8 mm,角化龈充足,增量效果明显。Aloy-Prósper等[8]对块状骨骨增量术后同期或二期种植的3年回顾性病例系列研究显示,骨增量后二期种植的种植体成功率为96.9%,同期种植仅为83.3%;种植体负载后3年,二期种植患者的边缘骨丧失量为(0.29±0.35)mm,同期种植患者则高达(1.15±1.67)mm。本病例3年随访结果显示软硬组织稳定,龈缘未见明显退缩,边缘骨高度较稳定,提示患者预后良好。
上前牙区连续种植的龈乳头保存是治疗难点,二期种植手术时,对12采用即刻种植即刻修复方案,有利于维持12、11间龈乳头的高度和宽度[9]。采用种植手术导板引导操作,保证两枚植体合理的三维位置关系;术后即刻修复控制临时冠邻面接触点距离牙槽嵴顶的距离≤5 mm,通过临时冠颈部添加树脂逐步加压成形,形成良好的龈袖口形态。通过以上措施,13、12与12、11间的龈乳头得以维持,3年后复查可见龈乳头仍充盈饱满。
本例前牙区美学缺陷患者在正畸、种植、修复多个学科协作下,获得了兼顾功能和美学的治疗效果。
所有作者均声明不存在利益冲突
本文报道了1例多学科联合治疗上前牙外伤的病例,在正畸、种植、修复多学科的协作下,最终获得较好的临床疗效,美学效果较佳,并进行了3年随访观察,患者软硬组织保持长期的稳定,具有一定的临床参考价值。良好的种植修复空间、外置块状骨移植重建丰满的牙槽骨、合适的种植体三维位置、临时冠软组织成形、最终修复材料的合理选择,是获得美学修复效果的保证,这些在本病例中均得到较好的体现。在治疗序列的制定上,若考虑在患者正畸治疗的同时进行牙槽骨增量,进行治疗序列的优化,则可节约患者的时间成本,提高治疗效率。





















