
本文报道1例重度牙周炎经牙周非手术治疗后病理性移位牙齿自发回位的病例,该病例按牙周炎新分类为Ⅳ期C级。疾病特点是患者存在明显的咬合紊乱并构成其相互影响相互作用的多种临床表现的内在因素。治疗特点是针对内外病因,对咀嚼肌紊乱和
干扰进行个性化干预治疗,采用龈下刮治和根面平整术消除炎症,均衡咬合取代局部过大的咬合应力;牙槽骨再生阻断上颌窦的牙源性感染;恢复中性区平衡促进牙间隙的减小关闭和病理性移位牙齿的自发回位。该病例未进行拔牙或其他任何治疗,提示针对咬合开展个性化治疗可获得更全面的疗效。
版权归中华医学会所有。
未经授权,不得转载、摘编本刊文章,不得使用本刊的版式设计。
除非特别声明,本刊刊出的所有文章不代表中华医学会和本刊编委会的观点。
牙齿病理性移位是重度牙周炎常见的临床表现,可对患者牙齿的美观和功能产生极大影响。治疗牙齿病理性移位的关键在于病因治疗,虽然已经有学者通过牙周、正畸和修复联合治疗解决病理性移位的病例报道[1,2],但是仅通过牙周非手术治疗实现牙齿自发回位的病例较少[3]。本文报道1例经过洁治、刮治和咬合干预治疗,不仅重度牙周炎患牙均得以保留,而且获得病理性移位牙齿自发回位、牙间隙关闭、张口偏斜得到纠正的病例,疗效维持逾8年。
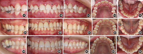
治疗前及治疗后随访结果见图1,图2,图3,图4,图5,图6,图7,图8。

像;B:正面
像,箭头示牙间隙;C:左侧
像;D:上颌
面像,箭头示牙间隙;E:下颌
面像
像;B:正面
像,箭头所示21和22牙间隙关闭;C:左侧
像;D:上颌
面像,箭头所示25自发回位及23和24牙间隙关闭;E:下颌
面像
像;B:正面
像;C:左侧
像;D:上颌
面像;E:下颌
面像
像;B:正面
像,箭头示牙间隙;C:左侧
像;D:上颌
面像,箭头示牙间隙;E:下颌
面像
像;B:正面
像,箭头所示21和22牙间隙关闭;C:左侧
像;D:上颌
面像,箭头所示25自发回位及23和24牙间隙关闭;E:下颌
面像
像;B:正面
像;C:左侧
像;D:上颌
面像;E:下颌
面像



注:-为Ⅰ度松动;=为Ⅱ度松动;+为Ⅲ度松动


注:LTA为左侧颞肌;RTA为右侧颞肌;LMM为左侧咬肌;RMM为右侧咬肌;LCG为左侧颈群肌;RCG为右侧颈群肌;LDA为左侧二腹肌前腹;RDA为右侧二腹肌前腹

前后
力评估分析系统检查结果 A:调
前,前伸运动时存在干扰;B:调
后前伸运动干扰消除;C:调
前侧方运动时左侧存在干扰;D:调
后侧方运动时左侧干扰消失
前后
力评估分析系统检查结果 A:调
前,前伸运动时存在干扰;B:调
后前伸运动干扰消除;C:调
前侧方运动时左侧存在干扰;D:调
后侧方运动时左侧干扰消失患者女性,18岁,于2011年11月就诊于武汉大学口腔医学院牙周科。就诊4年前发现牙齿松动,出现缝隙并逐渐增大。曾于外院行洁治治疗无明显效果。否认家族史。
口外检查可见面部不对称和张口偏斜。口内检查可见牙龈红肿,前牙区和后牙区均存在牙齿移位和明显的牙间隙(图1)。牙周检查结果见图4A,探诊出血阳性位点达100%,探诊深度超过4 mm的位点达65%,松动牙占全口牙85%,其中Ⅲ度松动的牙齿数量达50%。影像学检查结果显示除外个别牙,余牙的牙槽骨吸收均达根长的1/3至根尖,同时发现存在右侧上颌窦炎(图5A)。应用K7咬合评估分析系统(K7 evaluation system,Myotronics-Noromed Inc,美国)检测发现患者双侧咀嚼肌电位严重不对称,下颌运动向左偏斜达17.3 mm(图6)。咬合力评估分析系统(T-scan system,Tekscan Inc,美国)显示存在早接触和
干扰(图7)。
牙周炎(新分类Ⅳ期,C级)。
初始治疗持续3个月,通过口腔卫生指导,洁治刮治及联合使用盐酸米诺环素控制牙周炎症。评估结果显示,探诊出血阳性位点百分比下降至27%;并发现随着肿胀牙龈逐渐恢复健康,13和14间缝隙逐渐关闭。2012年12月针对患者的咬合问题进行咬合干预治疗,包括咀嚼肌经皮电刺激治疗和调
。经皮电刺激治疗后,患者即刻感觉舒适,双侧咀嚼肌电位趋于平衡。同时,检查发现张口时下颌偏斜得到纠正(图6)。随后行调
治疗消除咬合创伤(图7)。治疗后每3~6个月进行定期维护治疗。
3年后随访显示,牙龈轻度红肿,病理性移位的25自动排齐,21和22以及23和24间缝隙关闭(图2)。探诊深度超过4 mm的位点百分比降至14%,Ⅲ度松动的牙齿仅占11%。影像学检查结果示牙槽骨骨量和密度均有增加,可见26、27、36近中和15、16的骨量明显增加;右侧上颌窦的炎症也得到控制(图5B)。图8示CT影像是在同一断层获取,15、16的放大影像清楚可见明显的骨量增加。8年后随访结果显示,病理性移位的牙齿未复发(图3),牙龈炎症控制良好,牙松动情况持续减轻。从2011年初始治疗至2019年,8年多来患者的牙周及整体情况显著好转;复查结果显示牙龈无明显红肿,回位牙齿维持稳定并未复发。无探诊深度超过4 mm的位点,Ⅱ度及以下松动牙齿仅占8%,无Ⅲ度松动牙齿(图4B),除15、16牙龈明显退缩,涉及退缩的还有36和24、25、26、27。影像学检查结果显示牙槽骨骨量和骨密度均进一步增加,骨白线逐渐清晰(图5C,图8)。患者对治疗结果非常满意。
依据患者牙周组织破坏的严重程度以及牙周炎的进展速度,新分类诊断为牙周炎Ⅳ期,C级[4]。
牙周基础治疗是病因治疗,应该包括外因和内因。作为外因微生物的作用是明确的。重度牙周炎最常见的内在因素是咬合创伤,咬合不只是上下颌牙列动态和静态的关系,而是包括牙、牙周组织、颅面骨骼、颞下颌关节和神经咀嚼肌系统各组分间的功能关系[5],因而咬合创伤的原因和表现因人而异,是进行个性化治疗的基础。该患者的咬合问题不仅存在于上下颌动静态的关系上,而且涉及咀嚼肌功能紊乱。患者双侧面部不对称、张口偏斜、咀嚼肌肌电图和影像学结果均显示患者咀嚼肌功能紊乱,并且是引起咬合局部应力过大的原因。该病例仅针对病因进行龈下刮治、根面平整术和咬合治疗(包括咀嚼肌干预和调
),所有牙齿均得以保留并具有良好功能,同时获得病理性移位牙齿自发回位、牙间隙缩小甚至关闭、张口偏斜得到纠正以及上颌窦炎症得到控制的整体疗效,且8年多来情况稳定并持续进一步好转,翻瓣术的指征已不存在。患者对疗效满意,不再接受进一步的手术建议。本病例的诊疗过程提示,针对完整病因的治疗可获得较大的治疗效果,并取得长期的稳定疗效;关注咬合因素,开展个性化牙周治疗是牙周治疗尤其是重度牙周炎治疗应注意的问题。当然,疗效的稳定与患者自我菌斑的良好控制以及定期的维护治疗是分不开的。由于病因治疗得当,该病例不仅减少了治疗的复杂性,而且取得了一定的美学效果。
牙齿病理性移位是牙周炎的一种常见表现,造成牙齿病理性移位的主要原因有牙齿支持组织的破坏、炎症牙龈组织产生的压力和创伤性
力[6,7,8,9,10]。本病例13和14间的间隙即为炎症状态下牙龈组织间液中的压力所致,在洁治刮治后牙龈红肿消退,压力消失,该间隙关闭。25的自发回位、21和22间以及23、24间隙的关闭则是在咬合干预后,创伤性咬合得到纠正,中性区重新趋于平衡的结果。中性区正常有利于牙齿位置的正常和稳定,其作用不容忽视[11]。创伤性咬合得到纠正,平衡
力取代了局部过大应力,也为局部牙槽骨的恢复提供了条件,15牙槽骨的骨量增加阻断了右上颌窦牙源性感染的路径,促进了上颌窦炎症的控制[12,13]。
本病例提示,需要认真分析患者临床表现对应的病因,只有做好针对微生物的共性治疗,并且关注个性化内因的治疗,才有望获得最佳且长期稳定的疗效。
所有作者均声明不存在利益冲突
牙周炎患者受炎症、颌面肌肉、咀嚼功能活动等综合影响,常发生牙齿松动移位,继而形成咬合干扰或创伤,加速牙周组织的破坏,如因忽视而未及时纠正,可造成不可逆转的损伤。本病例具有一定代表性,18岁女性,病史已有4年以上,而且面形已不对称,说明其发病早,激素水平可能还未稳定,有咬合失衡后偏侧咀嚼影响的可能;需及时检查判断并干预。虽然患者初诊时检查牙周指标均显示严重,但非手术治疗后牙周情况明显改善,患者对炎症控制后的反应良好,而且年轻人一般修复能力也较好;即使牙槽骨吸收仍很明显,但临床探诊深度控制在4 mm以下并且无探诊出血时,可继续巩固非手术措施并观察,不必急于进行手术治疗。本病例充分显示在控制菌斑和炎症、适当咬合干预后,松动移位的患牙可能自行调整咬合关系,临床指标也可长期保持稳定。随年龄增长,可观察到患者第三磨牙及其与周边结构的位置关系也发生了一定变化,是否对于长期疗效有影响还需进一步观察,或做出相应的及时建议;另外,当无咬合评估分析系统辅助时,口腔医师应如何进行临床检查诊断和治疗干预参照,仍需继续收集临床循证资料以提供更多参考。





















